
版权归中华医学会所有。
未经授权,不得转载、摘编本刊文章,不得使用本刊的版式设计。
除非特别声明,本刊刊出的所有文章不代表中华医学会和本刊编委会的观点。
患者女,54岁。因"阴道不规则流血1年"于2015年6月23日就诊滨州医学院附属医院。入院1年前,患者无明显诱因出现间断性不规则阴道流血,伴大量暗红色血块。入院6个月前当地医院就诊,中药治疗后阴道流血减少。入院前5 d再次给予中药治疗,未见好转,并出现洗肉水样液,为求进一步诊治入我院。患者15岁月经来潮,月经周期3~5 d,20岁结婚,孕3产3。妇科体检:阴道内见红色洗肉水样液,恶臭,子宫如孕80 d大小,质硬。B超示子宫体肌层左前壁片状低回声,范围3.9 cm×3.6 cm×3.0 cm,与宫腔界不清,子宫内膜厚1.7 cm。实验室检查示:血红蛋白78 g/L,血清β-绒毛膜促性腺激素(β-HCG)1 506.0 IU/L,CA125为105.3 mU/L,甲胎蛋白、癌胚抗原、CA199均在正常范围内。6月24日行超声引导下清宫术。7月1日行次广泛全子宫+双侧附件切除术及盆腔淋巴结清扫术。右侧髂总及髂内淋巴结紧密包绕血管,未能切除。7月8日β-HCG降至218.8 IU/L。临床分期为ⅢC期。患者接受紫杉醇与顺铂联合化疗方案5个周期,因β-HCG升高,换用BEP(博来霉素+顺铂+依托泊苷)方案1个周期。
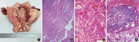
大体观察:清宫标本为灰白灰红色烂肉样物,大小6 cm×4 cm×3 cm。手术标本示子宫大小13.5 cm×7.5 cm×7.0 cm,内膜面粗糙,累及整个子宫腔及宫颈管,面积约8 cm×6 cm,切面灰白质略软,可见出血,侵犯1/2肌层,最厚处2.5 cm(图1)。另送检盆腔淋巴结6组。镜下检查:肿瘤有2种形态学区域(图2),侵犯深肌层:40%为中-低分化子宫内膜样腺癌,中分化区呈腺管状排列,有共壁及筛孔现象(图3),低分化区呈片状分布;60%呈绒毛膜癌样分化,出血明显,多数细胞体积大,界清,胞质透亮,核圆形,可见核仁,类似细胞滋养层细胞,内见少数多核巨细胞,胞质嗜酸性,核染色深,多形性,类似合体滋养层细胞(图4)。低分化子宫内膜样腺癌与绒毛膜癌样分化间有移行。脉管内广泛查见癌栓。送检各组淋巴结内均查见转移癌,多为低分化子宫内膜样腺癌,少数呈绒毛膜癌样分化,以细胞滋养层样细胞为主。免疫组织化学结果:子宫内膜样腺癌区表达细胞角蛋白(CK)、上皮细胞膜蛋白(EMA)、CA125,均不表达表皮因子生长受体(EGFR),但中分化区雌激素受体(ER)与孕激素受体(PR)弥漫强阳性,不表达HER2,核分裂象指数约40%;低分化区HER2强阳性,不表达ER及PR、p53阳性率及核分裂象指数(60%)均增高;在绒毛膜癌样分化区合体细胞样细胞表达β-HCG及CK,两种细胞成分均不表达ER、PR、HER2,但表达EGFR,p53阳性率较子宫内膜样腺癌区增高。


中-低分化子宫内膜样腺癌伴绒毛膜癌样分化。
诊断后5个月,仍在治疗中,11月11日血清β-HCG为515.6 IU/L,CA125为20.99 mU/L。
