
肿瘤间转移是人体内的肿瘤类型由一种原发肿瘤转移到另一种原发肿瘤,确诊有赖于病理形态学和免疫组织化学标记。最常见的供体肿瘤包括乳腺癌、肺癌,也有报道显示淋巴瘤、多发性骨髓瘤、前列腺癌、肾癌、胆囊癌、黑色素瘤和腮腺肿瘤是潜在的供体肿瘤,最常见的容纳瘤(受体肿瘤)是肾透明细胞癌,其次是脑膜瘤、甲状腺肿瘤、垂体肿瘤及间叶性肿瘤(如平滑肌瘤、脂肪瘤、神经鞘瘤等)。肺腺癌转移至胸膜孤立性纤维性肿瘤是近年来国内外学者报道的肿瘤转移至肿瘤的罕见的肿瘤类型。本文报道1例肺腺癌肿瘤间转移至胸膜孤立性纤维性肿瘤,具有特殊的组织病理学形态,治疗方式为培美曲塞加卡铂化疗一个周期后,患者再未进行其他治疗,带瘤生存。
版权归中华医学会所有。
未经授权,不得转载、摘编本刊文章,不得使用本刊的版式设计。
除非特别声明,本刊刊出的所有文章不代表中华医学会和本刊编委会的观点。
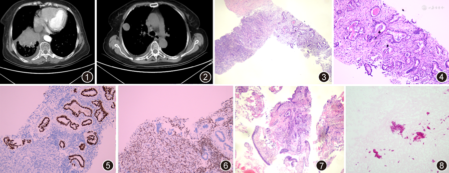
患者女,64岁。2021年11月以“肺部占位性病变”就诊于兰州大学第二医院,行胸部增强CT示:双肺透亮度欠均匀,支气管血管束紊乱,右肺下叶近肺门处可见直径约7 cm形态不规则的软组织占位性病变,呈浅分叶状,相邻胸膜牵拉,病灶呈中度强化,其内可见细小血管穿行,右肺下叶支气管狭窄闭塞,双肺多发结节样密度增高影,右肺上叶胸膜下可见一直径约3.1 cm类圆形结节影,边界光整,与相邻胸膜紧密相连,呈持续渐进性强化(图1,2)。肿瘤标志物检测:神经元特异性烯醇化酶(NSE):18.40 μg/L,细胞角蛋白(CK)19片段CY211:6.25 μg/L。胸腹部增强CT扫描示:肝脏、胆囊、胰腺、双肾、双侧肾上腺、膀胱、子宫等形态大小及密度未见异常,腹膜后淋巴结未见肿大。行支气管活检及肺穿刺术。


病理检查:送检组织有3类。(1)右肺上叶灰白色穿刺组织2条,长0.5、1.0 cm,直径均为0.05 cm。(2)支气管镜取材:灰白色组织数粒,直径约0.5 cm。(3)另送纤维支气管镜刷片组织。镜下观察:(1)右肺上叶胸膜下穿刺组织中可以见到2种成分:背景为梭形细胞肿瘤,瘤细胞排列成束条状、席纹状或无结构生长模式,部分区域细胞密集,部分区域细胞稀疏,可见胶原沉积,核分裂象罕见;在梭形肿瘤区域内可见多灶异形腺体浸润,细胞核增大、深染(图3,4)。免疫组织化学染色显示梭形瘤细胞阳性表达STAT6(图5)、CD34,Ki-67阳性指数2%;异形腺上皮阳性表达细胞角蛋白(CK)7、甲状腺转录因子1(TTF1,图6)、Napsin A、上皮细胞膜抗原(EMA),Ki-67阳性指数30%。分子检测:表皮生长因子受体(EGFR)基因第18、20、21号外显子野生型,第19号外显子缺失突变;间变性淋巴瘤激酶(ALK)融合基因检测:未见融合。(2)支气管取材镜检:(右下基底支)送检组织中可见异型腺体,呈不典型腺管样、核大、深染(图7),免疫组织化学染色见腺体细胞阳性表达CK7、广谱细胞角蛋白(CKpan)、TTF1、Napsin A,Ki-67阳性指数30%。(3)纤维支气管镜刷片:查见异型细胞团,核中度异形,排列紊乱(图8)。
病理诊断:(1)肺腺癌;(2)肺腺癌肿瘤间转移至胸膜孤立性纤维性肿瘤;(3)纤维支气管镜刷片内查见癌细胞。
随访:因肺内多发转移灶,多学科医师评估后考虑为晚期肺癌,患者不能手术,建议采用培美曲塞加卡铂进行化疗。患者此次入院化疗结束后,未再进行治疗,随访6个月,患者带瘤生存。
讨论:肿瘤转移至肿瘤是一种罕见但共知的现象,供体肿瘤为各种恶性肿瘤,受体肿瘤可以是良性或者恶性,良性脑膜瘤较多见,恶性肾细胞癌多见。肺腺癌肿瘤间转移至胸膜孤立性纤维性肿瘤是肿瘤转移至肿瘤的罕见肿瘤类型,容易误诊[1, 2]。本例影像学将孤立性纤维性肿瘤误诊为单纯的转移灶。目前,越来越多的病理医师开始重视对肿瘤间转移的准确诊断。肿瘤对肿瘤转移的4个诊断标准:(1)肿瘤必须在同一个患者体内;(2)受体肿瘤必须是真正的肿瘤;(3)转移性肿瘤必须是真正的转移;(4)受体肿瘤不可以是白血病和淋巴系统肿瘤[3]。
