
版权归中华医学会所有。
未经授权,不得转载、摘编本刊文章,不得使用本刊的版式设计。
除非特别声明,本刊刊出的所有文章不代表中华医学会和本刊编委会的观点。
患者女,33岁。2016年外院B超提示"子宫肌瘤",未觉不适,未行特殊处理。2017年5月3日就诊于嘉兴市妇幼保健院,阴道彩超:子宫右后壁略外突见5.8 cm×5.7 cm×4.5 cm大小不均质偏强回声,内见1.0 cm×0.6 cm无回声(压迫宫腔,边缘贴近右侧壁浆膜层),边界尚清。门诊拟以"子宫肌瘤"收治入院。行腹腔镜下子宫肌瘤剔除术,术中见子宫右后壁一略外凸肿物,术中冷冻切片报告:平滑肌样肿瘤伴局部黏液变性。
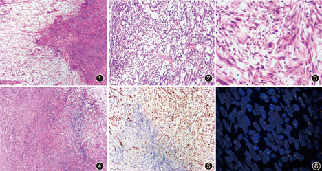
病理检查:条索状肿物一堆,大小约5.5 cm×4.5 cm×4.0 cm,切面实性灰白,质地中等伴区域黏冻感。镜下观察:肿瘤边界呈推挤状,由2种组织学类型或成分构成:黏液样肌纤维母细胞瘤样成分和束状平滑肌瘤样成分,两者交互交错并突然过渡(图1)。黏液样肌纤维母细胞瘤样成分约占70%,瘤组织呈疏松的束状或网状、微囊状排列,分布于富于血管的黏液样基质之中,局灶可见黏液湖形成(图2);瘤细胞呈纺锤状的长梭形,胞质嗜酸性,可见空泡状核和小核仁,偶见神经节细胞样细胞,核分裂象稀少(约2/50 HPF;图3)。束状平滑肌瘤样成分约占30%,倾向分布于肿瘤的周边,瘤组织呈密集的交错束状和编织状排列,类似于平滑肌瘤,瘤细胞胞质合体状嗜酸性,核形态温和,未见核分裂象,局灶可见玻璃样变伴水肿变性(图4)。2种肿瘤成分内均可见弥漫散在分布的炎性细胞浸润,黏液样成分较平滑肌瘤样成分炎性浸润更明显,炎性细胞主要为浆细胞和淋巴细胞。免疫组织化学染色:2种肿瘤成分均强表达平滑肌肌动蛋白(SMA)、结蛋白和间变性淋巴瘤激酶(ALK;胞质阳性,图5),黏液样成分较平滑肌瘤样成分ALK表达更弥漫。平滑肌瘤样区域弥漫强表达雌激素受体(ER)和孕激素受体(PR),而黏液样区域均局灶表达。CD10、HMB45、H-Caldesmon在2种成分中均阴性,p16和p53均为散在灶状表达,Ki-67阳性指数<5%。荧光原位杂交(FISH)检测提示肿瘤存在ALK基因易位(约40%肿瘤细胞内可见红、绿分离信号,图6)。


病理诊断:(子宫)炎性肌纤维母细胞肿瘤。
随访:患者术后一般情况良好,随访至2018年1月未见肿瘤复发及转移。
炎性肌纤维母细胞肿瘤(inflammatory myofibroblastic tumor,IMT)是一种好发于年轻人内脏器官和软组织的肌纤维母细胞性肿瘤。IMT最早被报道发生于肺部,被认为是一种炎性病变后的修复性病变,并非真性肿瘤。2001年Coffin等[1]通过免疫组织化学、免疫荧光及基因重排等技术证实IMT是单克隆增生性病变,半数以上存在染色体2p23上ALK基因易位和蛋白过表达,是一种具有复发潜能的真性肿瘤。IMT累及子宫罕见,检索国内外文献发现目前子宫IMT的报道不到60例[2,3,4,5,6,7],部分病例可能被误诊为平滑肌瘤或平滑肌肉瘤[4,6]。
