
中耳腺瘤是中耳罕见肿瘤,关于该疾病的起源及分类尚存争议。形态学上,细胞形态一般较温和,以腺样结构为主;生物学行为上,倾向于低度恶性病变,有局部复发可能。该文通过系统性回顾已经报道的文献,并对中耳腺瘤的发病机制、临床特征、影像学表现、病理学特征及生物学行为作一综述,从而提高对该疾病的了解和认识。
版权归中华医学会所有。
未经授权,不得转载、摘编本刊文章,不得使用本刊的版式设计。
除非特别声明,本刊刊出的所有文章不代表中华医学会和本刊编委会的观点。
中耳腺瘤是一类罕见的肿瘤,占所有中耳肿瘤的不足2%[1],由于报道病例数有限,目前,对于该类病变的分类、病因及生物学特性的研究尚不明确。现有的报道倾向于低度恶性病变,细胞形态一般较温和,有局部复发可能,但对于是否存在远处转移尚存在较大争议[2]。1976年Hyams和Michaels第一次提出中耳腺瘤的概念,并对其进行了描述,在报道的20例中耳肿瘤中,其形态与副神经节瘤或已知唾液腺肿瘤不一致,因而他们将之命名为中耳腺瘤[3]。1980年,Murphy等报道了1例类似的中耳肿瘤,由于其超微结构和组织化学染色均显示出神经内分泌特征,因此将其标记为类癌。随后,陆续有一些相似病例被报道,这些肿瘤被冠以各种名称,包括中耳腺瘤、类癌、腺瘤性肿瘤、腺癌样肿瘤和双分泌性肿瘤等[3,4,5]。在2017版WHO头颈肿瘤分类中,也提到了中耳腺瘤的同义词,例如中耳神经内分泌腺瘤、具有神经内分泌分化的中耳腺瘤和中耳类癌等。本文将从病因、分类、临床特点、影像学表现、病理特征及治疗方面对该类疾病进行讨论。
目前,对其组织学起源及分类仍存在争议。在没有神经外胚层细胞的情况下,肿瘤表达神经内分泌标志物,这表明肿瘤可能来源于未分化的祖细胞[2]。同时有证据表明来自神经嵴的肾小球细胞通常呈现神经内分泌特征,没有上皮结构和外分泌特征,而这一点与中耳腺瘤十分相似,因此有人提出肿瘤与神经嵴来源的未分化的多能干细胞相关[2,6,7,8,9]。也有人提出,肿瘤可能起源于中耳黏膜内腺细胞移位或胚胎残基[10]。在6例病例中,Agaimy等[8]发现在残留的正常腺体内存在一些神经内分泌细胞,表明至少在某些情况下肿瘤可能来源于分布于正常黏膜下腺体内的散在的神经内分泌细胞,类似于胃肠道胰腺神经内分泌肿瘤。
中耳腺瘤与类癌是否为相互独立的肿瘤实体似乎也有争议,Bell等[2]认为它们是两种不同的生物学行为的肿瘤。超微结构研究显示肿瘤同时具有黏液腺和神经内分泌分化,因此Ketabchi等[11]提出应该使用"中耳腺类癌"或"双分泌性肿瘤"来替代"腺瘤"这一术语,因为这样可以更好地体现其双重性。然而Thompson和Torske认为虽然有多种名称,但实际上它们代表了一组具有不同程度神经内分泌分化的同一病理学谱系[9],因此,有人倾向于根据免疫组织化学标志物和是否有转移对这些肿瘤进行分类[10]。Saliba和Evrard[12]提出将中耳腺肿瘤分为3种类型,即Saliba分类:其中Ⅰ型为中耳腺瘤,占肿瘤的76%,免疫组织化学阳性,无转移;Ⅱ型肿瘤为中耳腺瘤,占20%,免疫组织化学阴性,无转移;Ⅲ型肿瘤仅占4%,为中耳类癌,免疫组织化学阳性,出现转移或者类癌综合征。目前,还没有关于该肿瘤分子机制方面的研究。
