
版权归中华医学会所有。
未经授权,不得转载、摘编本刊文章,不得使用本刊的版式设计。
除非特别声明,本刊刊出的所有文章不代表中华医学会和本刊编委会的观点。
1837年,法国的舞台艺术家达凯尔(L.J.M. Daguerre)以含银化学物受光照射会产生变化,从而发明了能保留影像的摄影技术[1,2]。1869年,英国物理化学家威廉克鲁克斯(William Crookes)在研究阴极射线管(Crookes tube)时发现实验室的感光板有一种"雾状物",当时他抱怨可能是包装缺陷––出现"漏光"引起的,显然,威廉·克鲁克斯是阴极射线现象的开创性研究者,但他当时没有意识到X射线的存在。1894年,德国物理学家勒那德(Philipp von Lenard)改进了克鲁克斯管(图1),他把阴极射线碰到管壁放出荧光的地方,用一块薄薄的铝片替换了原来的玻璃,结果发现,从阴极射线管中发射出来的"荧光"穿透薄铝片射到外边来了。


1888年,伦琴从瑞士回到德国,开始担任德国维尔茨堡大学物理研究所所长,年轻的伦琴对2位前辈的研究工作十分羡慕,当年43岁的伦琴对克鲁克斯和勒那德的这些实验非常有兴趣,他不止一次地重复过勒那德的实验。1895年,伦琴欣喜地发现,这种阴极射线能够使1 m以外的荧光纸板出现闪光,为了防止荧光纸板偶尔出现的管内闪光的影响,伦琴用一张黑纸把整个管子包裹得严严实实,当天夜晚,他接通了阴极射线管的电源,当他把荧光板靠近阴极射线管上的铝片洞口的时候,偶然发现荧光板亮了,而距离稍微远一点时,荧光板就又不亮了。
为了验证这个实验结论,伦琴又把一个完整的梨形阴极射线管用黑纸包裹好,然后打开几千伏高电压的开关,结果他又一次看到了这一奇特的现象,虽然阴极射线管一点亮光也不露,但是放在远处的荧光板竟然又"神奇的"亮了起来,伦琴当时欣喜若狂却不得其解?他顺手拿起这个荧光纸板,本想吻它一下,然而,一个手骨的影子鬼使神差般地出现在了荧光纸板上[3]。1895年11月8日,伦琴宣布:发现了这个奇特的"射线",因为当时对该"射线"的性质一无所知,所以命名为"未知射线",后来国际组织按照数学上的规则,将未知物一般称为"X",又改为X射线或伦琴射线,尽管伦琴先生当年并不愿意用他的名字来命名。
伦琴发现了"X射线"这一奇特现象,虽然他当时没有直接装配"X射线机",但却搭建了X射线在医学和工业上应用的桥梁。因此,伦琴先生于1901年获得了诺贝尔物理学奖。
据近年网络文献记载,大约在1895年前后,当时荷兰一所中学的校长霍夫曼斯(HJ Hoffmans)和荷兰马斯特里赫特大学医学中心的医学物理学家兰伯特斯(Lambertus Theodorus van Kleef)两人也曾经合作研究过"X射线现象",他们可能比伦琴更早发现"X射线现象"[4,5]。据2011年美国著名的网络电子杂志报道[6],一个由荷兰物理学家,工程师和放射学家组成的科学家团队,在荷兰布满灰尘的一个仓库中找到这台类似于"伦琴"的X射线装置,X射线装置旁边还留有当时拍摄X射线的手部尸体标本;他们测试了这台古董X射线机,发现陈旧的X射线设备拍摄的影像模糊,中心剂量比现代X射线机剂量大10倍,如果用当时采用的荧光板工作,辐射剂量是现代荧光屏的1 500倍,专家推测当时可能没有做过人体实验,因为当时没有更多的辅助工具。
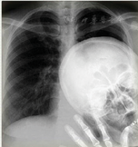
在伦琴发现X射线后的第4天,就有报道"一家医院曾应用伦琴射线在荧光屏上观察到一根进入患者手掌中的铁针,并顺利地取了出来"。1895年12月22日,伦琴将荧光纸板改换为照相干板,并简单拍摄了自己妻子戴有戒指的掌指骨,这是人类历史上第一张X射线照片(图2)[3]。1896年1月1日,伦琴将他拍摄的一些X射线片送给他的朋友们欣赏,这引起了全世界的震动,此后也引起过恐慌,当时传说X射线可以穿透妇女的衣服而窥视到人体内部。


