
版权归中华医学会所有。
未经授权,不得转载、摘编本刊文章,不得使用本刊的版式设计。
除非特别声明,本刊刊出的所有文章不代表中华医学会和本刊编委会的观点。
例1 患者女,55岁。2个月前感冒后出现鼻塞、脓涕,以左侧明显,伴嗅觉减退,偶伴头昏及头痛,自行抗炎治疗无好转于2016年4月到重庆医科大学附属一院綦江医院就诊。电子纤维鼻咽镜示:双侧鼻腔黏膜肿胀,双侧中鼻道可见大量脓性分泌物,左侧中鼻道可见淡红色新生物,表面粗糙,质软,易出血。CT提示左侧鼻腔及上颌窦内增多软组织影,窦壁骨质结构未见明显骨质破坏及骨质吸收。在局部麻醉下行鼻内镜鼻腔、鼻窦新生物切除术。术中见左侧下鼻道较多淡红色新生物,表面糜烂,触之易出血,取出全部新生物。钩突刀切开左侧钩突,于30°内镜见上颌窦口、筛窦口被增厚黏膜掩盖,扩大窦口,见窦内黏膜肿胀,直筛钳向后扩大筛窦口,切除窦口增厚黏膜,切取物全部送病理检查。
例2 患者女,70岁。半年前患者无明显原因开始出现间断性左鼻出血,量约5 mL,自行用纸堵塞后出血停止。近期左鼻腔反复出血加重伴左侧鼻塞、脓涕及嗅觉减退,为求进一步诊治于2016年8月到重庆医科大学附属一院綦江医院就诊。电子纤维鼻咽镜示左侧鼻腔新生物、慢性鼻窦炎。CT提示左侧上颌窦及左侧鼻腔见类软组织密度团块,大小约37 mm×36 mm,密度基本均匀,边界欠清晰,向后突入鼻后孔;上颌窦内侧壁吸收、破坏,余示上壁、外侧壁吸收改变。在局部麻醉下行鼻内镜鼻腔、鼻窦新生物切除术。术中见左侧鼻腔乳头状新生物,少许出血。右侧鼻腔通畅,未见新生物。鼻中隔稍偏曲。钩突刀切开左侧钩突,于30°内镜见上颌窦口被肿物掩盖,扩大窦口,见窦腔内肿物。上颌窦抓钳钳取窦腔内肿物。将窦腔及鼻腔内肿物切除干净,切取物全部送病理检查。
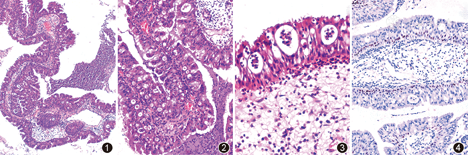
病理检查:大体检查:送检标本均为灰白、灰红色破碎组织,例1约4.5 cm×3.5 cm×2.0 cm大小,例2约3.0 cm×2.5 cm×2.0 cm大小,无包膜,表面较光滑,部分可见乳头状、息肉状结构,质软,可见出血、水肿、黏液样变半透明区域。镜下观察:例1、2形态学改变相似,低倍镜见肿瘤由粗细不等的乳头状结构构成,乳头状结构同时具有外生性和内生性的生长模式,表面被覆2~8层柱状上皮细胞,上皮层内见丰富的微囊状结构,部分融合呈筛孔样,乳头结构的纤维结缔组织轴心宽窄不一,呈疏松水肿改变,其内大量淋巴细胞、浆细胞、中性粒细胞浸润。乳头之间含有大量炎性细胞、退变细胞的浆液、黏液性分泌物(图1,图2)。高倍镜下肿瘤细胞呈高柱状,长轴垂直于纤维结缔组织轴心,胞质丰富,内含大量嗜酸性颗粒样物,细胞核呈圆形或卵圆形,体积较小,大小形态一致,深染,未见核分裂象。肿瘤细胞亦排列成腺管状或微囊状结构,其内充满黏液样物,部分微囊内含有退变的细胞碎片及数量不等的中性粒细胞,形成微脓肿(图3)。免疫组织化学示:2例肿瘤细胞均表达AE1/AE3、CK7、p53(5%~15%)、CD44;不表达突触素、嗜铬粒素A(CgA)、p16;基底细胞表达CK5/6、p63(图4);Ki-67阳性指数为2%~5%。特殊染色:肿瘤内微囊中的黏液呈阿辛蓝(AB)/过碘酸雪夫(PAS)染色阳性,PAS染色阴性。


病理诊断:鼻腔、鼻窦嗜酸性细胞乳头状瘤。
鼻腔鼻窦表面被覆的纤毛柱状上皮由外胚层衍化而来,被称为Schneiderian膜,有三种乳头状肿瘤起源于此,分别为:内翻性乳头状瘤、嗜酸性细胞乳头状瘤(OSP)与外翻性乳头状瘤[1],其中OSP最为罕见,检索国内外文献仅报道50余例,其发病率分布约占Schneiderian乳头状瘤的6%。OSP既往被称为柱状细胞乳头状瘤、圆柱细胞乳头状瘤、乳头状瘤病等,Barnes和Bedetti[2]发现,OSP肿瘤细胞质内含有大量的细胞色素C氧化酶,在超微结构上存在大量的线粒体,这些构成了其嗜酸性的特性,因此提出OSP起源于Schneiderian膜中的嗜酸性上皮细胞,OSP这一名称亦被广泛接受。
