
吸烟相关性肺间质纤维化是吸烟引起的间质性肺疾病,相关病例报道较少。现报道1例发生于62岁男性的吸烟相关性肺间质纤维化。CT显示胸膜下呈过度充气改变,可见薄壁囊肿。病灶镜下可见肺泡间隔明显增宽,增宽的肺泡间隔由致密透明样变的胶原组成,其内相对无细胞成分。病变主要分布于胸膜下肺实质内,深部肺实质中病变具有小叶中心性分布的特点。
版权归中华医学会所有。
未经授权,不得转载、摘编本刊文章,不得使用本刊的版式设计。
除非特别声明,本刊刊出的所有文章不代表中华医学会和本刊编委会的观点。
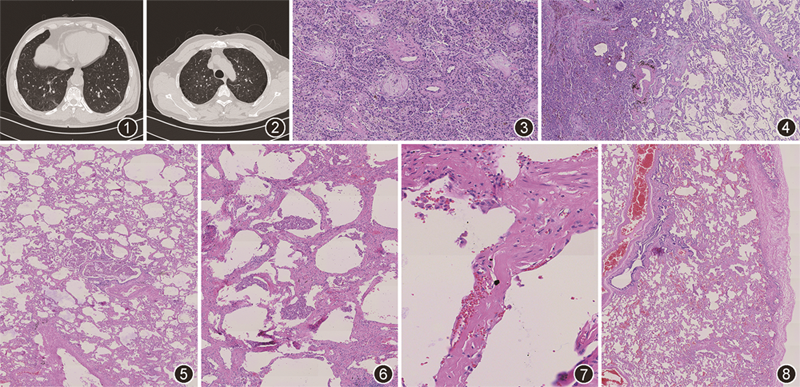
患者男,62岁。吸烟40年,平均每日20支。2021年2月因体检发现肺部结节行胸腔镜下右下肺叶切除术。术前CT示右下肺叶混合密度的磨玻璃结节(图1),直径1.4 cm。双肺另见散在直径2~4 mm的小叶中心性磨玻璃影,胸膜下呈过度充气改变,可见薄壁囊肿(图2)。双肺门结构清楚,未见明显异常。纵隔及纵隔淋巴结未见异常肿大。患者行右下肺叶切除术,术中冷冻于右下肺叶内见灰白灰黄结节,大小13 mm×10 mm×9 mm。术中冷冻切片检查结节内未见明确恶性依据。


病理检查:右下肺叶结节术后石蜡切片。镜下见肺泡腔内填充纤维母细胞栓子并伴有大量慢性炎性细胞浸润,形成机化性炎性结节(图3)。结节周围肺泡腔内可见大量噬色素巨噬细胞聚集并伴有局部肺泡间隔增宽纤维化(图4),考虑与患者长期吸烟具有相关性。为进一步明确诊断,我们扩大取材范围,对标本不同区域充分取材。补充取材后发现呼吸性细支气管及周围肺泡腔内存在大量含黄褐色色素颗粒的巨噬细胞,呈呼吸性细支气管炎伴间质性肺疾病/脱屑性间质性肺炎(respiratory bronchiolitis-interstitial lung disease,RBILD/desquamative interstitial pneumonia,DIP)样改变(图5)。同时发现部分区域肺组织肺泡间隔明显增宽(图6),增宽的肺泡间隔是由致密透明样变的胶原组成,其内相对无细胞成分(图7)。病变主要分布于胸膜下肺实质内,胸膜下的肺泡间隔增厚程度更为显著,同时合并轻微肺气肿(图8)。深部肺实质中,病变具有小叶中心性分布的特点。病灶肺泡腔内的巨噬细胞铁染色为阳性。切片内未发现蜂窝肺及纤维母细胞灶。
病理诊断:吸烟相关性肺间质纤维化。
讨论:我国是全球烟草生产和消费大国,吸烟人群逾3亿,7.4亿人群遭受二手烟的危害,每年因吸烟相关疾病所致死亡人数超过100万。吸烟除了可以引起肺癌、慢性阻塞性肺疾病以及肺气肿外,还可以引起吸烟相关性间质性肺疾病(SRILD)。吸烟相关性间质性肺疾病包括与吸烟关系密切的RBILD/DIP、肺Langerhans细胞组织细胞增生症(PLCH)以及吸烟相关性肺间质纤维化(smokingrelated interstitial fibrosis,SRIF)[1]。SRIF大多是在由于其他原因行肺切除或肺活检的吸烟患者中被发现的。2006年Yousem[2]最早在32例被诊断为非特异性间质性肺炎(NSIP)的患者中发现有9例患者的肺泡间隔增宽,增宽的肺泡间隔内为嗜酸性胶原,同时这一现象在胸膜下更为明显。