
版权归中华医学会所有。
未经授权,不得转载、摘编本刊文章,不得使用本刊的版式设计。
除非特别声明,本刊刊出的所有文章不代表中华医学会和本刊编委会的观点。
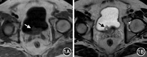
患者男,71岁。2009年11月因进行性排尿不畅10余年,排尿困难10 d入浙江大学绍兴医院就诊,临床诊断前列腺增生症,施行经尿道前列腺等离子切除术时发现尿道前列腺部肿物。入院体检:膀胱区叩浊,双肾区叩痛阴性。直肠指检:前列腺增生,中间沟变浅,质韧,无明显结节,无触痛。实验室检查:显微镜检查尿红细胞+/HP;总前列腺特异性抗原(PSA)1.662 μg/L(参考范围0~4.0 μg/L),游离前列腺特异抗原0.252 μg/L(参考范围0~0.934 μg/L),前列腺抗原比值0.155(参考范围0.2~0.5);肿瘤相关指标除铁蛋白升高328.8 μg/L(参考范围4.6~274.6 μg/L)外均正常。经直肠超声检查(TRUS)示:前列腺增大并钙化,前列腺内囊性结节。磁共振成像示尿道前列腺部肿物突入膀胱(图1)。术中见尿道前列腺部右侧叶近膀胱颈口处约2.0 cm×2.0 cm大小菜花状带蒂实性肿物,电切肿瘤并前列腺各叶。术后正电子发射计算机断层显像及肠镜检查未见胃肠道及其他肿瘤病灶。


电切灰白灰红颗粒样碎组织一堆,大小6 cm×5 cm×2 cm,质韧硬部分质脆易碎。光镜显示:良性增生前列腺组织中混杂绒毛状及部分管状腺体组成的肿瘤组织,表面被覆柱状上皮,肿瘤细胞高柱状,大部分核圆形、卵圆形,基底规则排列,间夹杯状细胞(图2A),局部腺体为高柱状核、浓染,排列拥挤,伴有高级别形态改变(图2A右上角小图)。免疫组织化学染色示瘤细胞上皮细胞膜抗原(EMA)、CK7(图2B)、CK20、CA199阳性细胞腺上皮间灶性散在分布,低级别绒毛被覆上皮阳性细胞多见;MUC2 (图2C)在低级别腺瘤细胞阴性,高级别区域腺上皮间散在阳性细胞;Ki-67阳性指数整体小于1%;癌胚抗原(CEA)、p63、PSA、前列腺特异性酸性磷酸酶(PSAP)、CDX2、MUC1、GATA3阴性,AB2.5黏液组织化学染色阳性(图2D)。


尿道前列腺部绒毛管状腺瘤,低级别上皮内瘤变,局部高级别(10%)。
术后随访5年10个月,无相关肿瘤事件发生。
绒毛管状腺瘤是胃肠道常见的腺瘤,发生于泌尿系统的较少见。泌尿系统的绒毛管状腺瘤多发生于脐尿管、膀胱顶部和三角区[1],偶可见发生于尿道[2]和输尿管。患者多为50岁以上的中老年人,无明显的性别差异。常见症状为血尿或尿路刺激症状,有的仅表现为尿中带有白色黏液。泌尿系统绒毛管状腺瘤组织学上与发生在大肠的类似,主要表现为中心具有纤维血管轴心的乳头状或管状结构,或呈尖锐或钝性指状突起,被覆假复层柱状上皮,上皮细胞表现为核复层、核拥挤、核染色深等,上皮细胞可分泌中性或酸性黏蛋白[3,4]。免疫组织化学CK20、CEA、CK7和AB-PAS多阳性表达,EMA在大多数病例中表达阴性[1,2]。本例位于后尿道,临床症状不明显,组织学特征与上述报道类似。曾有学者对绒毛状腺瘤的分子生物学进行研究,发现瘤细胞的DNA为异倍体、p53蛋白的表达增加[5],本例p53阴性。
泌尿系统绒毛管状腺瘤的发生机制尚不清楚。有学者发现发生在膀胱的常合并有腺性或囊性膀胱炎[3],因而推测该病变可能与腺性(囊性)膀胱炎的肠上皮化生有关,进而认为腺性化生(肠型)是进展为腺癌的危险因子[6]。在胚胎时期,结直肠和膀胱的发育均来自于泄殖腔的分割,因而也有学者认为成人的腺上皮肿瘤可能源于膀胱和脐尿管的泄殖腔残余。此外,膀胱的慢性炎性病变、细菌感染和尿液的刺激也是发生膀胱肿瘤的主要诱因,这些诱因导致黏膜细胞的不稳定→组织化生→腺瘤→腺癌[3]。诊断时需通过肠镜及影像学检查排除分化好的结直肠癌累及,两者在HE形态学及大多数免疫标志物等方面几乎无法区分,稍有不同的是肠道腺癌多数表达CDX2、p63和Ki-67的阳性细胞数明显增多[7]。一般认为该肿瘤预后较好,单纯的手术切除即可治愈,但因有癌变和发展成浸润性腺癌的报道[8],需要对整个标本进行检查,排除癌变及浸润性病变可能,本例标本全部取材,未发现癌变及浸润癌病变,随访至今显示预后良好。





















