
具有小细胞特征的结外NK/T细胞淋巴瘤,鼻型(extranodal NK/T cell lymphoma nasal type,ENKTL-N)是一种罕见的ENKTL-N类型,该型缺乏经典型ENKTL-N常见的瘤细胞多形性、血管浸润和凝固性坏死等特征性病变,且Ki-67阳性指数较低,导致诊断困难。本文报道1例51岁男性,鼻塞多年。送检灰白色小组织,组织形态学显示单一的小型淋巴样细胞增生,未见坏死、血管中心性浸润或血管破坏。免疫组织化学结果:CD2、CD7和CD56等均阳性,CD20、CD79α、PAX5、bcl-2均阴性,Ki-67阳性指数低于5%。原位杂交:EBER阳性。患者化疗后出现骨髓抑制,于确诊2个月后死亡。诊断时主要与慢性活动性EBV感染(CAEBV)和淋巴组织不典型增生(ALH)进行鉴别。
版权归中华医学会所有。
未经授权,不得转载、摘编本刊文章,不得使用本刊的版式设计。
除非特别声明,本刊刊出的所有文章不代表中华医学会和本刊编委会的观点。
患者男,51岁。因反复鼻塞鼻阻36年,加重1周于2019年5月就诊于云南大理大学第一附属医院。查体:鼻甲肥大。取局部组织活检。
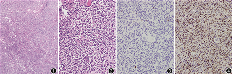
病理检查:灰白色小组织4粒,大小0.8 cm×0.6 cm×0.3 cm。镜下观察:送检黏膜组织腺体明显增生,伴薄壁小血管增生,间质内较多小型淋巴样细胞浸润(图1),细胞单形一致,核型不规则,未见组织坏死、明显核分裂象及血管浸润,可见少许淋巴上皮病损(图2)。免疫组织化学示:CD2、CD7、CD43、CD56、颗粒酶B、广谱细胞角蛋白(CKpan)、Kappa、Lambda阳性,CD4∶CD8=1∶1,Ki-67阳性指数<5%(图3),bcl-2、CD20、CD3、CD5、cyclin D1、CD23、PAX5、CD79a、CD21阴性,CD138少许阳性。原位杂交:EBER阳性(图4)。病理初步诊断:(鼻腔)EB病毒感染相关淋巴组织不典型增生,考虑结外NK/T细胞淋巴瘤,鼻型,建议院外会诊。院外会诊重复免疫组织化学:CD30、CD20阴性,CD3少许阳性,CD4、CD8散在阳性,CD56 70%阳性,颗粒酶B、TIA-1阳性,Ki-67少量阳性;原位杂交:EBER 60%阳性。病理诊断:结外NK/T细胞淋巴瘤,鼻型。随即患者行全面体检。PET/CT报告:(1)左侧鼻道及鼻前庭软组织充填,糖代谢增高,未见骨质破坏,结合病史符合淋巴瘤征象,建议治疗后复查。(2)双颈Ⅰ、Ⅱ区多发小淋巴结,糖代谢增高,考虑反应性增生,淋巴瘤浸润不除外;骨髓活检未见肿瘤累及。临床诊断:(鼻腔)结外NK/T细胞淋巴瘤鼻型ⅡE期B组,包含EB病毒DNA的自然杀伤细胞淋巴瘤预后指数(PINK-E)为低危组(1分)。


病理诊断:具有小细胞特征的结外NK/T细胞淋巴瘤,鼻型(extranodal NK/T cell lymphoma nasal type,ENKTL-N)。
随访:患者采用LMED化疗方案(甲氨蝶呤、地塞米松、依托泊苷、培门冬酶)。化疗后即出现骨髓抑制,给予保肝、护肾、刺激造血、成分输血等对症支持治疗。二次化疗后出现Ⅳ度骨髓抑制、肝衰竭、粒细胞缺乏、重度贫血,于确诊2个月后死亡。
ENKTL-N是非霍奇金淋巴瘤(NHL)的一个亚型,占所有NHL的5%~18%[1],是指原发于鼻腔或其他结外器官的外周NK/T细胞淋巴瘤,主要来源于NK细胞和T细胞,是与EB病毒密切相关的一类淋巴瘤。通常,肿瘤细胞形态学多样,可由大、中、小型异型淋巴样细胞或间变细胞所构成,溃疡/坏死常见,常侵犯血管呈血管中心性生长,细胞增殖活性较高,Ki-67阳性指数常在50%~90%,细胞毒表型,EBER阳性。本文报告1例最初诊断为EB病毒感染相关淋巴组织不典型增生,结合临床、专家会诊并复习文献,最终诊断为具有小细胞特征的ENKTL-N。该型病变形态不典型,容易与慢性炎性病变尤其是慢性活动性EBV感染(chronic active EBV infection,CAEBV)或淋巴组织不典型增生(atypical lymphoid hyperplasia,ALH)等混淆,组织形态以小型淋巴样细胞为主,罕见坏死、血管中心性浸润或血管破坏,Ki-67阳性指数较低(常5%~15%)。
