
研究新型冠状病毒(2019-nCoV)感染所致新型冠状病毒肺炎(WHO命名为2019冠状病毒病,COVID-19)病理学改变及其临床意义。
对重庆地区3例新型冠状病毒肺炎患者进行死亡后微创尸检,获取肺脏、心脏、肾脏、脾脏、骨髓、肝脏、胰腺、胃、肠、甲状腺和皮肤组织。常规HE、透射电镜和组织化学染色观察各脏器组织病理变化,免疫组织化学染色分析炎性细胞浸润情况和2019-nCoV病毒蛋白,荧光定量聚合酶链反应法检测各脏器中2019-nCoV病毒RNA。
肺泡结构呈现不同程度的破坏,肺泡腔内见少量浆液和纤维蛋白性渗出物,部分肺泡见透明膜形成。渗出细胞主要为单核细胞和巨噬细胞,可见少数多核巨细胞,淋巴细胞、嗜酸性粒细胞和中性粒细胞。淋巴细胞主要为CD4阳性T细胞。Ⅱ型肺泡上皮细胞显著增生,部分细胞脱落至肺泡腔。肺泡隔血管充血、水肿、增宽,可见少量单核细胞和淋巴细胞浸润,少数微血管内见透明血栓;肺组织灶性出血,部分肺泡腔渗出物机化和肺间质纤维化。肺内各级支气管黏膜均可见部分上皮脱落。电镜下小支气管以下气道黏膜上皮和Ⅱ型肺泡上皮细胞胞质内可见冠状病毒颗粒。免疫组织化学染色显示部分肺泡上皮和巨噬细胞呈2019-nCoV抗原阳性,荧光定量聚合酶链反应检测证实2019-nCoV核酸阳性。脾脏淋巴细胞减少,可见变性、坏死。其他器官组织病变包括不同程度的实质细胞变性、坏死、小血管内透明血栓形成,并见慢性基础疾病改变;均未观测到冠状病毒感染证据。
新型冠状病毒肺炎病变以肺最为显著,主要表现为肺泡渗出性炎和间质炎,肺泡上皮细胞增生和透明膜形成,病毒主要分布于肺,但该病还累及免疫器官、心血管、肝脏和肾脏等多个脏器受损。病变机制有待深入研究。
版权归中华医学会所有。
未经授权,不得转载、摘编本刊文章,不得使用本刊的版式设计。
除非特别声明,本刊刊出的所有文章不代表中华医学会和本刊编委会的观点。
由新型冠状病毒(2019-nCoV)感染所致的新型冠状病毒肺炎(简称新冠肺炎;WHO命名为2019冠状病毒病,COVID-19)是一种重大新发传染病,传染性强,危害大。截至2020年3月10日已蔓延至全球109个国家和地区,确诊病例累计超过11万人。目前,我国学者在病原学、流行病学、诊断和治疗策略等方面取得诸多进展,然而,患者各脏器的组织病理学特征研究相对缺乏,亟需更多病理学证据来分析疾病发病机制和临床病理联系。我们于2020年2月8日在全国率先获得省级以上卫生行政部门指定开展新冠肺炎尸检工作的资质,开始启动尸检工作。我们对重庆地区3例新冠肺炎病理变化进行了初步研究,旨在揭示新冠肺炎病理特征,为认识该病发病机制、解释临床表现和完善诊治方案提供病理学依据。
3例患者中男性2例,女性1例;年龄分别为63岁(例1,男)、69岁(例2,男)、79岁(例3,女)。其中2例(例2、例3)无明确疫区和新冠肺炎病例接触史。3例患者均经咽拭子检测和胸部CT结果确诊为新冠肺炎。主要发病症状包括咳嗽、流涕、低热伴乏力,于发病5~10 d后出现呼吸困难、心悸不适,进展为危重型新冠肺炎,自发病至离世总病程为17~19 d。3例患者均伴有血液中性粒细胞增高,淋巴细胞和嗜酸性粒细胞显著降低。住院期间先后给予重组人干扰素α-1β、克力芝,注射用胸腺五肽、注射用甲泼尼龙琥铂酸钠、注射用人免疫球蛋白等治疗。例1有糖尿病和双肺支气管扩张症基础病,例2有口腔癌和高血糖病史。穿刺取组织征得家属同意并签署书面同意书,于患者去世后1 h左右进行。本研究符合中国国家卫生健康委员会发布的法规和赫尔辛基宣言,并经陆军军医大学第一附属医院伦理委员会审批。
4 μm石蜡切片脱蜡至水,使用苏木精染色5 min,1%盐酸乙醇分化数秒,1%氨水返蓝2 min,水洗后伊红染色1 min,切片经脱水透明封固后在光镜下观察。Masson染色试剂盒购自上海睿铂赛生物科技有限公司,按照说明书,由全自动特殊染色机完成。
