
膝关节骨关节炎(KOA)是好发于老年人群的一种退行性病变,近年来根据不均匀沉降理论提出的一种治疗KOA的新方法,即利用腓骨近端截骨术治疗膝关节骨关节炎逐渐兴起。本文对1例行膝关节不均匀沉降术治疗KOA无效,于本院行全膝关节置换术的病例进行报告,并对相关文献进行综述。
版权归中华医学会所有。
未经授权,不得转载、摘编本刊文章,不得使用本刊的版式设计。
除非特别声明,本刊刊出的所有文章不代表中华医学会和本刊编委会的观点。
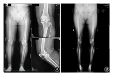
患者,女,64岁,身高161 cm,体重85 kg,体重指数(BMI)32.8 kg/m2,以左膝疼痛并加重3年余于2018年9月11日至复旦大学附属华东医院骨科就诊。患者3年前左膝疼痛,运动后疼痛,休息可部分缓解。后患者出现疼痛加剧,步行距离缩短,经保守治疗无效后,于2017年4月10日在外院以"左膝关节骨关节炎"行"左侧腓骨上端截骨术",术后对症治疗。患者诉术后症状未有明显改善,日常步行距离约200 m,视觉模拟评分(VAS)8分,站立位及最大下蹲位状态见图1。2018年7月17日(不均匀沉降术后15个月)于外院复查X线(图2 A)。门诊时患者左膝关节屈曲120°,伸直3°,关节间隙内外侧均有压痛,内侧为重,股四头肌抗阻试验(+)。患者为求进一步治疗,于2018年9月17日收住入院。




住院期间完善患者WOMAC问卷、KSS膝关节评分、Lysholm膝关节评分、SF-36生活质量评分(表1),同时完善各项术前检查。实验室检查未见明显异常,排除自身免疫性疾病或代谢障碍性疾病导致的关节炎。2018年9月17日(不均匀沉降术后17个月)于本院行站立位双下肢全长位片(图2 B),提示:"双侧膝关节骨质边缘骨质增生影,胫骨髁间棘增生变尖、肥大,双膝关节内侧关节间隙变窄,左侧为甚。左侧腓骨上段局部骨质缺损。余所示诸骨未见特殊"。图2中不均匀沉降术后15个月、17个月截骨高度7.5 cm,截骨长度2.4 cm,其他数据测量见表2。术前完善左膝关节MRI(图3),提示:左膝周围诸骨位置关系正常,股骨、胫骨、髌骨边缘增生变尖,膝关节及髌骨关节间隙变窄,关节面毛糙,关节面下见小斑片状骨质吸收灶及骨质水肿,左膝内外侧半月板前后角内信号欠均匀,可见小片状稍高信号影,内侧半月板及外侧半月板前角内异常信号延伸达关节面,前交叉韧带肿胀,股四头肌肌腱及髌韧带局部稍肿,后交叉韧带及双侧副韧带形态信号尚如常,关节腔及髌上囊内见少-中等量长T1长T2信号积液影,关节滑膜增厚。左膝周围软组织肿胀,髌下脂肪垫局部明显肿胀。MRI诊断结论:左膝退变:骨质增生;关节面下散在骨质吸收及骨质水肿;半月板变性,内侧半月板及外侧半月板前角撕裂;前交叉韧带肿胀,股四头肌肌腱及髌韧带局部稍肿;关节腔及髌上囊内少-中等量积液,关节滑膜增厚;左膝周围软组织肿胀,髌下脂肪垫局部明显肿胀。见腘窝囊肿。



患者治疗期间各项评分(分)
患者治疗期间各项评分(分)
| 时间 | VAS | WOMAC | KSS | Lysholm | |
|---|---|---|---|---|---|
| 临床评分 | 功能评分 | ||||
| 入院时 | 8 | 98 | 45 | 40 | 56 |
| 出院时 | 3 | 53 | 90 | 70 | 72 |