经查阅文献,具有小细胞特征的ENKTL-N检索报道了4篇,共计24例(部分患者经多次活检后确定)[2, 3, 4, 5]。对临床病理信息较全的19例进行简要统计:患者发病年龄为17~73岁(中位年龄46岁),男性8例,女性11例,其中东亚人(中国)6例,东南亚人1例,高加索人6例,西班牙裔5例,美洲原住民1例。鼻塞是最常见的首发症状,鼻部(鼻腔+鼻窦)为最常见的发病部位(15例)。就诊时15例为早期,4例晚期。随访时间4~70个月(中位随访期17个月),存活12例,死亡6例。此型形态表现为以小细胞增生为著,90%以上肿瘤细胞胞核大小与正常小淋巴细胞核相同或略大,但明显小于组织细胞核;缺乏经典型ENKTL-N常见的瘤细胞多形性、血管浸润和凝固性坏死等特征性病变[5]。免疫组织化学与经典型ENKTL-N表型较为一致,表达T细胞标志物CD2、CD7,胞质CD3ε阳性,表达NK细胞标志物CD56,表达TIA-1、颗粒酶B、穿孔素等,原位杂交EBER阳性[6]。部分患者存在TCR基因重排。值得注意的是,经典型ENKTL-N的Ki-67阳性指数常为50%~90%,而具有小细胞特征的ENKTL-N的Ki-67几乎都<30%,常为5%~15%,本例<5%。
诊断上,ENKTL-N主要与CAEBV和ALH鉴别。CAEBV的诊断标准:外周血单核细胞EBV-DNA升高(>102.5拷贝/μg);传染性单核细胞增多症症状(发热、淋巴结肿大和肝脾肿大)持续>3个月;器官受累的组织学证据;在无已知免疫缺陷、恶性肿瘤或自身免疫性疾病的患者的病变组织中显示EBV编码RNA或病毒蛋白[7]。因此ENKTL-N与CAEBV可从临床表现、年龄、形态学等方面进行鉴别:(1)临床表现:CAEBV具有广泛的临床表现,从种痘水疱病样淋巴组织增殖性疾病、重症蚊虫叮咬过敏反应等惰性、局限型症状到以发热、肝脾肿大和淋巴结病变,有或无皮肤表现为特征的全身型症状[8]。ENKTL-N主要发病于鼻部,常以鼻塞为首发症状,或鼻出血、分泌物增多,常有奇臭,常有鼻、面部红肿。(2)年龄:CAEBV以儿童和青少年居多;ENKTL-N以50岁左右的中老年居多。(3)形态学:CAEBV呈非特异性淋巴浸润,无异型性,类似反应性疾病;ENKTL-N:小、中、大或间变淋巴细胞弥漫性浸润,呈不同程度的异型性。常见坏死、血管中心性浸润、血管破坏。ALH是介于反应性增生和淋巴瘤之间的形态学改变,是对性质不明的淋巴组织交界性病变的诊断术语[9]。形态学上排除典型的反应性增生和典型的淋巴瘤,其余淋巴组织增生就是形态学层面的ALH。免疫组织化学上,ALH既缺乏淋巴瘤的典型免疫表型,也不具备典型增生的免疫表型。本例在形态上为密集的小型淋巴样细胞浸润,核型不规则,有一定的异型性;免疫组织化学上,CD56、CD2和CD7阳性提示NK/T来源,EBBR阳性,较为支持ENKTL-N。
其他鉴别诊断:外周T细胞淋巴瘤,非特指(PTCL,NOS):多见于中老年男性,多数患者全身淋巴结肿大,伴B症状,结外病变主要累及皮肤和胃肠道,也可累及骨髓、肝脾和外周血。多数患者处于临床Ⅲ~Ⅳ期。病理表现多样,肿瘤细胞大小和形态各异,核形态呈多形性到单形性,多数细胞体积中到大,常有透明细胞和R-S样细胞,间质血管增生明显;表达T细胞标志物:CD2、CD3、CD5、CD7,但部分病例丢失T细胞标志物。细胞毒蛋白常阴性(结外可阳性),原位杂交EBER阴性。Ki-67阳性指数多较高[6]。但是PTCL,NOS有一种罕见类型——结内原发EBV+T细胞或NK细胞淋巴瘤:肿瘤细胞一般是单形性,缺乏ENKTL-N常见的血管浸润和坏死。主要表现为结节性病变而不累及鼻部,皮肤和胃肠道受累非常罕见[10]。最常见于老年人,也见于移植后和其他免疫缺陷状态。由于本例首发于鼻部,CD56阳性,CD3和CD5阴性,EBER阳性,Ki-67阳性指数偏低加上临床表现,不符合PTCL,NOS和结内原发EBV+T细胞或NK细胞淋巴瘤。
治疗上,该型和经典型ENKTL-N一致,早期首选放疗,但复发率高。主流方案是放疗联合化疗,本文报道的病例由于化疗导致骨髓抑制并发感染致死,实属例外。此型相对惰性,预后比ENKTL-N好,但由于例数过少,难以进行有意义的生存分析,需要更大样本进一步验证。有研究认为CD30阴性可能与此型缺乏血管破坏有关[3]、突变型TP53可能表达以及此型可能是ENKTL-N的早期表现[5]等。
综上所述,具有小细胞特征的ENKTL-N主要发生于鼻腔、鼻咽部,首发症状常为鼻塞。因缺乏常见的组织坏死、血管中心性浸润或血管破坏,且Ki-67阳性指数偏低(常5%~15%),容易被误诊为CAEBV或ALH或延迟作出ENKTL-N的诊断,最终不利于患者的治疗。最可靠的诊断方法是通过原位杂交检测EBV,若胞质CD3ε阳性,CD56阴性,但细胞毒蛋白和EBV均阳性时,也可诊断[6, 11]。但若EBV阴性应谨慎。早期活检有助于正确诊断和及时治疗,我国作为ENKTL-N的高发地区,此型出现概率远高于欧美,但目前认识此型的医师较少,笔者撰写此文希望能引起病理科、血液科以及耳鼻喉科医师的重视。
周小鸽、王哲、李挺、胡仕敏、王震、赵莎等医师给以会诊
所有作者均声明不存在利益冲突





















