
子宫内膜癌是妇科常见肿瘤,孕激素治疗成为年轻患者保留生育功能的首选方案,本文阐述子宫内膜样癌及癌前病变患者保育治疗前后的病理形态改变以及疗效评估的分级与术语,特别综述了子宫内膜样癌、分子分型及相关生物标志物在保育治疗中患者筛选及疗效评估的研究进展。
版权归中华医学会所有。
未经授权,不得转载、摘编本刊文章,不得使用本刊的版式设计。
除非特别声明,本刊刊出的所有文章不代表中华医学会和本刊编委会的观点。
子宫内膜癌是常见的妇科肿瘤之一,近年来发病率增高且呈年轻化趋势。根据2020年全球癌症统计显示,子宫体肿瘤是人类第6大常见的癌症,在2020年有41.7万例新发病例和9.7万例死亡病例[1]。根据2015年中国癌症中心统计,子宫体肿瘤是第9位常见的癌症,其中主要是子宫内膜癌[2]。子宫内膜样癌患者逐渐呈年轻化趋势,很多患者有保留生育功能的愿望,因而有关年轻子宫内膜样癌患者保留生育功能的治疗越发受到关注。目前有关子宫内膜样癌及癌前病变保育治疗前及治疗后疗效评估中相关病理学诊断标准尚不统一,有关文献报道较少,且相关的生物标志物在疗效评估中的意义也需予以关注,本文就相关内容进行综述,以期提高病理医师对于此领域研究进展的认识,为今后制订国内子宫内膜样癌保育治疗评估中的病理诊断规范奠定基础。
对于准备实施保留生育功能治疗的患者,需要进行全面的评估,包括临床、影像学、病理及分子遗传学等多学科的评估。
目前国际上比较认可的是欧洲妇科肿瘤学会(ESCO)2016年发表的相关共识,国内相关领域在此基础上进行了修订[3, 4]:(1)患者的国际妇产科联盟(FIGO)分期为ⅠA期、组织学分级为高分化(G1),病理类型为子宫内膜样癌;(2)病理标本来自分段诊刮,病理结果要由病理科专家进行审核;(3)影像学检查确定病灶局限于子宫内膜。影像学检查首选磁共振成像(MRI),也可以是有经验医师进行经阴道超声检查,同时未发现可疑的转移病灶;(4)没有孕激素等药物治疗禁忌证;(5)治疗前咨询生殖医学专家,明确没有妊娠禁忌证;(6)有条件者可考虑遗传咨询或基因检测。
由于年轻子宫内膜样癌患者发病率的提高,一些国内外学者建议放宽子宫内膜样癌保育治疗指征。
1.肿瘤分级:有研究者提出,部分G2、G3级的子宫内膜样癌患者可尝试进行保育治疗。Park等[5]报道了一个多中心的回顾性研究,研究发现17例G2~G3级ⅠA期无肌层浸润的子宫内膜样癌患者,在进行保留生育功能治疗后,完全缓解占比为13/17,复发占比为3/13。与文献报道的G1级ⅠA期子宫内膜样癌且无肌层浸润的患者相比,两者保守治疗的完全反应率相似。
2.肌层浸润:中华医学会妇科肿瘤学分会[6]指出,高分化子宫内膜样腺癌如浸润子宫浅肌层,系统评估无淋巴结转移后,在不合并其他高危因素时,可考虑保留生育功能。Park等[5]报道与G1级不伴肌层浸润的患者相比,G1级伴肌层浸润患者的完全缓解率与之相似,但复发率稍高,有理由认为保育治疗对于G1级伴浅肌层浸润的患者是可行的。但对于G2~G3级伴浅肌层浸润的患者,虽然完全缓解率与之相似,但复发率过高,因此不建议G2~G3级伴浅肌层浸润患者应用保育治疗。但是具体工作中,对于浅肌层侵犯深度的准确描述目前仍未统一。Park等[5]的意见是浅肌层浸润可行保育治疗,Casadio等[7]认为肌层浸润深度在1~2 mm内可尝试保育治疗,因此,对于肌层浸润深度的具体标准仍需进一步研究。
