
版权归中华医学会所有。
未经授权,不得转载、摘编本刊文章,不得使用本刊的版式设计。
除非特别声明,本刊刊出的所有文章不代表中华医学会和本刊编委会的观点。
患者男,50岁。3年前右大腿外侧被一重物压迫,当时无自觉症状。半年后发现右大腿外侧皮下有一直径为0.5 cm大小肿物,无压痛,因肿物逐渐生长,于2010年12月来院就诊。体检:右大腿外侧皮下一约15 cm×8 cm×5 cm大小肿物,界限清,活动度可。CT检查:右大腿上段外侧梭形软组织密度影,见不规则钙化灶,其边缘与周围境界不清。B超检查:低回声肿物伴有钙化。行细针穿刺吸取检查,湿固定,HE、巴氏、瑞氏染色。
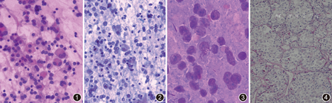
细胞学检查:涂片,95%乙醇湿固定,HE染色,见瘤细胞均匀散在分布,胞质丰富、红染,单核,细胞核偏位,偶见双核细胞(图1),大部分瘤细胞胞质破裂,背景红染。细胞核呈裸核状,核圆形、卵圆形,染色质细致,分布均匀,见1~2个较大核仁。少数细胞可见明显的核内包涵体。背景中散在沙砾体。巴氏染色胞质呈棕色(图2),瑞氏染色油镜下见成束及散在的红染棒状结晶(图3)。细胞病理学诊断:腺泡状软组织肉瘤。


病理学检查:肌肉组织一块,切面查见一体积15 cm×7.5 cm×5 cm肿物,距周边切线最近处2.5 cm,与周边组织分界不清。肿物呈灰白色,质脆。镜下观察:肿瘤细胞体积较大,圆形或多边形,呈巢状或因细胞间黏附性差而呈假腺泡状排列,细胞巢之间为互相连通呈裂隙状血管腔或窦状毛细血管网,内衬单层扁平上皮;细胞质丰富,成嗜酸性细颗粒状;细胞核圆形,染色质细致,见1~2个核仁,少数细胞核内包涵体明显,可见散在沙砾体;未见核分裂象。肿瘤浸润肌肉组织,周围组织血管腔内查到瘤栓。过碘酸-雪夫(PAS)染色部分细胞内有耐淀粉酶的胞质内棒状或针形结晶(图4)。免疫组织化学检测:TFE3阳性,结蛋白、波形蛋白阳性,S-100蛋白、神经元特异性烯醇化酶(NSE)、广谱细胞角蛋白(AE1/AE3)、上皮细胞膜表面抗原(EMA)、抗黑色素瘤特异性抗体(HMB45)呈阴性表达,Ki-67阳性指数约5%。
诊断:右大腿腺泡状软组织肉瘤。
讨论:腺泡状软组织肉瘤(alveolar soft part sarcoma,ASPS)最早由Christopherson等[1]于1952年报道,是一种很少见的软组织肉瘤,占所有软组织肉瘤的0.5%~0.9%。此病多见于青年,发病高峰年龄为15~35岁,30岁以下女性患者多见,30岁以上男性患者略多见,发生于成年患者的肿瘤多位于四肢和躯干[2]。ASPS的细胞遗传学特征是一个染色体易位到第17号染色体侧位且X染色体短臂1区1带与第17号染色体长臂2区5带易位[der(17)t(x;17)(p11;q25)]。这种染色体易位导致了TFE3基因与第17号染色体长臂2区5带上一个新基因ASPL的融合[3]。ASPS的组织发生不明确,近来发现其可表现为结蛋白和MyoD1阳性,故认为它可能为肌源性。超微结构观察ASPS肿瘤细胞,于胞质内可见具有诊断意义的杆状结晶体,该结晶体在结构上与肌动蛋白丝相似。有学者发现这种典型的结晶也可见于健康人的肌梭中[4]。穿刺细胞涂片,瘤细胞丰富、散在,符合肉瘤特点。HE染色瘤细胞胞质丰富红染,细胞核偏位,多数细胞呈裸核状,少数细胞可见类似R-S细胞的双核细胞,核仁明显增大,极少细胞可见核内假包涵体,提示腺泡状软组织肉瘤[5,6]。瑞氏染色油镜下查到红染的棒状、针状结晶可明确诊断为腺泡状软组织肉瘤。吉姆萨染色也可查到细胞内外棒状、针状结晶[7]。腺泡状软组织肉瘤生长相对缓慢,放疗和化疗的效果均不肯定,对发生局部的孤立性病灶进行广泛性切除后很少复发。本例细胞病理学明确诊断后行局部根治性手术,随访3年未见复发及转移。
鉴别诊断:(1)颗粒细胞瘤:多发生在40~70岁成年人,女性稍多见,一般位于头颈部、躯干和四肢的皮肤和皮下组织,直径多在3 cm以下。穿刺细胞学涂片为一致性大圆形到多角形细胞,细胞边界清楚,胞质红染、丰富、颗粒状,细胞核小,染色质细。虽与腺泡状软组织肉瘤均为大圆形、多角形肿瘤,但其细胞核小,无明显核仁、无双核细胞可与腺泡状软组织肉瘤鉴别。(2)转移的肾细胞癌:细胞多为裸核状,细胞核较小,圆形,染色质细致,核仁细小。成团细胞胞质丰富、透明。无双核细胞,瑞氏染色无胞质内针形结晶,PAS阴性。影像学一般可见肾占位性病变。(3)无色素恶性黑色素瘤:细胞成团及散在,细胞圆形、多角形及梭形。胞质不见棕色色素。核卵圆形、圆形或多形性,可见核内包涵体,明显红染的大红核仁,核分裂象多见,细胞异型性明显,为高度恶性肿瘤。免疫组织化学检测HMB45、Melan A、S-100蛋白均为阳性。(4) 转移性副神经节瘤:副神经节瘤的良、恶性以肿瘤是否转移来界定。细胞学涂片瘤细胞多失去胞质或仅见少量淡染嗜酸性胞质,呈单个或少量几个细胞松散排列,细胞核呈卵圆形或长梭形,见小核仁[8],但其涂片不见双核细胞及丰富红染的颗粒状胞质,瑞氏染色亦不见棒状、针状结晶,可与腺泡状软组织肉瘤鉴别。(5)腺泡状横纹肌肉瘤:以青少年常见,常发生于四肢深部软组织,组织学可见瘤细胞呈巣状及腺泡状结构。细胞学涂片常见大量散在小圆形细胞及裸核细胞,部分肿瘤细胞可见中等量嗜酸性胞质,核圆形深染,核仁明显,核分裂象多见,不见双核细胞,易与腺泡状软组织肉瘤鉴别。





