1896年1月5日,X射线的重大发现在报纸上首次被报道,当时英国一个在读大学生叫罗素·雷诺兹(Russell Reynolds),知道这个消息后极为兴奋,就在他父亲的实验室里开始研究装配简易的X射线设备,他在父亲和父亲的朋友大科学家威廉·克鲁克斯(William Crookes)的指导下,成功装配了一台用木头和玻璃管制成的简易"X光机",并命名为Reynolds' X光机,该X光机图片如今保留在英国伦敦的自然科学博物馆内(图3)[3]。


1896年1月23日,伦琴首次向外界展示自己的"X射线管"。1月27日,耶鲁大学的年轻医生亚瑟·赖特(Arthur Wright)实验性地成功拍摄了一张X光片[7],当时美国生理学家坎农(Walter Bradford Cannon)还是哈佛大学医学院的学生,他最早开始用荧光屏跟随钡剂通过动物的消化系统进行研究,这可能与托马斯·阿尔瓦·爱迪生发明X射线荧光屏是同一年[8]。1月29日,美国人格拉布(Émil H. Grubbe)等[9]首次将X射线用于皮肤癌的治疗;2月3日,美国的埃德温(Edwin Frost)兄弟和加拿大的考克斯(John Cox)先后将X射线机用于疾病的诊断,同月有人用X射线第一次拍摄到了子宫内胎儿的图像[1,10]。1896年2月7日,在英格兰的利物浦大学,医生为一个12岁的男孩探察手腕中子弹位置(枪伤),并确认子弹在第三腕掌关节[11]。图4是1896年5月不正当应用情况下拍摄的幼儿X射线照片,该照片当时发表在临床投影档案杂志[12]。图5是德国人1896年设计的用于观察手部骨骼损伤的简易X射线荧光镜[12]。




不久之后,许多国家的医生开始用X射线检测人体骨折或寻找异物以及治疗疾病等。比如,1896年,美国医生格拉布为一个55岁妇女治疗乳腺癌但没有治愈;法国人维克托(Victor Despeignes)用X射线照射治疗胃癌;德国人莱昂哈德(Leonhard Voigt)将其用于治疗鼻咽癌;奥地利的希夫(Schiff)用于治疗红斑性狼疮;也有人将X射线照射用于治疗头发毛囊炎、肺结核和癫痫等。
1896年3月,美国的凯尔(C. Edmund Kells)和罗林斯(W. Rollins)第一个将X射线用于牙科诊断[13]。当时的意大利军队也开始使用X射线检查骨损伤。1897年在巴尔干战争期间,部队军医们用X射线技术发现体内子弹和骨折患者,当时认为该行为类似于普通光射线照射,仅比光的波长短约1 000倍而已,不考虑放射线损害[14]。但那时已经有人发现X射线的损伤报道,却没有引起充分的重视。如美国的托马斯爱迪生(Thomas Edison)[15]报道X射线对眼睛可能有伤害;美籍克罗地亚电气科学家特斯拉(N. Tesla)提醒操作人员不要太接近X射线管;美国医师麦库克(McCook NB.)还在病历书写中记录到有受照者出现"脱发和皮肤变红等"现象[16]。
1896年1月18日,第一台简易X射线机在美国纽约的赌场展示,当时只需要购买0.25美元的门票,就可以体验到"拍摄X光片的魅力",体会做巴黎人(Parisian)的感觉。在1896–1897年间,X射线的非医学应用是多种多样的[17],包括海关搜查炸弹、木乃伊研究、工业无损钢铁接头试验、检测真假宝石,并使用了一个人头骨在一宗谋杀案进行测试的"破案"研究。
20世纪三四十年代,美国人用X射线照射治疗儿童胸腺增大症导致的胸部和甲状腺癌;伦敦一家医院在1939–1955年间治疗了1 432例强直性脊柱炎患者,发现有骨髓抑制和血液肿瘤,那个年代X射线照射的治疗时间要持续2 h左右,患者受照剂量非常大[17]。当时,媒体还吹嘘"神秘的X射线"能够缓解疼痛,承诺可以治疗多种疾病,包括治疗皮肤瑕疵的美容疗法、治疗阳痿和药物成瘾性的治疗等。在20世纪早期,国外发达国家滥用放射线的现象比较普遍。比如,一些贵族妇女将自己健康情况下拍摄的X光片作为礼物送给友人,欧洲当时用X射线直接照射妇女眼部治疗面部上皮瘤(图6)。图7为治疗头痛的媒体广告。