绒毛膜癌绝大部分源于正常或异常妊娠,少数源于性腺生殖细胞,主要由细胞滋养层细胞样及合体滋养层细胞样细胞构成。子宫内膜样腺癌是子宫体常见的恶性肿瘤,可伴其他组织学类型,如鳞状细胞癌、浆液性乳头状癌、透明细胞癌等。子宫内膜样腺癌伴绒毛膜癌分化的病例罕见。1987年Savage等[1]首次报道一例。包括本例在内文献共检索到报道15例,多为中老年人(42~85岁),中位年龄65.5岁,绝经后女性多见。常表现为异常阴道出血、血/尿β-HCG不同程度升高(24~100 000 IU/L)。多有孕产史(10/15)。镜下检查子宫内膜样腺癌分化程度不一,可伴鳞化[2,3],滋养细胞成分可为绒毛膜癌样分化(7/15),也可仅有合体细胞样细胞(8/15)。3例伴其他组织学类型[2,4,5]。所有患者均行全子宫+双侧附件切除术并术后化疗,化疗方案不一,部分接受不等量的放疗。10例转移,常见部位有肺、肝和淋巴结。4例死于本病(47 d~18个月),6例无病存活(42 d~5个月),4例带瘤存活(1~5个月)。女性生殖系统中还有其他组织学类型肿瘤如浆液性乳头状腺癌、癌肉瘤及透明细胞癌等伴绒毛膜癌样分化的病例报道。
β-HCG是妊娠相关滋养层疾病非常有用的标志物,但研究示19.5%的非滋养层疾病及35%的妇科非滋养层肿瘤表达β-HCG,22%的子宫内膜癌β-HCG升高[4]。当伴绒毛膜癌分化时,合体滋养细胞阳性,患者血清β-HCG水平也升高。多数学者认为β-HCG在妇科肿瘤伴绒毛膜癌分化病例术后复发监测中有用,升高的β-HCG与侵袭性行为有关。Horn等[6]提出子宫内膜癌伴滋养细胞分化有2种预后相关的类型:一种是不同类型的子宫内膜癌伴合体滋养细胞样细胞,免疫组织化学血清β-HCG轻-中等程度升高,常无远处转移,预后较好,与预后相关的是非滋养细胞肿瘤成分;另一种是子宫内膜癌伴绒毛膜癌样分化,血清β-HCG显著升高,绒毛膜癌分化常是这类患者致命性的成分,转移灶多呈绒毛膜癌组织学特征,常快速发生转移,临床进展快,预后差。
其他系统肿瘤伴绒毛膜癌分化的病例也有报道,如消化道、膀胱、肺和乳腺等。非妊娠相关及非生殖细胞起源肿瘤中滋养细胞分化的原因尚不清楚,目前有以下假说:第1种认为部分生殖细胞残留在生殖嵴,并恶性转化;第2种认为部分多能干细胞在胚胎早期发育中残留在生殖嵴外其他位置,发生恶性转化;第3种认为成熟组织发生的肿瘤反分化或去分化,出现不同的形态学特征,如滋养细胞或非滋养细胞分化。Olson等[7]检测了微卫星多态性标志物,提示两部分起源相同,且是子宫内膜样腺癌向滋养细胞分化。Horn等[8]报道在浆液性乳头状癌和绒毛膜癌样成分中p53弥漫强阳性,前者与p53基因改变有关,而滋养细胞疾病中少见p53突变。Ashton等[5]通过全基因组学研究发现子宫内膜样腺癌区基因序列有大量丢失和少量获得,在滋养细胞分化区域还有额外基因改变,尤其是第1、4、9和17号染色体的丢失,两者均有正常的β-HCG等位基因。相似的基因改变提示子宫内膜样腺癌和滋养细胞分化区同源,后者检出的额外基因改变是高度恶性肿瘤的特征,提示子宫内膜腺癌恶性进展,但不能说明形态学出现滋养细胞分化的原因[5]。本例与中分化子宫内膜样腺癌区相比较,低分化区与绒毛膜癌样分化区均不表达ER与PR,且p53阳性率及核分裂象指数均增高,低分化区HER2强阳性,而绒毛膜癌样分化区表达EGFR,提示p53与HER2的改变与子宫内膜样腺癌分化降低有关,而p53与EGFR的改变与绒毛膜癌样分化相关,它们在肿瘤恶性进展中起一定作用。
因多数病例是侵袭性的,在诊断时临床分期较高,预后差,因此诊断伴有滋养细胞分化非常重要,当发现高度多形性细胞形态学类似滋养层细胞,伴明显出血坏死时,应考虑到绒毛膜癌分化。因临床行为不同,在病理报告中推荐对滋养细胞成分的累及范围给予确切的形态学评价,定期检测β-HCG的水平。





















