
巨核细胞性间质性肾炎是一种少见的进展性肾衰竭性疾病,本例患者肾脏病理示巨核细胞性间质性肾炎,在FAN1编码的Fanconi贫血相关的核苷酸酶1的基因位点发生隐性突变。
版权归中华医学会所有。
未经授权,不得转载、摘编本刊文章,不得使用本刊的版式设计。
除非特别声明,本刊刊出的所有文章不代表中华医学会和本刊编委会的观点。
患者男,28岁,汉族,未婚,工人,因间断性恶心2个月,发现血肌酐升高1 d于2019年1月5日入院。患者2个月前因恶心行胃镜检查并治疗(外院治疗方法不详)。入院1 d前,查体发现血肌酐141 μmol/L,谷丙转氨酶(ALT)53 U/L,尿常规示尿蛋白+/-,红细胞39个/μL,白细胞12.1个/μL。有吸烟史,每天10支左右,偶有饮酒,以往有6年电焊工作,1年有接触氨水、盐酸、三乙醇胺、硅酸盐等制剂从事工厂化验工作。父亲有乙肝病史,因肝癌50岁去世,母亲健在,其舅舅30岁发现肝硬化,35岁因肝硬化去世。体检:血压126/80 mmHg(1 mmHg=0.133 kPa),心肺阴性。腹软,肝脾不大,肾区无叩痛,双下肢无水肿。胸部高千伏摄影正位未见异常,彩色超声肝脏、胆囊、胰腺、脾脏形态正常。胃镜检查:胃窦散在多个0.1~0.3 cm大小不等息肉样结节。血常规:白细胞9.62×109/L,红细胞4.97×109/L,血红蛋白147 g/L,血小板320×109/L,肝功能正常,乙肝HBsAb 275.6 IU/L,HBsAg、HBeAg、HBeAb、HBcAb正常,抗核抗体1∶80。肾功能:尿素6.2 mmol/L,肌酐160 μmol/L,尿酸364 μmol/L,β2微球蛋白2.8 mg/L,胱抑素C 1.58 mg/L。尿常规:尿葡萄糖阴性,尿蛋白+/-,隐血阴性。24 h尿蛋白定量0.34 g,尿微量白蛋白39.6 mg/L,尿肌酐19.52 mmol/L,尿微量/尿肌酐2.03,尿α1微球蛋白137.6 mg/L,尿转铁蛋白4.3 mg/L,尿IgG 13.7 mg/L。肾脏彩超左肾8.1 cm×5.2 cm×5.0 cm,实质厚1.4 cm,右肾8.2 cm×4.3 cm×3.8 cm,实质厚1.4 cm,肾脏CT肾脏形态可,实质密度均匀。
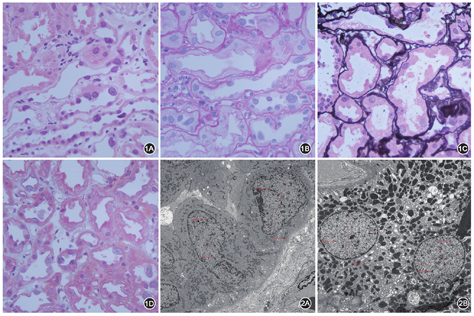
肾脏病理:肾穿刺组织常规做HE、过碘酸-雪夫(PAS)、过碘酸-银-乌洛托品(PASM)、Masson染色,肾皮质内可见48个肾小球,其中10个肾小球球性硬化,硬化的肾小球体积较小。其余肾小球系膜细胞和基质轻度增生,无明显局灶节段性加重及内皮细胞增生,系膜区嗜复红蛋白沉积,毛细血管襻开放,基底膜无明显增厚,未见钉突样结构,无系膜插入及双轨形成,上皮下、内皮下无明显嗜复红蛋白沉积,壁层上皮细胞无明显增生,未见新月体形成,个别肾小球球囊周轻度纤维化。肾小管上皮细胞空泡及颗粒变性,部分肾小管上皮细胞核增大,少数肾小管管腔扩张,刷毛缘消失,灶状萎缩(萎缩面积约20%),肾间质灶状炎性细胞浸润伴纤维化,细动脉节段性玻璃样变,小动脉管壁增厚,管腔狭窄(图1)。免疫荧光:肾小球7个,IgG阴性,IgA(++),IgM(+),C3(+),C1q(阴性)。沉积部位及方式:肾小球:弥漫、球性;系膜区:逗点状,肾小管、间质、血管无沉积。电镜:肾小球:镜下检测到4个肾小球,其中1个肾小球硬化,另3个肾小球毛细血管内皮细胞明显空泡变性,个别管腔内可见红细胞聚集,无明显内皮细胞增生,毛细血管襻开放。肾小囊壁层无明显增厚,壁层细胞空泡变性,无明显增生。基底膜:无明显增厚,厚度约250~430 nm。脏层上皮细胞:上皮细胞肿胀,空泡变性。足突节段性融合。系膜区:系膜细胞和基质增生,系膜区可见高密度电子致密物沉积。肾小管-间质:肾小管上皮细胞空泡变性,肾小管细胞核增大,核增大达到6 723~17 956 nm之间,呈不规则轮廓(图2)。肾间质无特殊病变。肾间质血管:个别毛细血管管腔内见红细胞聚集。


