
患者女,18岁。8年前因“高级别实性未成熟畸胎瘤”行手术治疗及术后化疗,术后数月即出现肿瘤复发,再次手术切除,为“实性未成熟畸胎瘤(1级)”;术后5年出现腹腔占位,此后3年间数次化疗无效,肿瘤持续增大并出现压迫症状,为治疗行第三次手术,诊断为“生长性畸胎瘤综合征,伴腹膜胶质瘤病”。术后随访30个月,患者无复发。此类疾病组织学形态呈良性,但具有类似恶性肿瘤持续生长或广泛种植的生物学行为,放化疗无效,彻底的手术切除能够给患者带来良好的预后。因此,临床医师应加深认识,正确诊断,积极手术,避免不必要的放化疗。
版权归中华医学会所有。
未经授权,不得转载、摘编本刊文章,不得使用本刊的版式设计。
除非特别声明,本刊刊出的所有文章不代表中华医学会和本刊编委会的观点。
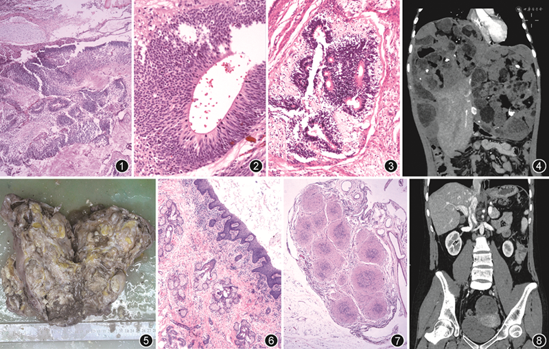
患者女,18岁。因卵巢未成熟畸胎瘤术后8年余,纳差伴腹胀5个月入院。2010年7月因右侧卵巢未成熟畸胎瘤于外院行肿瘤细胞减灭术(右附件+大网膜+盆腹腔转移瘤切除术,盆腔右侧淋巴结清扫术),术后病理诊断:(右侧卵巢)高级别实性未成熟畸胎瘤(图1,2)。术后BPV方案(博来霉素+顺铂+长春新碱)化疗3次,同年11月复查腹部核磁提示腹盆腔内多发转移灶,更改化疗方案为EP方案(依托泊苷+顺铂),并于同年12月行第二次肿瘤细胞减灭术,术中切除腹、盆腔及肝表面转移瘤,术后病理诊断:实性未成熟畸胎瘤(1级;图3)。此后几年于当地医院辅助化疗数次。2015年9月复查时再次发现腹腔囊实性肿块,考虑肿瘤复发,进行数次化疗,未行手术切除。此后数年,肿块逐渐增大。2019年3月患者出现明显的腹胀、纳差及喘憋症状,为寻求手术治疗而入中日友好医院。入院查体:上腹部触及一巨大肿物,直径约25 cm,表面凹凸不平,境界不甚清,质韧,无压痛。胸、全腹、盆腔CT显示:腹腔多发混杂密度肿块,最大者大小约19.6 cm×15.9 cm×13.5 cm,符合未成熟畸胎瘤改变;左侧附件肿物;右膈面抬高,心脏及腹腔脏器受压明显(图4)。血清肿瘤标志物:甲胎蛋白正常,癌胚抗原、CA19-9、CA125均轻微升高。经过手术,切除腹腔内3个巨大肿物及膈肌、结肠系膜结节数枚送病理;左侧附件肿物考虑为囊肿,未进一步处理。


病理检查:灰褐灰白色不规则及类圆形肿物一堆,最大者大小20 cm×15 cm×9 cm,切面多为囊实性,其内可见胶冻样物、油脂、毛发及牙齿(图5)。镜下观察:可见各胚层分化的组织,包括成熟的呼吸上皮、消化道上皮、皮肤及附属器结构、成熟软骨(图6,7),肠系膜脂肪组织中见大量成熟神经胶质,未见未成熟原始神经管结构。
病理诊断:(膈肌肿物、肠系膜结节、腹腔肿物)结合病史,考虑生长性畸胎瘤综合征,伴腹膜胶质瘤病。
随访:患者术后18个月复查CT,腹腔内未见明确肿物(图8)。现患者术后30个月,未见肿瘤复发。
讨论:生长性畸胎瘤综合征(growing teratoma syndrome,GTS)最初由Logothetis等[1]于1982年提出,用以描述睾丸恶性生殖细胞肿瘤在化疗中或化疗后,转变为成熟性畸胎瘤,并持续存在或继续增长的现象。发生于卵巢的GTS极为罕见,检索英文文献,目前报道不到50例;国内报道仅数例,几乎均为卵巢未成熟畸胎瘤术后及化疗后发生[2, 3, 4, 5]。
卵巢未成熟畸胎瘤患者经过手术切除及化疗后出现新的肿物生长,距离初次手术的间隔时间<1年时,多为未成熟畸胎瘤复发;而≥1年且血清肿瘤标志物(甲胎蛋白、β-HCG)正常者,则卵巢GTS的可能性更大[2]。卵巢GTS的诊断标准近年来已达成共识[3],包括:(1)化疗期间或化疗后,临床或者影像检查表明病灶继续增大;(2)之前升高的血清肿瘤标志物恢复至大致正常范围;(3)组织学上病灶完全由成熟畸胎瘤成分构成,无恶性细胞。卵巢GTS的诊断需要结合全部病程,化疗后复发肿瘤均为成熟性畸胎瘤成分是诊断的关键。本例患者10年前诊断为高级别实性未成熟畸胎瘤,化疗后数月即出现初次复发,病灶级别降低;5年后再次出现肿物生长时,血清肿瘤标志物水平正常,病灶持续增大,组织学上完全为成熟畸胎瘤成分,符合卵巢GTS的诊断标准。