目前尚未出台保留生育功能的子宫内膜癌病理学诊断标准,按照ESCO的共识,病理组织类型仍参照WHO女性生殖系统肿瘤分类,确定为子宫内膜样癌或是癌前病变(子宫内膜不典型增生/子宫内膜上皮内瘤变)即细胞及组织结构呈现子宫内膜分化的上皮性恶性肿瘤或是癌前病变,肿瘤与高雌激素暴露相关。病理学分级采用FIGO分级标准为G1级,即肿瘤中非鳞状上皮化生的实性区域≤5%,细胞学不出现重度异型[8]。
近年来,越来越多的研究报道子宫内膜癌的分子分型对于筛选患者是否可以进行保育治疗具有重要意义,根据2013年癌症基因组图谱(TCGA)项目,该研究将子宫内膜癌分成4种分子亚型:DNA聚合酶ε(DNA polymerase epsilon,POLE)突变型(7%)、微卫星不稳定型(microsatellite instability,MSI;28%)、低拷贝数型(39%)、高拷贝数型(26%)[9]。第5版WHO女性生殖系统肿瘤分类基于TCGA分型将子宫内膜样癌的分子分型概括为POLE突变型、错配修复缺陷型(mismatch repair-deficient,dMMR)、无特异性分子改变的亚型(no specific molecular profile,NSMP)及p53突变型[8]。分子分型可以在病理及影像评估基础上更为精准的筛选适合保育治疗的患者,ESCO也提出有条件患者应进行基因检测。
1.POLE突变型:基于TCGA的数据和现有研究,POLE突变型子宫内膜样癌具有极高的突变负荷(232×106突变/Mb),该型患者其无进展生存期、无病生存期及总生存期均长于未突变组,而复发率和病死率均低于未突变组,故预后好于另外3个亚型[10, 11]。POLE突变型子宫内膜样癌的患者相对年轻,FIGO分期多为Ⅰ期,但肿瘤分级较高(G2~G3级多见),常伴有散在的瘤巨细胞,并常伴有大量的淋巴细胞浸润[12]。2018年,Britton等[13]进行分子分型前瞻性研究,结果表明,在POLE突变型患者中,无论病理分级如何均具有良好预后,因此,POLE基因突变是值得注意的预后标志,可能改变组织学为高级别(G2~G3)子宫内膜样癌患者的治疗方式,但目前尚未检索到报道POLE突变型子宫内膜样癌患者保育治疗的数据。此型患者可结合其他临床资料综合考虑是否可实施保育治疗。
2.dMMR:是由于错配修复(mismatch repair,MMR)基因突变导致,其中3%~5%是由遗传性胚系突变导致,即Lynch综合征,患者具有癌症易感性,大多数患者合并遗传性子宫内膜癌。dMMR子宫内膜样癌与POLE突变型子宫内膜样癌在组织形态学上相似,都表现为高级别子宫内膜样癌,且常伴有大量淋巴细胞浸润[9]。但dMMR子宫内膜样癌患者雌激素受体(ER)、孕激素受体(PR)表达率较低,组织学分级更高,与POLE突变型相比,此型预后更差,并且根据目前的辅助治疗建议,该类型患者被视为“中高风险”,并推荐辅助放疗[3],且研究发现患者可从PD-L1、PD-1阻断治疗中获益[11]。文献报道中发现在dMMR子宫内膜样癌中脉管内癌栓(LVSI)的发生率高达8.9%(P=0.002)[14],而研究证实无论子宫内膜癌病理分期和组织类型如何,LVSI的出现提示肿瘤具有较高的淋巴结转移及局部复发和远处转移的风险[15]。综上所述,dMMR子宫内膜样癌因激素受体阳性率低,且易出现LVSI,预后不佳,不适合进行保育治疗。
