
通过对子宫静脉内上皮样平滑肌瘤病的临床病理特征分析及相关文献复习,进一步了解这一少见肿瘤,尤其是该肿瘤更为罕见的特殊亚型,熟悉其特征性表现,注重术前检查、术中探查及全面取材对于作出正确的病理诊断及临床选择合适的手术方式极为重要。根治子宫静脉内上皮样平滑肌瘤病主要依靠彻底性手术,术后需要长期密切随访。
版权归中华医学会所有。
未经授权,不得转载、摘编本刊文章,不得使用本刊的版式设计。
除非特别声明,本刊刊出的所有文章不代表中华医学会和本刊编委会的观点。
患者女,43岁。因"发现子宫增大伴经期下腹痛进行性加重8年余"于2018年5月入院。体检:子宫前位,增大如孕3个月余,活动度一般,无压痛。B超:子宫前位,大小110 mm×100 mm×89 mm,子宫腺肌症,子宫肌层内低回声区,大者约17 mm×10 mm,肌瘤考虑。临床诊断:子宫腺肌症,子宫肌瘤。入院4 d后行全子宫切除术,术后未行其他治疗。
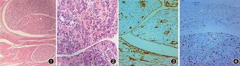
病理检查:送检子宫全切标本,宫体大小15 cm×12 cm×8 cm,宫颈管长2 cm,宫腔深7 cm,内膜厚0.2 cm。子宫肌壁间见可疑结节数枚,与周围组织脱离,似位于管腔内,切面灰白色,质地中等。周围肌层内可见陈旧性出血灶。镜下观察:子宫肿瘤组织主要位于静脉内(图1),部分区可见肿瘤组织与静脉壁相连。瘤细胞大部分由圆形、卵圆形的细胞构成,细胞质丰富、红染,细胞核呈圆形、卵圆形,可见小核仁(图2)。期间穿插有少部分梭形、细胞核呈短棒状的平滑肌细胞,并且两种细胞间有移行,肿瘤细胞表面被覆一层扁平内皮细胞。细胞核分裂象较低(1~2个/10 HPF)。免疫表型:瘤细胞波形蛋白、钙调节蛋白(calponin)、结蛋白、平滑肌肌动蛋白(SMA)均阳性;雌激素受体(ER)、孕激素受体(PR)亦为阳性;Myo D1、肌动蛋白、CD10、广谱细胞角蛋白(CKpan)均为阴性;Ki-67阳性指数为15%。


病理诊断:子宫静脉内上皮样平滑肌瘤病。
随访:术后随访4个月余,未见复发和转移,仍在继续随访中。
子宫静脉内平滑肌瘤病(intravenous leiomyomatosis,IVL)是一类罕见的脉管内生长的平滑肌肿瘤,典型的IVL多发生于晚期育龄妇女,年龄20~70岁,中位年龄45岁,通常原发于子宫,生长缓慢,界限清楚,具有与子宫良性平滑肌瘤相似的组织病理学形态,但具有侵犯静脉等不良生物学行为。IVL可局限于子宫静脉内,也可沿静脉回流方向通过子宫静脉、卵巢静脉延伸至下腔静脉内,甚至累及右心及肺动脉而危及生命。IVL发病率低,临床症状缺乏特异性,多表现为盆腔肿块或由增大肿瘤引起的临床症状,如月经过多、月经不规律、盆腔疼痛等。发生心血管受累者可表现为心电图异常,出现气促、心动过速、胸痛甚至猝死。对于该病的诊断,超声检测为首选,但是IVL通常缺乏典型的声像图特征,特别是病变早期肿瘤位于子宫肌壁血管内且体积较小时,或者伴随腺肌症等其他疾病时,超声检查误诊率较高,常误诊为子宫肌瘤、腺肌症等。CT和MRI上也难以与普通平滑肌瘤鉴别,确诊需依据病理学检查。
这一病症最早在1896年由Birch-Hirschfeld描述。1907年Dursk描述了第一个心脏受累的病例。IVL的发病机制目前尚无定论,主要有两种理论:(1)直接起源于子宫静脉壁的平滑肌组织;(2)由子宫平滑肌瘤侵入脉管内生长而成[1]。本例子宫平滑肌细胞和肿瘤细胞弥漫表达ER、PR,而血管内皮细胞和管壁平滑肌细胞阴性;肿瘤表面及血管内壁有CD34表达,肿瘤内部新生小血管腔内CD34亦呈阳性,而肿瘤细胞阴性(图3),故我们倾向于IVL是子宫平滑肌瘤向脉管内侵袭形成的观点,与多数学者观点一致。文献报道,高雌激素水平可能与IVL的生长和蔓延有关[2]。子宫IVL累及心脏,可能起源于具有t(12;14)(q15;q24)的子宫平滑肌瘤,并认为过量拷贝12q15-qter或14q24-qter缺失可能是平滑肌瘤向脉管内浸润和增殖的重要原因[3]。另有研究提示高迁移率蛋白(HMGA2)作为一种非组蛋白的DNA结合蛋白,参与基因转录调节,从而影响下游基因的分化和增殖,在胚胎发育中起重要作用。HMGA2蛋白在58%的IVL中表达,而在子宫平滑肌瘤中表达率为32%,这些发现表明HMGA2蛋白的异常表达可能有助于IVL的发生、发展及其侵袭性生长[4]。
