
去分化脂肪肉瘤(dedifferentiated liposarcoma,DDLPS)少见伴上皮样特征。该文报道1例74岁男性,左阴囊肉瘤切除术后复发,复发肿块镜下示弥漫一致片状排列的上皮样肿瘤细胞,核仁明显,核分裂象易见。免疫组织化学:肿瘤细胞MDM2、INI1、p16、H3K27me3均阳性,Ki-67阳性指数约80%;其余CD31、CD34、广谱细胞角蛋白(CKpan)、低相对分子质量角蛋白、CK8/18、上皮细胞膜抗原、Melan A、S-100蛋白、HMB45、结蛋白等均阴性。荧光原位杂交示MDM2基因扩增。复习患者外院原发肿瘤切片示经典DDLPS组织学特征,可见高分化脂肪肉瘤区,局部肿瘤细胞亦为上皮样。伴上皮样特征DDLPS极易误诊,其确诊常需结合临床病史、免疫组织化学及基因检测综合判断。
版权归中华医学会所有。
未经授权,不得转载、摘编本刊文章,不得使用本刊的版式设计。
除非特别声明,本刊刊出的所有文章不代表中华医学会和本刊编委会的观点。
患者男,74岁。因"左阴囊肿瘤切除术后,原手术部位复发3个月余"于2019年6月就诊本院。患者因发现左侧阴囊肿物,于2019年2月在当地医院行左侧阴囊肿块切除术,术后病理诊断为肉瘤,具体类型不详。约3个月前患者自觉左侧阴囊壁外侧再次出现一个肿块,后逐渐增大。自述10年前因"左侧腹股沟疝"行手术治疗。专科体检:左侧腹股沟靠阴囊处见一长形手术切口瘢痕约4 cm,切口下方左侧阴囊壁外侧处见一类圆形肿块,质韧,突出表面。患者于我院行肿瘤切除术。
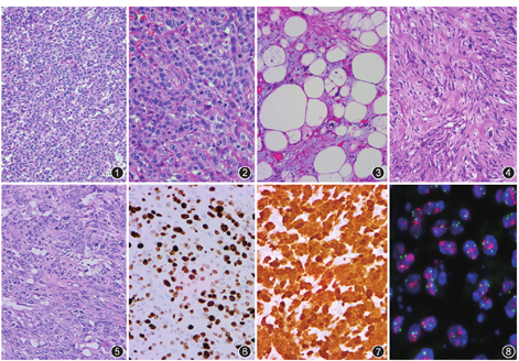
病理检查:带皮组织大小7 cm×6 cm×5 cm,切面见灰白肿块一枚,大小4.8 cm×3.5 cm×3.5 cm,界尚清,质中。镜下观察:皮下见弥漫浸润的肿瘤细胞,呈实性片状排列,细胞之间界限清晰;肿瘤间质稀少,仅局灶可见胶原纤维分隔,肿瘤细胞缺乏多形性,均匀一致分布(图1)。肿瘤细胞呈显著的上皮样,圆形或卵圆形,含有丰富的透明及嗜酸性胞质,核空泡状,核仁明显,核分裂象易见(图2),活跃区约13个/10 HPF。广泛取材未见高分化脂肪肉瘤及高级别梭形细胞去分化脂肪肉瘤(dedifferentiated liposarcoma,DDLPS)成分。外院切片镜下观察呈典型的DDLPS形态:可见脂肪瘤样及硬化型高分化脂肪肉瘤区域(图3),去分化区域大部分显示高级别多形性肉瘤及纤维肉瘤样(图4),局部亦可见上皮样肿瘤细胞(图5),胞质嗜酸或透明,可见核仁,形态类似于本次复发肿瘤。本院复发肿瘤免疫组织化学:肿瘤细胞MDM2部分阳性,Ki-67阳性指数80%(热点区;图6),p16(图7)、INI1、H3K27me3阳性,平滑肌肌动蛋白(SMA)部分阳性;其余CD31、CD34、ERG、广谱细胞角蛋白(CKpan)、低相对分子质量角蛋白、CK8/18、上皮细胞膜抗原(EMA)、Melan A、α-抑制素、白细胞共同抗原(LCA)、S-100蛋白、SOX10、HMB45、p63、结蛋白均为阴性。荧光原位杂交(FISH)检测结果:MDM2基因扩增(图8)。


病理诊断:伴上皮样特征的DDLPS。
随访:术后2个月PET-CT示左侧阴囊及会阴部多发软组织结节,左侧盆腔及双侧腹股沟多发肿大淋巴结,考虑局部复发伴多发淋巴结转移,已行化疗,现术后10个月复发及转移肿块化疗后缩小,但化疗停止肿块增大。
DDLPS是脂肪肉瘤的一种常见亚型,通常由不典型性脂肪瘤样肿瘤/高分化脂肪肉瘤(atypical lipomatous tumor/well-differentiated liposarcoma,ALT/WDLPS)和去分化非脂肪源性肉瘤2种成分以不同的比例组成[1,2,3]。当ALT/WDLPS成分很少甚或缺如时,DDLPS较易误诊为其他类型的肉瘤[1,2,3]。去分化成分常类似于多形性未分化肉瘤(旧称恶性纤维组织细胞瘤)或纤维肉瘤,少许病例亦可表现为低级别去分化,形态学类似于侵袭性纤维瘤病或炎性肌纤维母细胞瘤[1,2,3]。罕见伴有异源性间叶分化及同源性多形性脂肪肉瘤分化。