即用型鼠抗人细胞角蛋白(CK)单克隆抗体(KIT-0009),即用型鼠抗人CD68单克隆抗体(KIT-0026),即用型鼠抗人CD20单克隆抗体(KIT-0001),即用型兔抗人CD8单克隆抗体(RMA-0514),即用型兔抗人CD4单克隆抗体(RMA-0620),柠檬酸修复液(MVS-0100)均购自福州迈新生物技术开发公司。即用型鼠抗人甲状腺转录因子1(TTF1)单克隆抗体(ZM-0270)购自北京中杉金桥生物技术有限公司。兔抗人2019-nCoV Spike S1(40591-V08H,1∶200),兔抗人2019-nCoV Nucleocapsid(40143-R019,1∶500)抗体购自北京义翘神州科技有限公司。石蜡标本切片,脱蜡至水,抗原修复液高温高压修复2.5 min,待切片冷却后3%H2O2室温孵育10 min灭活内源性过氧化物酶,PBS洗3次,加入一抗,4 ℃过夜孵育,加入兔、鼠通用型二抗(K5007,Dako公司),37 ℃孵育1 h,使用DAB(K3468,Dako公司)显色,苏木精对比染色,而后切片脱水,透明,封固后在光镜下观察。
选用甲醛固定石蜡包埋(FFPE)样本进行PCR检测。RNA提取试剂盒(ADx-FF04)和2019-nCoV核酸检测real time-PCR试剂盒(8.0131901X024E)均购自厦门艾德生物医药科技股份有限公司。对照基因为管家基因GUSB(beta glucuronidase)。病毒的引物和探针序列来源于中国疾病预防控制中心病毒病预防控制所公布序列(http://nmdc.cn/#/nCoV)。
将各穿刺组织切割成1 mm×1 mm×2 mm大小,并用2.5%戊二醛固定24 h,1%四氧化锇后固定,梯度乙醇脱水,Eponate 12包埋树脂套装试剂盒包埋,制作半薄切片并进行甲苯胺蓝染色,光镜定位。制备100 nm厚度超薄切片,分别进行乙酸双氧铀和枸橼酸铅染色,用透射电子显微镜(日立HT7700,电压100 kV)观察超微结构变化。
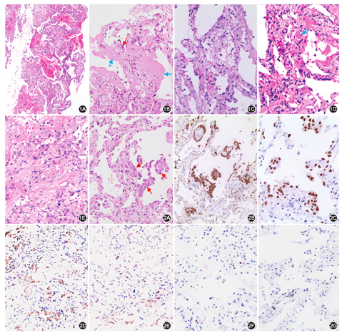
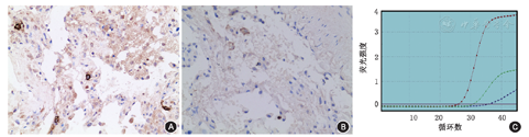
肺组织病变呈现多样性,包括肺泡内渗出性炎、肉质变、间质炎和纤维化,可见灶性出血(图1A)。肺泡结构不同程度的破坏,肺泡腔内可见少量浆液渗出,可见透明膜形成(图1B);肺泡腔内渗出细胞以单核细胞、巨噬细胞为主(图1C)。肺泡壁毛细血管扩张、充血,炎性细胞浸润,肺泡壁变厚,可见微血管内透明血栓形成(图1D);部分区域间质发生不同程度的纤维化(图1E)。明显增生的Ⅱ型肺泡上皮细胞核大、深染,部分细胞脱落、变性、坏死,表达上皮细胞标志物CK和TTF1(图2A,图2B,图2C)。肺泡间隔和肺泡腔有较多CD68阳性巨噬细胞浸润,肺泡间隔和肺间质中见少量CD4阳性T细胞,未见CD8阳性T细胞和CD20阳性B细胞(图2D,图2E,图2F,图2G)。2019-nCoV Spike蛋白S1(图3A)和核衣壳蛋白(N,图3B)免疫组织化学染色显示,部分肺泡Ⅱ型上皮细胞内有冠状病毒阳性成分。PCR检测显示,肺组织内存在2019-nCoV核酸(图3C)。电镜观察发现,Ⅱ型肺泡上皮细胞核大、胞质丰富,线粒体肿胀;有较多的板层体、粗面内质网、滑面内质网和高尔基器;部分Ⅱ型肺泡上皮细胞(图4A和图4B)和细支气管黏膜纤毛柱状上皮细胞内可见冠状病毒颗粒。






