
前庭阵发症(VP)以反复发作的体位性眩晕为主要临床表现,临床上易误诊为良性阵发性位置性眩晕、梅尼埃病、后循环缺血等疾病。我们报道3例老年患者以发作性眩晕起病,完善颅脑核磁共振检查发现血管压迫前庭神经,经口服卡马西平或丙戊酸钠等药物治疗后眩晕症状好转,最终临床诊断为前庭阵发症。
版权归中华医学会所有。
未经授权,不得转载、摘编本刊文章,不得使用本刊的版式设计。
除非特别声明,本刊刊出的所有文章不代表中华医学会和本刊编委会的观点。
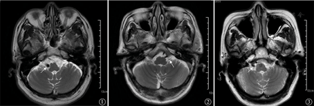
病例1:患者男性,63岁。因发作性眩晕3年、加重3个月入院。患者3年前于站立时出现眩晕,无耳鸣、听力减退,与转动头颈无关,未诊治。近3个月,患者眩晕较前明显加重,站立、行走或转身时即出现,伴双下肢无力,每日发作数十次,持续数十秒至2~3 min缓解。既往有重症肌无力病史。入院查体:生命体征平稳,神清语利,眼球运动正常,有复视,无眼震;双耳听力粗测正常,变位眼震试验(Dix-hallpike test)(-),甩头试验(head-thrust test)(-);心、肺、腹查体大致正常;头颅MRI平扫:右椎动脉扩张迂曲,于右侧延髓处形成压迹(图1);脑干听觉诱发电位(BAEP):左耳Ⅰ波潜伏期延长,双耳Ⅰ~Ⅲ波波峰间期延长;前庭功能检查:视动中枢结果异常,双侧水平半规管功能正常。住院期间予患者改善微循环、改善复视症状后眩晕仍未好转,后予卡马西平200 mg、2次/d口服,患者眩晕发作减少。因患者HLA-B*1502基因3个位点均为突变杂合型,使用卡马西平出现相关不良反应风险增高,遂改为丙戊酸钠200 mg、3次/d口服,患者症状明显好转出院,随访9个月症状未发。


病例2:患者男性,69岁。因反复眩晕1年就诊于我院门诊。患者1年前无明显诱因出现反复眩晕发作,伴有视物旋转、恶心、左耳听力下降,眩晕每次发作时间持续10~15 s,伴恶心,无呕吐。当地医院以良性阵发性位置性眩晕予多次手法复位,症状无改善。门诊完善前庭功能检查:视动中枢正常,位置试验未见异常,双水平半规管功能正常。头颅MRI:双侧椎动脉、基底动脉走行迂曲,左侧小脑前下动脉压迫推移左侧前庭神经(图2)。患者HLA-B*1502基因3个位点均为野生型,予卡马西平200 mg、2次/d口服,患者眩晕症状明显好转,随访7个月症状未发。
病例3:患者女性,75岁。因反复眩晕2年入院。患者2年前无明显诱因出现反复眩晕发作,伴有视物旋转、恶心,右耳持续性高音调耳鸣、右耳听力下降及轻度耳闷堵感,耳鸣于眩晕发作前有加重,每次发作持续约10 s。既往有高血压病史,口服降压药物血压控制良好。入院查体:生命体征平稳,神清语利,粗测右耳听力较左耳下降;心、肺、腹查体大致正常。入院后完善前庭功能检查:视动中枢正常,位置试验未见异常,双水平半规管功能正常;头颅MRI:双侧椎动脉走行迂曲,右侧椎动脉扩张,于外髓处形成压迹,与前庭神经关系密切(图3)。予卡马西平200 mg、2次/d口服,患者眩晕症状明显好转出院,随访3个月症状未见发作。
前庭阵发症最早于1975年由美国Jannetta[1]医生发现,并在1984年正式将其命名为失能性位置性眩晕(disabling positionalvertigo,DPV)[2],10年后该疾病被正式命名为前庭阵发症(vestibular paroxysmia,VP)[3]。该病以反复发作的体位性眩晕为主要临床表现,发病率较低。国外文献报道,VP在眩晕门诊中占3.2%~4.0%[4,5],而国内尚无相关的流行病学资料,易误诊为良性阵发性位置性眩晕(BPPV),老年患者常常误诊为后循环短暂性缺血发作。以上3例VP患者在1~3年后才明确诊断,反映出国内神经科和耳科医生对VP认识明显不足。
