
版权归中华医学会所有。
未经授权,不得转载、摘编本刊文章,不得使用本刊的版式设计。
除非特别声明,本刊刊出的所有文章不代表中华医学会和本刊编委会的观点。
患者男,69岁。2011年因"左眼视力下降、视物模糊"就诊于山东省眼科医院,诊断为球后视神经炎,给予对症治疗,未见好转。2012年2月就诊于北京同仁医院眼科,完善相关检查后,排除眼部病变,转至耳鼻咽喉头颈外科,诊断为右侧蝶窦囊肿,行囊肿部分切除术。术后病理诊断为腺样囊性癌。胸部CT示双肺多发结节。3月于北京同仁医院由耳鼻咽喉头颈外科与神经外科医师联合行右侧蝶窦扩大切除术+左侧眉间区肿物切除术。术后病理诊断为腺样囊性癌(双侧)。术后患者鼻间断出血,7月就诊于青岛医学院附属医院,考虑为术后并发症所致,行血管介入栓塞术止血治疗。2012年8—9月于北京海军总医院行蝶窦区调强放疗,总剂量为50 Gy。2013年9月开始于北京同仁医院肿瘤科行紫杉醇+奥沙利铂化疗,共7个周期,具体剂量不详。化疗结束后行尼妥珠单抗靶向治疗,持续1年,具体剂量不详。2015年4月患者出现右侧肢体间断性活动不良,伴视物模糊,就诊于北京同仁医院,完善检查后行左额颅内肿物切除术,术后病理诊断为腺样囊性癌。2016年患者行中药维持治疗1年。2017年2月患者无明显诱因再次出现鼻出血,遂就诊于北京同仁医院,行手术止血治疗,后未再出血。2018年1月患者于北京同仁医院行术后6年综合检查,双肺结节仍在。因不排除转移可能,遂行阿帕替尼靶向治疗。治疗20 d后,因严重口腔溃疡、乏力、双下肢疱疹不能耐受,停用阿帕替尼治疗。5月和8月患者两次复查胸部CT,示双肺结节,均较前增大,考虑转移瘤。
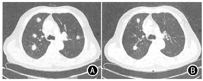
2018年8月10日到我科就诊。行CT引导下肺穿刺活检,病理诊断为(右肺)腺样囊性癌,符合转移。9月22日开始口服安罗替尼靶向治疗,1周后患者出现局部瘙痒、鼻出血症状,2周后患者出现乏力、咽痛症状,对症治疗后可耐受。10月22日行胸部CT检查,示双肺多发转移瘤,较前部分结节缩小(图1)。疗效评估为疾病稳定,遂继续口服安罗替尼。10月25日患者出现意识不清。实验室检查示,钠120.00 mmol/L,氯86.00 mmol/L,钙2.07 mmol,其他化验项目未见异常。颅脑CT检查未见异常。考虑为低钠血症所致昏迷,与口服安罗替尼有关,行补钠等对症治疗后病情好转。之后,在口服安罗替尼的同时,予以自制盐胶囊口服补钠,定期监测血钠,患者未再出现低钠血症及意识不清。至末次随访时(2019年10月21),患者已口服安罗替尼13个月,期间每2个月复查胸部CT评估疗效,病灶持续稳定。


腺样囊性癌发病率低,约占头颈部恶性肿瘤的1%~2%,主要来源于腮腺、颌下腺及小唾液腺[1]。腺样囊性癌局部生长缓慢,易沿神经浸润生长,淋巴结转移率低,易发生远处转移。对于可手术的患者,目前的治疗方式主要包括手术和局部放疗,尤其对于手术切缘阳性、淋巴结转移及局部晚期的患者,放疗能提高局部控制率。对于无手术指征或拒绝手术的患者,根治性放疗或同步放化疗也可取得令人满意的效果。
然而,腺样囊性癌易血行转移,远处转移率可达40%,成为治疗失败和影响患者生存的主要威胁,肺是最常见的远处转移器官。对于多发的转移灶,无法行手术及姑息放疗,以全身治疗为主。近年来,腺样囊性癌的全身治疗药物进展缓慢,化疗的整体有效率较低,有效率相对较高的药物包括蒽环类、铂类及氟尿嘧啶类,即使联合用药,有效率仅约25%,且患者耐受性较差。靶向治疗和免疫治疗在腺样囊性癌中依然没有较大突破。近年来,研究较多的与腺样囊性癌治疗相关的靶点主要包括kit、人表皮生长因子受体2和表皮生长因子受体(epidermal growth factor receptor, EGFR)等,但相应的靶向药物(如甲磺酸伊马替尼、拉帕替尼及西妥昔单抗)应用于临床获益并不明显。有动物实验证实,抗血管生成药物对移植在裸鼠上的人腺样囊性癌病灶有抑制作用[2],但临床应用极少。
安罗替尼是小分子多靶点酪氨酸激酶抑制剂,既可强效抑制VEGFR-1、VEGFR-2、VEGFR-3,又可抑制c-kit[3]。本例患者既往应用阿帕替尼无法耐受,因此,我们选择了安罗替尼作为治疗药物。给药方式:安罗替尼12 mg/d,口服2周,停药1周。应用安罗替尼治疗1个月后,肺内病灶缩小约25%,接近部分缓解水平,目前已应用安罗替尼维持治疗1年,疗效评估持续稳定。患者应用安罗替尼的主要不良反应为顽固性低钠血症,血钠最低至120 mmol/L,并出现晕厥。该药相关临床研究中此不良反应发生率很低,3级以上发生率仅约5%,嘱患者服用盐胶囊后血钠恢复并持续维持正常,未再出现低钠血症。本例患者的治疗过程为应用安罗替尼治疗晚期腺样囊性癌提供了依据和参考,也提醒临床医师对安罗替尼的罕见不良反应要足够重视。
所有作者均声明不存在利益冲突





