Yousem[2]将这一系列的病理变化归类为呼吸性细支气管相关间质性肺炎伴纤维化。2010年,Katzenstein等[3]在23例因肿瘤进行肺叶切除的标本中发现,20例吸烟患者中有12例有不同程度的间质性疾病。在这12例中,又有9例患者发现有相同的病理改变,作者认为其可能是一种与吸烟密切相关的未被认识的间质纤维化病理类型,由此提出了SRIF这一疾病名称[4]。本例也是由于体检行CT检查时发现右下叶肺内有混合磨玻璃结节,怀疑为恶性肿瘤,行右下肺叶切除术,术后发现该混合磨玻璃结节为机化性炎性结节,周围肺组织内发现广泛的RBILP/DIP样改变,部分区域肺间隔胶原化(胸膜下更为显著)伴肺气肿,最终结合临床及影像学检查诊断为SRIF伴肺内机化性炎性结节。
目前关于SRIF的临床研究比较有限,没有大宗数据的统计。Yousem[2]和Katzenstein[4]分别报道了9例SRIF患者。SRIF患者年龄32~77岁不等,没有明显的性别倾向性,都与吸烟密切相关。SRIF患者的临床症状一般较轻,部分患者可以出现呼吸急促或者咳嗽,通常会被肿瘤性疾病或其他疾病所掩盖。Katzenstein[4]在对患者进行肺功能测试中发现,8例患者中有6例出现轻至中度阻塞性缺损,4例患者的弥散能力轻至中度降低。所有患者无进展性呼吸功能损害。El-Kersh等[5]报道了1例SRIF患者伴有明显的弥散功能障碍及轻度肺动脉高压,患者为55岁男性,大量吸烟,临床主要表现为劳力性呼吸困难和呼吸衰竭,患者无其他可引起肺动脉高压的肺疾病,同时肺活检诊断为SRIF,但对于肺动脉高压与SRIF的相关性该研究并未进一步阐述。现有研究中SRIF患者术后随访时间2~27个月(平均随访16个月),随访中未发现进展性呼吸损害证据[4]。戒烟是这些患者的主要治疗建议,与RBILD/DIP一样,在有明显症状的患者中,可考虑使用皮质类固醇类药物。目前没有研究证明免疫抑制剂或抗纤维化药物对SRIF患者有效[6]。
由于SRIF一般情况下症状轻,较少进行肺活检。临床诊断通常需要结合影像学检查。SRIF在高分辨率CT中可表现为胸膜下的薄壁囊肿或网状囊肿,同时可伴有小叶中心性磨玻璃结节,这与RBILD和DIP在影像学上有相似之处[7]。同时与吸烟具有相关性的PLCH在疾病终末期,也可以以囊状改变为主,但是与SRIF不同的是该病变囊大小不等,形态不一,囊壁厚薄不均,以中上肺为主,也可弥漫性分布[8]。普通型间质性肺炎(usual interstitial pneumonia,UIP)可以同SRIF一样在CT中表现为网格影,但SRIF的网格影没UIP显著,并且其进展显著慢于UIP。有研究表明,在纤维化程度相同的情况下,SRIF比UIP的肺气肿程度更高[9]。本例患者CT显示胸膜下有明显的过度充气,同时有一枚混合密度磨玻璃结节,胸膜下分布有明显的薄壁囊肿,具有较为明确SRIF影像学证据。