在1938–1950年间,欧洲和美国的一些鞋店销售商还用简易"X射线试鞋镜"(X-ray Shoe Fitter)照射顾客的脚部,以确定鞋子的大小,特别是为低龄幼儿购鞋时的照射等。图8是X射线试鞋镜的图片和当时的宣传广告。由于发现X射线照射可能导致不为人知的辐射损伤和不育症等,1957年美国宾夕法尼亚州第一个禁止商业使用X射线试鞋镜,但其他州仍在使用,甚至还有人申请了"X射线试鞋镜"的专利。美国1967年拍摄的电影"Billion Dollar Brain"就有当时人们买鞋子时使用"试鞋镜"的影片片段,直到1970年,美、英、德、加、瑞士等国家才真正取缔X射线试鞋镜。


20世纪50年代前,人们对放射线对人体损害重视不够,使用的X射线设备十分简陋,X射线机采用热阴极气体真空玻璃管,没有射线准直系统。在此后的十几年里,X射线摄影工作者均没有考虑放射防护的安全问题,放射科室多在阴暗潮湿的地下室,X射线管受潮经常出故障。1898年,英国伦敦皇家医院的医生Harnack和3名助手,在没有任何防护的条件下开始使用X射线机,5年后他们全部出现放射损伤,其中一名死亡,一名患双手放射性皮炎最终截肢(图9)[3]。


这些沉痛的代价让人了解到了X射线的另一个方面––"X射线的危害性",以至于早期就投入X射线研究的大发明家托马斯·爱迪生和他的助手麦迪逊(Clarence Madison Dally)以及米伦·卡萨宾(Mihran Kassabian)等长期从事X射线管实验工作,1990年后2人手部均患皮肤癌症。1903年,当记者问及爱迪生该"事件"真相时,爱迪生痛心地回答说,"别再跟我再谈X射线了……我怕它们………!!"。图10,图11,图12,图13是早期不正当使用X射线机的情况,其中图10为1903年医生在无任何防护条件下进行的胸部X射线透视的操作,该图床下的X射线管是4π立体角发射的无准直操作,医生也没有任何防护措施。图11是50年代在英国简易防护条件下进行的近距离透视操作,但医生有了铅手套和铅围裙等简单防护。在我国,这种透视操作直到80年代初期才禁止。图12是美国部队医院使用移动式床前X射线机为士兵做X射线检查留下的珍贵历史照片;图13是医生和护士用布带固定幼儿来拍摄X射线片的操作。








1956年,美国骨科医师学会为了宣传正确的站姿对骨骼发育的重要性,举行了多期美国"脊椎小姐"选美比赛,选美比赛用X射线摄影评估女性的脊柱曲线。图14是芝加哥美国"脊椎小姐"选美的现场照片,其X射线应用的正当性被扩大化,最后一届美国"脊椎小姐"选美于1969年在田纳西举办,随后"脊椎小姐"选美与众多往事一样消失在了历史的尘埃中。