| 术后6周 | 1 | 16 | 95 | 90 | 99 |
注:VAS评分"0"表示完全无痛,"10"表示疼痛剧烈;WOMAC问卷满分240分,轻度(<80分),中度(80~120分),重度>120分);KSS膝关节评分中临床评分和功能评分满分均为100分,优(85~100分),良(70~84分),可(60~69分),差(<60分);Lysholm膝关节评分满分100分,分数越高膝关节功能越好

患者术前X线部分数据测量结果
患者术前X线部分数据测量结果
| 时间 | 胫股角(°) | 股骨下角(°) | 胫骨上角(°) | 胫骨内侧平台高度(mm) | 胫骨外侧平台高度(mm) | 胫骨内、外侧平台高度差(mm) |
|---|---|---|---|---|---|---|
| 不均匀沉降术后15个月 | 182 | 78 | 97 | 7.00 | 12.00 | -5.00 |
| 不均匀沉降术后17个月 | 179 | 81 | 97 | 2.89 | 9.97 | -7.08 |
| 全膝关节置换术后 | 180 | 90 | 92 | — | — | — |
在制定该患者的手术方案时,截骨矫形不再考虑。同时综合考虑患者年龄较大(64岁)、BMI较高(32.8 kg/m2)以及术前影像学检查提示大量滑膜增生以及膝关节3间室均受累及,如果选择单髁置换术,患者从中获益有限,导致最终可能仍需进行全膝关节置换术。经讨论,最终决定对该患者施行全膝关节置换术。术前充分告知患者及家属手术相关内容并签署知情同意书。
手术经过:腰椎麻醉妥后,仰卧位,术前60 min使用抗生素。采用左膝关节前正中切口,长约20 cm,远端至胫骨结节内侧,切开浅筋膜和深筋膜,深筋膜下内侧分离至髌骨扩张部,暴露髌骨。股内侧肌与肌腱之间髌骨内侧0.5 cm处打开关节,远端至髌韧带内侧。切除髌下脂肪垫至胫骨平台外侧,切断髌骨韧带进一步外翻髌骨,可见到髌骨、股骨内侧髁,内侧平台软骨下骨外露伴有关节面塌陷,骨赘增生。切断前交叉韧带,切除内侧半月板前角和外侧半月板残余部分,咬除胫骨近端和股骨远端周缘骨赘,在胫骨内侧行内侧副韧带松解,检查内外侧基本平衡,下肢力线基本恢复。胫骨力线髓外定位,使定位杆与胫骨嵴平行,远端过踝关节中心,固定钉于截骨模块,外侧平台最高点参照测试,胫骨近段截骨12 mm。去除骨赘后,髁间窝前方后交叉韧带前方1 cm处偏内侧5 mm股骨髓腔开口,外翻5°位置入股骨远端定位器,定位器与股骨内外上髁连线平行,远端与股骨髁贴紧,安装股骨远端截骨模块,固定钉固定于0号位置,完成股骨远端截骨10 mm。此时伸直膝关节使用10 mm试样间隔内外反膝关节检查韧带平衡好,安装股骨远端截骨模块,以后参照法确定使用D号假体,外旋3度,完成股骨远端滑车、后髁及前后斜面截骨和髁间窝成形。屈曲膝关节,使胫骨向前脱位,完整显露胫骨平台截骨面,选择胫骨模块测量为3号,使中性线对齐胫骨结节内1/3处,固定钉固定,完成胫骨髓腔准备,安装试样假体后检查下肢力线好,取出试样,彻底冲洗,调骨水泥安装假体,去除多余骨水泥,安装12 mm平台假体,复位膝关节,去除髌骨周围骨赘,电刀处理髌骨周缘,无拇指试验髌骨轨迹好。过伸直5°,屈曲130°,电透示位置理想彻底冲洗,屈膝30°位逐层关闭切口,置负压引流1根,用1~0 DEXON缝合关节和深、浅筋膜,用3~0 MERSILK缝合皮肤,术中出血约200 ml。手术110 min。