病理诊断:(1)巨核细胞性间质性肾炎;(2)轻度系膜增生性IgA肾病伴部分肾小球硬化。
肾脏病相关基因检测,患者第15号染色体长臂1区3带第3亚带NM_014967.4 Exon7 c.1969delC p.(Leu657fs)变异,该变异为移码突变(翻译产物蛋白质自第657位氨基酸Leu开始发生移码,并使得蛋白质翻译提前终止)。患者第15号染色体长臂1区3带第3亚带NM_014967.4 Exon14 c.2928dupT p.(Lys977*)变异,该变异为无义突变(编码蛋白质的第977位氨基酸由Lys变为终止密码子,预计可使蛋白质翻译提前终止)。该变异预计会导致所编码的蛋白质发生截短而影响蛋白质的正常功能。
巨核细胞性间质性肾炎是一罕见疾病,首先在1974年由Burry报道,年轻患者多见,伴有肾小球病变引起非肾病综合征性蛋白尿,进展性慢性肾衰竭,发病机制不清[1]。
巨核细胞性间质性肾炎特点是肾硬化、肾间质纤维化、肾小管萎缩和在皮质和髓质有明显扩大、高染色质的有不规则轮廓肾小管细胞核,核型三倍于正常毗邻的肾小管细胞,极大核细胞的染色体可超过正常6倍[2]。通常肾小球硬化、慢性间质纤维化和肾小管的改变是非特异性,肾小管近端和远端小管内侧有表皮巨核细胞存在,有明显核扩张和高染色质的核是疾病的标志[3]。本例患者光镜肾小管上皮细胞核增大,电子显微镜肾小管上皮细胞核增大达到6 723~17 956 nm之间,扩大的核是正常的三到四倍以上,此患者巨核细胞性间质性肾炎诊断明确。巨细胞病毒和疱疹病毒感染可致巨大核细胞,但肾小管表皮细胞核内有包涵体,不是多形核,常是局灶性的参与,而巨核细胞性间质性肾炎核是巨大的、多形的、高染色质的,通常广泛的参与[4],此患者肾间质无病毒包涵体存在。肾小管巨核同重金属、赭曲霉毒素A、烷化剂治疗相关[5],此患者无接受药物治疗病史。
巨核细胞性间质性肾炎被认为是一遗传性疾病,FAN1基因突变是巨核细胞性间质性肾炎原因[1],FAN1基因发生常染色体隐性突变,编码Fanconi贫血相关的核苷酸酶1,对DNA链间交互连接的修补是必需的,FAN1特异地参与了链间交互连接引起的DNA打断,可能对同源重组中间物的分解有作用,在肾脏、肝脏和神经组织表达中有重要优势地位,受影响器官的链间交互连接病变可能因处理方式不同,最终导致不同的临床表现[3]。此例患者其父亲50岁因肝癌去世,其舅舅35岁因肝硬化去世,其FAN1基因测序显示染色体位置15q13.3的参考序列NM_014967.4的外含子Exon7的c.1969delC在蛋白水平p.(Leu657fs)和Exon14的c.2928dupT在蛋白水平p.(Lys977*)位置上发生变异,患者可能存在常染色体隐性遗传。
本例患者肾脏彩超示体积小,但肾脏CT结构实质可,患者尿微量白蛋白39.6 mg/L,尿α1微球蛋白137.6 mg/L,尿微量蛋白排出增加提示肾小球异常,尿α1微球蛋白分泌增加是检测近端肾小管病变敏感性临床分析指标[6]。本例患者24 h蛋白尿0.34 g,血肌酐在140~160 μmol/L之间。国外报道巨核细胞性间质性肾炎往往没有明确病因,临床和实验室表现轻到中度肾功能异常,不存在或轻度蛋白尿,和/或尿沉渣异常[3]。巨核细胞性间质性肾炎在肾活检病理检查中不到1%,一些病例可能未能得到肾活检证明或识别,疾病真正流行性可能被低估[7]。
所有作者均声明不存在利益冲突





















