
硬化性肺细胞瘤(pulmonary sclerosing pneumocytoma)在通常情况下借助温和的细胞学特点和异质性的结构及特征性免疫组织化学表型可得到正确诊断。该文中病例术前活检病理中见到特殊的单一致密梭形细胞增生及弥漫性甲状腺转录因子1表达,最后在肺叶切除标本中得出硬化性肺细胞瘤的诊断,值得注意的是该例伴梭形细胞淋巴结转移,这一现象十分罕见。
患者女,50岁。外院体检胸片发现右肺占位性病变,随后胸部CT检查提示右肺上叶软组织肿块伴钙化灶,恶性不能除外。本院胸部CT检查显示右肺上叶孤立性类圆形高密度影,呈分叶状改变,其内可见点状钙化,长径为3.0 cm,其内支气管闭塞,增强后病灶轻度不均匀强化。结果提示右肺上叶占位性病变伴边缘钙化,怀疑为错构瘤,分叶状肺癌不能除外(图1)。患者遂于2020年5月14日入院。肺癌肿瘤标志物检测示:非小细胞肺癌相关抗原21-1轻度增高,为4.2 μg/L(0~3.3 μg/L);癌胚抗原、神经元特异性烯醇化酶均未见异常。随后,患者接受支气管镜肺活检,综合活检组织形态学和免疫表型特征倾向为良性或低度恶性肿瘤,由于本例出现特殊的免疫表型特征,鉴于组织代表性有限,活检组织难以明确分型,建议肿块完整切除后进一步组织学分型。患者遂转入我院胸外科行肿块切除手术。


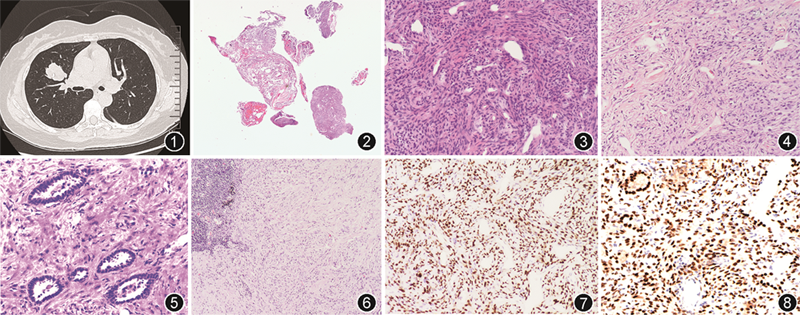
病理检查:右肺上叶切除标本,大小13 cm×10 cm×3 cm,支气管长0.3 cm,切缘直径1.2 cm,距离支气管切缘2 cm、距离肺被膜0.1 cm处肺内见一肿块,大小3.2 cm×3.0 cm×2.0 cm,切面灰白灰红色,实性、质韧,局部区质硬,肿块与周围肺组织境界清,紧靠支气管分支。支气管周围查见淋巴结3枚,最大径分别为0.5~1.5 cm。镜下观察:穿刺活检组织显示支气管黏膜下梭形细胞增生,呈束状和编织状分布,其内可见鹿角样血管,细胞具有轻度不典型性,核分裂象罕见(图2,3)。手术切除标本内肿瘤与周围肺实质边界清楚,但无包膜。肿瘤组织主要呈实性和胶原硬化性改变,实性区主要由片状排列的梭形细胞及多角形间质细胞组成,梭形细胞呈束状、旋涡状排列,染色质细腻,核仁不明显。多角形间质细胞具有轻~中度不典型性,局灶区可见核分裂象(6个/10 HPF)。立方状表面上皮形成腺管结构散在分布于胶原硬化区域(图4,5),腺管衬覆上皮的细胞核无显著异型性、拥挤或重叠等特征。局灶区间质细胞周围可见泡沫状组织细胞。局部支气管分支被肿瘤组织包裹,同时伴局部钙化和骨化。脉管、神经未见明确肿瘤组织侵犯。肺被膜未见肿瘤组织累及。支气管断端切缘未见肿瘤残留。支气管周淋巴结见肿瘤组织转移(1/3枚),转移灶内肿瘤细胞均呈梭形(图6),未见表面立方上皮。免疫组织化学:穿刺组织显示梭形细胞呈甲状腺转录因子1(TTF1)弥漫强阳性表达(图7),CD34、STAT6、CD56、突触素、嗜铬素粒A(CgA)、广谱细胞角蛋白(CKpan)、HMB45均为阴性,细胞Ki-67阳性指数极低(约1%)。