虽然卵巢GTS的组织学形态为良性,而且几乎都局限于盆腹腔和腹膜后,极少出现于远隔部位[6],亦不会出现浸润性生长,但因其持续存在或增大,可导致临近脏器受压而出现症状,甚至发生继发性体细胞恶性肿瘤,如类癌[2,6, 7]等,并且对放化疗不敏感,因此尽早手术并完整彻底切除是卵巢GTS预后的关键。切除不彻底的GTS复发率为72%~83%,而完全切除者复发率大幅降低至0~12.7%[8]。如果能成功切除肿瘤,患者长期预后良好[9, 10]。文献报道卵巢GTS最长生存者达23年以上[2,9]。少数患者的肿瘤已增长至巨块型肿物,并位于肝膈间、肝脾间、膈脾曲等切除困难的部位,但不应轻易放弃手术,必要时需多学科协同手术[2]。如本例患者,再次出现肿物生长时,考虑肿瘤复发,多次化疗无效,辗转多家医院均因肿物巨大、难以切除而无法进行手术,以致耽误病情,压迫症状严重;在我院经肝胆外科、妇科及胸外科的共同努力下,成功手术切除肿物,获得良好预后。
对于年轻未育的卵巢GTS患者来说,如何在完整彻底切除病灶的前提下保留生育功能是亟待解决的问题。现已有多个报道显示,GTS患者在进行了保留生育功能的病灶切除术后可成功妊娠[9, 10, 11],并长期无病生存。手术切除后,卵巢GTS仍有可能在多年以后再次复发[9],因此患者仍需要规律随访。随访方法包括CT检查及血清肿瘤标志物检测。
本例患者同时合并了腹膜胶质瘤病(gliomatosis peritonei,GP)。GP也是一种罕见的疾病,其特征为完全成熟的神经胶质组织种植到腹膜表面形成结节或于腹部淋巴结内形成非侵袭性转移灶[12]。该疾病几乎只与卵巢畸胎瘤同时存在,可见于各种级别的畸胎瘤,尤其是未成熟畸胎瘤与成熟实性畸胎瘤,可与肿瘤同时发生或治疗后才出现,是未成熟畸胎瘤最常见的腹膜内扩散形式[12]。一些GP病例也与化疗后的GTS有关[9,13, 14],可认为是GTS的一部分[15]。
有研究发现,伴有GP的未成熟畸胎瘤肿瘤更大、级别更高、术前血清CA125水平更高、更容易复发,而且复发均出现在初次手术后2年内[14]。初次手术中即发现GP的卵巢未成熟畸胎瘤患者更容易发生GTS[10]。因此,GP是卵巢未成熟畸胎瘤的一个不良预后因素;但也有研究发现其对整体预后并无明显影响[14],GP患者的预后主要还是取决于原发畸胎瘤的组织学分级。GP的转归大致分为3种情况:大部分GP可无症状持续存在,且无形态改变;部分GP可转化为纤维母细胞,逐渐消失;个别GP可发生恶性转化为多形性胶质母细胞瘤,并致死,而类似病例国内尚未见报道。与具有多种成熟畸胎瘤成分的GTS不同,虽然GP神经胶质种植可广泛分布于脏壁层腹膜、大网膜或盆腔,但大多数病例可以完全无症状,并且在很长一段时间内保持稳定,因此术中对GP结节进行广泛取材、经病理检查为成熟的神经胶质成分后,可采取相对保守的手术方式[15],术后依据原发肿瘤的性质、分期、分级决定后续治疗方案,并进行长期密切随访。
总之,本例是畸胎瘤两种特殊而罕见的合并症同时发生的病例,比较罕见。其病程完整、病史详细,我们从中可知,当卵巢恶性生殖细胞肿瘤经手术及化疗后,出现肿瘤的再次生长,务必要考虑GTS的可能,否则很有可能像本例一样,误诊为肿瘤复发,而导致不必要的化疗,延误病情。距离初次手术的间隔时间≥1年、血清肿瘤标志物(甲胎蛋白、β-HCG)正常,是提示卵巢GTS的重要指标。手术完整切除病灶是目前获得良好预后的唯一方法。而对于病理医师来说,GTS和GP组织学形态均呈良性,但却具有类似恶性肿瘤持续生长或广泛种植的生物学行为,二者的正确诊断,都是建立在广泛取材、仔细观察的基础之上。由于二者术后仍具有复发或恶变的可能性,长期规律随访非常必要。临床医师和病理医师都需加深对此两种疾病的认识。
所有作者声明无利益冲突





