目前VP的病因尚不明确,多数学者认为其发病机制与三叉神经痛和面肌痉挛相似,即神经血管交互压迫(NVCC),为血管局部压迫前庭蜗神经(vestibular nerves,VN)[1],并以单侧NVCC最常见[6]。经统计,引起VP最常见的责任血管为小脑前下动脉[5],小脑后下动脉、椎动脉、基底动脉少见[7],也有椎基底动脉迂曲、扩张致病的报道[8,9]。这些血管与VN存在3种关系:无接触关系、接触关系、推移关系,NVCC为后两者。VN出脑干受压后易发生异常放电,导致动作电位在相邻的神经间过度传递而引起眩晕。病例1和病例3均呈现椎基底动脉迂曲扩张表现,与一侧VN呈接触关系或推移压迫关系,病例2见小脑前下动脉与一侧VN呈推移关系,推测这是导致VP的主要病理原因。
VP在临床上主要表现为反复短暂性眩晕发作,多在头位、体位转动时出现,甚至部分患者在静息时也有症状和体征,常伴姿势或步态不稳、恶心或呕吐、单侧耳鸣或耳胀、单耳听觉减退,闭目踏步试验、闭目难立征阳性等。但多数患者仅有眩晕或眩晕伴平衡障碍。眩晕发作持续时间一般为数秒至数分钟,发作频率为1个月数次至每天数次不等,最多可达每天数百次[5]。随着病程的延长,眩晕发作的持续时间亦趋于延长,且听力较多受累,表现为耳鸣及听力下降。VP患者发作间期的常规神经系统查体往往不能发现阳性体征[10]。
合适的辅助检查对VP的诊断具有重要意义。MRI可以清晰显示神经组织和血管组织,Hufner等[5]认为桥小脑区MRI可于95%的患者中发现NVCC。而李艳成等[11]认为应用三维快速平衡稳态进动序列(3D-FIESTA)可清楚显示神经血管的交互压迫,并发现VP患者NVCC的检出率为82.4%。此外,脑干听觉诱发电位(BAEP)作为检测前庭蜗神经功能的重要检查方法,对责任血管压迫神经的部位具有定位作用,有助于评价VP的严重程度。目前VP的诊断多采用巴拉尼协会制定发布的诊断标准[12]:(1)肯定的VP(下述每一条件均需要满足):①至少有10次自发的旋转或非旋转性眩晕发作;②发作持续时间少于1 min;③症状刻板;④卡马西平/奥卡西平治疗有效;⑥不能用其他诊断更好地解释;(2)可能的VP(下述每一条件均需要满足):①至少有5次旋转或非旋转性眩晕发作;②发作持续时间少于5 min;③眩晕发作为自发性或由一定头位诱发;④症状刻板;⑤不能用其他诊断更好地解释。本文中3例患者均符合该诊断标准。由于VP的诊断是排他性诊断,鉴别诊断尤为重要,尤其是老年眩晕患者应与以下疾病鉴别:BPPV[13] 、梅尼埃病[14] 、脑干卒中[15]、外淋巴瘘和上半规管裂。
关于VP的治疗,首选药物为卡马西平[3,5],200~600 mg/d对患者眩晕的发作频率和发作强度即有明显改善。此外文献报道,卡马西平联合甲磺酸倍他司汀治疗VP有较好的效果,应用甲磺酸倍他司汀可使卡马西平用量减少,患者耐受性增加[16]。中国人HLA-B*1502基因常为突变型,口服卡马西平易产生严重皮肤病变[17,18],建议治疗前加测上述基因。对卡马西平不耐受的患者可选用加巴喷汀、丙戊酸钠或苯妥英钠。而对于药物治疗效果不佳或者有药物治疗禁忌且症状较重者,可选择微血管减压术[7,19]。
所有作者均声明不存在利益冲突





















