
胃肠道惰性T细胞淋巴组织增殖性疾病(indolent T-cell lymphoproliferative disorder in the gastrointestinal tract,ITLPD-GIT)是一种克隆性T淋巴细胞增殖性疾病,以淋巴样细胞浸润胃肠道黏膜固有层为主要特点。迄今为止,对该病的临床病理学特征的认识较为有限。本文报道1例随访10年、单克隆淋巴样细胞浸润肠壁全层的ITLPD-GIT。患者女,58岁。持续性腹泻腹痛10年,在发病第2年行部分小肠切除,小到中等大小的淋巴样细胞局限于黏膜固有层;发病第3年及第10年分别再次行部分小肠切除,镜下见病变进展,表现为淋巴样细胞弥漫浸润肠壁全层。免疫组织化学结果显示肿瘤细胞呈CD2、CD3、CD5、CD7、CD8、T细胞胞质抗原1阳性,而CD20、CD4、CD56、颗粒酶B和EB病毒编码的RNA均阴性。Ki-67阳性指数约5%。分子检测显示T细胞受体基因呈克隆性重排。随访10年,患者长期带病生存。ITLPD-GIT是一种罕见的淋巴组织增殖性疾病,容易被漏诊或误诊;本病例进一步拓展了该病的病理形态学谱系,有助于病理医师认识及正确诊断该疾病。
版权归中华医学会所有。
未经授权,不得转载、摘编本刊文章,不得使用本刊的版式设计。
除非特别声明,本刊刊出的所有文章不代表中华医学会和本刊编委会的观点。
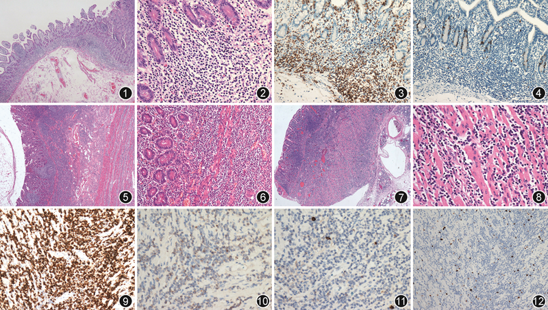
患者女,58岁。2010年8月开始出现持续性腹泻,胃肠镜检查未见明显异常,临床考虑为慢性肠道炎症,给予对症治疗后症状有所缓解。2012年12月,患者腹泻加重,并开始出现腹胀、呕吐,遂在外院行剖腹探查并行部分小肠切除术。术后外院病理显示:小肠黏膜固有层内显示非破坏性的、小到中等大小的淋巴样细胞局限于黏膜固有层,其间混杂有少量嗜酸性粒细胞和浆细胞,腺上皮无明显累犯(图1,2),免疫组织化学结果显示淋巴样细胞CD2、CD3、CD5、CD7、CD8(图3)和T细胞胞质抗原1(TIA-1)阳性表达,CD20、CD56、CD4和颗粒酶B均阴性。EB病毒编码的RNA(EBER)原位杂交检测结果为阴性。Ki-67阳性指数为5%(图4)。病理诊断:小肠慢性炎。手术后症状持续,2013年腹部CT检查发现肠壁增厚,2013年10月,再次行部分小肠切除。术后病理示:小到中等大小的淋巴样细胞浸润整个小肠壁(图5,6),本次未行免疫组织化学及原位杂交检测。2020年11月腹泻再次加重,伴呕吐,遂再次在外院进行第3次部分小肠切除。术后标本镜下表现为:小到中等大小的淋巴样细胞浸润整个小肠壁,细胞形态较为温和,轻度异型性(图7,8)。淋巴样细胞CD2、CD3、CD5、CD7、CD8(图9)、TIA-1(图10)阳性表达,CD4、CD20、CD56、颗粒酶B(图11)均为阴性,EBER原位杂交检测阴性。Ki-67阳性指数为5%(图12)。分子检测显示T细胞受体(TCR)B基因克隆性重排。


最终病理诊断:会诊上述3次术后病理标本切片,最后诊断为胃肠道惰性T细胞淋巴组织增殖性疾病。
随访:随访10年,患者未接受任何化疗,长期带病生存。
讨论:胃肠道惰性T细胞淋巴组织增殖性疾病(indolent T-cell lymphoproliferative disorder in the gastrointestinal tract,ITLPD-GIT)是2016年WHO淋巴造血系统肿瘤分类暂时认可的一种淋巴细胞肿瘤,表现为惰性的临床生物学行为[1]。男性较女性更为多见,且多发生于成人[2]。组织学上,黏膜固有层内可见密集的非破坏性小至中等大淋巴样细胞弥漫浸润,少数情况下亦可见黏膜下小灶淋巴细胞浸润[3, 4, 5, 6, 7, 8]。然而,肠壁全层浸润的ITLPD-GIT罕见报道。本例为具有10年随访病史、伴有肠壁全层浸润的ITLPD-GIT,随访期间患者未接受任何化疗,疾病无明显进展。组织形态上,小到中等大小的淋巴样细胞弥漫性浸润整个小肠肠壁。免疫组织化学方面,淋巴样细胞阳性表达CD2、CD3、CD5、CD7、CD8、TIA-1,而CD4、CD56、颗粒酶B、EBER阴性。Ki-67阳性指数低(约5%)。分子检测显示TCRB基因克隆性重排。因而,综合临床及病理特征,本例最终诊断为ITLPD-GIT。正确认识本例形态特殊的ITLPD-GIT对防止过度诊断或误诊具有重要意义。