3.NSMP:也称为微卫星稳定型(microsatellite-stable,MSS),NSMP子宫内膜样癌,其突出的分子改变是CTNNB1的外显子3(52%)的突变[9]。该型TP53基因极少发生突变,但Wnt信号通路基因(CTNNB1、KRAS和SOX17)及PTEN、PIK3CA和ARID1A基因中均存在频繁突变[9,16, 17]。该型在形态学上常表现为低级别子宫内膜样癌,常伴鳞化,罕见淋巴细胞浸润[16]。有研究认为,该型子宫内膜样癌可能是内分泌治疗最大的获益者[12]。
4.p53突变型:此类型子宫内膜癌患者,其病理学分级通常较高,组织学类型可以是子宫内膜样癌G3或是浆液性癌,该型预后最差,其特征是出现高频的p53、PIK3CA和PPP2R1A等基因突变,而PTEN和KRAS基因突变罕见,该型患者多数对孕激素治疗不敏感,即使达到完全缓解后仍会发生其他癌症,如卵巢癌等,因而不适合进行保育治疗[9]。
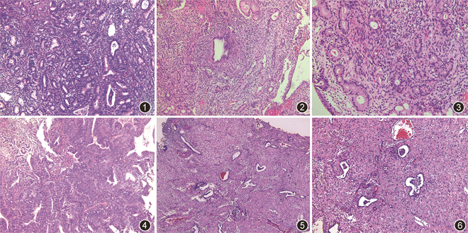
对于已经实施保育治疗的患者,需监测疾病进展的情况及进行疗效评估,目前推荐是在孕激素治疗6个月后需行刮宫送检病理评估。孕激素治疗后,如果子宫内膜对于孕激素有反应,则会发生相应的病理形态学改变,其改变主要涉及以下3个方面[18](图1, 2, 3, 4, 5, 6):(1)结构方面:间质呈前蜕膜改变、腺体的拥挤及复杂性有所减轻、腺体的数量减少、部分腺体出现乳头状或囊性结构,部分可伴有子宫内膜炎。(2)腺体方面:萎缩(不活跃)或分泌表现,腺上皮细胞密度下降,核复层减轻,腺上皮可发生嗜酸性变,鳞状化生及黏液化生。(3)细胞学方面:细胞变小,核质比下降、核的异型性减轻,核膜变规则、核染色质细腻、核仁不明显、核分裂象减少或消失。


目前对于如何来评定疗效,尚没有国际及国内统一标准,从文献报道来看,大部分研究多是参照2007年Wheeler等[19]提出评估方案,常用的评估术语包括以下几个方面:(1)完全缓解(reso1ution):治疗后的子宫内膜呈现萎缩(不活跃)、增生期及分泌期表现。(2)消退(regression):子宫内膜仅呈现不伴有不典型性的增生。(3)持续(persistence):不典型增生子宫内膜治疗前后没有改变,或是分化好的子宫内膜样癌治疗后病变呈现不典型增生或是分化好的子宫内膜样癌表现。(4)疾病进展(progressive):治疗前为不典型增生,治疗后进展为子宫内膜样癌,或是治疗前是G1的子宫内膜样癌,治疗后进展为G2或G3子宫内膜样癌。(5)复发(recurrence):治疗获得完全缓解或消退后,在随诊过程中诊刮病理再次出现子宫内膜样癌或不典型增生,或影像学表现异常后经手术病理证实为复发。
根据Wheeler等[19]研究显示,细胞和结构的改变可作为保育治疗预后的重要预测因素,如病变持续,表现在治疗后的子宫内膜活检标本中,其细胞学异型性仍存在,表现为细胞具有粗染色质、明显的核仁,而腺体结构的持续异常表现为腺体拥挤、融合的筛状腺体及腺腔内乳头状结构存在。如在治疗后7~9个月病理活检标本中出现细胞学异型性或结构异常持续存在则表明治疗失败。Wheeler等[19]同时强调,在活检标本中,细胞学异型性相对于结构异型性更具有预后的预测意义。Mentrikoski等[20]提出在治疗后腺体结构的异常,如筛状结构或复杂结构经常不会消失,但若此时细胞异型性不明显,则认为这种腺体结构保留,并不能意味着疾病的进展,而是孕激素治疗后的特征改变。如有可能,应该分别报告病变中细胞与结构的异型改变情况,并积累相关实验数据,结合临床病程情况,确定疗效及预后情况。