手术切除标本显示表面立方上皮呈TTF1(图8)、上皮细胞膜抗原(EMA)、CKpan、CK7阳性;间质多角形细胞及梭形细胞呈TTF1、波形蛋白及SMA弥漫性阳性,EMA、CKpan弱阳性。CD34、HMB45、Melan A、CD31、突触素、CgA和CD56在表面立方细胞和间质细胞中均不表达。Ki-67在两种细胞中阳性率都不到1%;淋巴结转移灶梭形肿瘤细胞呈TTF1和波形蛋白阳性,CKpan、CK7阴性,进一步证实淋巴结内转移的梭形细胞来源于肿瘤的间质梭形细胞。
病理诊断:硬化性肺细胞瘤伴间质细胞梭形改变,支气管周围查见淋巴结1/3枚肿瘤组织转移。
随访:随访8个月,患者一般情况良好,未见复发及转移。
讨论:硬化性肺细胞瘤(pulmonary sclerosing pneumocytoma,PSP)是一种生长缓慢且具有良性临床行为的肺肿瘤。该肿瘤多见于亚洲中年女性,男女比例在不同人群中为7.7∶1.0~5∶1,一般无症状,通常偶然发现[1]。影像学上,该肿瘤常表现为圆形或类圆形边界清楚的孤立性结节,罕见情况下可多发[2],可呈分叶状,均匀强化,与周围性肺癌、错构瘤、肺炎性假瘤等常鉴别困难;当病变多发时,也难以与转移性肿瘤相鉴别。由此可见,对于该肿瘤,组织病理学诊断尤为重要。
经典的PSP病理学特征是由2种细胞类型组成,即表面立方上皮以及圆形或上皮样的间质细胞,这2种细胞均被认为是肿瘤性的。目前研究表明,表面立方上皮和间质内多角形细胞为同一起源,即均起源自原始呼吸道上皮细胞。间质细胞具有多向分化潜能;立方上皮分化较为成熟,类似Ⅱ型肺泡上皮细胞[3]。间质中可伴有泡沫状巨噬细胞及胆固醇裂隙,也可见慢性炎性病变、钙化和坏死。肿瘤具有4种经典的组织学特征,即乳头状、实性、硬化性、出血性;大部分情况下,同一肿瘤内至少会出现上述生长方式中的3种,各成分比例不一。本例活检标本中,镜下观察为束状或片状增生的梭形细胞,肿瘤细胞形态相对单一,间质可见鹿角样血管,比较有意思的是这些梭形细胞呈TTF1弥漫阳性但CKpan阴性,Ki-67阳性指数很低,随后加做CD34、HMB45、STAT6、CD31、突触素、CgA和CD56等标记均呈阴性,最终活检标本仅给予“良性或低度恶性肿瘤”的诊断,未能明确分型,故建议将肿块完整切除后进一步诊断。在随后的肺叶切除标本中,肿瘤组织主要呈实体型及硬化型生长模式。实性区梭形细胞呈束状或旋涡状排列,这与以前在活检标本中看到的梭形细胞增生相一致;同时切除标本内还可见多角形上皮样间质细胞,细胞具有轻度不典型性。实性区和硬化区内可见穿插的腺样结构,被覆单层立方细胞,未见明确乳头状结构或出血。此外,多角形上皮样间质细胞及梭形细胞间可见泡沫样组织细胞,另外局灶区可见骨化的改变。
