
伴肠母细胞分化的胃腺癌合并绒毛膜癌成分并肝转移病例比较罕见。患者为65岁女性。胃癌根治标本,胃肿瘤呈腺管状、乳头状结构,细胞质透明,诊断为伴肠母细胞分化的胃腺癌。在淋巴结转移灶和肝转移灶中出现了绒毛膜癌成分。免疫组织化学不同程度表达SALL4、Glypican3、甲胎蛋白、人绒毛膜促性腺激素、CDX2、CD10等抗体。二代测序提示TP53突变、MYC扩增等改变。此肿瘤恶性程度高,预后差,对术前化疗不敏感。患者术后12个月死亡。
版权归中华医学会所有。
未经授权,不得转载、摘编本刊文章,不得使用本刊的版式设计。
除非特别声明,本刊刊出的所有文章不代表中华医学会和本刊编委会的观点。
患者女,65岁。2020年4月因“上腹部不适1个月”入院。既往无肿瘤史。胃镜检查:胃窦部溃疡。CT检查:胃窦部恶性肿瘤伴多发腹腔、后腹膜淋巴结肿大;肝左叶低密度影,考虑转移灶。正电子发射断层显像/X线计算机体层成像(PET-CT)检查:胃窦部胃壁增厚,胃窦旁、胰头前多发肿大淋巴结,均伴葡萄糖代谢增高,考虑胃癌伴淋巴结转移。肝左叶稍低密度灶伴环状葡萄糖代谢轻度增高,考虑转移;结合血清甲胎蛋白水平增高,原发性肝细胞肝癌不能除外。血清检查显示高于正常值范围的肿瘤标志物有:甲胎蛋白(>2 000 μg/L),人绒毛膜促性腺激素(HCG,1 795 IU/L),癌胚抗原(38.17 μg/L),糖类抗原CA19-9(>1 200 kU/L),肿瘤特异生长因子(66.20 kU/L),CYFRA211(3.34 μg/L)。患者经术前化疗后行腹腔镜下远端胃癌根治+毕Ⅱ式吻合术+肝左外叶切除+肝V段转移结节切除术。
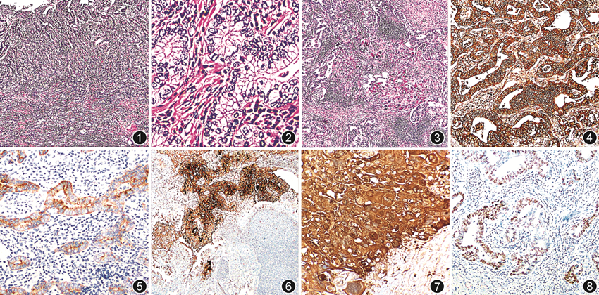
病理检查:大体检查:(1)远端胃大部根治标本,大弯长13 cm,小弯长9 cm,上切缘直径9 cm,下切缘直径4.5 cm,距下切缘1.0 cm、上切缘6.5 cm胃窦与幽门交界处,小弯侧见溃疡隆起型肿块,大小1.5 cm×0.7 cm×0.5 cm,切面灰白色,质地稍硬,侵及层次不清。大网膜组织查见胃周淋巴结组织多枚,直径0.5~0.8 cm。(2)肝左外叶组织切面见一肿块,大小4.5 cm×3.5 cm×2.5 cm,切面暗红色,质地软,紧邻烧灼切缘。(3)右肝结节(S5段)组织一块,最大径0.8 cm,切面红色。(4)送检淋巴结13组。镜下观察:肿瘤细胞主要由3种成分组成,其中胃原发灶可见2种成分。第一种为经典型管状腺癌,约占胃肿瘤的5%,位于肿瘤浅表处。第二种主要为管状、乳头状形态(图1),部分区域可见筛孔状,细胞呈柱状或立方状,胞质透明(图2),核中度异型,核分裂象易见,可见小核仁,胞质内可见嗜酸性小球,腔内可见坏死,约占胃肿瘤的95%,淋巴结转移成分的99%,肝转移癌成分的1%。第三种成分呈实性、巢状、片状分布,瘤细胞体积大小不等,胞质丰富、嗜酸性,可见大量巨核细胞及多核巨细胞,形态同滋养层细胞,伴有大量出血背景,占淋巴结转移肿瘤成分的1%(图3),肝转移肿瘤成分的99%。