肿瘤发生的平均年龄在50岁左右(14~80岁)[6],未发现明显的性别差异。最常见和最主要的症状表现为渐进性听力丧失[10],其他常见表现还有堵塞感或压力感、耳鸣、眩晕等[12]。少数患者也会出现面神经麻痹,耳分泌物增多或者疼痛,有学者提出这往往提示恶性的倾向[8]。目前认为面神经麻痹与解剖异常,或肿瘤局部压迫有关而不是肿瘤侵犯导致的,在手术切除后,这一临床症状常能够得到缓解甚至完全消失[9]。耳镜检查常可见完整的鼓膜,肿瘤一般局限于中耳内,也可扩展至鼓室[1],少数情况下肿瘤可穿透鼓膜并伸入外耳道或者乳突骨[2,8]。目前只有1例患者出现了副肿瘤综合征的报道[13]。
CT上,肿瘤表现为乳突骨内无血管走行的软组织密度影,可以延伸至中耳和乳突,中耳间隙内常见骨扩张,与骨重塑和骨壳有关[1],肿块通常跨听骨链生长,但一般没有骨质侵蚀[6]。Hu等[14]报道的1例显示明显的骨形成,因此作者提出当中耳腔有明显的骨形成时,鉴别诊断应包括中耳腺瘤。MRI T1加权像中肿瘤与周围正常组织的信号相当,而在T2加权像中,肿瘤信号广泛增强,弥散加权成像(HASTEDWI)不受限[8]。对于扩展至后颅窝的肿瘤,MRI检查非常重要。有研究者认为,奥曲肽扫描对于中耳类癌复发和转移的随访是一种敏感的方法[6],但还没有研究评估对肿瘤的诊断和术前奥曲肽扫描的使用[10]。
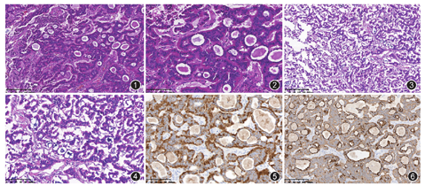
大体观察肿瘤质地从较软、橡胶状至坚硬不等,一般无包膜,切面呈白灰色或红棕色,大多数肿瘤直径<1 cm[8]。低倍镜下,生长方式多样,以腺样结构为主(图1,图2),具有背靠背的腺体结构[1,2],腔内常含无定形黏蛋白分泌物。病变一般呈现双层细胞结构,内部腔细胞胞质呈嗜酸性,周围基底呈柱状立方细胞。这一模式可通过电镜及免疫组织化学染色来更好的证实,Torske和Thompson[9]通过电镜观察,发现了两种不同的细胞类型,并提出A、B两型细胞,A型细胞主要出现在腺腔顶端,内含黏液颗粒,B型细胞主要出现在腺腔的基底部,呈柱状立方细胞,内含致密的神经分泌颗粒。肿瘤常见的其他生长方式还包括实性、片状、小梁状(图3,图4)、囊性、巢状和筛状、假血管瘤样、浆细胞样等[8],有文献报道,在实性结构区域,常可见到典型的浆细胞样外观[1]。在小梁和实性生长模式中,染色质倾向于神经内分泌起源一致的"椒盐样"模式,细胞核呈圆形至椭圆形,染色质呈"椒盐样",胞质呈嗜酸性,细颗粒状。镜下常可见细胞多形性,但很少出现核分裂象,一般不伴坏死,偶尔出现明显的多形性和核分裂象增多[2]。有时可见瘤细胞呈Paget样扩散[8,9],极少数情况下肿瘤可累及周围神经[8]。间质常呈疏松状,可见肉芽肿形成[1]。


肿瘤一般表达广谱细胞角蛋白和神经内分泌标志物,包括CK7、嗜铬粒素A(CgA)、神经元特异性烯醇化酶(NSE)和突触素[2,10](图5,图6)。CK7在腺样结构的内层管腔细胞中常有强而一致的表达,在其他生长结构中也有不同程度的表达,而神经内分泌标志物在腺样结构的基底细胞层呈阳性,在一定程度上证明了腺样结构中的双层细胞形态。人胰多肽在病变中局灶阳性表达[9]。有文献报道肿瘤细胞也可不同程度地表达CAM5.2、EMA、CD56、S-100蛋白、LEU-7、血清素、胰高血糖素、促肾上腺皮质激素和生长抑素和各种多肽以及转录因子[1,9]。病变一般不表达SMA、结蛋白、甲状腺转录因子(TTF)1、CDX2以及PAX8[8]。腺腔内胞质分泌物对阿辛蓝和PAS染色呈阳性。Agaimy等[8]的研究显示,在所有中耳肿瘤的细胞核中,ISL1都有强而弥漫的表达。