由于本例肿瘤中梭形细胞多见,在诊断过程中应排除原发或转移性平滑肌瘤、炎性肌纤维母细胞瘤[4]、双相型滑膜肉瘤[5]、孤立性纤维瘤或肉瘤样癌等,尤其是对于活检标本,诊断难度很大。炎性肌纤维母细胞瘤的特点是梭形细胞、神经节样细胞和各种炎性细胞混杂分布,且半数以上病例呈碱性磷酸酶、平滑肌肌动蛋白(SMA)阳性表达。双相型滑膜肉瘤中含有类似腺癌的上皮样细胞和类似纤维母细胞的梭形细胞,而PSP中的表面立方上皮和梭形或多角形间质细胞异型性均很小;双相型滑膜肉瘤中梭形细胞可阳性表达CKpan、CK7和CD99,90%以上病例出现SYT基因融合变异。PSP一般不出现孤立性纤维性肿瘤中的“无结构性结构(patternless pattern)”或粗细和形状不一的蟹足样胶原;梭形细胞也不表达CD34和STAT6等标志物。缺乏结蛋白等肌源性标志物的表达可以与平滑肌瘤相鉴别;需要注意的是,本例梭形肿瘤细胞呈SMA表达,但不表达结蛋白,提示间质细胞出现成肌纤维细胞分化,其具体机制尚不清楚,有可能是间质多角形细胞梭形变的结果。值得一提的是,TTF1在上述肿瘤中均为阴性,所以使用包括TTF1在内的一组抗体对鉴别诊断帮助很大。肉瘤样癌一般异型性和多形性明显,即使是肺肉瘤样癌也常表现为TTF1表达的减弱或丢失,而不是弥漫强阳性表达。本例的难点在于活检组织中肿瘤细胞均为异型性不明显的梭形细胞,即使想到行TTF1的免疫组织化学染色,但仅凭TTF1阳性也难以给出PSP的诊断。
根据2015年WHO肺肿瘤分类[6],PSP的生物学行为表现为良性肿瘤过程。有少数文献报道,该肿瘤可发生区域淋巴结及远处转移(如骨、胃)[7, 8, 9],其淋巴结转移率<1.3%,所以有学者认为PSP可能是一种具有低度恶性潜能的肿瘤[10]。目前对PSP淋巴结转移的病例报道显示,转移灶内肿瘤细胞主要以间质细胞成分为主,且常伴梭形细胞形态[11]。本例肺内及淋巴结转移灶中肿瘤细胞也为梭形间质细胞,与以往文献报道结果相符。虽然少数PSP可发生淋巴结转移,但目前有限的文献报道显示[12],PSP的淋巴结转移不影响患者的长期生存,同时未见PSP患者肿瘤转移相关性致死病例报道。鉴于伴发淋巴结转移的PSP少见,目前有限的文献资料或许不能完全反映该肿瘤的生物学行为。手术切除是目前诊断和治疗的主要方式,可以根据肿瘤所处的位置不同,采用楔形或者肺段、肺叶切除术。虽然没有强有力的证据表明接受手术的此类PSP患者需要额外治疗,但仍需定期随访以防复发[13]。最终我们建议本例按照低度恶性肿瘤制定患者的相关随访计划。目前已随访8个月,患者一般情况良好,未见复发及远处转移。
通常情况下,PSP能够基于异型性不明显的2种细胞、4种组织学结构以及相对特征性的免疫表型特征得到准确诊断。但本例PSP肿瘤中,出现较多异型性不明显的单一梭形细胞增生且伴TTF1弥漫强阳性表达的特殊特征,这给诊断带来很大挑战;同时本例肿瘤极罕见的出现了梭形肿瘤细胞的淋巴结转移。上述特征让我们进一步拓宽了对PSP形态学特征及其生物学行为特征的认识,但肿瘤细胞梭形变及其淋巴结转移的分子机制尚不清楚。因此,对类似PSP病例的进一步深入研究以及对该类患者的长期随访都是必要的。
所有作者均声明不存在利益冲突





















