
胃母细胞瘤是发生于胃部的一种罕见、具有独特特征的双向分化肿瘤。该文报道1例发生于胃窦胃体交界处的胃母细胞瘤。患者女,53岁。因上腹部隐痛不适1年,发现胃窦胃体交界处隆起性病变伴溃疡形成,临床拟诊"胃肠道间质瘤"行"胃肠道间质瘤切除术"。大体见附部分胃黏膜灰白灰红色结节样肿物一个,体积5.0 cm×4.2 cm×4.0 cm,切面灰白,半透亮,局部囊性变。镜下观察瘤细胞密度不均,细胞密集区肿瘤细胞呈上皮样形态,排列呈小巢状或条索状,可见腺管形成的趋势,细胞核轻度异型。稀疏区肿瘤细胞核呈卵圆形或短梭形,肿瘤细胞弥漫片状分布于黏液样基质中,部分区黏液聚集呈肺水肿样结构,部分区呈微囊样。免疫标记广谱细胞角蛋白、上皮细胞膜抗原上皮样区域阳性,CD10、波形蛋白梭形细胞区阳性,Ki-67阳性指数小于1%。诊断为胃母细胞瘤。
版权归中华医学会所有。
未经授权,不得转载、摘编本刊文章,不得使用本刊的版式设计。
除非特别声明,本刊刊出的所有文章不代表中华医学会和本刊编委会的观点。
患者女,53岁。因左上腹隐痛不适1年自行休息后不能缓解,于2018年8月7日至当地医院行胃镜检查示:窦体交界处隆起性病变伴溃疡形成,慢性萎缩性胃炎。胃镜病理示:胃窦轻-中度慢性萎缩性胃炎,窦体交界处黏膜中度慢性活动性炎。CT提示胃窦部最大截面3.6 cm×3.1 cm分叶状团块影,向腔内呈外生性生长,边界尚清,增强后不均匀强化。血常规、肝肾功能及血清肿瘤指标均正常,大便隐血实验阴性。临床拟诊"胃肠道间质瘤(GIST)"在全麻下行"GIST切除术"。术中于胃体大弯侧近胃窦见一肿块,大小约5 cm×6 cm,表面光滑,质地中等,向胃腔内生长,周围胃壁柔软,未见明显肿大淋巴结。
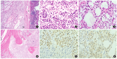
病理检查:附部分胃黏膜灰白灰红色结节样肿物一个,体积5.0 cm×4.2 cm×4.0 cm,切面灰白,半透亮,局部囊性变。低倍镜下肿瘤界限似乎尚清,无明显包膜(图1)。局灶表面黏膜呈溃疡后修复改变,黏膜间质中见肿瘤细胞浸润。瘤细胞密度不均,可见少到中等量嗜伊红胞质,细胞界限不清。细胞密集区肿瘤细胞略呈上皮样形态,排列呈小巢状或条索状,可见腺管形成的趋势,细胞核轻度异型(图2)。稀疏区肿瘤细胞核呈卵圆形或短梭形,肿瘤细胞弥漫片状分布于黏液样基质中,部分区黏液聚集呈肺水肿样结构,部分区呈微囊样(图3)。肿瘤内血管大小不等,以薄壁毛细血管和血窦为主,可见大的厚壁血管。肿瘤组织内散在淋巴细胞、浆细胞浸润。近浆膜侧肿瘤内见束状平滑肌,提示肿瘤组织在固有肌层内浸润性生长,被残留平滑肌分隔呈结节状(图4),未见明确核分裂象。免疫表型:广谱细胞角蛋白(CKpan)部分上皮样细胞弱到中等强度阳性(图5),波形蛋白阳性,上皮细胞膜抗原(EMA)灶状阳性,CD10弱阳性(图6),CD56弥漫阳性,CD34血管阳性,Ki-67阳性指数小于1%,平滑肌肌动蛋白(SMA)、结蛋白、H-caldesmon、CD117、DOG1、Calretinin、第八因子相关抗原(FⅧRAg)、D2-40、甲胎蛋白(AFP)、CK5/6、CK7、CK20、S-100蛋白、突触素、嗜铬粒素A(CgA)、琥珀酸脱氢酶B(SDHB)均阴性。复旦大学附属肿瘤医院会诊免疫组织化学结果:CKpan、CD10均阳性,Calponin、CD117、CD34、结蛋白、DOG1、SMA均阴性,Ki-67阳性指数小于2%。


