
版权归中华医学会所有。
未经授权,不得转载、摘编本刊文章,不得使用本刊的版式设计。
除非特别声明,本刊刊出的所有文章不代表中华医学会和本刊编委会的观点。
患者女,5岁,无明显诱因左眼视物不见半年于2009年5月到云南省第二人民医院眼科就诊。患者无外伤、疼痛、流泪等症状。眼部B超示:左眼玻璃体腔见弥漫强回声光点,玻璃体腔内见"璧斗征",后运动(+)。眼科以左眼占位,视网膜母细胞瘤待排收入院。入院后完善相关检查,行眼球切除。左眼摘除术后偶有血性液体流出,无红肿热痛,偶有头痛。
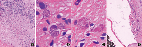
病理检查:大体所见:眼球一个,大小3.0 cm×2.3 cm×2.3 cm,晶体囊后见1.7 cm×0.6 cm×0.5 cm淡黄色半透明物。镜下观察见视网膜脱离,部分视网膜坏死,坏死呈凝固性,周围淋巴细胞和浆细胞为主的炎性细胞浸润,有少量巨噬细胞,形成肉芽肿病灶(图1),视网膜内可见蓝染的弓形虫包囊,囊内见囊殖子(图2,图3),部分视网膜水肿,粉染蛋白样物渗出,视网膜内见衬覆单层扁平上皮的囊肿形成,囊内见粉染蛋白液(图4)。免疫组织化学:CD68显示弓形虫包囊(-),肉芽肿中的组织细胞(+)。追问病史:患者发病前家中饲养多只画眉鸟多年,常与鸟嬉戏,其家人无弓形虫病病史。


病理诊断:假性视网膜母细胞瘤(眼部弓形虫病)。
假性视网膜母细胞瘤的临床表现和临床检查与视网膜母细胞瘤类似,容易被临床误诊为视网膜母细胞瘤病变[1]。临床工作中有较大比例的假性视网膜母细胞瘤患者,有大宗病例报道比例高达40%~50%[1,2],即使在临床诊断为视网膜母细胞瘤行眼球切除的患者中,近年的报道也有达5%~11%比例的患者经病理证实为非视网膜母细胞瘤的其他非恶性病变[3,4]。最容易被误诊为视网膜母细胞瘤的病变主要包括Coasts病、晶状体中央动脉永存、玻璃体出血、家族性渗出性玻璃体视网膜病变、球形视网膜脱离、弓形虫病等。眼部弓形虫病的病理资料鲜有报道,曾报道患双侧的视网膜母细胞瘤并有脉络膜和视神经广泛浸润的患者,术后2年MRI发现肝、肺、脊髓有多发性的病灶,一度被认为是视网膜母细胞瘤的转移,后来血清学检查弓形虫抗体阳性,IgE升高,血中嗜酸性粒细胞升高,阿苯达唑治疗3周后病变消退,证实病变为弓形虫感染而非转移[5],故弓形虫病是诊断视网膜母细胞瘤时需要考虑在内进行鉴别诊断的疾病之一。本例最初的诊断可能与视网膜脱落和视网膜渗出,在B超下形成占位性病灶有关。弓形虫病是由原虫动物刚地弓形体引起的人畜共患的疾病,多见于免疫缺陷的成人和先天感染的婴幼儿,被视为细胞免疫缺陷的指征。猫科动物为其终末宿主,中间宿主广泛,包括哺乳类、两栖类、鸟类、鱼类等。其感染性卵囊通过消化道、皮肤黏膜等进入人体而引起后天获得性弓形虫病,先天性者通过胎盘使胎儿感染则引起先天性弓形虫病。本例患者家中长期饲养多只画眉鸟,可能的感染途径是在饲喂鸟或清理鸟笼之后未及时清洗双手,导致交叉感染所致。免疫功能正常者一般不引起明显症状,或轻度自限性疾病,弓形虫可在体内长期潜伏感染,当免疫功能低下或抑制时,感染复活或活动甚至播散则引起症状。弓形虫主要侵犯脑、骨骼肌、心和眼等组织,先天性患者多伴有眼部损坏,后天获得性者则较少伴有眼部损害。眼部损坏者症状表现为视物模糊、眼前黑影飘动、畏光,局灶性坏死性视网膜脉络膜炎等[6]。组织学上表现为视网膜脉络膜炎,视网膜灶状坏死,色素上皮浆液性出血性脱离,脉络膜、巩膜、玻璃体内也可被炎性病变波及。炎性病灶内见单核细胞、淋巴细胞、巨噬细胞、类上皮细胞及浆细胞浸润,形成肉芽肿性炎[7]。找到弓形虫的包囊或囊殖体为病理确诊的依据,包囊多位于坏死周围的视网膜或陈旧瘢痕组织内,呈圆形,直径约8~100 μm,表面囊壁不明显,囊内有许多嗜碱性颗粒,即为囊殖子,呈香蕉形,(4~7) μm×(2~4) μm,可用弓形虫抗体免疫组织化学染色确认,包囊破裂,原虫释放到周围视网膜组织内,可导致视网膜炎复发。
眼弓形虫病的临床诊断主要依据实验室血清学抗体检测阳性,典型的眼底检查所见也有诊断意义,眼底镜下为一脉络膜视网膜的萎缩病灶,病变再发时在陈旧性病灶边缘及其附近见到视网膜微隆起的软性渗出性白斑,有时病灶周边可见到陈旧性血管炎性病变迹象[8]。弓形虫眼病的治疗根据病变部位、性质及严重程度决定,较好的治疗方案为:磺胺类药物与乙胺嘧啶(或螺旋霉素)配伍使用,疗程至少1个月。氯林可霉素至少连续服用3周,炎性病变累及黄斑区者加用肾上腺皮质激素,但不能过量以免破坏免疫功能导致感染扩散。有报道本病4年随访复发率达40%,故疗程应充足,并应注意长期随访。





















