
版权归中华医学会所有。
未经授权,不得转载、摘编本刊文章,不得使用本刊的版式设计。
除非特别声明,本刊刊出的所有文章不代表中华医学会和本刊编委会的观点。
患者男,18岁。右侧腹股沟肿物半年。无发热,全身其他浅表淋巴结无肿大。血尿常规、生化常规等检查结果均正常。外院临床诊断:肿物性质待查。行右腹股沟肿物切除活检,病理诊断为淋巴结转移性恶性黑色素瘤。患者于2016年12月来广东省人民医院会诊。由于外院诊断为淋巴结转移性恶性黑色素瘤,患者来我院整形科将腹部、背部及左手背等所有可疑"痣"都切除送检。结果,只有"背部及左手背"为蓝痣;其余为真皮内痣或其他。最终考虑为起源于淋巴结的蓝痣。
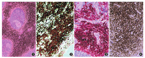
病理检查:外院大体观察:结节1枚,大小2.0 cm×1.5 cm×1.5 cm,切面呈多彩状,灰黑、灰红,质中偏软。镜下观察:低倍镜下淋巴结的皮质及副皮质区中均可见大量富含色素的肿瘤细胞,呈束状、片状或巢状(图1);中倍镜下瘤细胞呈梭形、树突状及上皮样;高倍镜下部分肿瘤细胞可见小核仁,核分裂象罕见。免疫组织化学:肿瘤细胞Melan A及SOX10强阳性(图2,图3),HMB45及MiTF中等阳性,S-100蛋白、波形蛋白及CD117弱阳性;而CD21、CD23、CD1a、Langerin、细胞角蛋白(CK)及D2-40均阴性;肿瘤细胞Ki-67阳性指数约1%(图4)。


病理诊断:(右侧腹股沟)淋巴结细胞性蓝痣。
随访:术后随访约10个月,未见复发。
蓝痣累及淋巴结较少见,多位于引流淋巴结的被膜或纤维隔膜,形态学上同皮肤、黏膜或其他器官的蓝痣,分普通型、细胞性、混合型及无色素型[1]。细胞性蓝痣是一种多位于真皮和皮下组织的黑色素细胞肿瘤,也可发生于眼、阴道、前列腺、精索、子宫颈及乳腺等器官[2,3]。1949年Allen[4]首次描述了细胞性蓝痣形态特点,与普通型蓝痣相比,细胞性蓝痣细胞明显丰富。细胞性蓝痣累及淋巴结实质者罕见,容易误诊为恶性。1996年González-Cámpora等[2]报道1例14岁女性患者,发生于腿部的细胞性蓝痣伴腹股沟淋巴结累及,镜下见富含色素的痣细胞团块,主要局限在淋巴结被膜上,极少数痣细胞出现在淋巴结实质中,呈局灶分布,被膜下窦及小梁周窦未见痣细胞。发生于淋巴结的细胞性蓝痣细胞,其形态与原发灶中病变一致,称之为腹股沟淋巴结良性转移。2008年Misago等[5]报道了1例34岁男性患者臀部细胞性蓝痣伴区域前哨淋巴结的累及,痣细胞主要在淋巴结被膜及隔膜中,少量痣细胞可见于淋巴结实质中。2014年Begum等[6]报道乳腺癌患者,前哨淋巴结冷冻切片中,于淋巴结实质中见少许痣细胞。细胞梭形、上皮样或树突样,呈束状或巢团状排列;胞质中富含大量的黑色素的细胞与胞质浅染的细胞相混杂,色素多为粗颗粒状;瘤细胞核膜规则,染色质较淡,部分核呈空泡状并可见一个小的嗜碱性核仁;核分裂象少见,细胞无明显异型性,无出血及坏死;可以出现灶性瘦长的类似神经鞘细胞,并可出现腺泡状结构[5,6,7,8]。个别病例出现一些异常改变,如核分裂象(约1/10 HPF),局灶坏死或核的多形型或染色质深,可能与恶性有部分重叠,被称为不典型细胞性蓝痣。
免疫表型上,淋巴结细胞性蓝痣与皮肤一般的蓝痣基本一致,痣细胞表达S-100蛋白、Melan A、HMB45、MITF、SOX10等色素细胞肿瘤的标志物,CD117通常也阳性,CD68阴性,Ki-67阳性指数一般很低;但HMB45强度常减弱[6,7,8]。HMB45、CD117阳性可以鉴别于恶性黑色瘤转移:HMB45阳性可以排除促纤维增生性恶性黑色素瘤的转移;CD117阳性也支持其为良性,因为大部分转移性恶性黑色素瘤CD117阴性。