上述孕激素治疗后形态改变的复杂性,导致不同病理医师在判读中会有差异。近年陆续有相关生物标志物在子宫内膜样癌保守治疗评估的研究报告。多数生物标志物可通过常规免疫组织化学染色进行评估,但是一些结果并不确定,其应用价值尚需更多研究来支持。
1.ER和PR:ER、PR是诊断子宫内膜样癌常用的免疫组织化学指标,研究表明ER、PR的丢失与肌层浸润,更高的FIGO分期,盆腔淋巴结的转移,血管浸润及复发相关[21]。故有些研究者提出将ER和PR用作预测孕激素治疗效果的免疫组织化学指标,然而这一结果在临床应用方面并不令人满意。Raffone等[22]研究保育治疗前ER及PR的表达情况能否预测保育治疗疗效,这篇文章中根据Meta分析的结果显示,ER的阴性表达并不代表患者对孕激素治疗效果差(P=0.160),但PR的阴性表达可提示患者对孕激素治疗不敏感(P=0.010),这与大部分文献报道一致。然而,作者也强调,ER、PR的预测准确性受到孕激素给药途径的影响。在口服孕激素亚组中,ER、PR都不具备预测保育疗效的价值,在使用左炔诺孕酮宫内节育器亚组中,ER、PR对于保育治疗的预测效果较好。然而,即使是在左炔诺孕酮宫内节育器亚组中,ER和PR对于预测保育治疗效果的灵敏度仍较低。这一结果可能与子宫内膜样癌标本的分子遗传学改变(分子亚型)相关。例如,Zakhour等[23]研究表明,存在错配修复基因缺陷的患者对孕激素治疗没有反应。Karnezis等[24]报道ER表达在所有子宫内膜癌的分子亚组中均常见:73.9%的MSI亚型、75.7%的POLE亚型、67.4%的高拷贝数型和92%的低拷贝数型。在各分子亚组中亦可观察到PR阳性(60.9%的MSI型、75%的POLE型、83.9%的低拷贝型和44.7%高拷贝型),其中PR阳性表达在低拷贝亚型中更常见。综上所述,单独应用ER、PR免疫组织化学指标并不能有效筛选保育治疗的适应人群,须在分子分型的背景下,两者结合才能更准确地筛选出适合保育治疗病例。
2.PTEN和PAX2:PTEN是一种负调控PI3K/AKT/mTOR通路的肿瘤抑制因子,在子宫内膜样癌和子宫内膜不典型增生中常发生PTEN基因突变。Chen等[25]研究发现治疗前AH/EIN活检标本中PTEN及PAX2表达模式与保育治疗结局无相关性,这意味着治疗前PTEN/PAX2表达模式不能预测保育治疗效果。在孕激素治疗后,AH中的完整PTEN/PAX2表达提示患者对孕激素治疗有反应。在孕激素治疗后形态改变不确定的病例中,异常的PTEN/PAX2表达模式与疾病持续/疾病复发显著相关。如在大多数情况下,治疗后的子宫内膜样本显示对孕激素治疗有反应,但肿瘤特征部分保留,如结构异常或局灶性轻度核不典型性,不完全符合AH/EIN的诊断标准。故这些形态学特征常导致病理医师难以评估孕激素治疗效果。但研究证实若孕激素治疗后仍存在PTEN、PAX2的免疫组织化学表达异常,可提示临床医师该患者并未达到完全缓解,需继续孕激素治疗。但该抗体在实际应用中存在一定困难,如当PTEN和PAX2在形态异常的腺体中显示出部分缺失或弱着色时,如何正确地解释免疫组织化学结果。在积累足够的研究数据之前,只有明确的阳性或完全没有染色才能用作辅助诊断。与此同时,另一问题亦不容忽视,对孕激素治疗后AH/EIN的诊断,主要依赖于上述形态学标准,因为0~10%的AH/EIN患者具有完整的PTEN和/或PAX2表达。Williams和Ganesan[18]研究表明,PTEN不适合用作一个孤立的标志物来预测对孕激素治疗的反应。