OSP发病无性别差异,一般发生于年龄稍大者(>50岁),40岁以下的患者不常见。肿瘤多见于鼻腔外侧壁,但也可起源于副鼻窦(上颌窦或筛窦),病变常局限于一侧鼻侧壁或一侧鼻窦,但如不引起重视,将会扩散到邻近部位,本文例1同时累及鼻腔、上颌窦、筛窦三个部位,考虑病情迁延所致。因OSP的生长位置不同,临床症状也不相同,主要表现为气道阻塞症状、流涕、鼻出血、无症状或疼痛的肿块、嗅觉减退等[3]。
大体观察OSP大都是暗红色至棕色的乳头状或息肉状病变,组织学上有如下几个特点:(1)同时具有外生性和内生性生长模式、粗细不等的乳头状结构;(2)乳头状结构被覆2~8层高柱状上皮细胞,胞质丰富,内含大量嗜酸性颗粒样物;(3)细胞核呈圆形或卵圆形,大小形态一致,深染,核分裂象少见;(4)黏膜内见数量不等的微囊状结构,其内充满黏液样物,部分可形成微脓肿,黏膜下无黏液囊肿;(5)间质成分从黏液样到纤维化不等,伴有不同数量的炎性细胞和血管成分,固有腺体减少或缺如;(6)乳头状结构之间为浆液性及黏液性分泌物,内含退变的肿瘤细胞碎片、不同种类和数量的炎性细胞。当肿瘤细胞或组织构象出现不同程度的异型性,核分裂计数增高的时候,要警惕肿瘤演变的可能性。OSP的恶变率为4%~17%[1],癌变多数为鳞癌,分化程度高低不等,其次为黏液表皮样癌,在少数情况下,也可以发生其他类型的癌,包括疣状癌、移行细胞癌、小细胞癌、腺癌和鼻窦未分化癌等。癌与瘤可同时存在,也可异时发生,癌灶可为局限性,亦可为广泛性,部分病例内可以查见瘤、上皮异型性增生、原位癌、浸润癌的演变。临床病史与影像学资料对于OSP恶变有一定的提示作用,而全面细致的取材与镜检是尤为重要的。目前OSP在免疫表型方面并无特异性的标志物,肿瘤细胞表达广谱CK、CK7,不表达突触素、CgA等神经内分泌标志物以及p16,基底细胞表达CK5/6、p63等,基底细胞的存在是OSP与浸润性癌鉴别的手段之一,Ki-67阳性指数一般不高,常在5%以下,如高于10%要警惕恶变的可能。肿瘤内微囊中的黏液呈AB/PAS染色阳性,PAS染色阴性。Ingle等[4]报道,CD44染色可以帮助确定肿瘤的性质,其在内翻性乳头状瘤中弥漫表达,而在癌中表达减少或缺如,本组2例OSP病例均标记CD44抗体,均呈弥漫阳性表达,因无癌变区域,无法对照观察OSP癌变区域是否也存在有CD44表达的减少或缺如,希望通过本文能够引起关注,有OSP癌变病例的同仁继续深入探讨。
鉴别诊断:(1)鼻孢子虫病:由希伯鼻孢子菌感染引起的慢性肉芽肿性炎,大体观呈息肉样或乳头样,镜下见黏膜内、黏膜下多量大小不一的孢子囊,囊内黏液潴留并含有丰富的内生孢子,周围组织中可有浆细胞、淋巴细胞、中性粒细胞浸润,可以有组织坏死并形成脓肿。与OSP相比较,鼻孢子虫病内的囊腔体积大而不规则,位置并不局限于黏膜内,被覆黏膜为普通型的呼吸道上皮,无广泛的嗜酸性改变。(2)内翻性乳头状瘤:被覆上皮层次较多,一般有5~30层,主要为一些非角化的鳞状上皮和过渡型上皮,表面可被覆单层纤毛柱状上皮,但不见单一的嗜酸性呼吸道上皮。肿瘤细胞以内生模式为主,向黏膜下方的间质内呈推挤式生长,可形成大小不等的实性巢团或吻合成宽大的条索状结构,而OSP一般不见这种结构。(3)嗜酸细胞瘤:由特征性有亮的嗜酸性颗粒性胞质的大上皮细胞构成的涎腺良性肿瘤,鼻腔鼻窦罕见,多原发于鼻中隔。肿瘤通常3~4 cm大小,有完整的包膜,切面亮褐色,分叶状。瘤细胞排列成实性或梁状,偶尔可见微囊形成。有丰富的颗粒状嗜酸性胞质和椭圆形泡状核的肿瘤细胞(亮细胞)占主导地位,还有少量含非常亮的嗜酸性胞质和浓缩的细胞核(暗细胞)。肿瘤细胞呈磷钨酸苏木精(PTAH)阳性。
OSP术后5年的总复发率为33%~40%[5]。OSP的治疗方法主要为手术彻底切除,临床上多采用鼻内镜手术,不仅要求将病变组织及其基底部完全切除,其周围充血水肿的黏膜也应一并切除,以减少复发和癌变。术后定期随访亦是预防该肿瘤复发与癌变的重要措施,本组2例术后分别随访6个月和2个月,暂无复发,仍在随访之中。





















