
版权归中华医学会所有。
未经授权,不得转载、摘编本刊文章,不得使用本刊的版式设计。
除非特别声明,本刊刊出的所有文章不代表中华医学会和本刊编委会的观点。
患者男,41岁。因健康体检时发现左肾肿块于2014年10月13日入院。体检:左肾区无叩击痛,各项实验室检查未见异常发现。无von Hippel–Lindan(VHL)病病史及肿瘤家族史。CT示:左肾内一大小3.8 cm×3.7 cm的圆形软组织影,密度欠均匀,局部境界欠清楚,增强后强化改变,静脉期退出。腹膜后未见肿大的淋巴结,未见腹水。影像学诊断:左肾占位,考虑肾癌。在全麻下行左肾根治性切除术并送病理检查。
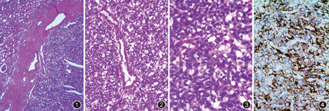
病理检查:大体观察:左侧肾脏切除标本,大小13.0 cm×7.0 cm×5.0 cm,肾上极距被膜0.8 cm切面见一大小2.5 cm×2.0 cm×2.0 cm的灰黄肿物,质地较软,与周围组织境界清楚,无包膜。镜下观察:低倍境下肿瘤境界相对清楚,由厚的纤维性假包膜包绕,瘤细胞弥漫分布,被薄壁血管分割(图1);瘤细胞围绕树枝状、血管外皮细胞瘤样大血管呈放射状生长(图2);部分区域间质水肿、透明样变或硬化,细胞丰富区和稀少区交替,水肿或硬化区域瘤细胞散在,但网状血管丰富;瘤细胞圆形、卵圆形或多角形,胞质嗜酸或部分胞质内含有脂质空泡(图3)。免疫组织化学检测:波形蛋白、PAX–8、S–100蛋白、α–抑制素(图4)及神经元特异性烯醇化酶(NSE)均弥漫阳性,上皮细胞膜抗原(EMA)和CD10局灶阳性,CD34血管阳性,其余广谱细胞角蛋白(CKpan)、平滑肌肌动蛋白(SMA)、HMB–45、突触素、嗜铬粒素A、WT–1及Calretinin均阴性,Ki–67阳性指数1%。


病理诊断:散发性血管母细胞瘤。
随访:本例患者行左肾根治性切除术,术后未给予任何治疗,患者情况良好,随访2个月,未见肿瘤复发。
血管母细胞瘤是一种组织学发生不明、罕见的良性肿瘤,好发于中枢神经系统,典型者表现为囊性肿块。其发生可能是VHL病的典型特征[1]。多发性血管母细胞瘤可发生在小脑、脊髓、髓质和视网膜。尽管部分血管母细胞瘤与VHL病相关,但也有散发于小脑或中枢神经系统外的报道[2,3]。发生在肾脏的散发性血管母细胞瘤极其罕见,检索文献截至目前国外共有9例报道,国内报道7例,加上我们遇到的这1例共17例。肾脏血管母细胞瘤中老年人好发,也可发生在较年轻的患者[4],年龄16~71岁,平均年龄46岁,中位年龄50岁;男女均可发病,无性别差异;59%的患者无临床症状,多因健康体检或其他原因就诊时偶然发现,主要的临床症状包括:肉眼血尿和腰部疼痛[5]。