对于缺乏明确临床和影像学特征的患者,SRIF仍有赖于通过组织病理学与其他类型肺部疾病进行鉴别诊断。一类为其他类型吸烟相关性肺部疾病,另一类为其他类型纤维化性肺疾病。由于SRIF具有明确的吸烟相关性,故其病理表现与其他类型的吸烟相关肺部疾病,如肺气肿、RBILD/DIP、PLCH具有一定重叠交叉,需要予以鉴别。肺气肿是吸烟者常见的疾病,病理上表现为呼吸性细支气管及其远端肺组织的持久性扩张,一般不伴有肺泡壁的明显纤维化,肺泡腔内没有烟尘细胞的聚集。当SRIF合并有肺气肿时,SRIF肺内明显的玻璃样变的胶原肺间隔有助于鉴别其与单纯性肺气肿。RBILD/DIP的病理表现仅包括吸烟者肺泡内巨噬细胞和极少量间质纤维化,SRIF肺间隔具有显著特征的胶原化,DIP并不存在,当了解SRIF的病理表现后,其与SRIF的鉴别并不困难。PLCH的诊断需要有Langerhans细胞的结节性间质浸润,同时伴有其他炎性细胞特别是嗜酸性粒细胞的浸润。随着疾病的进展,细胞性结节可被致密的、通常透明的纤维化所取代。这些瘢痕区域的特点为它们通常分布于细支气管周围、呈星状,经常被牵引性肺气肿包围,这些特征都不同于SRIF[4]。由于SRIF自然病程远优于其他纤维化性肺疾病,故在病理诊断中SRIF需要与其他类型的肺纤维化进行鉴别,尤其是UIP、纤维化型NSIP等预后比较差的类型。在与UIP的鉴别诊断中需要掌握以下几点:(1)UIP通常有良好的蜂窝状改变,并且常含有黏蛋白和炎性细胞。(2)UIP肺间质虽然也会出现胶原纤维组织增生,但与SRIF不同的是由于UIP含有不同轻重及时相的病变,所以增生呈斑片状分布。(3)UIP内通常有明显的纤维母细胞灶而在SRIF中比较少见。相较而言,纤维化型NSIP与SRIF的鉴别最具挑战性,注意纤维化的表现、伴发炎性病变的量及病变的分布情况应有助于准确诊断。纤维化型NSIP和大多数其他慢性纤维化疾病一样,其肺间隔纤维化为松散胶原,而SRIF的肺泡间隔为嗜酸、致密及玻璃样变的间隔。即便当纤维化型NSIP发生严重纤维化时,慢性炎性细胞通常在一定程度上与胶原混合,而在SRIF中,通常缺乏炎性细胞浸润。纤维化型NSIP具有更为广泛的分布,这点与SRIF胸膜下和小叶中心加重特征形成对比。
结合患者的临床、影像及病理表现,部分SRIF患者可获得明确诊断。但实际临床应用中并非所有患者均会采用肺活检的检查手段,同时由于取材手段及范围的局限性,并非所有活检病例均能获得满足病理诊断的典型组织学形态。有研究通过6个月的慢性烟草暴露在C57小鼠中复制出SRIF模型,通过微阵列分析显示,暴露于吸烟环境1、2、3和6个月的小鼠外周血中3个miRNA(miR-92b、miR-700和miR-668)上调,5个miRNA(let-7e、miR-142-5p、miR-350、miR-19a和miR191)下调。他们提出,循环miRNA可能是反映SRIF相关间质纤维化动态病理变化的有前途的生物标志物,这或许对临床诊断SRIF有一定的帮助[10]。
综上所述,SRIF是一种提出时间较短且尚未被充分认识的疾病,该疾病与吸烟关系密切,是一种独特的间质纤维化形式,其病理表现为吸烟者肺间隔增厚纤维化透明样变伴呼吸道毛细支气管炎和肺气肿为特征。SRIF需要与其他吸烟相关间质性肺炎及特发性间质性肺炎相区别,病理学检查是可靠的诊断方式。今后随着对SRIF关注的增多,我们必将对其临床、影像、病理以及发生机制有更进一步的了解。
所有作者声明无利益冲突





















