
版权归中华医学会所有。
未经授权,不得转载、摘编本刊文章,不得使用本刊的版式设计。
除非特别声明,本刊刊出的所有文章不代表中华医学会和本刊编委会的观点。
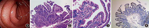
患者男,46岁。因"反复晕倒伴进行性消瘦1年"于2016年3月29日入院,外院多次检查提示低钾血症、大细胞性贫血、低蛋白血症,补钾治疗效果差,1年内体重下降35 kg,渐出现毛发干枯,皮肤粗糙。实验室检查:血常规:白细胞6.89×109/L,中性粒细胞0.685,红细胞2.57×1012/L,血红蛋白99 g/L,平均红细胞体积113 fL,血小板186×109/L;电解质:血钾3.26 mmol/L,血钙1.79 mmol/L,血磷0.94 mmol/L,血镁0.26 mmol/L,血清维生素B12浓度114 ng/L,血清叶酸浓度3.38 nmol/L;肝功能检查:血清白蛋白28.5 g/L,转氨酶及胆红素正常。其他检查如粪便常规+潜血、粪便培养等病原学检查、自身免疫指标、醛固酮、皮质醇、免疫球蛋白、甲状腺功能、尿24 h电解质等均未见明显异常,临床排除心脏、神经内分泌、风湿等系统疾病所致可能。心电图、胸片、肾上腺B超和胃镜均未见异常。肝脏MRI平扫+增强:不均匀脂肪肝,肝囊肿,肾囊肿。小肠镜检查:小肠黏膜绒毛粗短扁平、部分区域稀疏,未见溃疡、糜烂及新生物(图1)。胃镜及结肠镜检查:未见明显异常。临床初步诊断:小肠营养吸收不良综合征,具体原因待查。随访情况:营养支持及对症治疗,广谱抗生素治疗:头孢拉定0.5 g 1次/d,甲硝唑0.4 g 2次/d,连续治疗数月余,患者病情明显好转出院。随访1年半,患者无任何不适,营养状况明显好转,体重增长20 kg,复查各项指标正常。


送检十二指肠、空肠上段、空肠中段活检每部位组织2块,直径0.2 cm。镜下观察:十二指肠、空肠上段、空肠中段活检送检组织镜下观察小肠绒毛上皮内淋巴细胞显著增多,但绒毛轻度变钝,绒毛萎缩不明显(图2,图3)。免疫组织化学染色:示绒毛上皮内CD3阳性淋巴细胞增多(图4)。
结合临床表现符合热带性腹泻。
最初文献中报道热带性腹泻约在半个世纪前[1]。热带性腹泻是一种病因未明的获得性肠吸收不良综合征,发生于热带地区的居民和游客,包括西非、中美洲、南美洲、加勒比海地区、东南亚和印度次大陆在内[2]。热带性腹泻在非热带地区极为罕见,极容易误诊为乳糜泻、细菌过度生长、自身免疫性肠病或感染后肠易激综合征,及时诊断该疾病后运用广谱抗生素长时间治疗效果及预后非常好,因此掌握其病理特征有重要意义。
热带性腹泻在国内是罕见病,无论是临床上还是病理诊断中易被忽视。热带性腹泻的病理特征是:病变主要累及空肠和回肠,可至回肠末端;内镜下表现为小肠黏膜绒毛不规则、粗大、卷曲、变平,皱襞消失或呈扇贝样。组织形态学特征为:小肠绒毛上皮内淋巴细胞显著增多,绒毛轻度变钝,萎缩不明显,隐窝增生;固有层可见以淋巴细胞、浆细胞、组织细胞和嗜酸性粒细胞为主的慢性炎性细胞浸润;全肠道均受累但末端回肠受累更显著[3],因此导致维生素B12和叶酸缺乏比较明显。本例患者出现典型的消瘦、贫血、低白蛋白血症等营养不良表现,维生素B12和叶酸降低,贫血表现为巨幼红细胞性贫血,后进行一系列检查排除其他系统疾病累及,初步诊断为小肠吸收不良综合征。小肠活检病理表现为典型的小肠绒毛上皮内淋巴细胞显著增多,绒毛萎缩不明显,排除乳糜泻、自身免疫性肠病等其他疾病引起的小肠吸收不良综合征,采用长期广谱抗生素、对症治疗后患者康复支持该病诊断。有趣的是,本例经仔细询问病史,患者并无热带地区旅游经历,但发病之前有饮用山涧水后也出现短暂的呕吐、腹泻等急性胃肠炎表现病史,不排除患病与山涧水中微生物有关。
目前关于热带性腹泻的具体病因尚不明确[4],可能与营养不良、小肠需氧菌感染、微生物或饮食中毒素作用有关,与麦胶蛋白无关。但存在令人信服的证据即热带性腹泻是小肠感染性过程的一种表现(甚至也被称为感染后热带吸收不良)[4]。在热带性腹泻的病因中包含感染的证据包括以下:(1)热带性腹泻跟随急性胃肠炎发生;(2)该病流行发生,尤其发生在卫生条件较差的地方;(3)从发达国家去往流行区的游客易感;(4)与对照组相比,热带性腹泻患者肠道中细菌定植与细菌过度生长时常发生;(5)抗生素治疗反应良好[5]。有研究表明,急性胃肠炎是热带性腹泻的危险因素,急性感染性胃肠炎后可发展为感染性后吸收不良综合征[6,7]。本例有饮用山涧水后也出现短暂的呕吐、腹泻等急性胃肠炎表现病史。
热带性腹泻需与病理形态表现为小肠绒毛萎缩,上皮内淋巴细胞增多的其他疾病鉴别:(1)炎症性肠病如克罗恩病:病理变化表现除小肠绒毛萎缩,还表现隐窝扭曲/分支,肠黏膜腺体幽门腺化生和肠黏膜基底部浆细胞增多,可见非干酪样肉芽肿有助于鉴别[8]。(2)乳糜泻(谷蛋白敏感性肠病):又称为非热带性腹泻,也表现为小肠绒毛萎缩,但乳糜泻绒毛萎缩更明显,因此前者更类似于部分治疗后或潜伏型乳靡泻的形态;另外乳糜泻累及近端小肠,末端回肠豁免,因此B12和叶酸缺乏在乳糜泻患者中少见[4];无麦胶蛋白饮食治疗有效。(3)自身免疫性肠病:患者表现为难治性腹泻、重度营养吸收不良,主要累及小肠,但整个消化道均可受累,血清中存在抗肠上皮细胞抗体或抗杯状细胞抗体。镜下小肠绒毛萎缩明显,上皮内淋巴细胞数目增多以隐窝底部为主;绒毛上皮内淋巴细胞增多改变轻微;隐窝底部上皮细胞凋亡增多,杯状细胞、潘氏细胞减少或缺失[9]。(4)细菌过度增长:两者组织形态基本一致,但细菌过度生长在表面上皮除可见淋巴细胞外,还常见中性粒细胞;临床上,患者有肠运动障碍及淤滞等诱发因素且缺乏热带地区旅行史;氢呼吸实验阳性[10]。(5)感染后肠易激综合征:绒毛形态正常,黏膜固有层有轻度炎性细胞浸润[6]。
随着在热带地区的旅游业发展和就业机会增长,非热带地区的病理学家越来越有可能遇到热带性腹泻的病例,提高对本病的认识,对于及时诊断和治疗具有重要意义。
本例经美国芝加哥大学病理学系肖书渊教授会诊





















