
患儿男,8个月20 d。因双眼向下凝视伴体重不增2个月余,便秘伴呕吐半个月就诊于浙江大学医学院附属儿童医院,磁共振成像提示后颅窝第四脑室内混杂信号肿块伴梗阻性脑积水,间质性脑水肿,诊断:颅内肿瘤,考虑髓母细胞瘤或室管膜瘤可能。患者入院第5天行导航下脑干肿瘤切除术,术后未行放化疗,随访8个月,患儿情况良好。病理检查:镜下见肿瘤细胞小而密集,呈筛状、小梁状、乳头状排列,部分呈实性,可见真菊形团样结构,区域可见坏死及营养不良性钙化,细胞呈单层分布,细胞核染色质致密,核圆形或卵圆形,胞质轻度嗜酸性,核仁不明显,未见典型的横纹肌样肿瘤细胞。免疫组织化学肿瘤细胞上皮细胞膜抗原、广谱细胞角蛋白、β-catenin阳性,胶质纤维酸性蛋白阴性,INI1表达完全缺失。荧光原位杂交检测未提示SMARCB1基因缺失。病理诊断为筛状神经上皮肿瘤。
版权归中华医学会所有。
未经授权,不得转载、摘编本刊文章,不得使用本刊的版式设计。
除非特别声明,本刊刊出的所有文章不代表中华医学会和本刊编委会的观点。
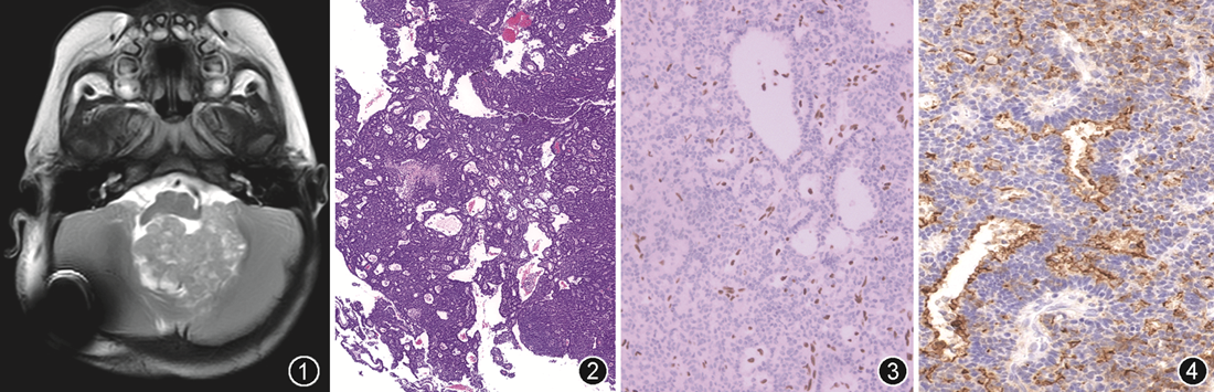
患儿男,8个月20 d。入院前2个月余无明显诱因出现双眼向下凝视,患病以来体重未增,入院前半个月患儿无明显诱因出现便秘,3~5 d解1次,大便干硬或糊状,伴呕吐,4~5次/d,无发热。门诊头颅B超提示脑积水,门诊拟“脑积水”于2021年3月4日收入浙江大学医学院附属儿童医院。体检:神志清,精神欠佳,格拉斯哥昏迷评分(GCS)15分,前囟膨隆,张力高,生命体征平稳,双侧瞳孔等大等圆,对光反射灵敏,双眼向下凝视,颈抵抗阳性,四肢活动可。入院检查:磁共振成像(MRI)头颅增强3.0T检查提示后颅窝第四脑室可见一不规则形占位性病变,边缘稍分叶,主体呈等T1等T2信号,可见多发小囊性坏死灶(图1),弥散加权成像(DWI)主要为等信号,增强扫描后,实性部分强化明显,囊性部分强化不明显,幕上脑室扩张积水,诊断:颅内肿瘤,考虑髓母细胞瘤或室管膜瘤可能。入院第5天行导航下脑干肿瘤切除术,术中见肿瘤入第四脑室,肿瘤起源于第四脑室外侧隐窝处脑干,质软且脆,色微红,鱼肉状,大小约5.0 cm×3.5 cm。手术切除视野内肿瘤组织。


病理检查:送检破碎软组织一堆,总体积5 cm×3 cm×2 cm,切面实性、质软,肿物全部取材。镜下观察:肿瘤由未分化小细胞组成,呈筛状、小梁状、乳头状排列(图2),可见细胞外黏液样物质,部分呈实性,可见真菊形团样结构,区域可见坏死及营养不良性钙化,细胞呈单层分布,细胞核染色质致密,核圆形或卵圆形,部分细胞核拉长,胞质轻度嗜酸性,核仁不明显,未见典型的横纹肌样肿瘤细胞,核分裂象(1~3)个/HPF。免疫组织化学标记肿瘤细胞INI1完全缺失(图3),广谱细胞角蛋白(CKpan)、上皮细胞膜抗原(EMA,图4)、β-catenin、突触素阳性,细胞角蛋白(CK)19部分阳性,Ki-67阳性指数约50%。CK7、胶质纤维酸性蛋白(GFAP)、SALL4、OCT4、甲胎蛋白、C-MYC均阴性。荧光原位杂交(FISH)检测未提示SMARCB1基因缺失。
病理诊断:筛状神经上皮肿瘤。
随访:患儿术后予降颅压、营养神经、抗炎等药物对症治疗,未行放化疗,随访8个月,目前情况良好。
讨论:筛状神经上皮肿瘤(cribriform neuroepithelial tumor)最初由德国神经病理研究所Hasselblatt等[1]于2009年首先发现并命名,非常罕见,目前国外文献报道10余例。2021年出版的第5版《WHO中枢神经系统肿瘤分类》中将其暂定为其他类型的中枢神经系统胚胎性肿瘤的单独一类[2]。筛状神经上皮肿瘤好发于婴幼儿,患者常小于2岁,平均年龄为20个月(范围7~129个月),到目前为止,所有肿瘤都位于脑室内,男性居多[3]。