病理诊断:胃母细胞瘤。
随访:术后未行特殊治疗,随访至2019年10月14日无复发和转移。
胃母细胞瘤是新近发现的一种具有上皮和间叶双向分化的胃部肿瘤。由Miettinen等[1]首次报道,迄今为止加上本例国内外文献仅检索到12例报道[1,2,3,4,5,6,7,8]。刘键平和刘卫平[9]于2010年对第一篇文献进行了综述,首次在国内杂志予以报道和介绍。魏建国等[10,11]于2016年通过文献综述的形式介绍了其中7例胃母细胞瘤的临床及病理学特征,让国内病理医师对此病有了初步的认识。2019年WHO第5版消化系统肿瘤分类中首次将胃母细胞瘤收录[12],虽然归入胃的恶性上皮性肿瘤大类中,但ICD-O编码为1,提示其具有低度恶性潜能。
胃母细胞瘤以年轻患者居多,偶见于老年患者,年龄范围9~65岁,中位年龄27岁,偶见于老年患者。男女发病率相当(男性6例,女性6例)。文献有详细描述的病例中肿瘤发生于胃窦部者4例,胃体部3例,胃远端1例,贲门部1例。通常缺乏特异性的临床表现,大多表现为腹部疼痛、腹部包块、便秘以及便血等。本例为53岁女性患者,临床表现为上腹部隐痛,自行休息仍不能缓解,遂行胃镜检查。关于胃母细胞瘤影像学特征鲜有报道,Fernandes等[5]详尽报道了1例,其CT特征为一直径约13 cm的分叶状囊实性占位病变,肿瘤境界较清,局灶可见钙化。增强扫描提示肿瘤边缘以及内部间隔中等强化。MRI显示胃窦部的囊实性占位性病变,囊腔大小不一,最大径约8 cm。造影剂增强后未见肿瘤侵犯及种植现象。本例患者CT提示胃窦部最大截面3.6 cm×3.1 cm分叶状团块影,向腔内呈外生性生长,边界尚清,增强后呈现不均匀强化。
胃母细胞瘤大体一般为相对较大的分叶状或多结节性肿瘤,肿瘤最大径1.3~15.0 cm。肿瘤可以累及胃壁全层,或局限于固有肌层或浆膜层。大体上可以是多结节状,以实性为主,也可以是囊实性。切面改变多样:灰红,灰黄色,粉红色,或斑驳出血状。生长方式多为外生性,向腔内突出,表面可见溃疡形成。组织学上,肿瘤主要由梭形细胞和上皮样细胞两种成分构成。梭形细胞形态较一致,呈短梭形或卵圆形,胞质较少,细胞核无或仅有轻度异型。上皮样细胞可呈巢团状、簇状,以及腺管样排列,伴或不伴腔内嗜伊红分泌物。上皮样细胞胞质嗜酸性,细胞边界明显,类似糖原化的鳞状细胞。间质可伴有黏液样变,部分病例可见多核巨细胞。细胞核分裂象不等,0~30个/50 HPF。本例患者肿瘤主体位于表面黏膜以下,可见黏膜下层及局部黏膜固有层累犯,大体呈灰白灰红色结节样,切面灰白,半透亮,局部囊性变。镜下瘤细胞密度不均,可见少到中等量嗜伊红胞质,细胞界限不清。细胞密集区肿瘤细胞略呈上皮样形态,排列呈小巢状或条索状,可见腺管形成的趋势,核轻度异型。稀疏区肿瘤细胞核呈卵圆形或短梭形,肿瘤细胞弥漫片状分布于黏液样基质中,部分区黏液聚集呈肺水肿样结构,部分区呈微囊样,这种肺水肿样结构和微囊样结构尚少见报道。基底部近浆膜侧肿瘤组织在固有肌层内浸润性生长。