
上皮鞘神经瘤是一种发生于真皮浅层的良性肿瘤或反应性增生病变,由鳞状上皮包裹神经纤维构成。该病非常罕见,迄今为止文献上的报道不足10例。现报道1例发生于57岁女性的上皮鞘神经瘤,并文献复习。
版权归中华医学会所有。
未经授权,不得转载、摘编本刊文章,不得使用本刊的版式设计。
除非特别声明,本刊刊出的所有文章不代表中华医学会和本刊编委会的观点。
患者女,57岁,务农。发现右肩部丘疹样结节1个月于2013年6月入院就诊。稍感疼痛伴瘙痒,无肿瘤病史,右肩部无创伤,无手术切除既往史。门诊就诊考虑皮炎类病变,手术切除。
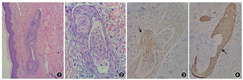
病理检查:大体观察:皮肤组织一块,大小0.4 cm×0.3 cm,皮肤表面灰褐色。镜下观察:见表皮、真皮、皮下脂肪组织,其中有皮脂腺、汗腺等附属器结构,表皮完整未见肿瘤性病变(图1),真皮层内见增粗的神经纤维束随机无序排列,部分神经纤维束被鳞状上皮包裹(图2),周围黏液样变性,少量淋巴细胞浸润,真皮层纤维组织胶原变性,连续切片未见到上皮神经结构与表皮连接,并通过S-100蛋白(图3)和广谱细胞角蛋白(CKpan,图4)免疫组织化学染色证实,肿瘤结构由神经纤维和鳞状上皮组成。


病理诊断:上皮鞘神经瘤。
上皮鞘神经瘤(epithelial sheath neuroma,ESN)神经周围被上皮细胞侵犯,常认为是恶性肿瘤的征兆,然而上述现象也可以存在于良性病变。ESN的特征是由良性分化的鳞状上皮包裹增生的神经纤维构成。
鉴别诊断:(1)皮肤高分化鳞癌侵犯神经,皮肤分化好的鳞癌神经侵犯与ESN的不同之处在于前者鳞状细胞巢的细胞有一定异型,且可见核分裂象,鳞状细胞巢累及范围较广,但该例无皮肤鳞状细胞癌和任何部位鳞癌的病史,可与之鉴别。(2)皮肤反应性神经上皮细胞聚集,该类疾病常有毛囊炎的病史,在有炎性病变的背景变化中仅含有1个或2个神经上皮细胞集体。(3)创伤性神经瘤可能伴有意外植入正常结构,如表皮的附件上皮植入真皮并伴有结缔组织的广泛纤维化,然而ESN特征是缺乏与先前创伤事件和结缔组织的广泛纤维化[1]。(4)无上皮鞘病变的皮肤错构瘤和具有上皮成分的恶性或良性神经源性肿瘤如:横纹肌肉瘤、间质错构瘤、神经滤泡错构瘤、恶性周围神经鞘瘤和神经鞘瘤,这些病变与ESN没有相似的组织病理学结构。在外周神经鞘瘤中,很少发现上皮成分,仅见于腺样神经鞘瘤,上皮在神经纤维中呈腺体样结构,而不是鳞状上皮包裹神经纤维束特点,有利于鉴别。
ESN的发病机制尚不确定,是一种增生或是肿瘤形成仍存在争议,其发病机制可能包括皮神经和鳞状上皮对外部刺激的反应,神经束膜鳞状化生,多潜能神经嵴细胞衍生鳞状上皮,上皮细胞陷入神经周围空间和错构瘤等多种假设[1]。
最近文献报道支持反应性增生过程,潜在的发病机制可能与摩擦或另一种外部刺激有关,如炎性反应诱导各种细胞因子,最终导致神经增生。反应性增大的神经可能通过释放白细胞介素-6刺激他们周围的角质形成细胞增殖[1,2,3]。Husain和Al-Daraji[4]也认为与微环境的局部变化有关,由低度炎性反应可引起局部解剖结构改变,伴随着神经和漏斗部上皮增生。本例组织通过连续切片发现一个有趣的改变,即在同一个视野中可以看到神经纤维包裹毛囊的毛囊球到神经纤维和上皮相互半包围的演变过程,最后,再到上皮完全包裹神经纤维束的改变。故支持ESN的发生是在致病因素的诱导下,由神经纤维和毛囊根部的毛囊球生发中心增生活跃的毛母质细胞共同异常增生形成的结果。
治疗和预后:局部切除可以治愈,Husain和Al-Daraji[4]报道的病例中,最长随访4年均未见复发。Vandergriff等[5]已报道过1例多灶性上皮鞘神经瘤,手术切除病灶后未复发。该例2013年手术至今未见复发。
所有作者均声明不存在利益冲突





