组织学呈筛状或乳头状假上皮样特征,缺乏典型横纹肌样肿瘤细胞,表达上皮性标志物(CKpan、CK18等),EMA在小管或腺体内侧强阳性表达,SMARCB1(INI1)蛋白表达完全缺失,GFAP阴性,β-catenin阳性,突触素可不同程度表达。过碘酸雪夫(PAS)染色阳性,不见外界膜。遗传学改变主要为SMARCB1区域的大型杂合子22q缺失,个别病例显示影响第4外显子纯合子(c.367>Tp)的SMARCB1突变的杂合子缺失,分子检测可显示SMARCB1双等位基因失活,部分病例FISH检测可未显示SMARCB1的基因改变,需行多重连接探针扩增技术(MLPA)检测或SMARCB1基因测序检测[1,3, 4],本例FISH检测未提示SMARCB1基因缺失。
INI1蛋白与细胞周期、分化及细胞生存的调节密切相关,它是ATP依赖的染色质重塑复合物SWI/SNF的组成部分,编码在染色体位置22q11.2[5]。发生在中枢神经系统,INI1蛋白表达缺失的肿瘤包括非典型畸胎瘤样/横纹肌样瘤(atypical teratoid/rhabdoid tumor,AT/RT)、上皮样肉瘤、上皮样恶性外周神经鞘瘤、肌上皮癌、骨外黏液性软骨肉瘤、脊索瘤[6]。
鉴别诊断:(1)脉络丛乳头状癌:两者均好发于脑室,组织学上均可见到乳头样结构,但脉络丛乳头状癌细胞密度增加,核异型性和多形性明显,乳头结构模糊形成实性区域,核分裂象增加(>5/10 HPF),可见肿瘤性坏死及浸润周围脑组织,这些组织学结构可与筛状神经上皮肿瘤进行鉴别,免疫组织化学脉络丛乳头状癌Kir7.1阳性,INI1表达存在,而筛状神经上皮肿瘤为INI1表达缺失。(2)具有多层菊形团的胚胎性肿瘤(ETMR):两者发病年龄及发病部位相似,组织学上ETMR可出现假复层上皮形成的胚胎神经管样结构、片状小圆形细胞及肉瘤样区域。免疫组织化学LIN28A、INI1阳性表达可与筛状神经上皮肿瘤鉴别,遗传学可见位于19q13.42的C19MC基因扩增[7]。(3)室管膜瘤:室管膜瘤组织学可出现血管周围假菊形团和室管膜菊形团,免疫组织化学肿瘤表达GFAP、S-100蛋白及波形蛋白,EMA可见点状(dot-like)阳性反应,INI1表达存在可与筛状神经上皮肿瘤相鉴别。(4)AT/RT:组织学上AT/RT最显著的特征是可见典型的横纹肌样细胞,其特点包括:细胞边界清楚,细胞核偏位,呈泡状,可见突出核仁,具有丰富的嗜酸性胞质及胞质内嗜酸性球状包涵体,胞质内可以有广泛的空泡形成。可见其他不同成分原始神经外胚层、间充质和上皮细胞。Ki-67阳性指数通常>50%。筛状神经上皮肿瘤与AT/RT对比,最明显的区别是组织学肿瘤呈筛状排列,未见典型的横纹肌样肿瘤细胞,两者均可出现SMARCB1蛋白(INI1)缺失,部分AT/RT可出现SMARCA4(BRG1)基因突变或失活,BRG1为SWI/SNF复合物的另一组成成分[8]。有学者报道[9],通过DNA甲基化和SMARCB1基因表达特征,AT/RT目前分为3个分子亚群(MYC、SHH和TYR)。Johann等[3]研究显示筛状神经上皮肿瘤与AT/RT-TYR亚组中SMARCB1基因突变之间分布类似,均存在影响SMARCB1区域的大的杂合子22q缺失,但与AT/RT-TYR亚组相比,筛状神经上皮肿瘤患者总体生存期更长。目前报道的病例中,1例患者治疗前死于呼吸衰竭[10],另1例患者术后予AT/RT的放疗及化疗方案,随访68个月后死亡[11],其余患者术后均予化疗或放疗,随访范围10~139个月,均预后良好。本例患者术后未行放疗及化疗,随访8个月,目前状况良好,但后期预后如何,有待继续追踪随访。
总之,筛状神经上皮肿瘤是一种罕见的非横纹肌样肿瘤,伴有SMARCB1基因缺陷,可能具有相对良好的预后,目前病例报道较少,其临床治疗和预后有待进一步收集病例研究。
所有作者声明无利益冲突





