免疫组织化学结果显示,梭形细胞恒定表达波形蛋白、CD10和CD56。上皮样细胞角蛋白阳性,包括CKpan和CK18,而CK20通常阴性。梭形细胞及上皮样细胞均不表达CD34、CD117、DOG1、CD99、S-100蛋白、Calretinin、肌动蛋白、结蛋白、甲状腺转录因子1(TTF1)以及神经内分泌标志物,这与本例结果相符。Graham等[6]对4例胃母细胞瘤进行分子研究,逆转录聚合酶链反应结果显示其中2例存在MALAT1-GLI1融合基因,另2例因核酸降解而实验失败,荧光原位杂交结果显示4例患者均存在MALAT1-GLI1融合基因,其中3例Gli-1蛋白的表达升高,免疫组织化学显示肿瘤细胞核和细胞质弥漫强阳性,提示MALAT1-GLI1融合基因检测和Gli-1免疫组织化学有助于胃母细胞瘤的诊断,鉴于病例数较少,尚不能肯定此融合基因是否为胃母细胞瘤发生发展的特异性分子基础并作为分子诊断的绝对依据。但第5版WHO消化系统肿瘤分类中将MALAT1-GLI1融合基因检测作为一条重要的诊断条件。然而因病例数太少,国内多数医院分子病理室尚未建立此融合基因检测方法。
胃母细胞瘤是表现为间叶与上皮双向分化的肿瘤,需要与其他具有上皮和间叶双向分化的肿瘤相鉴别。癌肉瘤或肉瘤样癌多见于老年人,生物学行为恶性程度以及核异型性较高。胃母细胞瘤鉴别诊断还包括:炎性肌纤维母细胞瘤(IMT)、畸胎瘤、GIST和滑膜肉瘤等。IMT通常有明显炎性细胞浸润,以梭形细胞为主,偶见部分病例细胞呈上皮样,因此需要鉴别,IMT常见染色体2p23上出现ALK基因重排,免疫组织化学可见ALK阳性表达。GIST偶可呈上皮样形态而导致组织学上呈现梭形细胞和上皮样细胞的双相型形态,但上皮样细胞亦呈弥漫分布而不形成腺管或腺腔结构,且经典梭形细胞区常细胞较丰富,免疫组织化学有CD34、CD117以及DOG1阳性,而不表达上皮标志物,且本例检测了SDHB蛋白免疫组织化学,未见缺失性表达,亦排除了SDHB缺陷型GIST。胃的滑膜肉瘤较罕见,可出现双相型分化形态,亦可有腺管结构,因此需与胃母细胞瘤鉴别,但滑膜肉瘤为高度恶性肿瘤,可出现显著的恶性形态及生物学行为,并且滑膜肉瘤显示特异性SS18-SSX融合基因,而本例Ki-67阳性指数小于1%,提示其惰性的生物学行为。另外,丛状纤维黏液瘤是新近报道的胃肿瘤,部分病例也存在MALAT1-GLI1融合基因,并且融合基因的结构与胃母细胞瘤相同[13],但是丛状纤维黏液瘤呈现良性的临床过程并且缺乏双相形态,免疫表型亦不表达上皮标志物。所以,这两者肿瘤中MALAT1-GLI1融合基因有可能是不同肿瘤中偶然存在同样基因改变,而并非同一肿瘤实体的不同亚型。
胃母细胞瘤的生物学行为尚不明确,目前报道的病例其中多数病例呈惰性,经外科手术切除后预后良好。但仍有3例患者出现淋巴结或远处转移[3,6,7],其中2例接受了术前化疗,1例接受了术后放疗,但随访及术后病理提示放化疗对胃母细胞瘤均不敏感。本例患者经过2年随访,术后未行放化疗,至今无病生存,说明其生物学行为更倾向于惰性。但截至目前国内外文献报道的例数有限,对此疾病的本质仍然缺乏足够的认识。
本例经复旦大学附属肿瘤医院王坚教授会诊
所有作者均声明不存在利益冲突





