从X射线诞生的发展历史回顾,19世纪末期X射线在医学、工业和一些生活领域快速应用,德国、法国、英国、俄罗斯、加拿大和美国等国家先后都设计了自己的X射线设备,但技术不成熟,由于那时尚未形成放射诊断的影像学科,医院没有正式地广泛使用X射线技术[12],当时已经发明了听诊器,医生可以通过听诊器听到肺部的"声音"来辨别疾病,而用X射线来辨别肺部等软组织疾病相对困难些。直到20世纪20年代,X射线机才被医院普遍接受作为疾病的影像分析工具。因此,商业用X射线机出现较晚。
据考证,1896年,德国西门子公司(Siemens AG)和美国通用电器公司(GE)生产了较早的商用X射线管产品,但它还不是商用X射线机。1913年,美国化学家William Coolidge设计出用于医学诊断目的的X射线管。1918年,飞利浦公司开始介绍X射线管产品。1928年,Müller和飞利浦公司合作开始研制生产商用X光机,在30年代初期生产出用于探测石油管道等压力容器和港口物品探测的X光机(160~420 kV),1933年又生产出了具有商业规模的医用X射线机,用于欧洲和美国市场。但在此之前,X光机的生产呈无管理状态,欧美一些发达国家可以随意设计、生产和使用X射线机,图15是1915年欧洲某医院在无任何防护条件下进行的现场医学透视会诊,参加会诊的医学专家似乎对X射线的照射和危害泰然处之,没有任何心里负担和屏蔽防护设施。


我国的X射线设备引进也比较早。1896年,梁启超先生第一个把伦琴发现X射线这一最新的物理学发现介绍到了中国,当时的翻译名为"生光物电-透骨像"。上海的《万国公报》也以"光学新奇"为题报道了X射线发现的消息[18]。1897年12月,苏州博习医院(教会医院)就从美国引进了我国历史上较早的一台简易的X射线机。上海嘉永轩主人于1899年从欧洲进口的X射线机,曾在上海当众演示,产生了较大的社会反响[18,19]。1901年,广州的博济医院(现在的孙逸仙纪念医院)引进了一台X光诊断机,并留下了X光机宝贵资料和珍贵图片(图16)。当时,我国这台X光机没有任何防护设施,X射线在室内呈4π方向任意发射,X光片匣倒挂在支架上,患者和操作者相距不足1 m。1903年,博习医院又购买了可供诊断的X光机全套设备。1911年,英籍医生康特(HB·Kent)捐赠给河北省中华医院(现开滦医院)一台小型X射线机[20],其X射线管为冷阴极式三极管,高压裸露。后来,到1918年,浙江慈溪县保黎医院从美国GE公司引进的X光诊断机。但由于当时受中国供电情况限制,大多进行演示而能够开展医学诊断的机构并不多。1919年,美国圣路易华盛顿大学的霍奇(Paul C·Hodges)博士在洛克菲勒基金会支持下,在中国协和医学院开始实施医学疾病的放射诊断和教学,在北平为我国培养了一些放射学先行者,如我国临床放射学教育的奠基人、中山大学附属肿瘤医院的谢志光教授等,一直到1927年霍奇离开中国去了芝加哥大学[21]。但我国X光机的使用也同样是经过从不重视防护到逐渐重视防护的漫长过程,我国医疗照射防护经历了无任何防护、简单个人防护、简单隔离防护和隔室操作防护4个阶段的发展过程,图17是上个世纪末我国某医院拍摄胸部X光片时有病人家属闯入拍摄现场留下的不正当X光片,说明一些医院对病人和陪检者防护仍不重视。




