
版权归中华医学会所有。
未经授权,不得转载、摘编本刊文章,不得使用本刊的版式设计。
除非特别声明,本刊刊出的所有文章不代表中华医学会和本刊编委会的观点。
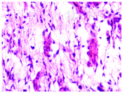
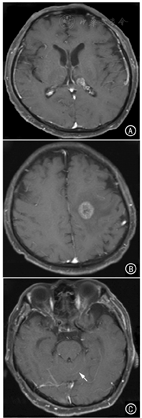
患者男,62岁,头晕、头痛、颈部不适1个月于2017年6月27日来我院就诊。既往无慢性病史。约5年前,患者行左股肿物(约6 cm × 3 cm)切除术。术后病理:软组织肉瘤,黏液型纤维肉瘤(G2),分期:T2bN0M0,ⅡB期(图1)。免疫组化:actin(-),desmin(-),S-100(+/?),Ki-67(+),CD34(+),bcl-2(+),细胞角蛋白(-),Vim(+),神经元特异性烯醇化酶(+)。术后1年余肿瘤复发,行局部肿瘤根治性扩大切除术。术后患者行局部放射治疗(60 Gy/30次),同步阿霉素+异环磷酰胺联合化疗。入院查体:锥体束征(-),颅神经(-),项强征(+)。左股近端内侧见长约20 cm手术疤痕,局部未触及肿物。卡氏评分80分,格拉斯哥评分14分。肝肾功能、血常规和凝血检查正常,乙型和丙型肝炎病毒、梅毒、艾滋病检测阴性。头部磁共振检查示,左侧侧脑室内及左侧放射冠多发类圆形占位病变,病灶明显强化,符合脑转移瘤特点;脑沟回内弥漫线样强化,以小脑沟回内为著(图2)。颈、胸和腹部CT未见占位病变。腰穿:颅压220 mmH2O,蛋白0.32 g/L,糖3.10 mmol/L,氯126.4 mmol/L,潘式反应(-),白细胞10×106/L,无红细胞。脑脊液病毒、细菌和结核菌检查均为阴性。脑脊液细胞学检查(液基细胞制片联合巴氏染色)找到肿瘤细胞(图3)。诊断为脑膜转移。行鞘内化疗及全脑放疗的综合治疗。鞘内化疗阿糖胞苷50 mg+地塞米松5 mg,每周1次。同步给予全脑放疗,采用RapidArc容积调强放疗技术,6 MV X射线,40 Gy/20次,4周完成。治疗2周后,头晕、后颈部疼痛症状明显缓解。治疗过程中,患者出现双下肢一过性麻木等腰骶部脊神经神经根刺激症状,给予对症治疗后缓解。20次全脑放疗并5次鞘内化疗后,头晕、头疼和后颈部疼痛症状基本消失,KPS评分100分。脑脊液脱落细胞学检查:找到少量肿瘤细胞。复查头部MRI较前无明显变化,颈、胸和腹部CT未见肿瘤病灶。自脑膜转移诊断至今4月余,患者无症状生存。






黏液型纤维肉瘤是一种好发于老年人肢体的常见肉瘤,易发生于皮下。组织学分级G1表现为局部侵犯,G2和G3具有潜在远处转移能力,常见转移部位为肺、骨和淋巴结[1]。本例患者为黏液型纤维肉瘤ⅡB期,组织学病理分级为G2,具有局部复发及转移倾向。
黏液型纤维肉瘤脑转移非常罕见,既往仅有少量报道[2,3,4]。脑脊液细胞学检查是明确脑膜转移诊断的金标准。本例患者脑脊液中找到的肿瘤细胞具有典型恶性特征,细胞体积大,核质明显增大,似裸核,染色质粗颗粒样,可见多核。影像学检查显示多发柔脑膜强化,为本病特征性影像学表现。另外,可见转移病灶位于脑室内,为脑膜转移提示性影像学表现。本例患者脑膜转移发生的原因,可能为肿瘤细胞血行转移所致,也可能为脑室内转移病灶肿瘤细胞脱落进入脑脊液中增殖所致[5]。本例患者既往存在纤维肉瘤病史,脑膜转移治疗前及治疗后全身检查均未见其他新发肿瘤病灶。
脑膜转移是恶性肿瘤的致死性并发症,即使经过积极治疗,中位生存时间仅2~3个月,1年生存率不足15%[5]。治疗目的为缓解患者症状,提高生存质量,延长生存时间。目前,纤维肉瘤脑膜转移的主要治疗手段为鞘内化疗及区域放射治疗。本例患者采用阿糖胞苷鞘内化疗,同步全脑放疗,神经系统症状控制效果良好。
无





