尽管DDLPS拥有如此宽泛的组织形态学谱系,但其去分化成分以梭形或多形性肿瘤细胞为主,伴有显著上皮样分化的DDLPS却极为罕见,由于发病率较低及形态学与其他上皮样肿瘤明显的重叠,此类肿瘤极易误诊为癌或其他具有上皮样形态的肉瘤等。迄今,上皮样DDLPS文献报道较少[3,4,5],较为大宗的病例报道分别为Makise等[4]报道的8例及Agaimy等[5]报道的6例(多伴横纹肌样特征);目前有限的数据表明上皮样DDLPS发病率低(约仅占DDLPS的3.8%[4]),发病年龄51~81岁(平均年龄64岁),男性明显多于女性(男∶女=13∶2),绝大多数病例发生于腹膜后[4]。这些临床特点除男性明显多于女性外,其余与经典型DDLPS大体相似[3,4,5]。虽然文献报道DDLPS中上皮样肿瘤细胞大多局灶表达上皮标志物,但也有个别病例阴性[4,5]。本例上皮样肿瘤细胞不表达上皮标志物,我们推测伴上皮样特征DDLPS不一定有CKpan、EMA的表达,但因报道较少,尚需积累更多的病例。此外,我们认为最好注明DDLPS中伴上皮样特征的肿瘤细胞百分比或大小的范围,其可能与患者预后相关[4,5]。
本例患者复发后的肿瘤形态为均匀一致的上皮样肿瘤细胞,故我们起初考虑其可能为上皮样肉瘤、软组织肌上皮癌等,因免疫组织化学结果不支持,此后临床提供患者既往有同一部位的肿瘤切除史,调阅既往切片为典型DDLPS,可见WDLPS成分,且外院切片中部分肿瘤细胞亦呈现上皮样形态特征,结合以上病史辅以MDM2基因检测,本例最终得以确诊。本例免疫组织化学p16强阳性,与文献报道的p16诊断DDLPS的灵敏度较高相符合[6]。因MDM2免疫组织化学特异度差,目前认为FISH检测MDM2基因扩增是诊断ALT/WDPLPS和DDLPS的金标准[7,8],但也绝非完全特异(如低级别中央型骨肉瘤、皮质旁骨肉瘤、动脉内膜肉瘤等也存在MDM2基因的扩增),其诊断尚需结合多因素综合判断。
通过此例的诊断,我们的心得是:DDLPS是一种具有较为明显的发病部位的肉瘤类型,特别是在后腹膜及阴囊/睾丸旁这2个部位,发病率远远超过其他肉瘤类型,有学者认为几乎所有发生于后腹膜的所谓多形性未分化肉瘤(恶性纤维组织细胞瘤)、黏液纤维肉瘤都是DDLPS[1,2,3]。因此,当我们在这些部位遇见形态学特殊、无法明确类型的肿瘤时,一定要对DDLPS的诊断保持高度的警惕性;充分细致的取材与组织学观察(寻找WDLPS成分)、紧密结合临床病史、辅以免疫组织化学及基因检测通常能使我们最终得出正确的诊断。此外,正如此例所示,DDLPS可以完全缺乏WDLPS成分,此时其诊断则更加依赖于病理医师对发病部位的敏感性、对DDLPS组织形态学谱系的熟悉及对辅助检查手段的应用。
鉴别诊断:(1)近端型上皮样肉瘤:好发于盆腔、会阴等部位,肿瘤细胞圆形上皮样,显著异型性,泡状核、核仁明显,常伴有地图状坏死;部分病例肿瘤细胞可表现为显著的横纹肌样特征,免疫组织化学肿瘤细胞CKpan、EMA阳性,INI1缺失表达,约一半病例CD34阳性,FISH检测无MDM2扩增可与上皮样DDLPS鉴别[9]。(2)软组织肌上皮癌:肿瘤组织排列构型类似肌上皮瘤,但肿瘤细胞显示显著的异型性,核分裂象多见,免疫组织化学表达多种上皮及肌上皮标志物,部分病例有EWSR1基因易位[10]。(3)上皮样恶性外周神经鞘膜瘤:细胞呈显著的上皮样,核仁显著;肿瘤呈多结节状生长,间质纤维黏液样,弥漫强阳性表达S-100蛋白,可与上皮样DDLPS相鉴别[11]。(4)上皮样多形性脂肪肉瘤:形态学类似于肾上腺皮质癌或肾细胞癌,仔细寻找通常可见多形性脂母细胞,有时分布较为局限,提示广泛取材的重要性;细胞遗传学表现为复杂的染色体变化,无MDM2基因扩增[12]。此外,由于伴上皮样特征的DDLPS好发于后腹膜,尚需要与癌、上皮样胃肠道间质肿瘤及间皮肉瘤等相鉴别[4]。
虽然DDLPS临床侵袭性通常低于其他类型的高级别肉瘤,但DDLPS中出现上皮样形态可能提示更为侵袭性的行为。Makise等[4]报道了8例伴上皮样特征的DDLPS,其中6例于1~15个月内死亡,表现为快速进展的临床过程。同时具有横纹肌样及上皮样特征的DDLPS临床行为更具侵袭性(有随访的3例均于4~8个月内死于肿瘤广泛转移)[5]。本例患者外院第1次术后3个月复发,且复发肿瘤细胞均为上皮样形态,核分裂象及增殖指数都比原发肿瘤增高,第2次术后2个月再次复发伴多发淋巴结转移,也为文献中的观点提供了佐证。
所有作者声明不存在利益冲突





