3例均见心肌细胞肥大、部分心肌细胞变性、坏死,间质轻度充血、水肿,少量淋巴细胞、单核细胞和中性粒细胞浸润(图5A和图5B);电镜下见部分心肌纤维肿胀、溶解(图5C)。免疫组织化学染色显示,心肌间质浸润的炎性细胞主要为巨噬细胞和少量CD4阳性T细胞,未见CD8阳性T细胞和CD20阳性B细胞(图5D,图5E,图5F)。电镜观察、免疫组织化学染色和PCR检测均未检测到心肌组织内2019-nCoV病毒成分。
脾脏淋巴细胞数量明显减少,可见变性、坏死(图6A)。骨髓三系细胞不同程度减少(图6B)。可见肝细胞变性和灶性坏死,小胆管内可见胆栓(图6C)。肾小球内皮细胞肿胀,球囊腔内见少量蛋白性渗出物,毛细血管内可见透明血栓。肾小管上皮细胞水肿、空泡变性、脱落,管腔内可见蛋白管型和色素管型(图6D,图6E,图6F)。胰腺外分泌部上皮细胞未见明显异常,少数胰岛细胞变性。胃、肠黏膜部分上皮变性、坏死、脱落,固有层及黏膜下层小血管扩张、充血,并见淋巴细胞、单核细胞、浆细胞浸润;甲状腺滤泡形态未见异常,间质见淋巴细胞浸润。皮肤及附件结构基本正常,真皮浅层小血管周围少数淋巴细胞浸润。以上组织免疫组织化学和PCR均未检测到2019-nCoV。
新冠肺炎以呼吸道症状、体征和肺实变影像学改变为主要特征,重症和危重症患者出现呼吸功能甚至多脏器功能衰竭。病原学确诊依据是呼吸系统样本(咽拭子、支气管肺泡灌洗液和肺组织)中检测到2019-nCoV。尽管肺组织穿刺活检进行病理学诊断应该是肺炎最后诊断和确诊依据,但由于急性期、重症和危重症患者经皮穿刺存在气胸、血气胸、传染等风险,绝大多数患者无法获得活检样本。开展系统解剖的遗体捐献病例很少,获得知情同意的微创尸检相对可行和容易一些。根据影像学资料,由经验丰富的医师进行定位穿刺,具有传染风险小、环境要求低、样本固定效果好等优点,是开展烈性传染病尸检病理的有效途径。本组病例的病理变化观察结果已成为编写《新型冠状病毒肺炎诊疗方案(试行第七版)》病理改变内容的重要依据[1]。
新冠肺炎的病变部位以肺泡为主,病变性质以渗出性炎为主,伴有上皮增生,晚期可发生肉质变和纤维化。组织学上表现为急性弥漫性肺泡损伤,广泛透明膜形成伴部分肺泡壁破坏。肺组织内可检测到2019-nCoV核酸和Spike蛋白和/或核衣壳蛋白。可见,2019-nCoV通过呼吸道感染机体,并在呼吸道黏膜上皮和肺泡上皮细胞复制,损伤支气管黏膜上皮和肺泡上皮细胞,导致Ⅱ型肺泡上皮细胞明显增生和脱落。这一特点与SARS类似,但本文观察的3例Ⅱ型肺泡上皮细胞坏死、脱落程度不及SARS严重。Xu等[2]观察了1例发病19 d的新冠肺炎患者肺组织,发现肺脏显示弥漫性肺泡损伤伴肺泡腔内纤维黏液性渗出和透明膜形成,并见多核巨细胞和不典型性肺泡上皮细胞。Tian等[3]发现早期2019-nCoV感染肺脏组织学主要表现为肺水肿,肺泡腔内蛋白渗出物,透明膜不明显。许三鹏等[4]则在肺鳞状细胞癌合并2019-nCoV感染病例的肺组织中发现肺泡腔内可见大量渗出及单核巨噬细胞,肺泡间隔显著增宽,伴纤维组织增生和轻度纤维化。结合本组病例可以看出,该病肺部病变严重程度不一,新旧病变往往同时存在,加之基础疾病病变,使得新冠肺炎死亡病例的肺部病变十分复杂。本组病例病程在17~19 d,肺泡腔浆液和纤维素渗出较轻,透明膜较少,病毒包涵体不易见;Ⅱ型肺泡上皮细胞和肺内支气管黏膜上皮细胞增生明显,并见肺泡肉质变和间质纤维化。有的病例见细支气管内脱落的变性、坏死上皮细胞和黏液成分。这种气道不畅和气-血屏障损害,可能是低氧血症和呼吸功能衰竭的关键病理基础。
除中性粒细胞和淋巴细胞的变化外,我们还发现本组3例患者(无哮喘史)均有外周血嗜酸性粒细胞比例显著持续降低,且发生时间早于患者出现严重症状时间。Li等[5]也发现新冠肺炎患者的外周血嗜酸性粒细胞比例减少,提示嗜酸性粒细胞比例或可作为2019-nCoV感染预测的重要指标。值得一提的是,患者肺组织中见有一定数量的嗜酸性粒细胞浸润。因此,2019-nCoV感染肺组织中嗜酸性粒细胞比例增高的原因和意义值得探讨。
