
精囊腺混合性上皮间质肿瘤(mixed epithelial-stromal tumor,MEST),是一种非常罕见的原发于精囊具有间质成分和良性上皮成分的双相性肿瘤。本例为56岁男性,影像提示前列腺左后上方最大径约4 cm占位性病变伴出血,精囊腺来源肿物可能。组织学形态显示肿瘤由多量大小不等的囊腔组成,囊腔衬覆单层或多层立方上皮,局灶可见乳头状内折,细胞无明显异型;囊腔间为弥漫增生的短梭形细胞,细胞密度较高,未见明确核分裂象。免疫组织化学显示上皮细胞PAX8、细胞角蛋白(CK)7阳性,间质细胞雌激素受体(ER)、孕激素受体(PR)阳性,CD34、平滑肌肌动蛋白(SMA)部分阳性,NKX3.1阴性,Ki-67阳性指数约为1%~2%。此病临床和影像诊断困难,确诊需要病理检查,现报道1例精囊腺低级别MEST,旨在提高对本病的认识,减少误诊。
版权归中华医学会所有。
未经授权,不得转载、摘编本刊文章,不得使用本刊的版式设计。
除非特别声明,本刊刊出的所有文章不代表中华医学会和本刊编委会的观点。
患者男,56岁。因间断血精10年余,血尿3个月于2021年9月24日入院。患者10年前无明显诱因出现血精,随后出现咖啡色全程血尿1次,无发热、腰痛。于当地医院行B超、磁共振成像检查发现精囊肿物,最大径约1 cm,未予治疗。此后10年血精间断发生。3个月前再次发生咖啡色全程血尿,于北京大学第三医院就诊。实验室检查显示血清前列腺特异性抗原(prostate specific antigen,PSA)值正常。经直肠前列腺超声检查显示前列腺偏左侧外腺区囊实性包块,边界清,内可见弥漫多发条带及片絮状分隔,分隔上可探及丰富血流信号。考虑复杂囊肿,其他占位性病变待排。盆腔磁共振成像检查示前列腺左后上方见不规则混杂长及短T1、长及短T2信号,范围约4.1 cm×3.5 cm×3.5 cm,边界尚清,DWI呈等信号(图1B);考虑前列腺左后上方占位病变伴出血,精囊腺来源?随后行机器人辅助腹腔镜前列腺及精囊肿物根治性切除术。


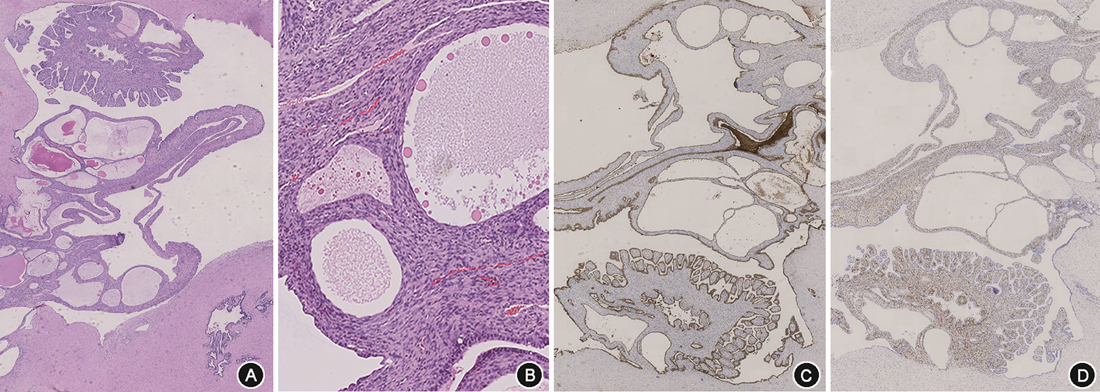
病理检查:大体观察示左精囊腺大小2.5 cm×1.0 cm×1.0 cm,切面呈囊实性,囊腔最大径约1.2 cm,实性区切面灰白质中;右精囊腺大小1.5 cm×1.5 cm×0.5 cm。前列腺大小4.8 cm×3.5 cm×3.5 cm,切面示左后上方呈多房囊性,囊腔最大径2.5 cm。镜下观察:肿瘤由多量大小不等的囊腔组成,呈圆形、卵圆形或不规则形,囊腔衬覆单层或多层立方上皮,局灶可见乳头状内折,细胞无明显异型;囊腔间为弥漫增生的短梭形细胞,细胞密度较高,总体较一致,局灶可见细胞多形性,未见明确核分裂象。免疫组织化学:上皮细胞PAX8、细胞角蛋白(CK)7阳性,间质细胞雌激素受体(ER)、孕激素受体(PR)阳性,CD34、平滑肌肌动蛋白(SMA)部分阳性,PSA、NKX3.1、癌胚抗原(CEA)、WT1阴性,Ki-67阳性指数1%~2%阳性(图2)。


病理诊断:精囊腺混合性上皮间质肿瘤,低级别,最大径3.7 cm,位于左精囊腺和前列腺左后上部。
随访:术后随访10个月,情况良好。
讨论:精囊腺成对位于膀胱底部后外侧,为高度卷曲的管状结构,起源于中肾管。原发于精囊腺的肿瘤总体罕见,需与起源于其他部位尤其是前列腺癌的浸润相鉴别。原发于精囊的肿瘤主要可分为:腺癌、鳞状细胞癌、混合性上皮和间质肿瘤(MEST)、杂类肿瘤和间质肿瘤,间质肿瘤主要有平滑肌瘤、纤维瘤等良性肿瘤以及恶性的肉瘤等;在精囊原发性肿瘤中,腺癌最为多见。