子宫IMT患者发病年龄6~78岁[2,3,4,5,6,7],临床上通常表现为异常子宫出血或偶然发现的盆腔肿物,B超通常表现为黏膜下或肌壁间的息肉样或凸出性肿物。瘤体直径1.0~19.5 cm,边界清楚或不规则[2,3,4,5,6,7]。组织学上,子宫IMT可见2种比例和分布不等的形态学成分[2,4,6],最常见为黏液型或少细胞型,伴有空泡状染色质的胖梭形瘤细胞位于明显黏液变或水肿性基质之中,类似于结节性筋膜炎或组织培养样表现,背景中可见多量混合性的慢性炎性细胞浸润;其次为束状型,致密的梭形瘤细胞呈交错束状排列,细胞密度高,黏液基质以及炎性浸润较稀疏或不明显,非常类似于平滑肌瘤。瘤细胞通常仅可见轻度至中度核不典型性,核分裂象多少不等,(0~20)/10 HPF,偶见坏死[2,4,6]。免疫组织化学染色不同程度表达SMA、结蛋白以及H-Caldesmon,束状型较黏液型表达更强而弥漫;大多数表达CD10,以黏液型表达为主[4]。无p53和p16的异常表达[7]。绝大多数(87.5%~100.0%)子宫IMT表达ALK蛋白,通常为胞质表达伴核旁聚集,黏液型较束状型ALK表达更强而弥漫[2,4,6]。FISH检测证实黏液型和束状型均存在ALK基因易位,对诊断子宫IMT具有较高的特异性[4,6]。认识子宫IMT中的束状型成分对于准确地评估肿瘤的边界和大小有较重要的价值,因为如果将束状型成分误认为是黏液型成分浸润的正常子宫肌层,则可能导致错误地认为是肿瘤存在浸润性边界以及将肿瘤评估得较小。新近的遗传学分析表明子宫IMT中常见ALK-IFGBP5和ALK-THBS1融合,由于IGFBP5与ALK位于同一染色体上,FISH检测存在这一融合的IMT时可表现为假阴性的ALK易位[5]。
子宫IMT的鉴别诊断主要包括平滑肌肿瘤和子宫内膜间质肉瘤。(1)平滑肌肿瘤:束状型为主的IMT需要与普通的平滑肌瘤区别,黏液型为主的IMT需要与黏液性平滑肌肉瘤区分。新近Pickett等[6]应用ALK免疫组织化学染色以及FISH检测发现先前诊断的约0.3%的子宫平滑肌瘤和2.3%的平滑肌肉瘤实际上是IMT,这些肿瘤中均至少局灶存在提示可能为IMT的组织学特征,包括疏松的黏液性基质、组织培养样细胞以及散在的淋巴浆细胞浸润等。因此,子宫的IMT可能存在诊断不足,在子宫平滑肌瘤的常规诊断中进行ALK免疫组织化学染色的标准应降低[6]。与IMT不同,黏液性平滑肌肉瘤瘤细胞两端较钝圆而非纺锤状,核染色质更浓集而非空泡状,免疫组织化学染色不表达ALK,遗传学上无ALK基因易位。新近发现约半数的子宫黏液性平滑肌肉瘤存在p53和p16的异常表达(全或无),而IMT中无这2种标志物的异常表达,可资鉴别[7]。肌源性标志物和CD10在两者中均高表达,对于鉴别诊断帮助不大。(2)子宫内膜间质肉瘤:罕见的情况下子宫内膜间质肉瘤可表现出明显的黏液变性,易与IMT混淆,此外两者均高表达CD10可进一步造成诊断困惑。与IMT不同,子宫内膜间质肉瘤的背景为均匀一致的小口径血管网,瘤细胞围绕血管呈旋涡状排列,免疫组织化学不表达ALK,遗传学上特征性表现为JAZF1-SUZ12或YWHAE-NUTM等融合。
尽管既往报道中子宫IMT的生物学行为通常为惰性[2],但新近的小宗系列报道指出其可表现出复发和转移的进程[4,6]。提示肿瘤存在侵袭性进程的组织学特征包括[4]:(1)存在肿瘤性坏死;(2)瘤体直径>7 cm;(3)中-重度的细胞异型性;(4)核分裂象>10/10 HPF;(5)浸润性边界。本例肿瘤均未见上述特征,随访8个月呈惰性进程。
复旦大学附属肿瘤医院病理科王坚教授对本例肿瘤会诊





