3.孕酮受体B(PRB):孕酮受体,是由单个孕酮受体基因编码的蛋白质。该受体有两种亚型,A和B,两种亚型相对分子质量不同。Raffone等[22]提出,利用左炔诺孕酮宫内节育器(LNG-IUD)治疗年轻的子宫内膜样癌患者,PRB作为子宫内膜不典型增生和子宫内膜样癌保守治疗反应的独立预测指标的准确性较低;然而,PRB在间质细胞弱表达,对于预测孕激素治疗无反应和复发方面具有100%的灵敏度。Miyamoto等[26]通过免疫组织化学分析,发现PRB在1级子宫内膜样癌中表达更频繁,且与患者的临床预后不良呈负相关。孕酮主要通过PRB受体抑制癌细胞的侵袭能力,使这些肿瘤细胞受黏附分子如整合素和基质金属蛋白酶[27]等调节来发挥治疗效果。Upson等[28]认为孕激素可能通过降低雌激素受体的合成或促进雌二醇向雌酮转化以拮抗雌激素诱导的子宫内膜增殖作用,孕激素的这些可能的生物学效应均需要孕酮受体的存在。因此,低孕酮受体表达,特别是PRB表达过低,可能意味着保育效果不佳。
4.β-catenin:β-catenin基因(CTNNB1)位于染色体3p21上。β-catenin是E-cadherin catenin单元的一个组成部分,对细胞分化和维持正常组织结构非常重要。在14%~44%的子宫内膜不典型增生中,CTNNB1外显子3发生突变。Saegusa等[29]通过免疫组织化学的方法发现在子宫内膜样癌和子宫内膜不典型增生患者孕酮治疗过程中,细胞核β-catenin的表达明显增加,而这一发现提示孕激素会调控子宫内膜样癌细胞中β-catenin的表达。且细胞核中β-catenin的累积与孕激素治疗后形态学的改变相关,故β-catenin可以作为检验患者是否对孕激素治疗有反应的生物学指标。
5.生存素(Survivin):Survivin是凋亡抑制剂(IAP)家族的成员,此蛋白质在许多恶性肿瘤中过度表达,几乎在正常组织中无法检测到。复旦大学Chen等[30]研究发现,Survivin在子宫内膜不典型增生及子宫内膜样癌患者中表达增加。在使用孕激素治疗的患者中,对孕激素有反应的患者,与孕激素治疗前相比较,Survivin表达下降,细胞核中表达下降了19.5倍,在细胞质中表达下降了8倍,而对于激素无反应的患者,孕激素使用后无论是胞核还是胞质中其表达并无明显下降。该项研究还发现8例孕激素耐药的患者在孕激素治疗后一致表现出持续的Survivin表达,相反,在治疗效果好的患者中Survivin明显下调,提示Survivin可能在这些子宫内膜病变中参与孕激素抵抗,而众所周知孕激素抵抗被认为是保育治疗效果不佳的主要原因。这一结果提示我们可将Survivin作为预测指标之一。
综上所述,在子宫内膜样癌患者年轻化趋势下,保育治疗成为年轻患者的重要治疗方式,病理医师在保育治疗评估过程中的扮演重要角色。推出规范化子宫内膜样癌保育治疗前及治疗后病理评估报告势在必行,报告应涵盖治疗前后子宫内膜病理形态改变、分子分型,相关生物标志物的变化等,以便给予临床更为精准的治疗指导。
所有作者声明无利益冲突





