免疫组织化学:仅有伴肠母细胞分化的胃腺癌成分阳性表达甲胎蛋白(图4)、Glypican3(图5)、CDX2;仅有绒毛膜癌成分阳性表达HCG(图6,7)、CK7。两种成分均阳性的免疫指标为SALL4(图8)、CD10、广谱细胞角蛋白,Ki-67阳性指数约95%,p53弥漫强阳性,MSH2、MSH6、MLH1、PMS2均阳性,提示微卫星稳定;PD-L1(22C3;联合阳性评分:胃癌为30,肝转移癌为60)。HepPar-1、MUC2、α-抑制素、cyclin D1、PAX8、WT1均阴性,HER2胃癌1+,肝转移癌2+。荧光原位杂交(FISH)检测:胃癌与肝转移癌HER2均为阴性。原位杂交:胃癌与肝转移癌EB病毒编码的RNA均为阴性。二代测序:胃癌行二代测序全外显子检测,以千人基因组计划与外显子组整合数据库为对照,结果显示MYC扩增(8q24.21),肿瘤突变负荷(TMB-L,86 Muts),微卫星不稳定结果为微卫星稳定,生殖细胞人白细胞抗原(HLA)分型HLA-C呈纯合状态;遗传研究相关胚系突变基因11个,点突变或小片段的插入缺失改变的有TP53、NONO、APC、ALK等102个基因。


病理诊断:(远端胃)胃窦伴肠母细胞分化的胃腺癌,中分化,侵及浆膜下层,见脉管癌栓。右肝结节S5段见腺癌转移。肝左外叶见绒毛膜癌转移,灶性为腺癌,肝切缘未见癌累及。第6组淋巴结见腺癌转移(6/8)。第8组淋巴结见腺癌转移(1/1),小灶为绒毛膜癌。其余各组淋巴结均未见癌转移(0/17)。病理分期:T3N3aM1。
诊疗经过及随访:患者胃镜检查诊断为腺癌后行“奥沙利铂+替吉奥+阿帕替尼”3个疗程治疗,3个月后行手术切除。术后20 d行“脂质体紫杉醇+替吉奥+阿帕替尼”2个疗程治疗。术后2.5个月CT发现双肺多发转移,纵隔淋巴结转移,肝脏多发转移灶。行“IBI308+紫杉醇+瑞戈非尼”3个疗程治疗。术后4个月CT发现肺、肝及淋巴结转移灶均有进展,行“奥沙利铂+亚叶酸钙+氟尿嘧啶”6个疗程,同时用PD1抑制剂(IBI308)。术后11个月,CT发现颅内、脾脏等新增多发转移灶。术后12个月死亡。
伴肠母细胞分化的胃腺癌(GAED)是Matsunou等[1]于1994年首先报道并提出的概念,将其视为产甲胎蛋白腺癌的一个亚型。GAED临床特征与普通型胃癌相似,老年男性多见,多位于胃窦部,占胃癌的10%~15%[2, 3, 4]。部分GAED可表现为血清甲胎蛋白水平的升高。2019年WHO消化系统肿瘤分类将甲胎蛋白阳性的癌共分为4种:肝样腺癌、胞质透明的高分化乳头状癌或管状腺癌、伴有肠母细胞分化的腺癌、卵黄囊瘤样癌[5]。这些腺癌类型免疫组织化学相似,不同类型之间主要以形态学进行区分。GAED形态为管状、乳头状结构组成,细胞呈立方状或者柱状,胞质透明,细胞核位于基底部,类似胎儿早期肠上皮形态,胞质内可见红染小球状物,腔内可见均质红染物,部分可具有卵黄囊样形态或实体形态,需至少表达甲胎蛋白、Glypican3和SALL4中的一项[1,6]。
