
版权归中华医学会所有。
未经授权,不得转载、摘编本刊文章,不得使用本刊的版式设计。
除非特别声明,本刊刊出的所有文章不代表中华医学会和本刊编委会的观点。
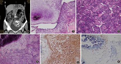
患者女,41岁。体检发现左侧卵巢包块2年,近期生长加快,于2014年9月11日就诊于胜利油田中心医院。患者2012年9月体检时发现左侧卵巢包块,后定期复查,未予特殊处理。2014年3月以来出现尿频、尿急等症状,B超检查示肿物明显增大,中央伴有钙化,边界尚清楚。各项实验室检查结果无异常,腹腔及盆腔CT检查示肝肾扫描未见异常,膀胱充盈良好,子宫大小及位置正常,左侧附件区见一类圆形混杂密度灶(图1),面积10.1 cm×8.7 cm,边缘光整,CT值约16~28 HU,其内见多发斑块状钙化灶,腹膜后及盆腔未见增大淋巴结,CT诊断:左侧附件区混杂密度灶,考虑畸胎瘤可能。术中在左侧卵巢见质硬肿物,大小约10.0 cm×8.0 cm,突出于卵巢表面,表面光滑,与周围组织无黏连。将肿物及左侧附件完整切除送快速病理诊断,结果为左侧卵巢恶性肿瘤,形态符合软骨肉瘤。临床逐行全子宫及右侧附件切除并盆腔淋巴结清扫。


左侧附件切除标本,输卵管长6.5 cm,直径0.5~0.6 cm,伞端可见;右侧卵巢被肿物占据,大小10.0 cm×8.5 cm×6.0 cm,表面光滑,但凹凸不平,切面灰白色质地不均,质韧区半透明似软骨,部分区域显著钙化,质软区切面灰白色,细腻。镜下特点:肿瘤主要由大片幼稚原始未分化的间叶细胞构成,其间散在分布小岛状、分化良好的透明软骨细胞组成(图2)。未分化的间叶瘤细胞呈小圆形或梭形,形态大小一致,胞质稀疏,核深染,核仁不清楚,罕见核分裂象。血管丰富,瘤细胞围绕血管排列,呈血管外皮瘤样(图3);部分区域有形成腺泡状结构倾向。透明软骨灶大小、形态不一,分化较成熟,周围无软骨母细胞围绕,软骨区与未分化区成分间的界限清楚,比例多少不定。部分区可见间叶性瘤细胞,体积变大,核变大色淡,细胞间出现间质性基质并见陷窝形成,出现间叶性瘤细胞逐渐过渡为软骨细胞。局灶伴出血、坏死,部分可见钙化及骨化(图4)。免疫组织化学结果示小细胞CD99(图5)、Leu7、波形蛋白、Ⅱ型胶原阳性;软骨区S-100蛋白阳性(图6),小细胞及软骨区细胞角蛋白(CK)、GATA3、PAX8、α-抑制素均阴性,Ki-67阳性指数35%。
左侧卵巢间叶性软骨肉瘤。
间叶性软骨肉瘤(mesenchymal chondrosarcoma,MC)是一种起源于有成软骨潜能的原始间叶组织的恶性肿瘤,临床少见,由高度未分化的小细胞和不同分化程度的透明软骨构成,具有双向分化的特征,是软骨肉瘤的特殊类型。该肿瘤好发于15~33岁,女性多见[1]。临床上多发生于骨,特别是颌骨、肋骨,发生于骨外者约占所有间叶性软骨肉瘤的1/3[2],国内也有发生于肾脏、甲状腺、乳腺、肺脏等实质脏器间叶性软骨肉瘤的报道[3,4]。而原发于卵巢的间叶性软骨肉瘤罕见。本例经全身详细检查未发现其他部位肿瘤,排除了间叶性软骨肉瘤转移至卵巢的可能。卵巢间叶性软骨肉瘤组织起源不明确,可能起源于皮样囊肿恶变伴恶性软骨成分过度生长,目前归类为软组织间叶性软骨肉瘤。影像学多表现为边界较清楚的混杂密度灶,病变内可见斑点状及片状模糊钙化影。组织学形态上与发生于骨的间叶性软骨肉瘤形态相同,由大片幼稚的原始未分化的间叶细胞构成,其间散在分布小岛状、分化良好的透明软骨细胞。