X射线的发现,标志着现代物理学时代的到来;而X射线的应用,使医学发生了巨大变革。在过去的120年里,核和放射技术以其独特的作用在生命科学研究、医学诊断与治疗上做出了重要贡献。但在放射线为人类造福的同时,人类也付出了很大的代价,许多人受到了过量的照射,不少放射科技师、医生、研究人员和患者献出了宝贵的生命。其中包括伟大的科学家居里夫人和她的大女儿(伊雷娜·居里),她们均死于放射性的伤害,由于出现了放射线对人体的损伤和死亡,人们开始关注放射线的防护和研究。
目前,在许多国家仍然存在对放射线使用的正当性和最优化认识不足。我国也曾出现过将X射线技术用于计划生育透环、非最优化的X射线技术用于医学无症状人群的X射线普查等,放射防护课程在我国未能进入医学院校主流课程。1995年,Digital Camera杂志报道英国人Veasey为了找出可乐罐拉环下的10万英镑大奖,租借了X光机对整车可乐罐进行透视扫描等[22]。
目前,我国医疗照射中存在的问题是:①医疗照射正当性原则重视不够,放射诊断的阳性率偏低,患者自身防护措施没有落实;②介入操作和放射性粒子植入医生的个人剂量仍然较大;③在医疗照射正当性和最优化原则下的安全操作未得到重视,一些单位仍滥用X射线检查项目;④放射治疗医学物理师严重不足,质量控制措施缺乏或未得到落实;⑤辐射事故或事件时有发生,未按规定程序上报,存在瞒报、漏报现象;⑥服用放射性药物的核医学患者随意走动,核素治疗患者无留观病床,造成其他无关人员受到照射;⑦医院放射性粒子植入治疗管理混乱,违章乱用现象较普遍;⑧医疗照射潜在危害告知义务在医院没有落实,临床医师和放射学医师的安全文化素养有待提高等。
2014年7月,国际原子能机构(IAEA)正式发布了新的《国际电离辐射防护和辐射源安全基本安全标准(BSS)》,建议世界各国参照使用或建立各自国家"基本安全标准",国际新标准(BSS)已经明确下列实践活动为不正当的:①除涉及医疗照射正当实践外,在食物、饲料、饮料、化妆品或意在由人食入、吸入、经皮摄入或施用于人的任何其他商品或产品中,有意添加放射性物质或通过活化,导致活度增加的实践。②涉及在商品或产品,如玩具和私人珠宝或装饰品中,轻率使用辐射或放射性物质的实践,这些实践通过有意添加放射性物质或通过活化导致活度增加。③用作一种艺术形式或为宣传目的的利用辐射的人体成像。④无特殊原因,为职业、法律、侦查盗窃、反走私或健康保险目的,进行不涉及临床指征的利用辐射的人体成像。如果在例外情况下,政府或监管机构决定考虑这种人体成像的正当性。⑤为探测可能用于构成国家安全威胁的犯罪行为的隐蔽物体而进行的利用人体成像等实践活动,必须由政府确定其正当性,政府必须确保在相关主管部门、专业机构和监管机构之间协商的基础上,制定关于这种人体成像的剂量约束。
综上,在纪念伦琴先生发现X射线120周年之际,本文列举了一些X射线发现早期不正当应用的事例。伦琴虽然发现了X射线的原理和产生X射线的方法,但并没有设计出X射线机在各个学科的推广和应用。
随着X射线技术在工农医学等各个领域的应用,出现了各种类型的X射线机和不同的使用方向。由于在X射线发现的早期,人们并不知道放射线的损伤后果,先后用X射线治疗偏头痛、治疗强直性脊柱炎、治疗肺结核和癫痫、治疗阳痿和药物成瘾性,婴儿拍摄全身X光片、用X射线透视选择鞋子的大小、用X射线摄影技术用于选美比赛、早期欧洲一些妇女将自己拍摄的X光片作为礼物送给友人、X射线美容疗法等不正当使用。
回顾历史上放射线不正当应用的经验和教训,按照新的照射类型分为计划照射、应急照射和现存照射3种情况,强调职业人员放射防护的正当化、最优化和剂量当量限值的3项基本原则,在我国医学和工业、农业各级使用放射线业界普及放射防护基本知识,强化公众对放射防护的认知,强调在考虑了经济和社会因素之后把一切照射保持在可合理达到的尽量低的水平,以保障我国民众的健康权益。
本文只是科普知识介绍,未涉及与任何机构或产品的商业宣传





