纯的GAED比较少见[7],多伴有其他类型的腺癌成分,如普通型管状/乳头状腺癌、印戒细胞癌、黏液腺癌等,少数病例可伴有肝样腺癌[2, 3,8],罕见情况下可合并小细胞神经内分泌癌。部分病例在黏膜内为典型的GAED形态,而在肿瘤浸润深部或转移病灶中,出现实性成分或肝样腺癌成分,伴有实性成分的GAED比无实性成分的预后更差,提示GAED可以向肝样腺癌转化,或者肝样腺癌是实性的GAED亚型[9, 10, 11]。本例GAED在淋巴结转移和肝脏转移过程中,出现了绒毛膜癌的分化。
GAED是一种恶性程度较高的胃腺癌,容易发生淋巴结和远处转移,特别是肝转移,预后较差,即使在早期也有很高的恶性潜能[3, 4,12]。其免疫组织化学表达SALL4、甲胎蛋白或Glypican3中的一种或者多种,同时可以表达肠上皮标志物CD10、CDX2和Villin。其中SALL4阳性是独立的预后危险因素之一[12]。SALL4、甲胎蛋白和Glypican3为干细胞标志物,也是生殖细胞肿瘤的诊断标志物,提示GAED起源可能更接近原始生殖细胞,具有胎肠或生殖细胞的分化,为原始表型癌。本例发现GAED伴有绒毛膜癌的分化,进一步支持这一观点。
GAED的分子学检测,发生率最高的为TP53突变,比普通型胃癌突变率高,免疫组织化学可有p53的过表达[10,13],可能与启动子甲基化有关[14]。除此之外,还有ERBB2、MYC基因拷贝数的扩增[13, 14],SMAD4表达的缺失等。GAED基因分型多为染色体不稳定型/基因组稳定型[11]。为了解此肿瘤分子学特征及寻找潜在治疗靶点,本例行二代测序检查,结果显示TP53突变位点为c.517 G>T,MYC基因8q24.21位点的扩增,基因分型为染色体不稳定型。
本例GAED主要与以下类型进行鉴别。(1)肝样腺癌:肝样腺癌SALL4多呈局灶性、强弱不等阳性,可表达MUC2或者MUC5AC,形态学上主要以实性、巢状成分为主。(2)胃卵黄囊瘤型腺癌:二者免疫表型及血清甲胎蛋白均类似,但组织学上卵黄囊瘤可表现为微囊、网状、内胚窦样、实性、管状、乳头状、肝样结构等多种组织学形态,常见Schiller-Duval小体。(3)胃GAED与肝绒毛膜癌双原发肿瘤:本例胃部肿瘤全部取材,未见绒毛膜癌成分,而肝脏转移灶主要为绒毛膜癌成分,需要与双原发肿瘤进行鉴别。(4)伴有透明胞质的转移性癌:转移性肾脏、卵巢的透明细胞癌,也可表现为相似的形态,但不表达胚胎干细胞和肠分化的标志物。
与GAED相似,胃的绒毛膜癌进展也非常迅速,发现时大多处于晚期,常发生肝脏、腹腔淋巴结转移。本例为GAED伴有绒毛膜癌分化,发现时已是进展期,患者术前接受化疗,手术标本病理提示对化疗不敏感,术后发生进展。总之,GAED合并绒毛膜癌分化预后较差,其治疗主要以手术切除为主,术后辅助化疗、免疫治疗及靶向治疗等,鉴于其免疫表达与基因改变具有特征性,是否有更有效的治疗方法,比如SALL4的靶向治疗方案等,尚需更多的研究进一步探讨。
所有作者声明无利益冲突





