术后患者双下肢站立位全长位片见图4,术后对患者进行常规对症治疗及相关的康复训练,术后第2天即拔除负压引流,患者下地行走。术后19 d拆线出院,出院时患者VAS评分3分,同时记录出院时患者WOMAC问卷、KSS膝关节评分、Lysholm膝关节评分、SF-36生活质量评分(各项均较入院时有改善)(表1)。患者于2018年10月30日至我院骨科门诊复诊,VAS评分1分,WOMAC问卷、KSS膝关节评分、Lysholm膝关节评分等结果见表1,SF-36生活质量评分各项较出院时有改善,较入院时改善明显,站立位及最大下蹲位状态见图5。目前患者仍在随访中。




膝关节骨关节炎(KOA)好发于50岁以上人群,年龄以及肥胖是其发生的最重要的危险因素,其中体重的减轻对KOA疼痛的缓解有极大的作用[1,2]。研究显示,KOA患者内侧间隙宽度明显小于外侧间隙宽度,立位X线可见膝关节内侧间隙较外侧间隙明显狭窄[3]。张英泽等[4]于2014年提出膝关节不均匀沉降理论,并根据该理论对部分以内侧间隙病变为主的KOA患者施行腓骨近端截骨术,并在全国部分医院得到推广。本文对1例在外院施行腓骨近端截骨术治疗KOA效果不佳,并于我院行全膝关节置换术(TKA)的患者进行病例报告,并对相关文献进行综述。
膝关节是人体负重最大的关节,胫骨平台内侧在力的传导过程中逐渐出现塌陷,而外侧由于有腓骨的支撑,分担并转移重力负荷,其塌陷的程度较内侧低,因此导致下肢力线向内侧偏移,这种内、外侧平台塌陷程度不同导致力线的偏移的现象为不均匀沉降。这种不均匀沉降会导致膝关节周围的软组织逐渐失去平衡,牵拉骨膜,加速关节软骨的磨损,引起膝关节疼痛、活动受限等症状出现,其典型的膝关节负重位X线片显示内侧间隙明显变窄。随着力线的内移,使内侧平台负重增加,进一步加重了内侧平台的塌陷,形成恶性循环。因此,腓骨对胫骨平台外侧的支撑成为形成膝内翻、引发膝关节力线内移和导致内侧间隙变窄的决定性因素,加剧了膝关节退变,这一理论被张英泽等总结为膝关节不均匀沉降理论[4]。基于该理论,提出了一种治疗内侧间室受累为主的KOA的新方法—不均匀沉降术:单纯腓骨近端切除术→解除腓骨对胫骨平台外侧的支撑→膝关节周围软组织再平衡→改善下肢力线和膝关节功能→缓解骨关节炎发展的趋势[5]。
从目前已发表的文献来看,应用腓骨近端截骨术治疗KOA主要适用于膝关节病损以内侧间室受累为主伴膝内翻或内侧间隙变窄。排除标准为:(1)KOA伴外翻畸形,或以髌骨关节炎症状为主;(2)膝关节游离体较多,出现绞索症状;(3)自身免疫性疾病或代谢障碍性疾病导致的关节炎;(4)患有影响同侧下肢活动功能的疾病,如椎间盘退变,椎管狭窄等;(5)患膝有半月板撕裂,考虑盘状半月板或有交叉韧带损伤者[6]。
姚辉等对15例KOA患者行腓骨高位截骨术,分析入院后、术后24 h及出院时VAS评分以及入院后及出院时自理能力Barthel指数评分,结果显示患者出院时VAS评分低于入院时和术后24 h评分,且出院时自理能力Barthel指数评分高于入院时评分,说明应用不均匀沉降理论实施腓骨高位截骨是治疗早期KOA的新型方法,可以提高患者生活自理能力,减轻患者痛苦[7]。Yang等[8]在对1996~2012年期间共156例腓骨近端截骨术的研究中发现,术后平均胫股角、外侧室关节间隙及VAS评分均小于术前,KSS评分大于术前,说明近端腓骨截骨术可显著改善患膝的功能及影像学表现,并可长期缓解疼痛。Utomo等[9]在印度尼西亚使用不均匀沉降术治疗KOA,得到相似的满意结果。
