
版权归中华医学会所有。
未经授权,不得转载、摘编本刊文章,不得使用本刊的版式设计。
除非特别声明,本刊刊出的所有文章不代表中华医学会和本刊编委会的观点。
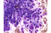
例1 患者女,65岁,因咳嗽咳痰、间断咯血11 d,于2012年12月26日就诊于我院。入院前,胸部CT检查示右上肺阴影,肿瘤性病变可能性大,左下肺感染性病变。PET-CT检查示,右上肺尖端软组织肿块影,伴代谢活性增高,考虑周围性肺癌。入院后,电子支气管镜检查示,双侧支气管黏膜炎症样改变。2013年1月14日行胸腔镜下右上肺叶切除术,术后病理结果示,右上肺腺癌中分化型。术后共行4个周期化疗,为培美曲赛联合奈达铂,末次化疗时间为2013年4月18日。2013年5月16日,开始行肺部病灶术后放疗,每次2 Gy,每周5次,共给予50 Gy。2014年7月,患者出现右手中度肿胀,局部皮肤发红,皮温升高,第二掌骨压痛,屈伸活动受限等症状。放射性核素骨扫描(ECT)检查提示,右手背骨质代谢活跃,性质待查,建议定期复查。2014年7月2日,行右手X线检查示,左手第二掌骨远端呈溶骨性破坏,余未见明显异常。2014年7月3日,右腕关节CT平扫结果示,右手第二掌骨见软组织肿块,骨质破坏,考虑转移(图1);余腕关节诸骨未见明显异常,关节间隙未见异常。手部病灶行穿刺活检,病理结果提示,右手掌骨转移性腺癌(图2)。2014年7月17日,开始对手部骨转移部位行放疗,每次5 Gy,每周5次,共给予50 Gy,同时使用破骨细胞抑制剂治疗。此患者后续在我院继续行放化疗等综合治疗,病情稳定,其总生存时间超过42个月,目前仍在随访中。




例2 患者男,53岁,于2013年3月7日因咳嗽咳痰伴发热半月就诊我院。入院后,行胸部CT检查提示,右上肺肿瘤性病变伴右上肺不张。纤维支气管镜取活检,病检结果示,右上肺鳞状细胞癌高分化型。考虑患者肺部肿块包裹大血管,暂不宜行手术,建议先行化疗,寻找手术机会。遂于2013年3月16日开始行吉西他滨联合奈达铂方案化疗3个周期。2013年6月21日开始行肺部病灶放疗,每次2 Gy,每周5次,共给予60 Gy,同时给予紫杉醇联合奈达铂每周同步化疗4个周期。期间出现放射性食管炎及Ⅲ度骨髓抑制,给予抗炎、激素、保护咽部黏膜、升白细胞和血小板等对症支持治疗。复查下颈部及胸部CT提示,肺部病灶较前缩小,余未见明显异常。后行紫杉醇联合奈达铂化疗2个周期,末次化疗时间为2013年11月27日。2013年12月16日,患者出现面部轻微水肿,胸部CT提示疾病进展,并右侧胸腔积液、肺部感染,遂行腹腔穿刺引流,同时口服替吉奥抗肿瘤治疗。2014年3月,患者感右手拇指肿胀疼痛,手部磁共振检查示,右侧拇指软组织肿胀,骨异常信号,考虑转移性病变(图3)。手部病灶行穿刺细胞学检查示转移性癌细胞(图4)。于2014年3月14日行右手拇指转移灶放疗,每次2 Gy,每周5次,共给予60 Gy,右手掌骨疼痛缓解后出院。虽经右手指骨放射治疗,局部疼痛消失,但因患者为肺癌晚期,且合并严重肺部感染,于6月27日死亡。




恶性肿瘤转移好发于骨组织,而累及手部者非常少见,仅占所有骨转移的0.1%~0.3%[1]。原发性肺癌骨转移发生率较高,骨转移灶以躯干骨和四肢骨的近心端常见,而四肢骨的远心端(肘、膝以远者)少见,尤其是转移至手骨者更为罕见。手部骨转移以指骨尤其是末节指骨为多,指骨约为66%,掌骨约为17%,腕骨约为17%[2]。肺癌骨转移常为多发,少数为单发。我院2例原发性肺癌并手骨转移患者中,1例为右肺中分化腺癌并单发性掌骨转移,另外1例为右上肺高分化鳞状细胞癌并右手拇指转移。
肺癌骨转移发生率较高,约为30%~40%,且预后较差,患者的中位生存时间为6~10个月[3],经治疗后1年生存率仅为40%~50%。原发性肺癌指骨转移的症状和体征主要为手指红、肿、热、痛,X线表现为溶骨性病灶。有研究显示,仅50%的肺癌骨转移患者早期出现临床症状,46%的肺癌骨转移患者并发骨相关事件(skeletal related events, SREs),如骨痛、病理性骨折、脊髓压迫、高钙血症及相关治疗带来的痛苦等[4]。然而,肺癌骨转移患者一旦发生SREs,其生存时间将明显缩短,甚至可缩短一半。因此,当出现骨痛或骨折、脊髓或神经受压症状、碱性磷酸酶升高、高钙血症时均应高度怀疑肺癌骨转移。对怀疑有骨转移的肺癌患者应尽早完成ECT检查,ECT检查阳性的部位行X线平片和(或)CT、MRI检查;同时,当肺癌诊断已明确,仅出现孤立的骨破坏灶,应积极行穿刺活检以明确诊断[5]。
目前,肺癌并手骨转移的治疗尚无金标准,但肺癌骨转移已达成专家共识,即应以肺癌的系统治疗(化疗及分子靶向治疗)为主,辅以合理的局部治疗等。同时,我们寄希望针对肺癌骨转移病理机制的靶向治疗新药的研发与应用,以期提高患者生活质量、延长生命、缓解症状及预防或处理病理性骨折、骨痛等SREs。
无





