未分化的间叶瘤细胞呈小圆形或梭形,大小相对一致,核深染,核仁不清楚,胞质少,瘤细胞排列紧密呈片状,异型性不明显,核分裂象少见,间质富于血管。间叶细胞逐渐过渡为软骨细胞,透明软骨灶大小、形态不一,分化较成熟,周围无软骨母细胞围绕,软骨区与未分化区成分间的界限清楚,比例多少不一。免疫组织化学异质性也提示诊断的重要特征,绝大多数肿瘤幼稚的小细胞CD99、Leu7、波形蛋白、Ⅱ型胶原均阳性,软骨区S-100蛋白阳性;两者均不表达上皮性标志物。Müller等[5]认为MC的肿瘤细胞基质中含Ⅱ型胶原,在典型的软骨岛区和小细胞区的细胞外基质中存在,故可将Ⅱ型胶原作为间叶性软骨肉瘤的诊断性标志,本例在小细胞及软骨区域均可见间质Ⅱ型胶原阳性,即使在小细胞相当密集、几乎不见间质的区域,Ⅱ型胶原也灶阳性,呈线状勾勒出小细胞间极少的间质。随着分子遗传学的进展,肿瘤细胞的遗传学改变可以提供更确切的鉴别诊断依据,发现HEY1-NOCA2融合基因则有助于间叶性软骨肉瘤的确诊[6]。
(1)间叶性软骨肉瘤转移至卵巢:需结合临床病史及影像学检查除外,此例患者经全身检查除发现卵巢肿瘤外未见其他部位占位性病变;(2)卵巢恶性中胚叶混合瘤:发生于卵巢的恶性中胚叶混合瘤比较罕见,临床患者年龄64~66岁。组织学形态与发生于子宫的恶性中胚叶混合瘤相似,镜下典型特点是恶性的上皮成分和间质成分混合存在,最常见的恶性上皮成分是高级别浆液性癌或子宫内膜样癌,但也可以是任何一种卵巢上皮肿瘤,最常见的异源性成分是软骨、骨和横纹肌母细胞。免疫组织化学在肉瘤成分中上皮性标志物常为阳性。本例大体标本经广泛取材(60个肿瘤蜡块)并经免疫组织化学证实未见上皮性成分可资鉴别;(3)卵巢成熟性囊性畸胎瘤(皮样囊肿)伴恶变:恶变是成熟性囊性畸胎瘤的少见并发症,成熟性畸胎瘤中任何组织均可能发现恶变,大约发生于2%的病例,且常见于绝经后患者[7]。肿瘤常比一般大小的成熟性囊性畸胎瘤大,更多区域呈现实性表现。恶性成分可侵犯肿瘤其他部分和肿瘤包膜,可能导致包膜穿透。恶性成分生长范围可能超过成熟性畸胎瘤的残留部分,会造成诊断困难。不同部位广泛取材会出现不同胚层成分可以鉴别;(4)促结缔组织增生性小圆细胞肿瘤:该肿瘤多发生于儿童和青年人,男性多见。组织学上表现为在硬化间质中有大小不等的细胞巢,细胞巢大小从簇状到不规则片状融合。免疫表型具有稳定性和独特性,常有多种表型的复杂分化,多数病例表达广谱CK、上皮细胞膜抗原、波形蛋白、结蛋白和神经元特异性烯醇化酶。t(11;22):(p13;q12)易位是其稳定存在的细胞遗传学特点;(5)去分化软骨肉瘤:无形态一致的小细胞区,在软骨肉瘤的基础上出现明显异型的差分化肉瘤,如纤维肉瘤或未分化肉瘤,或呈骨肉瘤表现,有普通型软骨肉瘤复发的病史,而间叶性软骨肉瘤是由未分化的小细胞和分化较成熟的软骨岛组成;(6)卵巢小细胞癌或神经内分泌癌:如在活检标本中软骨小岛的数量较少,常易被忽视导致误诊,应引起注意。
间叶性软骨肉瘤为高度恶性肿瘤,易复发和发生远处转移,复发率高达70.6%,转移率13.5%。局部广泛切除肿块为治疗的最佳方案,若肿瘤不能完整切除或有侵犯,应考虑化疗或放疗。本例患者行全子宫及双侧附件切除,并广泛清扫盆腔淋巴结,术后给予放疗及化疗,随访17个月未见肿瘤复发及转移,仍在密切随访中。





















