
版权归中华医学会所有。
未经授权,不得转载、摘编本刊文章,不得使用本刊的版式设计。
除非特别声明,本刊刊出的所有文章不代表中华医学会和本刊编委会的观点。
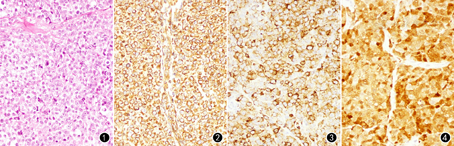
患者男,61岁,因右足部间断性胀痛2年,加重1周入院。入院查体:右足明显肿胀,外踝处肤色红,局部皮温增高,压痛阳性,足底压痛和叩击痛阳性,右踝关节活动良好。足部X线和CT显示,右侧跟骨膨大,局部骨皮质变薄。MRI显示,右侧跟骨膨大,骨质破坏,骨质及外方软组织内异常信号。T1呈等、稍低、稍高信号,T2压脂呈低、高信号影,可见局部骨皮质变薄,未见骨膜反应,病变与邻近肌肉分界清晰。全身骨显像显示,右足部骨质破坏,余全身骨显像未见明显异常。行超声引导下穿刺活检,病理回报为:考虑透明细胞肉瘤(clear cell sarcoma, CCS)。由于肿瘤部位特殊,单纯扩大切除手术无法保证切缘阴性,考虑行截肢手术治疗,截肢平面选择在膝下胫骨近端水平。与患者和家属有效沟通并取得同意后,行右下肢膝下胫骨近端截肢术。术后病理结果回报为CCS。肿瘤大体标本呈淡褐色,肿瘤外无包膜,结节状,大小为1.5 cm×1.0 cm×0.5 cm,切面淡褐色,质地韧。肿瘤细胞为中等大小,巢状生长,细胞形态较为一致,为多角形,巢间可见纤维分割,细胞质略透明,呈嗜酸性。细胞核大而均匀,核仁明显,呈嗜碱性(图1)。免疫组化结果显示,Ki-67(80%+),Vimentin(+,图2),HMB45(+,图3),S-100(+,图4),Actin(-),Desmin(-),CD138(-),CK-pan(-),LCA(-)。患者术后恢复良好,术后随访3个月,无肿瘤局部复发及转移。


CCS是好发于四肢末端肌腱和腱膜的恶性肿瘤,约占全身软组织肉瘤的1%[1],为源于神经嵴细胞的肿瘤。多发于20至40岁的患者中,男女发病率无明显区别。CCS最常见的发病部位为足和脚踝的肌腱或筋膜,少发于骨、胃肠道和其他脏器,虽然可能累及皮下组织或真皮层,但很少累及皮肤全层导致皮肤溃疡。CCS无特异临床表现,约有30%~60%的CCS在肿瘤较大时可产生持续性疼痛和局部压痛[2]。就本例CCS而言,MRI表现无特异性,本例肿瘤信号总体表现为良性肿瘤形态,与周围界限清,无特殊鉴别价值。CCS肿瘤细胞为多边形或梭型细胞,被粗细不一的胶原纤维分隔成小叶,呈巢状分布。细胞基质较为透明,难以观察。肿瘤细胞的细胞质呈嗜酸性,细胞核位于细胞中央,为嗜碱性,少见核分裂象。肿瘤细胞形态较为一致,很少呈现出多形性特征。CCS的免疫组化染色常表现为S100、HMB45、黑色素A、MITF、Vinmentin均为强阳性,酪氨酸酶、NSE以及KIT多为阳性,但CK、EMA、Actin和Desmin常呈阴性。荧光原位杂交显示,约90%的CCS存在特有的t[12;22][q13;q12]易位,这种易位导致12q13中的激活转录因子1(activating transcription factor 1, ATF1)和22q12中Ewing肉瘤断裂区1(ewing sarcoma break point region 1, EWSR1)两基因融合,形成EWSR1-ATF1融合基因,产生EWSR1-ATF1融合蛋白。