IVL是一种罕见的子宫良性肿瘤,和普通的平滑肌瘤一样可以存在各种亚型,宁燕等[5]回顾分析29例IVL的临床和病理资料显示有1例为富于细胞型、1例为核分裂活跃型。赵瑞皎等[6]报道的6例IVL部分病例局部呈平滑肌脂肪瘤样、上皮样或子宫内膜间质细胞样。宋红杰等[7]报道1例具有上皮样平滑肌表达的IVL,国外文献称之为具有肾外横纹肌瘤样细胞的子宫平滑肌瘤或胞质内具有包涵体的横纹肌样表现的子宫平滑肌瘤。该特殊类型IVL具有特征性的细胞质内呈毛玻璃样改变的球形包涵体,而在普通型平滑肌瘤内尚未发现。本例为静脉内上皮样平滑肌瘤病,作为IVL的一种特殊类型,亦相当罕见,诊断依据主要根据镜下形态特征,肿瘤位于静脉内,局部与静脉壁相连,瘤细胞多为圆形、卵圆形,可见核仁,瘤细胞异型性不明显,核分裂象较少见。本例同时伴有子宫腺肌症及普通型子宫平滑肌瘤。免疫组织化学结果显示平滑肌源性标志物(结蛋白、calponin、SMA)阳性,上皮标志物阴性,MyoD1、CD10阴性,肿瘤表面及血管内皮细胞表达CD34,肿瘤细胞Ki-67阳性指数(15%,图4)。
鉴别诊断:(1)良性转移性平滑肌瘤(benign metastasizing leiomyoma,BML)。BML的特点是子宫平滑肌瘤合并肺部转移,而IVL是存在静脉内的生长方式。但是IVL可合并BML,有研究表明很多BML在子宫原位有IVL存在。同时,该研究也发现,具有血管微浸润的子宫平滑肌瘤病例可同时伴发BML及IVL,该研究结果提示血管微浸润可能是BML和IVL的共同前驱事件,由此可以推测:BML可能继发于IVL[8]。(2)子宫内膜间质肉瘤(endometrial stromal sarcoma,ESS)。ESS与IVL在生物学行为与病理特征方面相近,也常显示血管受累并可向宫外组织扩展。但是ESS肿瘤质地细腻,鱼肉状,高级别ESS因肿瘤细胞异型性明显、病理性核分裂象易见,可见凝固性坏死等恶性特征,易与IVL鉴别。低级别ESS镜下肿瘤细胞均匀一致,类似于正常增生期子宫内膜间质,免疫组织化学染色CD10阳性,而不表达肌源性标志物,可鉴别。(3)子宫平滑肌肉瘤(leiomyosarcoma,LMS)。LMS也存在类似IVL样的静脉内生长方式,或者当LMS伴广泛血管侵犯时,易与IVL混淆,但是根据细胞的不典型性、细胞密集及分化程度、肿瘤性巨细胞及子宫体肌层浸润等特征,可与IVL鉴别。
治疗与预后:手术切除为IVL首选治疗方法。手术可分为根治手术和分期手术。局限于子宫的IVL手术范围可根据患者的年龄、生育要求而定。对无生育要求的患者主张行全子宫加双附件切除术,术中应仔细探查子宫周围血管有无受累,能否完整彻底切除肿瘤是治疗关键,切除完全者预后良好,切除不全者复发率可高达30%[9]。若瘤体累及下腔静脉或者心脏,还需行心脏及下腔静脉瘤体切除术。由于IVL具有激素依赖性,对于有生育要求、切除不全或者肿瘤复发者,可予抗雌激素药物治疗,但是目前疗效尚存争议。由于IVL发病隐匿,临床表现不具有特异性,且病变大多较广泛,子宫切除时常已有血管内微血栓形成或由于缺乏经验忽略子宫、卵巢及下腔静脉内病变,术后复发率较高。术后应进行长期随访,超声波检查具有简单易行的优点,可作为长期随访的首选方法,以早期发现复发病灶,及早采取治疗措施,改善患者预后。本例IVL肿瘤增殖指数较报道普通型静脉内平滑肌瘤高,提示该肿瘤细胞增生活跃,生物学行为更具侵袭性,更需要密切随访,但是目前报道病例数少,对其自然病程及确切发病机制尚不清楚,待密切随访和积累病例进一步研究。
本例经浙江大学附属妇产科医院陈晓端教授会诊
所有作者均声明不存在利益冲突





