中耳腺瘤需要与一系列疾病进行鉴别诊断,包括颈鼓室副神经节瘤、腺样囊性癌、内淋巴囊乳头状肿瘤、有腺体样结构的脑膜瘤、听神经瘤、横纹肌肉瘤以及其他耳原发性和转移性腺癌等。颈鼓室副神经节瘤是中耳最常见的肿瘤,进行性听力丧失也是其最常见的临床症状,但是副神经节瘤还特征性地表现为搏动性耳鸣。显微镜下典型副神经节瘤经常表现为巢状分布,即"细胞球"模式,同时具有富于血管的基质,借助这两点可帮助与中耳腺瘤相鉴别。免疫组织化学S-100蛋白阴性和Keratin强阳性强烈支持中耳腺瘤的诊断[6]。同时有文献报道类癌肿瘤中甘丙肽阴性,而在一些副神经节瘤中表达甘丙肽[15]。内淋巴囊乳头状肿瘤表现为一种破坏性的浸润性生长,常伴骨侵犯或者向颅内延伸,这种侵袭性的生物学行为与中耳腺瘤有显著差异[1,16]。显微镜下有腺样结构的脑膜瘤可出现特征性的旋涡状结构和沙砾体结构[17],同时免疫组织化学染色缺乏神经内分泌标记。听神经瘤具有明显的局限性,组织学形态类似神经鞘瘤,富于细胞区域及细胞减少区域交替出现,可出现Verocay小体样结构,免疫组织化学S-100蛋白弥漫阳性[1]。腺泡状横纹肌肉瘤表现为腺泡状生长模式,但很少发生在中耳,免疫组织化学平滑肌标志物阳性,且不表达上皮和神经内分泌标志物,可以帮助与神经内分泌腺瘤鉴别[18]。分子病理检查中腺泡状横纹肌肉瘤可出现染色体易位t(2;13)(q35;q14)[19]。中耳发生的其他原发性和转移性腺癌,常表现为显著细胞多形性、坏死和核分裂象增多,甚至累及骨和邻近组织,而神经内分泌腺瘤通常缺乏上述侵袭性组织学特征[20]。值得注意的是,Tomazic等[21]报道了1例中耳腺瘤,临床表现为慢性中耳炎伴有面神经麻痹,因此,作者提出在处理慢性中耳炎时,对保守治疗无效,伴有面神经麻痹发作时,鉴别诊断时应考虑中耳腺瘤的诊断。
中耳腺瘤是中耳罕见肿瘤,关于该疾病的起源及分类尚存争议。渐进性听力丧失是该疾病最常见的临床症状,光镜下以具有双重细胞形态的腺样结构为主,还可表现为实性、片状、小梁状、囊性、巢状和筛状、假血管瘤样、浆细胞样等,肿瘤一般表达广谱细胞角蛋白和神经内分泌标志物,包括CK7、CgA、NSE和突触素等。现有的报道倾向于低度恶性病变,细胞形态一般较温和,有局部复发可能,但仍需要长期的临床随访及大量研究来进一步明确其生物学行为。
所有作者均声明不存在利益冲突
1.以下第一次提出了中耳腺瘤概念的两位病理学家是( )
A. Hyams和Murphy
B. Michaels和Murphy
C. Hyams和Michaels
2.中耳腺瘤中肿瘤神经内分泌免疫组织化学阳性,未出现转移,依据Saliba分类属于哪一型( )
A. Ⅰ型
B. Ⅱ型
C. Ⅲ型
3.Hyams和Michaels通过电镜观察发现中耳腺瘤中富含神经分泌颗粒的细胞是( )
A.腺腔顶端的A细胞
B.腺腔的基底部的B细胞
C.间质细胞
4.免疫组织化学染色中,中耳腺瘤肿瘤细胞一般不表达的是( )
A. CK7
B.嗜铬粒素A
C.平滑肌肌动蛋白
5.对于中耳腺瘤的治疗,目前推荐的方法是( )
A.完整外科切除
B.放疗或化疗
C.生长抑素类似物的辅助治疗





