EWSR1-ATF1融合基因与EWSR1-ATF1融合蛋白使小眼畸形相关转录因子(microphthalmia-associated transcription factor, MITF)活化,导致黑色素合成[1],因此,CCS与恶性黑色素细胞瘤存在组织学相似性。影响CCS预后的危险因素主要为肿瘤大小,肿瘤≥5 cm者易发生坏死、局部复发和远处转移。CCS患者的5年生存率约为45%~70%,10年生存率<40%[1]。虽然肉瘤常呈血行转移,但CCS最常见的转移部位依次为淋巴结、肺、皮肤、骨、肝、心脏[2]。
CCS临床表现无特异性且病史较长,与软组织良性肿瘤相似。CCS的肿瘤细胞形态学和免疫组化结果与多种软组织肿瘤也存在共同点,特别是恶性黑色素瘤,因此,CCS诊断的关键过程是同其他软组织肿瘤相鉴别,以选择正确的治疗方案。其中,CCS与恶性黑色素瘤形态学存在相似性,二者的免疫表型和电镜下的图像相似,免疫组化标记S-100、HMB-45及波形蛋白均阳性,电镜下均可见黑色素小体和前黑色素小体。恶性黑色素瘤位置多表浅,常侵犯表皮,肿瘤细胞呈现多形性,多为具有花环样细胞核的多核巨细胞。CCS位置较深,多位于四肢末端软组织深部,靠近肌腱和腱膜,虽然可能累及皮下组织或真皮层,但一般不累及表皮,并且CCS存在特征性t(12;22)(q13;q12)易位。其他相关的鉴别诊断包括滑膜肉瘤、恶性外周上皮样神经鞘瘤、透明细胞肌黑色素细胞瘤等。
目前CCS的主要治疗方案包括手术切除、放疗和化疗等手段。手术治疗是CCS局部治疗的首选,由于CCS局部复发率高,手术切除时应尽量保证切缘无肿瘤组织残留,因此常常需要在肿瘤周围距肿瘤基底至少3 cm的正常组织内进行手术,皮下软组织要求切除范围更大。根治性广泛切除与局部病灶清除术后患者的生存时间有较大差别,分别为10年和6年[2],虽然更大范围的切除并不能减少局部复发和远处转移[1],但当切除肿瘤无法达到切缘病理学阴性时,首选的治疗方案为截肢手术。是否常规行淋巴结清扫手术,目前尚未形成统一意见。有学者认为,仅淋巴结出现临床症状时行淋巴结清扫[3]。也有学者建议,在肿瘤分期达到可能出现淋巴结转移时,应进行淋巴结清扫手术[4]。由于CCS最易转移至淋巴结,且淋巴结活检创伤极小,所以进一步行前哨淋巴结活检或许是有效手段。Ferrari等[3]仅对存在局部复发风险的8名青少年患者进行术后化疗联合放疗,仅2例患者对放疗无明显效果,4例患者局部趋于稳定,但单独化疗对患者预后影响不大。Bianchi等[4]也得到相似结论。因此,对于考虑局部存在复发风险的患者给予放疗,可能会降低局部复发率,改善患者预后。近年来,化疗方案也有了新的进展。Karita等[5]对5例CCS患者使用多柔比星、顺铂和咖啡因治疗后,平均随访58.8个月,发现仅1例患者出现转移,且5例患者5年内均生存。但顺铂和咖啡因是否能够改善CCS患者的预后,还需要更多的临床研究数据。Outani等[6]建立了新的细胞系Hewga-CCS,并研究了多靶向口服药帕唑帕尼在体外和体内对Hewga-CCS的抗肿瘤作用,结果显示,帕唑帕尼可以通过抑制c-MET磷酸化发挥抗肿瘤作用。因此,多激酶抑制剂可能可以缩小肿瘤体积并缓解疼痛,为CCS的治疗提供新的思路。
无





