利用不均匀沉降技术治疗KOA的并发症主要有:(1)腓总神经麻痹或腓总神经牵拉伤;(2)腓浅神经损伤;(3)皮下淤血,踝关节肿胀;(4)患肢肌间静脉血栓形成,并发症的发生均为小概率事件,且通过规范的手术操作及术后的康复治疗等,均可得到缓解和恢复。
目前对于KOA患者,除外保守治疗,最常见的手术治疗方式有膝关节镜下清理术,胫骨高位截骨术(HTO),单髁置换术(UKA)和全膝关节置换术。
膝关节镜下清理术对伴有机械症状的KOA治疗效果好,如存在游离体、滑膜病变、软骨面不适、半月板撕裂移位等,能减轻部分早、中期KOA患者的症状,但对于关节间隙狭窄较明显的患者,关节镜手术的益处有限[10]。
截骨术主要适用于青、中年活动量大,力线不佳的单间室退变,膝关节超过90°、无固定屈曲挛缩畸形、无关节不稳及半脱位、无下肢动静脉严重病变是其手术指征,其中HTO多用于合并胫股关节内翻较轻,胫骨平台塌陷小于0.5 cm,髌骨关节基本正常的患者;股骨远端截骨术主要用于矫正膝外翻畸形较轻、胫骨外侧平台塌陷小于0.5 cm、合并膝关节外侧间室OA的患者[10]。于国兴等[11]对胫骨高位截骨术和腓骨近端截骨术在治疗KOA疗效方面的Meta分析中也得到相同的结论,即胫骨高位截骨术和腓骨近端截骨术治疗KOA的优良率方面无明显临床效果差异。
人工关节置换是终末期OA的治疗方法,其中UKA适用于力线改变5~10°、韧带完整、屈曲挛缩不超过15°的膝关节单间室OA患者;TKA适用于严重的膝关节多间室OA,尤其伴有各种畸形时,往往是严重的KOA患者的最终选择[10,12]。张鹰等[13]对34例以内侧间室受累为主的KOA患者进行分析,其中不均匀沉降术组16例,TKA组18例,不均匀沉降组术后VAS评分、术后优良率、HSS评分虽劣于TKA组,但差异无统计学意义,而不均匀沉降组治疗费用、住院时间少于TKA组,因此应用不均匀沉降术治疗内侧间室KOA有创伤小、操作简单、住院时间短、费用低廉、疗效确切的特点。在徐金华等的研究中,腓骨截骨术组的HSS评分高于TKA组,差异无统计学意义,而治疗效果的优良率上,腓骨截骨组要高于TKA组[14]。
虽然依靠不均匀沉降理论进行腓骨近端截骨术治疗KOA有其独特的优点并在临床中取得了众多满意的结果,但因为其治疗机制尚未清楚,目前依然存在部分患者如本次病例报告中的患者一样,手术效果不佳甚至症状加重的情况,该问题值得每个骨科医生思考。
杨延江等通过解剖学提出"弓弦理论"假说,将骨性结构比作是"弓",外侧肌肉、韧带等软组织看作为"弦";在截骨术前,腓骨头与胫骨外侧髁之间连接紧密,活动度很小,此时"弦"较长,不能拉紧而张力较低;而在截骨术后,比目鱼肌和腓肠肌等小腿肌肉将腓骨向远端牵拉,"弦"拉紧,形成以胫骨平台外侧为支点的一个杠杆结构,撬起股骨内踝,使平台内侧张力减低,膝关节的负重从内侧平台转移向外侧平台,使股骨下端的机械轴重新排列,从而解除内侧间室的骨关节炎症状[15]。