肾脏血管母细胞瘤右侧肾脏多发,大体上肿瘤为单发的、孤立的实性肿块,偶伴有囊性变,直径1.2~9.0 cm,平均直径3.8 cm。组织学上,与发生在中枢神经系统的血管母细胞瘤形态学相似,由多边形、泡状的、脂质样空泡的间质细胞和丰富的毛细血管网构成;伴网状血管增生的间质水肿、透明样变和硬化常见;个别病例可有不典型间质细胞及局灶性坏死,但核分裂象少见;肿瘤间质内和瘤细胞胞质内均可出现嗜伊红染的玻璃样小球[6];甚至可见沙砾体样钙化;个别报道瘤细胞在形态学上为横纹肌样细胞[7]。免疫组织化学间质细胞弥漫或者局灶表达α–抑制素、波形蛋白、NSE和S–100蛋白,不表达神经内分泌标志物突触素和嗜铬粒素A、黑色素标志物Melan A和HMB45、血管内皮标志物(CD34、CD31、D2–40)及间皮标志物(WT–1、D2–40、Calretinin);个别病例局灶表达SMA、MSA和Calponin,提示向平滑肌方向分化[3]。本例形态学及免疫组织化学均支持血管母细胞瘤的诊断。
血管母细胞瘤可散发或与VHL相关,与常染色体显性遗传有关,是由位于染色体3p25上VHL肿瘤抑制基因的突变造成的。伴VHL病的患者,易患透明细胞性肾细胞癌、肾上腺嗜铬细胞瘤和胰腺神经内分泌肿瘤等。Rohan等[8]研究表明VHL基因产物蛋白在调节缺氧诱导因子–1α(HIF–1α)和血管内皮生长因子(VEGF)的产生有着极其重要的作用,VHL基因功能的缺失最终导致HIF–1α、葡萄糖转运蛋白–1(GLUT–1)和碳酸酐酸Ⅸ(CA9)蛋白的过表达,可通过VHL测序分析三个外显子和FISH检测染色体3p的缺失。然而Jiang等[9]在1例血管母细胞瘤中却未发现VHL基因突变和染色体3p缺失,却强表达HIF–1α和CA9,提示VHL基因缺陷可能与致病密切相关,甲基化或启动子的点突变可能引起VHL等位基因的功能缺失。
发生在肾脏的血管母细胞瘤由于极其罕见,且形态学上由丰富的毛细血管网、胞质透亮或者泡状的上皮样细胞构成,极易被误诊为透明细胞型肾细胞癌。因为透明细胞型肾细胞癌中亦可见到玻璃样小球和硬化区域,而沙砾体样钙化可能是血管母细胞瘤的有用诊断线索。免疫组织化学有助于二者的鉴别,血管母细胞瘤表达α–抑制素、NSE和S–100蛋白,CK和EMA不表达或仅局灶性表达[7]。另外要与易位相关肾细胞癌鉴别,因为后者同样可以出现沙砾体样钙化和胞质透亮的细胞,如果肿瘤以小管状、腺泡状或乳头状结构混合存在,瘤细胞胞质透亮或者嗜酸性,倾向易位相关肾细胞癌的诊断,通过免疫组织化学或FISH检测进一步确诊。其次上皮样血管平滑肌脂肪瘤通常由胞质丰富的多边形细胞组成,大的厚壁血管形成血管外皮细胞瘤样结构,瘤细胞围绕血管放射状排列,如果可以找到脂肪成分或梭形平滑肌细胞区域,且免疫组织化学表达黑色素标志物HMB45、Melan–A和平滑肌标志物SMA,则支持血管平滑肌脂肪瘤的诊断。其他的鉴别诊断包括毛细血管瘤、副神经节瘤和肾上腺皮质肿瘤等,熟悉血管母细胞瘤的形态和免疫表型特征有助于其与其他肿瘤的诊断与鉴别诊断。
肾血管母细胞瘤是一种良性肿瘤,预后较好。治疗方式首选手术切除,对于瘤体较小,能够完整切除肿瘤的前提下尽可能保留肾单位;瘤体较大,临床考虑肾癌患者,行根治性肾切除术后,不需任何辅助治疗。目前已报道的16例肾血管母细胞瘤中,11例行根治性肾切除术,3例行部分肾切除术,2例行肿瘤剜除术,随访时间1个月至8年,患者均无病生存,未见肿瘤复发及转移。本例患者行左肾根治性切除术,术后未给予任何治疗,患者情况良好,随访2个月,未见肿瘤复发。
本例经浙江大学附属第一医院病理科滕晓东教授会诊





















