
版权归中华医学会所有。
未经授权,不得转载、摘编本刊文章,不得使用本刊的版式设计。
除非特别声明,本刊刊出的所有文章不代表中华医学会和本刊编委会的观点。
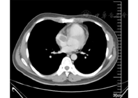
患者男,30岁,于2016年5月13日无明显诱因出现咳嗽、咳痰,咳白痰,量不多,伴咽痛,不伴胸闷、心慌,当地诊所诊断为上呼吸道感染,给予口服药物治疗,症状时轻时重。2016年6月10日出现心慌、胸闷,未诊治。2016年6月18日上楼时突发晕厥,意识丧失约5 min,急诊送至当地医院呼吸科。查体:心率136次/min,血压156/78 mmHg,呼吸23次/min,体温36.7℃,谷氨酸氨基转移酶184 U/L,天门冬氨酸氨基转移酶137 U/L,乳酸脱氢酶308 U/L,HBsAg(+), HBeAb(+),HbcAb(+),余未见异常。心电图示,窦性心动过速,V1导联RSR′图形,QRS电轴右偏,顺钟向转位。彩色多普勒超声示,大量心包积液,肺动脉外侧囊状回声,右心房内低回声(59 mm×48 mm)。胸部CT示,少量胸腔积液,头部右侧包块、右下腹包块,性质不明。抽取约100 ml血性心包积液,送检病理未见肿瘤细胞。2016年6月22日行PET-CT,示右肺下叶近肺门处不规则肿块,大小约32 mm×25 mm×24 mm,放射性摄取增高,最大标准化摄取值(maximal standard uptake value, SUVmax)为25.58;前纵隔上腔静脉旁不规则肿块,侵入右心房,大小约64 mm×54 mm×47 mm,放射性摄取增高,SUVmax为39.36(图1)。左前纵隔不规则肿块,与邻近大血管界限不清,侵及左肺上叶,大小约61 mm×62 mm×87 mm,放射性摄取显著增高,SUVmax为39.14,前上纵隔多发肿大淋巴结,直径约16 mm,放射性摄取增高,SUVmax为15.23,右侧颞部头皮下软组织肿块(SUVmax为50.09),右下腹壁皮下(直径约23 mm,SUVmax为5.80)、右侧阔筋膜张肌及右侧臀大肌多发软组织结节(SUVmax为15.93),双侧胸腔积液,心包积液;考虑淋巴瘤多系统侵犯。在CT引导下行前纵隔穿刺活检,免疫组化:CD10-,CD2(T+), CD20(-), CD23(-), CD3(T+), CD30(+), CD56(个别+), CD99(+), CD117(-), CD34(-),CD5(-) ,EMA(-), CK(AE1/AE3)(-), Ki-67(约85%+),Mum-1(+), Pax-(-), SALL(-), TdT(-),Granzyme B(+), LCA(+) ,EBER(-),变性淋巴瘤激酶(anaplastic lymphoma kinase, ALK) (+)。符合ALK阳性的间变性大细胞淋巴瘤。骨髓形态学、骨髓流式和骨髓活检均未见淋巴瘤侵犯。乙型肝炎病毒DNA低于检测下限,EB病毒DNA低于检测下限。诊断为非霍奇金淋巴瘤,ALK+间变大细胞淋巴瘤Ⅳ期,侵犯纵隔、心脏、右肺、右颞部、腹壁、臀大肌、阔筋膜张肌,国际预后指数(International Prognostic Index, IPI)评分4分,年龄校正的IPI评分3分。于2016年7月1日给予CHOPE方案化疗:依托泊苷0.1 g,第1~5天静脉滴注;环磷酰胺1.2 g,第1天静脉滴注;长春新碱2 mg,第1天静脉滴注;地塞米松30 mg,第1~5天静脉滴注;盐酸吡柔比星80 mg,第1天静脉滴注。2016年7月8日行彩色多普勒超声示,右心房内紧邻上腔静脉开口处可见约22 mm×27 mm的中等回声团块,其蒂附着于右心房壁,右心室流出道前壁向上延伸至肺动脉瓣环上方17.5 mm处的外侧,可见约55 mm×29 mm无回声团,内可见分隔;考虑囊性占位。