鉴别诊断:(1)单形性嗜上皮性肠道T细胞淋巴瘤(MEITL)与肠壁相关T细胞淋巴瘤(EATL):首先,本例惰性的临床表现及病程演变是与MEITL或EATL鉴别最重要的因素之一。其次,在形态学上,MEITL和EATL均为不典型、中等大小的淋巴细胞于黏膜固有层及肠壁破坏性浸润性生长,肿瘤性T细胞具有高Ki-67阳性指数(常>10%)[2,9],而本例黏膜层内肿瘤性T细胞呈非破坏性生长。此外,免疫表型上,本例淋巴样细胞CD2、CD3、CD5、CD7、CD8、TIA-1均呈阳性表达,但CD56、颗粒酶B阴性,Ki-67阳性指数低(5%)。上述特征均可与MEITL和EATL鉴别。值得注意的是,尽管本例目前尚不足以诊断为MEITL,但据文献报道,部分惰性T细胞淋巴组织增殖性疾病后期可向MEITL转化。(2)非特殊型外周T细胞淋巴瘤:尽管非特殊型外周T细胞淋巴瘤有时也可表现为肠道病变,然而本例惰性的临床表现、形态较为温和的淋巴样细胞以及Ki-67阳性指数低(5%)等均可与非特殊型外周T细胞淋巴瘤进行鉴别。(3)NK细胞肠病:尽管惰性T细胞淋巴组织增殖性疾病与NK细胞肠病均表现为惰性的生物学行为,免疫组织化学方面均可表达细胞毒标志物,然而,NK细胞肠病还常常阳性表达CD56,且分子检测缺乏TCR重排等可资鉴别。(4)结外NK/T细胞淋巴瘤:本例镜下表现为小至中等大的淋巴样细胞弥漫浸润性生长,但无坏死,缺乏血管中心性或破坏血管现象,CD56和EBER原位杂交检测均阴性,因而不支持结外NK/T细胞淋巴瘤。(5)炎症性肠病:ITLPD-GIT与炎症性肠病在形态学上有相似之处,尤其在活检标本当中,当隐窝扭曲并伴有肉芽肿改变时可能会导致误诊为炎症性肠病。然而综合本例的组织病理学和免疫表型,以及TCR克隆性重排的存在,对两者可进行区分。
ITLPD-GIT的发病机制目前尚不明确,尽管炎性疾病(如乳糜泻和克罗恩病)相关的免疫反应被推测可能与ITLPD-GIT的发展有关,但尚未得到证实[7]。本病的淋巴样T细胞可表现为CD4或CD8阳性,多数病例为CD8阳性,少部分为CD4阳性[10]。有文献报道CD4阳性的ITLPD-GIT预后相对更差,更容易转化为侵袭性淋巴瘤[11, 12]。而据Soderquist等[13]研究发现ITLPD-GIT与JAK-STAT通路密切相关,STAT3 D661Y和S614R突变为该通路的热点突变基因,其对SH2二聚体表面具有较强的疏水性,能够促进STAT3核的定位与激活[11]。该发现为ITLPD-GIT的致病基础提供了新的认识,并有望成为潜在的治疗靶点[14]。总体而言,由于目前对ITLPD-GIT的细胞遗传学和分子机制的研究还较为有限,仍有待于更多的研究。
目前尚未建立ITLPD-GIT的标准治疗方案。化疗对该类患者的疗效总体不太显著[15]。有报道显示,接受抗CD52抗体或抗CCR4抗体治疗的患者表现出一定程度的临床缓解[16]。此外,放疗也可能是一种相对有效的治疗措施。据报道1例发生于胃的惰性T细胞淋巴组织增殖性疾病的患者已成功地接受了放射治疗[17]。
综上所述,ITLPD-GIT是一种罕见的淋巴组织增殖性疾病,容易被漏诊或误诊。我们报道了1例浸润肠壁全层、随访10年的ITLPD-GIT病例。本病例进一步拓展了该病的病理形态学谱系,有助于病理医师认识及正确诊断该疾病。
所有作者声明无利益冲突





