不同组织病理学类型肿瘤发生在同一患者中并不少见,但肿瘤间转移主要发生在乳腺癌和肺癌,多为个案报道。Fried[4]1930年首次报道1例53岁女性患者子宫平滑肌瘤转移至脑膜瘤;Rabson等[5]1954年报道前列腺癌转移至肾透明细胞癌;Smith等[2]报道右肺类癌转移至脑膜瘤;Elmaci等[6]和Caroli等[7]报道4例女性患者乳腺癌转移至脑膜瘤;Widdel等[8]报道1例多发性骨髓瘤转移至间变性脑膜瘤和边缘区淋巴瘤肿瘤间转移至间变性脑膜瘤;Velez-Cubian等[9]报道1例乳腺癌肿瘤间转移至孤立性纤维性肿瘤;Das等[3]报道1例乳头状甲状腺癌肿瘤间转移至间变性脑膜瘤;Tosic等[10]报道1例肺腺癌肿瘤间转移至脊髓硬膜内孤立性纤维性肿瘤,于乐广等[11]报道1例前列腺肿瘤转移至孤立性纤维性肿瘤。
孤立性纤维性肿瘤是一种起源于间充质梭形细胞的间叶性肿瘤,通常累及脏层或壁层胸膜,也称为血管外皮瘤[12]。大部分孤立性纤维性肿瘤呈良性经过,极少数可复发,恶性具有明显的侵袭行为,局部复发率或远处转移率高。良性孤立性纤维性肿瘤大体界限清楚,切面灰白,质稍硬,可有黏液样变性,部分病例可见纤维性假包膜。镜下通常由细胞丰富区和稀疏区交替分布,丰富区细胞呈梭形或卵圆形,形态温和,核分裂象少见。瘤细胞排列方式有席纹状、束状、鱼骨样等。细胞间可见到粗细不等的玻璃样变的胶原纤维,类似瘢痕疙瘩样;稀疏区细胞分布于水肿样背景中,细胞呈梭形、星形,血管壁胶原变性显著,细胞异型性均不明显,核分裂象少见。孤立性纤维性肿瘤确诊需要结合病理和免疫组织化学检查,主要标志物有STAT6、CD34、CD99、bcl-2,其中STAT6阳性是最灵敏和特异的免疫组织化学标志物。本例可见孤立性纤维性肿瘤的典型组织学形态,右肺下叶肿瘤细胞呈梭形,瘤组织排列呈束状、席纹状,细胞轻度异型性,核分裂象罕见。本例STAT6、CD34阳性表达,Ki-67阳性细胞数2%,与组织学表现一致,属于良性/交界性。CK7、Napsin A、TTF1阳性结合支气管镜活检和影像学特征病理诊断为肺腺癌。肺腺癌肿瘤间转移至孤立性纤维性肿瘤我国学者张继新等[13]在2014年和德国学者Tosic等[10]在2018年均以个案形式进行了报道。孤立性纤维性肿瘤作为胸膜内“受体”肿瘤仍然知之甚少,这可能是各种因素的综合所致。
肺腺癌转移至胸膜孤立性纤维性肿瘤需与双相分化肿瘤进行鉴别。(1)双相型滑膜肉瘤:组织学双相滑膜肉瘤由比例不等的上皮样细胞和梭形细胞构成,上皮样细胞和梭形细胞可移行,细胞核大,呈圆形或卵圆形,染色质细致或呈空泡状,胞质丰富,胞界清晰,上皮细胞常形成腺样结构,呈束状、梁状或巢状排列。免疫组织化学上皮细胞表达CKpan、CAM5.2、EMA、CK7、CK19和波形蛋白,梭形细胞表达bcl-2、CD99、TLE1等[14],90%的病例产生SS18(SYT)-SSX融合基因。(2)肺母细胞瘤:是一种由低级别胎儿型腺癌和原始间叶成分组成的双相分化肿瘤。主要发生在50岁左右的成人,常见于外周肺。肺母细胞瘤呈双相分化,在富于细胞的原始间叶组织背景上可见高分化胎儿型腺癌,40%病例可见桑葚样小体,25%的病例可见到骨肉瘤、软骨肉瘤及横纹肌肉瘤等异源性成分。肺母细胞瘤通常在CTTNB1的第3号外显子存在错义突变。免疫组织化学表达CKpan、EMA、TTF1,在间质区域表达波形蛋白,β-catenin核呈阳性表达。(3)肉瘤样癌:是由部分或完全梭形上皮细胞组成的原发性胸腺癌。影像学检查提示肿瘤较大,呈分叶状,边界不清,伴区域淋巴结或肺转移。大体检查:肿瘤较大,具有浸润边界,切面呈肉质,白色或灰色,通常有出血、坏死和囊性变的区域。镜下观察:肿瘤主要由具有高度不典型特征的恶性梭形细胞组成,排列成束状或席纹状,核分裂活跃。
本例肺腺癌肿瘤间转移至胸膜孤立性纤维性肿瘤影像学诊断为肺腺癌单纯的转移灶,因此在影像学进行鉴别较为困难。通过组织学形态和免疫组织化学STAT6、CD34表达阳性可鉴别。孤立性纤维性肿瘤还可根据临床表现、影像学检查、组织学及免疫组织化学标记与双相型滑膜肉瘤、肺母细胞瘤及癌肉瘤等进行鉴别。
肺腺癌转移至胸膜孤立性纤维性肿瘤主要的治疗方式以化疗为主。本例患者影像学检查示肺内及胸膜多发转移,经多学科医师会诊后,该患者失去手术机会,采用培美曲塞加卡铂化疗一个疗程,未再进行治疗,随访6个月,患者带瘤生存。
程明霞, 冉海琼, 蒋敏, 等. 肺腺癌肿瘤间转移至胸膜孤立性纤维性肿瘤1例[J]. 中华病理学杂志, 2023, 52(4): 411-413. DOI: 10.3760/cma.j.cn112151-20220717-00616.
所有作者声明无利益冲突





















