
非小细胞肺癌可以转移到身体的任何部位,大约2/3的非小细胞肺癌患者在诊断时发现转移。非小细胞肺癌的常见转移部位是胸膜、对侧肺、骨、肝、肾上腺和脑。但转移到胆囊者罕见。该文报道1例70岁男性患者,肺腺癌转移至胆囊,其临床表现为胆囊炎伴胆囊结石。
版权归中华医学会所有。
未经授权,不得转载、摘编本刊文章,不得使用本刊的版式设计。
除非特别声明,本刊刊出的所有文章不代表中华医学会和本刊编委会的观点。
患者男,69岁。2017年12月初因反复咳嗽,胸闷1个月余就诊于南京医科大学附属苏州科技城医院,肺部CT检查发现右上肺结节,大小1.6 cm×1.1 cm,边缘模糊,纵隔内未见明显肿大淋巴结,考虑肺癌可能。当时未发现胆囊存在异常。术中冷冻示右上肺浸润性癌,行肿瘤根治术。术后化疗(铂类联合培美曲塞),效果良好,症状缓解。2018年10月16日因反复右上腹痛1个月来苏州市第九人民医院就诊,为反复性、间断性隐痛,不伴放射痛,无恶心、呕吐、腹胀、发热等,墨菲征阴性,未见周身黄疸。超声示胆囊腔内稍高声团块,胆盐沉积可能。初步诊断:胆囊炎伴胆囊结石。MRI示胆囊见低信号影,胆囊内见充盈缺损,胆总管及左右肝管显影良好,管径无增粗,考虑胆囊炎,胆囊内异常信号影待查。体检:胸部见陈旧手术瘢痕,愈合良好,双肺叩诊呈清音,双肺未闻及干湿啰音,腹部平软,右上腹压之不适,不伴反跳痛、肌紧张,未触及包块,肝脾肋下未触及。实验室检查血常规、血凝常规及肝肾功能等均未见明显异常,肿瘤标志物甲胎蛋白(AFP)、癌胚抗原(CEA)、糖类抗原19-9(Ca19-9)、前列腺特异性抗原(PSA)各值均在正常范围内。排除手术禁忌证后行腹腔镜胆囊切除术,术中见胆囊8.0 cm×3.0 cm×3.0 cm,稍水肿,胆囊三角解剖清晰,内为絮状沉积物,胆泥样结石。局部淋巴结未见明显肿大,腹膜未见明显异常。
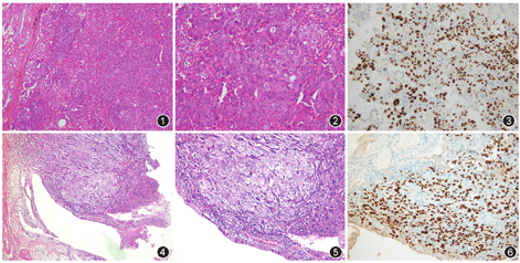
病理检查:2017年第1次手术切除右上肺叶8.5 cm×6.0 cm×3.0 cm,临床已切开,切面见一灰白灰褐色肿块,大小1.5 cm×1.0 cm×1.0 cm,紧邻胸膜。镜下见肿瘤细胞呈实性巢片状、乳头状生长(图1),灶区呈梭形生长,细胞重度异型,胞质丰富,红染,核大,核仁明显,可见瘤巨细胞(图2)。免疫组织化学示肿瘤细胞角蛋白(CK)7、广谱细胞角蛋白(CKpan)、波形蛋白、Napsin A、甲状腺转录因子(TTF)1(图3)阳性表达,CD68散在阳性,p40、p63、溶菌酶均阴性,Ki-67阳性指数约70%。2018年第2次手术切除灰黄色胆囊8.5 cm×2.0 cm×2.0 cm,胆囊底部不规则增厚,最厚达0.6 cm,黏膜面尚光滑,近体部见一灰白色隆起1.0 cm×1.0 cm×0.5 cm,质中。镜下观察:胆囊黏膜层被覆柱状上皮完好,黏膜固有层及肌层内见片状大细胞(图4),胞质丰富,红染,核大,核仁明显,核分裂象易见(图5),并见病理性核分裂象和瘤巨细胞,肿瘤细胞形态与肺原发肿瘤细胞相似,灶区可见淋巴细胞聚集。免疫组织化学示肿瘤细胞CK、波形蛋白、TTF1(图6)、CK7阳性表达,CD68散在阳性,HepPar-1、AFP、p63、S-100蛋白、p40、HMB45、CD34均呈阴性,与肺部原发肿瘤细胞免疫表型相似。


病理诊断:第1次手术肿物诊断右上肺浸润性腺癌伴坏死,低分化,部分为实性亚型,部分为乳头状亚型,小部分为梭形,胸膜未见癌侵犯;第2、4、10、11组淋巴结4枚均未见癌转移。第2次手术肿物诊断胆囊转移性低分化腺癌,结合临床,符合肺腺癌转移,胆囊颈部淋巴结1枚未见癌转移。