腓骨近端截骨术后,腓骨近端与截骨远端失去连续性,外侧副韧带和髂胫束分支紧张,施予外展的力,股二头肌收缩产生斜向后上方的前拉力,上述力量通过腓骨近端、上胫腓联合作用于胫骨近端,可使胫腓骨外旋、外展,术后X线片可显示腓骨近端截骨端外展(图2、图4)。因此在截骨时要注意,若截骨平面过高,腓神经损伤风险增大,肌肉对腓骨截骨近端向下牵拉作用减小,同时受股二头肌的收缩影响,腓骨头对胫骨外侧支撑作用可能仍然存在;若截骨平面较低,近端留置过长,骨间膜及腓骨周围软组织对腓骨近段稳定作用处于优势地位,可阻碍腓骨头下沉,对抗肌肉对腓骨头的向下牵拉作用,不利于胫骨外侧柱的沉降,术后可能对膝关节内侧疼痛的缓解程度不明显[16]。
秦迪等[17]在对腓骨中上段部分切除治疗膝关节内侧间室KOA的治疗效果影响因素分析中发现,对截骨术后HSS评分变化的影响作用由大到小排序为:腓骨头至胫骨平台垂直距离变化>膝关节上胫腓关节炎评分>BMI>上胫腓关节角度>术前HSS评分。肥胖是骨性关节炎治疗的不利因素。膝关节内翻患者BMI过大会导致施加于膝关节内侧间室压力过大,需要更强的肌肉牵拉力才能对抗膝关节负重内翻畸形;对于KOA患者,其下肢肌肉状况下降以及其KOA症状的发生往往互为因果,造成下肢肌量和肌力下降,步态改变以及KOA症状加重的恶性循环[18,19,20]。在TKA翻修术的患者中,BMI>25 kg/m2时的患者的WOMAC评分较差[21]。BMI>30 kg/m2被认为是UKA术后失败率高的重要原因[22]。虽然在《骨关节炎诊疗指南(2018年版)》中将腓骨近端截骨术纳入KOA的手术治疗中,其适应证仅指出"适用于内翻角<100°的内侧间室退行性OA",并未提及其手术禁忌证,因此其"远期疗效有待更高级别的循证医学证据支持"[10]。
因患者部分医学资料的遗失,我们无从了解该患者第1次手术方案选择的依据。在与患者及家属的交流以及部分影像学报告中,分析其初次选择不均匀沉降术原因如下:(1)患者膝关节内侧疼痛,影响日常活动,影像学检查报告提示病变以内侧间隙为主;(2)腓骨截骨术手术成熟,并发症少;(3)不均匀沉降术创伤小,手术费用低,该术式为新兴术式,已在全国部分医院开展并取得良好的反馈,医师已告知患者该手术效果的不确定性,如效果确不理想,患者仍有选择进一步治疗的余地;(4)因该医院条件限制,无进行关节置换的条件。通过表2中数据发现,不均匀沉降术后17个月与15个月相比较,胫骨平台内、外侧均存在进一步的沉降,内侧平台高度由7.00 mm沉降至2.89 mm,外侧平台高度由12.00 mm沉降至9.97 mm,其中内侧平台高度沉降的程度更大,致使内、外侧平台高度差进一步增大,对该KOA患者利用腓骨近端截骨术进行治疗并未取得预期的效果。其原因可能与上述截骨高度、截骨长度和BMI指数等有关,仍有待未来更多病例的进一步研究。与此同时,我们应该考虑到,虽然对该患者施行TKA取得了满意的结果,但是如果在未来的随访中,患者真的发生预期中的不均匀沉降,即外侧平台塌陷程度超过内侧平台,我们下一步的治疗方案又该如何?
综上,利用不均匀沉降术治疗以膝关节内侧间室病变为主的KOA具有良好的发展前景,但该术式起步较晚,病例及相关机制研究较少,其手术操作标准及其适应证禁忌证还有待进一步规范完善。
所有作者均声明不存在利益冲突





