2019-nCoV与SARS-CoV的病毒基因有高度同源性。SARS-CoV感染早期(发病11 d以内),肺组织常表现为急性弥漫性肺泡损伤,后期则为肺泡损伤合并机化性肺炎和/或广泛纤维化[6,7,8]。本组病例少,组织样本小,所见肺泡机化和间质纤维化以及纤维化组织中残留的反应性增生肺泡上皮细胞的结局与影响,需要进一步研究。
部分新冠肺炎患者死亡之前有明显的心功能异常,谷草转氨酶、乳酸脱氢酶、α-羟丁酸脱氢酶、肌酸激酶同工酶、超敏C反应蛋白、肌红蛋白和高敏肌钙蛋白T均显著升高,心电图提示心肌损伤,甚至呈现类似"猝死"结果[9]。这不仅源于新冠肺炎的打击,而且与原发基础病(如高血压、冠心病等)有关。本组病例中,组织学上均可见心肌细胞不同程度的变性、灶性坏死,1例见陈旧性梗死。此外,多脏器小血管内透明血栓提示患者生前发生了弥漫性血管内凝血(DIC)。我们推测,患者心肌急性损伤和小血管损伤可能是由于病毒感染诱发炎性病变的全身反应所致。本组病例和已有报道显示的患者死亡前血浆白细胞介素(IL)-6和IL-10等多种细胞因子显著升高以及补体激活,也支持这一推断。这提示,在救治上应调整免疫反应、控制炎症因子风暴和减轻免疫损伤。
新冠肺炎患者亦可表现为纳差、呕吐、腹痛、腹泻等消化系统症状[8]。我们对本组病例观察发现,肝细胞变性、灶性坏死、毛细胆管淤胆、汇管区炎性病变,可能为病毒感染引起的继发性损伤。Hoffmann等[10]研究发现2019-nCoV感染细胞需与血管紧张素2(ACE2)结合,并由跨膜丝氨酸水解酶2(TMPRSS2)协助。目前并无肝细胞表达ACE2和TMPRSS2的报道,本组病例肝脏组织中也未检测到2019-nCoV存在的证据。另外,尽管胃肠道上皮细胞高表达ACE2,我们在肠黏膜上皮细胞也见到可疑的病毒颗粒,但由于病例数量和样本大小的局限性,2019-nCoV是否能够感染胃肠道上皮细胞,尚待进一步积累病例研究。已发现肾脏高表达ACE2,提示可能是潜在靶点。约3%~10%新冠肺炎患者可伴有肾功能异常,7%患者出现急性肾损伤[11]。因取材限制,本组病例见有肾小球内皮细胞和肾小管上皮细胞肿胀,肾小管内管型,毛细血管内透明血栓等改变。然而,我们未发现2019-nCoV感染肾脏的证据。因此,我们推测2019-nCoV导致的肾脏损伤可能与其感染后导致的炎性因子释放和免疫球蛋白等复合物产生有关。
外周血象的变化是评估2019-nCoV病毒感染和疾病进程的重要指标。本组病例肺泡渗出物以巨噬细胞为主,也可见到中性粒细胞。有的患者随病程发展出现外周血中性粒细胞显著持续增高,伴随促炎因子IL-6和IL-10等显著升高。在流感患者,中性粒细胞是细胞因子调控和炎性介质释放的关键,推测其数量显著增加与细胞因子风暴的发生关系密切。新冠肺炎患者外周血T淋巴细胞数量显著降低,肺组织中浸润的CD8阳性T淋巴细胞数量很少,机制不清。SARS-CoV病毒感染能够导致脾脏和淋巴结出血坏死,淋巴滤泡缩小,淋巴细胞密度降低[8],我们新近在系统尸检中也初步观测到脾脏和淋巴结中CD4阳性T细胞和CD8阳性T细胞数量减少以及变性、坏死,脾脏巨噬细胞增生,推测T淋巴细胞和巨噬细胞可能也是2019-nCoV病毒感染的重要靶细胞或反应细胞。
上述研究提示,新冠肺炎是一种以肺部渗出性炎、以肺泡损害为主要病变特征,累及全身多脏器的新发传染病,病毒直接攻击和免疫损伤同时存在。病理机制的进一步研究对于认识和理解该病的发生发展规律(包括对该病的命名),提高防治水平,都具有重要意义。
所有作者均声明不存在利益冲突





