随访:术后化疗,随访10个月复查CT见同侧肺内毛玻璃影5 mm×3 mm,因患者状态良好,未行进一步检查。
非小细胞肺癌可以转移到身体的任何部位,大约2/3的非小细胞肺癌患者在诊断时发现转移[1]。非小细胞肺癌的常见转移部位是胸膜、对侧肺、骨、肝、肾上腺和脑。但转移到胆囊者罕见。目前国内外仅报道4例。本例为70岁男性,肺腺癌转移至胆囊,临床表现为胆囊炎伴胆囊结石。
胆囊肿瘤以原发性腺癌最常见,而转移性肿瘤少见[2]。常转移到胆囊的肿瘤有恶性黑色素瘤及胃、肝、胰腺、肾脏、乳腺、胃癌、宫颈等恶性肿瘤,其中最常见的是恶性黑色素瘤。而肺癌转移到胆囊者非常罕见,有文献报道约1.9%的肺癌患者伴有胆囊转移[3]。检索国内外文献[3,4,5,6]加上本例,胆囊转移性非小细胞肺癌共5例,其中肺腺癌3例,肺鳞状细胞癌2例,患者均为男性,最大年龄79岁,最小年龄45岁,平均67岁,4例原发肿瘤位于右肺,仅1例位于左肺,这可能与胆囊的解剖部位有关。
肿瘤转移途径主要有直接侵犯或淋巴道、血道转移。肝癌和胰腺癌等来源于腹腔内脏器,可通过直接侵犯、血道及淋巴转移到胆囊,而恶性黑色素瘤和其他来源于腹腔外脏器如肾、宫颈、乳腺和肺等主要通过淋巴或血道转移。患者早期通常无特异性临床表现,多为上腹部胀痛不适或恶心、呕吐等消化道症状就诊。少数患者出现急性胆囊炎急诊入院,小细胞肺癌胆囊转移患者(包括本例)均有胆囊炎的临床症状。肿瘤可以与原发肿瘤同时发现,也可能在原发肿瘤术后多年发现。此外,继发或并存于其他部位转移者常见,而孤立性转移罕见。胆囊转移性肿瘤最终需病理学确诊。术前需结合临床、影像及检验等综合诊断。目前影像学CT或MRI检查是诊断胆囊癌较可靠的手段,仔细观察胆囊病变的血流灌注特征、被膜的连续性及胆囊黏膜线是否完整等,一般能较准确地对病变进行分析诊断。
胆囊转移性肺腺癌罕见,组织形态学特征不明显,存在众多的鉴别诊断。(1)胆囊原发腺癌:可以看到从正常腺体到腺癌形成的过渡形态,肿瘤细胞排列成腺泡样、腺管样或仅有腺腔样分化的倾向,或呈实性弥漫状排列。免疫组织化学染色对于原发性和转移性胆囊癌的鉴别是非常必要的。虽然没有"肺特异性肿瘤标志物",但TTF1可用于确定是胆囊原发性腺癌还是来源于肺部,TTF1阳性提示肺腺癌胆囊转移。(2)低分化鳞状细胞癌:胆囊鳞状细胞癌比较少见,仅占胆囊恶性肿瘤的3%,癌细胞可局灶显示角化和细胞间桥,免疫组织化学示CK5/6、p63及p40为阳性表达,CK7和TTF1少见表达。(3)大细胞癌:是分化差的肿瘤,巢状的大多角形细胞伴有明显核仁的泡状核以及中等量的细胞质,超微结构上常见少量腺样或鳞状分化。免疫组织化学和黏液染色对诊断大细胞癌是必要的,癌细胞可表达CKpan、上皮细胞膜抗原、低相对分子质量角蛋白,p63和TTF1为弱表达。
由于胆囊转移性肿瘤罕见,治疗方式尚不清楚。目前多认为,手术切除是治疗胆囊转移肿瘤的有效手段,关键是能早期诊断。对于无症状的局限于胆囊内转移患者,可采取腹腔镜胆囊切除,胆囊孤立性转移术后预后较好,Aoki等[7]报道胆囊孤立性转移术后预后与肾细胞癌相似。本例孤立转移,术后10个月复查未见复发及转移。对于合并其他组织器官的多发转移,应行根治性手术切除辅以化疗、放疗等综合措施。总之,在非小细胞肺癌患者的常规影像检查中,临床医师需要仔细评估腹部症状并密切监测胆囊。尽管胆囊转移性非小细胞肺癌罕见,有胆囊炎症状的非小细胞肺癌患者应警惕胆囊转移的可能性,以免漏诊。
所有作者均声明不存在利益冲突





















