
版权归中华医学会所有。
未经授权,不得转载、摘编本刊文章,不得使用本刊的版式设计。
除非特别声明,本刊刊出的所有文章不代表中华医学会和本刊编委会的观点。
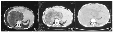
患者女,21岁。2015年5月8日,因"上腹部不适1年,发现肝脏占位15 d"到四川大学华西医院就诊。体格检查可见腹部膨隆,余无异常。Karnofsky功能状态(Karnofsky performance status, KPS)评分为70分。CT示,肝右叶巨大占位病变伴腹膜后淋巴结转移,大量腹水。行CT引导下肝脏占位穿刺活检术。病理学检查镜下见纤维化背景中少量异型腺体,未见肝组织。免疫组化染色,异型腺体广谱细胞角蛋白(pan cytokeratin, PCK)(+),组织蛋白酶K抑制剂(catheptin K inhibiters, CKIS)(+),CD10(部分+),Hepa(-),癌胚抗原(carcino-embryonic antigen, CEA)(部分+),EB病毒编码RNA1/2(EBV-encoded RNA1/2, EBER1/2)原位杂交(-)。病理诊断:高分化胆管细胞癌。5月20日行肝动脉化疗栓塞术。出院后,患者临床症状无明显好转,肝功能损伤加重,腹水增加,每天达2 000~3 000 ml。2015年6月29日再次入住四川大学华西医院。7月6日行CT引导肝穿刺无水酒精注射治疗术和肝动脉灌注化疗栓塞术。7月10日病情稳定后出院。出院后,患者肝功能损伤加重,腹水持续增加。9月25日,患者因出现厌油、恶心呕吐、纳差、慢性顽固性疼痛、严重营养不良、贫血、低蛋白血症及电解质紊乱,到成都市西区医院就诊。入院查体:患者精神差,面色苍白,少尿,腹壁紧张并静脉曲张。KPS评分为50分。腹水中发现肿瘤细胞。CT示,肝右叶及肝左叶内侧段大片低密度影,腔静脉局部可见充盈缺损,腹腔大量积液(图1)。入院后多次给予顺铂20 mg腹腔灌注化疗及保肝、止痛等对症治疗。11月19日出院。


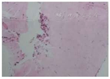
由于病情日益恶化,患者于2016年1月20日入住我院。体格检查:患者神志清楚,精神差,说话语音微弱,行走困难。进食差,消瘦,体重40 kg。面色和眼睑苍白,皮肤及巩膜无黄染。少尿,蛙状腹,腹壁静脉曲张,腹部叩诊呈移动性浊音。双侧留置腹腔引流管,腹水色黄,引流量每天3 000~4 000 ml。KPS评分为20分。患者签署知情同意书后,2016年1月20日开始肿瘤声动力治疗。皮试确认阴性后,将血卟啉注射液按5 mg/kg体重的剂量避光静脉输入,避光24 h后,经超声波定位,使用XK-2011R肿瘤超声波治疗仪(武汉兴康医疗器械有限责任公司产品)对整个肝脏和肝门血管进行3D全方位声动力治疗。声频450 kHz,声强1.5 W/cm2。每次30 min,2次/d,连续3 d为1个周期。共治疗6个周期,每两个周期之间间隔3个月。每周期治疗结束后,患者避免阳光照射30 d。在第1个周期声动力治疗后2周,患者腹水引流量减少至每天1 500 ml左右。食欲明显恢复,体重增加,尿量正常。首次声动力治疗后第3个月门诊复查,患者精神良好,面色红润,皮肤、巩膜无黄染,腹壁无静脉曲张,腹软,肝脏未触及,脾脏肋缘下一指。腹腔引流管通畅,腹水色淡黄,引流量每天500 ml。KPS评分为90分。术后7个月CT检查示,肝脏增大,肝叶比例正常,肝裂无增宽,肝表面光滑。肝右叶见大片状低密度影,边界不清,密度不均匀。脾脏增大,门静脉及下腔静脉无增宽,腹膜后未见明显肿大淋巴结,腹腔内无积液(图2)。第16个月CT检查示,右肝叶占位密度明显减低,接近正常肝组织。肝左叶代偿性增大。脾脏增大,门静脉及下腔静脉无增宽,腹腔内无积液(图3)。为证实声动力治疗的疗效,2017年7月6日患者在四川省肿瘤医院局麻下行CT引导下肝脏占位穿刺活检术。病理检查未见肿瘤细胞(图4)。患者发病后出现闭经,首次声动力治疗后16个月月经周期恢复。患者至今未见复发转移,仍存活。


肝内胆管细胞癌(intrahepetic cholangiocarcinoma, ICC)是原发于肝内胆管上皮的恶性肿瘤,在肝脏恶性肿瘤中,其发病率仅次于肝细胞癌。ICC患者在确诊时多伴有局部淋巴结转移,根治术切除率低,仅可姑息治疗,中位生存时间仅为数月[1]。
声动力治疗技术利用声敏剂血卟啉化合物能特异性被肿瘤细胞摄取的特性,使用对人体生物组织无损伤、穿透性良好的低能量超声波激活定位于肿瘤细胞内的声敏剂,在肿瘤细胞内产生高浓度的单态氧离子及自由基,这些强氧化剂能有效破坏肿瘤细胞的细胞器、细胞膜和DNA,从而准确杀灭肿瘤细胞。由于正常组织细胞不摄取声敏剂,故肿瘤声动力治疗对正常组织细胞无损害[2]。
Kenyon等[3]使用声光动力结合方法对115例各种不同类型肿瘤进行治疗,治疗效果有显著提高。Zoepf等[4]对32例不可切除的ICC患者进行光动力治疗,将患者的平均生存时间从常规疗法的7个月提高到21个月。本例患者的临床治疗效果提示,声动力治疗技术可能是ICC这类临床难治性肿瘤的重要突破点,有必要开展大样本随机对照研究明确其对肿瘤治疗的作用,为肿瘤的临床治疗提供一种新型、有效的手段。
目前,临床开展肿瘤的声动力治疗还存在一些实际问题。能够满足临床需求的声动力治疗专用设备很少。与光动力治疗一样,声动力治疗也存在皮肤光毒性等问题,用药后患者需较长时间避光。因此,研制开发新型敏化剂和声动力治疗专用设备是推动这一新型肿瘤治疗技术广泛开展的关键一环。





