此例腹股沟淋巴结细胞性蓝痣形态学上与皮肤的一致,以梭形细胞为主,富含大量色素,可见上皮样细胞及树突样细胞,核异型不明显,核仁不显著,核分裂象罕见。但是与已有报道不同的是瘤细胞主要见于淋巴结的实质及隔膜,淋巴结被膜上仅见少许瘤细胞。免疫组织化学标志物Melan A及SOX10强阳性,HMB45及MITF中等阳性,S-100蛋白、波形蛋白及CD117弱阳性,Ki-67阳性指数约1%,均支持是一个良性的细胞性蓝痣;此外CD21、CD23、CD1a、Langerin、CK及D2-40均阴性,排除了富含色素的树突细胞肿瘤。由于此例曾经误诊为淋巴结转移性恶性黑色素瘤,患者全身所有可疑"痣"都被切除送检,只有"背部及左手背"为普通型蓝痣,但腹股沟淋巴结非此部位的引流区域,不支持良性转移及皮肤蓝痣的淋巴结累及,最终考虑为起源于淋巴结的蓝痣。相似的报道,仅见于2010年Scheller等[9]的1例报道,该患者有27年病史,只有颈部淋巴结有细胞性蓝痣,而无皮肤原发灶的病例,且侵犯至周边骨骼肌组织。但无论形态学、免疫表型及病程均支持为良性。
淋巴结蓝痣可见于各种恶性肿瘤的引流淋巴结,但最常见于恶性黑色素瘤的引流淋巴结,有报道最高达22%[4,5,6]。腋窝淋巴结是最常见的皮肤蓝痣累及或良性转移所累及的淋巴结,可能原因是腋窝淋巴结是最常被切除的淋巴结。细胞性蓝痣区域淋巴结累及或者良性转移更罕见,细胞性蓝痣淋巴结良性转移或累及的几率<5%。重要的是一定要认识到这种淋巴结蓝痣是良性的,而非转移性恶性黑色素瘤。痣细胞常见于淋巴结被膜及隔膜可以提示其为良性。偶尔,淋巴结实质中可见痣细胞。这时,组织学诊断有时非常困难,患者年龄、病程长短对鉴别诊断非常有帮助;仔细观察细胞的形态特点,包括形态温和、核仁不明显、核分裂象少见(<2/10 HPF)、缺乏坏死,再加上与皮肤原发蓝痣(如果有)仔细对比,并结合免疫表型,可作出正确的诊断。HMB45、p16、Ki-67可帮助鉴别恶性黑色素瘤,然而,虽然HMB45均匀一致的表达常支持恶性黑色素瘤的诊断,但淋巴结的细胞性蓝痣与皮肤的一样表达HMB45。淋巴结转移性恶性黑色素瘤常p16阴性(p16缺失),而淋巴结蓝痣常p16核表达[4,5,6,7]。
鉴别诊断:(1)恶性黑色素瘤:瘤细胞多样,异型明显,核分裂象较易见,并可出现病理性核分裂象;或者核仁显著,或伴坏死。另外在免疫表型上如前所述,HMB45阳性可以排除促纤维增生性恶性黑色素瘤,CD117阳性、p16核表达也排除恶性而支持为良性。(2)色素性神经鞘瘤:累及淋巴结的色素性神经鞘瘤也非常罕见,多数患者有Carney综合征;细胞丰富,但多为瘦长的梭形细胞,无色素的细胞胞质嗜双色,多具有一个明显的小核仁并见核沟及核内包涵体;免疫组织化学染色S-100蛋白、SOX10弥漫强阳性,但HMB45及Melan A阴性等可资鉴别。(3)树突/指状突细胞肿瘤伴色素沉积:树突/指状突细胞肉瘤多见于淋巴结,有时局灶可见色素,但色素一般较少;而且淋巴结结构破坏,细胞卵圆形至梭形,核膜多有皱褶,免疫组织化学染色CD21、CD23阳性,SOX10、HMB45及Melan A等阴性,容易鉴别。(4)起源于蓝痣的黑色素瘤/恶性蓝痣:皮肤可有良性蓝痣成分,常为细胞性蓝痣;但同时可见明显增大的上皮样或梭形细胞,核呈多形型,染色质深,核仁显著,核分裂象多,色素减少或缺如;仔细询问病史及观察细胞学特点可以明确。





















