
版权归中华医学会所有。
未经授权,不得转载、摘编本刊文章,不得使用本刊的版式设计。
除非特别声明,本刊刊出的所有文章不代表中华医学会和本刊编委会的观点。
患者女,13岁。2015年7月月经来潮后阴道出血5 d,于2015年8月12日入本院治疗。患者平素月经正常,无痛经及经期延长。入院B超检查:左侧附件区混合性包块,大小10.6 cm×8.2 cm×6.6 cm,边界清,内部回声不均匀,囊实性,实性部分血流丰富。CT示:盆腔内左侧附件区巨大混杂信号影,大小10.7 cm×8.8 cm×6.9 cm,其内见不规则短T1、短T2信号,DWI呈高低混杂信号,增强扫描后可见不均匀强化,影像学诊断为:幼年型颗粒细胞瘤。实验室检查:血人绒毛膜促性腺激素(β-HCG)2 334 IU/L(正常值<8.3 IU/L)。术中盆腔血性腹水200 mL左右,左侧卵巢肿物,囊实性,灰红紫红色,表面见破口,长约2 cm,子宫及右侧附件未见异常。
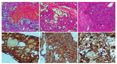
病理检查:灰红紫红色肿物一个,大小10 cm×8 cm×7 cm,表面大部分光滑,局部见破口,长约2 cm,切开肿物呈灰红紫红色,大部分出血坏死,质地糟脆,小部分略呈灰黄色,肿物表面附卵管一条,长11 cm,直径0.6~0.8 cm,伞端开放,未见异常。术中冷冻诊断为恶性肿瘤,结合实验室检查,考虑为绒毛膜癌。术后病理镜下观察:肿瘤组织广泛出血坏死,重复取材后,仅见残留少量滋养叶细胞,片状、巢状分布,以单核细胞滋养细胞为主,轻-中度异型,核圆形或多角型,胞质透明(图1),细胞边界清,部分呈嗜双色(图2),偶见合体滋养细胞,细胞体积较大,核深染,异型性明显(图3)。免疫组织化学:瘤细胞β-HCG、人白细胞抗原(HLA)-G、细胞角蛋白(CK)、CK7、SALL4、CK8/18均阳性(图4, 图5, 图6),LIN28弱阳性,人胎盘碱性磷酸酶(PLAP)少数细胞阳性;CD99、人胎盘催乳素、α-抑制素均阴性。


病理诊断:卵巢原发性细胞滋养细胞为主型绒毛膜癌。
随访:患者肿瘤切除后,联合多药化疗,随访半年健在,一般情况尚可,经CT检查未见肿瘤复发或转移,目前仍在随访中。
原发性绒毛膜癌又称非妊娠性绒毛膜癌,是一种高度恶性的生殖细胞肿瘤,发生于青春期卵巢的非妊娠性绒毛膜癌比较罕见,目前国内外报道的病例不足百例[1,2]。术前常误诊为其他肿瘤,组织形态学、血清学检测联合免疫组织化学可获得明确诊断。年轻患者手术切除瘤体后多药联合化疗,可获得满意的治疗效果。
卵巢原发性绒毛膜癌是一种与妊娠无关的发生于原始生殖细胞的恶性肿瘤,男女均可发病,常发生于青春期女性,国外报道的最小发病年龄为7个月,国内为6个月[3],发生部位80%为性腺器官,也可发生于性腺外的纵隔、腹膜后等中线部位,甚至发生于胃、肺、胰腺等性腺外器官[4,5,6],偶见发生于脑和甲状腺的报道。
组织学上可分为单纯型和混合型,混合型即在其他恶性生殖细胞肿瘤中同时存在绒毛膜癌成分,如未成熟性畸胎瘤、卵黄囊瘤、胚胎癌及无性细胞瘤等。原发性卵巢绒毛膜癌多见的是混合型,单纯型极为少见。镜下由细胞滋养细胞和合体滋养细胞混合构成的条索或网状结构,细胞滋养细胞中等大小,核圆形或不规则型,胞质透明或嗜双色,细胞边界清;合体滋养细胞体积大,嗜酸或嗜碱性,核深染,异型性明显,两种细胞成分多少不等,本例中以细胞滋养细胞为主,少见合体滋养细胞。免疫组织化学:绒毛膜癌细胞表达上皮性标志物CK、CK7、CK8/18,特异性的表达β-HCG、HLA-G、SALL4、LIN28等,血β-HCG明显升高,免疫组织化学联合血清学可以鉴别其他上皮来源的肿瘤。新近研究发现,SALL4具有较好的敏感性和特异性,尤其在卵巢生殖细胞肿瘤中的表达特异性较高[7],在生殖细胞肿瘤的病理诊断和鉴别诊断中具有重要价值,可推荐作为一线抗体使用。由于生殖细胞肿瘤不同类型之间形态上常出现一定程度的重叠,给病理诊断造成困难,因此,多种免疫标志物的联合应用很有必要。
临床上原发性卵巢绒毛膜癌多为单侧发生,体积较大,右侧较左侧多见,肿瘤直径介于8~30 cm,大部分有包膜、实性或囊实性,切面质软而脆、易碎,大部分出血坏死明显,多为棕红色或黑褐色,常常在多次取材后找到少量存活的瘤组织。关于组织起源,目前存在3种学说[8],胚胎学说认为非妊娠性绒毛膜癌是生殖细胞自卵黄囊沿尿生殖嵴移行过程中部分停留在中途,后因某种因素分化成为绒毛膜癌;畸胎学说认为是由卵巢生殖细胞中的多潜能细胞向胚外结构(滋养细胞或卵黄囊等)发展而来;但对于发生于胃、食管、膀胱等其他部位的原发性绒毛膜癌,有学者提出了肿瘤细胞逆分化学说[9],认为这些部位的绒毛膜癌与胃腺癌、食管鳞癌、膀胱尿路上皮癌常常合并存在,并且各种细胞之间存在着移行关系。
卵巢原发性绒毛膜癌的鉴别诊断主要包括:(1)妊娠性绒毛膜癌,年龄对鉴别妊娠性和非妊娠性绒毛膜癌至关重要,发生在青春期前,无性生活史者,可肯定地诊断为非妊娠性绒毛膜癌。(2)无性细胞瘤,瘤组织呈片状、岛状或梁索状分布,细胞圆形或多角形,界限清楚,细胞核大而圆,核膜清楚,呈空泡状,核仁明显,免疫组织化学PLAP和CD117阳性,HCG阴性。(3)胚胎性癌,瘤组织内缺少细胞滋养细胞,巨型瘤细胞可酷似合体滋养细胞,免疫组织化学HCG、CD30、甲胎蛋白阳性,绒毛膜癌CD30和甲胎蛋白阴性。(4)颗粒细胞瘤,肿瘤细胞小,呈圆形、卵圆形或多角形,胞质少,胞界不清,核卵圆形或圆形,核中央有核沟,形成咖啡豆样外观,可以见到具有诊断意义的Call-Exner小体。
卵巢原发性绒毛膜癌的恶性程度高,易发生周围器官的浸润和远处转移,主要为血行转移至全身器官,最常见的转移部位为肺,其次是肝、脑、肾、胃肠和盆腔脏器等,肿瘤对化疗敏感,手术完全切除病灶辅以多药化疗,常常也能达到长期生存。
总之,青春期卵巢原发性绒毛膜癌恶性程度高,发病率低,术前容易误诊,组织形态学、血清学检测联合免疫组织化学可获得明确诊断。虽然预后差,但早期发现、早期诊断及早期治疗,手术切除瘤体后多药联合化疗,仍可获得满意的治疗效果。





