2016年7月15日行彩色多普勒超声示,大量心包积液,右房内可探及23 mm×18 mm稍低回声团,与右心房壁相连,基底部宽约15 mm。于2016年7月29日、2016年8月18日分别给予EPOCH方案化疗:依托泊苷50 mg/m2,第1~4天静脉滴注;长春新碱0.5 mg,第1~4天静脉滴注;表柔比星15 mg/m2,第1~4天静脉滴注;环磷酰胺750 mg/m2,第5天静脉滴注;泼尼松100 mg,第1~5天静脉滴注。于2016年8月13日行增强CT示,右心房内、外各有软组织肿块,均较前缩小,前纵隔肿块较前缩小,右颞部及右下腹壁软组织肿块消失(图2);彩色多普勒超声示,右心房内实性占位(16.9 mm×18.9 mm),蒂宽10 mm,三尖瓣(轻度)反流。疗效评估达部分缓解,继续给予EPOCH方案(依托泊苷+强的松+长春新碱+环磷酰胺+阿霉素)化疗4个周期,期间行依托泊苷化疗后予以粒细胞集落刺激因子动员干细胞,顺利采集自体造血干细胞,移植前PET-CT评估疗效为不能确定的完全缓解,于2017年1月行自体造血干细胞移植,过程顺利。目前移植后3年余,病情稳定。




发生于心脏的淋巴瘤可分为原发心脏淋巴瘤和淋巴瘤心脏侵犯,在非霍奇金淋巴瘤中的发生率约20%[1],占心脏恶性肿瘤的2%[2]。淋巴瘤心脏侵犯临床罕见,病理亚型多为弥漫大B细胞亚型。心脏原发肿瘤发病率较低,仅为0.001%~0.3%[3],尸检中发现霍奇金淋巴瘤和非霍奇金淋巴瘤心脏侵犯的检出率分别为16%和18%[4,5]。有研究显示,94例经活检证实的发生于心脏侵犯的非霍奇金淋巴瘤(non-Hodgkin lymphoma, NHL)患者,其中弥漫大B细胞淋巴瘤最为多见,占58%,其次为T细胞淋巴瘤(16%)、Burkitt淋巴瘤(9%);存在HIV感染的NHL患者发生心脏淋巴瘤侵犯的比例明显高于非HIV感染的NHL患者[6]。
心脏组织中并无淋巴细胞,心脏淋巴瘤的发生可能与其他结外淋巴瘤的发生机制相似,可能与免疫缺陷、年龄、慢性炎症等因素有关[7]。淋巴瘤心脏侵犯的临床表现取决于多种因素,包括肿瘤位置、大小、生长速度、侵犯程度和肿块脆性,心腔内肿块可引起血流阻塞、肿瘤栓塞或影响瓣膜功能;侵犯传导通路可引起心律失常;侵犯心包可引起心包积液、心包填塞;心肌受侵犯部分可引起心肌酶谱增高。胸部平片仅对引起心脏肥大、心衰、心腔轮廓改变的心脏肿瘤有提示作用,敏感性和特异性均较低。经食管超声心动图可更清晰地显示图像,对心脏肿瘤患者诊断的敏感性较高。CT能够充分显示心脏肿瘤的形态、位置、范围,而MRI在进一步显示解剖结构、血流以及评价心脏功能上存在优势。PET-CT在淋巴瘤心脏侵犯的诊断中也具有重要价值[6]。有研究显示,最常见的临床表现为心功能不全相关症状,20%的患者在诊断时无心脏相关症状[6]。
有研究显示,32%的淋巴瘤心脏侵犯患者未接受化疗,中位生存时间为1个月,而接受化疗的患者中位生存时间为18个月[6]。Chalabreysse等[8]对文献中报道的35例免疫功能正常的心脏非霍奇金淋巴瘤患者进行研究,结果显示,采用蒽环类为基础的方案化疗,61%的患者可获得完全缓解。利妥昔单抗的应用明显提高了心脏弥漫大B细胞淋巴瘤患者的预后[9]。放疗可引起心包炎、心肌病、舒张功能障碍、心脏传导损伤和冠脉病变等不良反应,仅适用于化疗无效的患者。化疗中存在心腔壁穿孔和肿瘤脱落等风险,但不建议预防性手术治疗。本例患者为ALK+间变大细胞淋巴瘤Ⅳ期,增强CT三维成像示,右心房内外肿块单独生长,化疗过程中主要风险为肿瘤脱落引起的梗阻,整个治疗过程中未发生严重并发症。
所有作者均声明不存在利益冲突





