MEST是同时具有上皮和间质成分的肿瘤,至今有43例原发于精囊的MEST的报道[1, 2, 3],发病年龄31~70岁,中位年龄49岁。临床表现主要为下腹部或会阴疼痛;尿频、尿急、夜尿增多或急性尿潴留;亦可出现血尿或血精。直肠指检可提示前列腺增生,血清PSA水平基本正常,影像学检查常提示精囊腺或前列腺内囊实性病变。其体征、实验室检查及影像学检查无明显特异性,容易误诊。故病理检查对此病的明确诊断很重要。大体上,肿物大小3~16 cm,囊实性外观,切面呈多房囊性,海绵状。其镜下主要特征为由上皮和间质成分共同构成,与本例镜下特征相同,上皮常构成圆形或椭圆形的囊腔,也可呈不规则裂隙样,上皮细胞为立方、柱状或扁平状,局灶可呈靴钉样或簇状,偶见向囊腔内呈息肉样或乳头状内折,细胞一般无异型,偶见轻度不典型性,可见脂褐素。间质呈不同程度增生,细胞密度不等,核分裂象多少不等。基于间质成分的组织学特征,包括细胞密度、异型性、核分裂象以及坏死,Reikie等[4]提出对MEST进行分级:低级别MEST(low-grade)间质细胞无明显异型性,无或罕见核分裂象(<1个/50HPF),无或仅有局灶轻度多形性,无坏死;中级别/恶性潜能未定MEST(intermediate-grade/uncertain malignant potential)表现为间质细胞密度增高,低核分裂活性,有异型性和多形性,但无坏死;而高级别MEST(high-grade)的间质细胞密度则明显增高,具有明显的核分裂活性以及显著的核异型性和多形性,且常有明显坏死。中级别MEST有时与高级别MEST较难区分,高级别MEST往往表现出明显的恶性形态,以及常见坏死,本例间质细胞丰富,仅局灶具有多形性,未见明确核分裂象和坏死,符合低级别MEST。总结以往的病例报道,中级别MEST 3例[5, 6, 7],而高级别MEST仅2例[8, 9],其余均为低级别MEST。在免疫组织化学方面,MEST显示上皮成分PAX8、CK7、高相对分子质量细胞角蛋白阳性,而PSA、前列腺特异性酸性磷酸酶(PSAP)呈阴性;间质成分常弥漫表达ER、PR,波形蛋白、结蛋白、SMA往往也阳性,CD34常表现为围绕囊腔的阳性。
MEST的鉴别诊断主要为前列腺特异性间质肿瘤,包括恶性潜能未定的前列腺间质肿瘤(STUMP)及前列腺间质肉瘤(PSS)。STUMP曾被称为前列腺非典型间质增生、前列腺间质增生伴有奇异型核/非典型性、叶状肿瘤、叶状非典型增生等[10, 11],多为良性生物学行为,但仍有一部分可进展为PSS。其组织学特征主要为富于细胞性的间质伴有内陷的良性前列腺腺体,间质细胞核深染伴有退行性的非典型改变,这种富于细胞性的间质形态容易与MEST间质成分混淆。与STUMP相比,PSS更少见,患者更为年轻,组织学特点为肉瘤样的间质伴有内陷的良性前列腺腺体。前列腺间质肿瘤一般表达CD34和波形蛋白,不同程度表达SMA、结蛋白以及肌特异性抗原(MSA)等肌源性标志物;由于起源于激素依赖的前列腺特化性间质,常表现为PR阳性,但较少表达ER;而这两者与MEST的鉴别要点为STUMP及PSS表达PSA、NKX3.1和PSAP,而MEST不表达前列腺上皮标志物,且其上皮成分表达PAX8和CK7。
MEST发生在肾较多见,目前MEST发生机制不清:肾MEST被认为起源于肾脏苗勒管残件等苗勒管样间质细胞[12],而精囊腺MEST被认为与先天性精囊腺囊肿有关[13]。二者结构上相似,都表现为间质与上皮的增生,肾MEST常见卵巢样间质,而精囊腺MEST常表现为温和的梭形细胞,细胞密度较低,二者都可能出现少见情况下的高级别形态。从免疫表型上,二者上皮和间质表型基本相似,精囊腺MEST常见间质CD34阳性,而肾MEST CD34常阴性。从临床表现上,肾MEST好发于围绝经期的女性,中位年龄52岁,男女比例约为1∶7[14],而精囊腺MEST见于男性,中位年龄49岁。
MEST的治疗以手术为主,包括切除肿块及同侧精囊、前列腺精囊切除。低级别MEST绝大多数术后无复发,但存在失访的情况,因此无法确切评估;文献报道的3例中级别MEST其中1例2年后盆腔复发,另2例未复发,而2例高级别MEST均发生肺转移。其他治疗方法,如针对间质成分ER、PR阳性,内分泌治疗是否有效尚无报道。本例为低级别MEST,术后随访10个月,状况良好。综上所述,由于MEST罕见,报道病例数及随访有限,其预后以及分子遗传学改变还有赖于病例的积累和研究。
所有作者声明无利益冲突





















