
探讨第3代双源CT低剂量扫描模式结合迭代重建技术在新型冠状病毒肺炎筛查中的应用价值,并评价其辐射剂量。
回顾分析2019年12月至2020年2月在华中科技大学同济医学院进行新型冠状病毒肺炎筛查患者120例,按随机数表法分成试验组和常规组,各60例。试验组采用第3代双源CT机,Turbo Flash扫描模式,开启CARE kV,参考管电压90 kV,螺距2.0,ADMIRE算法。常规组采用128排CT机,常规螺旋扫描模式,固定管电压120 kV,螺距1.2,FBP算法。比较两组图像中主动脉、脊柱后方肌肉及皮下脂肪CT值、主动脉噪声、信噪比(SNR)、对比噪声比(CNR),通过这些客观参数来评价图像质量,由2位高年资影像专家采用双盲法对图像质量进行主观评分,并比较两组图像的CT容积剂量指数(CTDIvol)、剂量长度乘积(DLP)及有效剂量(E)。
试验组患者主动脉、脊柱后方肌肉的CT值分别为(45.38±4.77)和(53.41±8.44)HU,主动脉SNR为2.82±0.59,明显高于常规组的(39.68±6.26)、(42.66±6.32)HU和2.58±0.61(t=5.608、7.897、2.162,P<0.05),而主动脉噪声、CNR及主观评分差异均无统计学意义(P>0.05)。试验组患者CTDIvol、DLP、E分别为(3.09±1.02)mGy、(107.57±32.81)mGy·cm、(1.51±0.46)mSv,常规组分别为(7.00±1.80)mGy、(261.65±73.93)mGy·cm、(3.66±1.03)mSv,试验组明显低于常规组(t=-14.680、-14.756、-14.756,P <0.05)。
在新型冠状病毒肺炎的筛查中,使用第3代双源CT低剂量扫描模式结合迭代重建技术,在获得满足临床需求图像的同时,不仅有效地降低了辐射剂量,还提高了图像的SNR。
版权归中华医学会所有。
未经授权,不得转载、摘编本刊文章,不得使用本刊的版式设计。
除非特别声明,本刊刊出的所有文章不代表中华医学会和本刊编委会的观点。
2019年12月起,湖北省武汉市陆续发现不明原因肺炎病例,经研究发现致病原是一种新型冠状病毒,随后将其命名为新型冠状病毒肺炎(COVID-19)[1]。新型冠状病毒感染后潜伏期长,传染性强[2]。尽管COVID-19确诊主要依靠病毒核酸检测,但其敏感性差,受采样者及采样部位影响较大,会出现假阴性。在疫情防控工作中,影像学检查对疾病诊断具有重要作用[3],尤其是胸部CT扫描对COVID-19的早期筛查和确诊非常重要,成为临床诊断的必检项目。由于众多患者需要进行CT扫描进行筛查,因此如何能降低辐射剂量,减少对受检者的损伤,成为关注的问题。本研究回顾性分析在武汉协和医院进行新型冠状病毒肺炎筛查患者资料,旨在探讨第3代双源CT低剂量扫描模式结合迭代重建技术在新型冠状病毒肺炎筛查中的应用价值。
回顾性分析2019年12月至2020年2月在华中科技大学同济医学院进行新型冠状病毒肺炎筛查患者120例,其中男52例,女68例,年龄23~76岁,平均(51.13±11.62)岁。纳入标准:无呼吸系统症状,有能力完成屏气扫描的过程。排除标准:明确肺部疾病病史;孕妇或严重心、脑、肾疾病及其他不适宜CT检查者。按随机数表法,分为两组,其中60例在西门子第3代双源CT机(SOMATOM Definition Force,德国西门子公司)完成检查,为试验组,男27例,女33例,平均(50.23±11.38)岁;60例在西门子128排CT机(SOMATOM Definition AS+,德国西门子公司)完成扫描,为常规组,男25例,女35例,平均(52±12)岁。
检查前嘱患者去除胸部的金属饰物,训练呼吸,要求患者在深吸气后屏气扫描。患者取仰卧位,双手上举,非检查部位用铅衣保护,吸气相扫描,范围从胸廓入口至横膈水平,包括整个肺野[4]。
试验组:采用西门子第3代双源CT机,Turbo Flash扫描模式,开启曝光自动调节控制Care kV,参考管电压90 kV,参考管电流118 mA,螺距2.0,X射线管旋转时间0.25 s/周,全息光子探测器(stellar infinity),探测器准直192×0.6 mm。获得的图像采用高级模拟迭代重建(advanced modeled iterative reconstruction,ADMIRE)算法,肺窗选BI57,迭代强度为3,纵隔窗选Br40,迭代强度为3。
常规组:采用西门子128排CT机,常规螺旋扫描模式,固定管电压120 kV,参考管电流110 mA,螺距1.2,X射线管旋转时间0.5 s/周,探测器准直128×0.6 mm。获得的图像采用滤波反投影法(FBP),肺窗选B70f,纵隔窗选B30f。
两组相同参数:重建层厚1.5 mm,层间距1.2 mm。图像观察肺窗窗位-600 HU,窗宽1 500 HU;纵隔窗窗位30 HU,窗宽220 HU。原始数据均传至MMWP后处理工作站。
(1)客观评价:①CT值,感兴趣区(ROI)位于主动脉根部平面内的主动脉、脊柱后方肌肉及皮下脂肪,范围0.5 cm2,对每一ROI的CT值分别测量3次,取平均值。②噪声,通过仪器自动读取主动脉噪声值,即主动脉ROI内平均CT值的标准差。③信噪比(SNR),即主动脉ROI平均CT值与噪声之比。④对比噪声比(CNR),CNR=(主动脉CT值-皮下脂肪CT值)/主动脉噪声值[5]。
(2)主观评价:由2位高年资影像专家采用双盲法观察肺窗图像中心肺血管支气管、周围肺血管支气管、主支气管、肺裂及肺内病灶边缘的锐利程度,观察纵隔窗图像心影、肝边缘锐利程度,以评价图像质量。评分标准:5分为边缘清晰,无伪影;4分为边缘略模糊,无伪影;3分为边缘略模糊,有少量伪影;2分为边缘模糊,中等量伪影;1分为大量伪影。定义≥3分的图像符合诊断要求,<3分的图像不符合诊断要求[6,7,8]。
CT容积剂量指数(CTDIvol)及剂量长度乘积(DLP)由计算机自动生成,有效辐射剂量(E)可通过计算获得,E=DLP×k,其中k为剂量转换因子,胸部CT扫描时k=0.014 mSv·mGy-1·cm-1[9]。
所有计量数据经正态性检验用
±s表示。采用SPSS 20.0软件进行分析。对两组患者的性别进行χ2检验,年龄、主动脉根部、脊柱后方肌肉及皮下脂肪的CT值、主动脉根部噪声、SNR、CNR及辐射剂量指标比较采用独立样本t检验。P<0.05为差异有统计学意义。2位高年资影像专家对两组图像质量主观评分的一致性评估采用Kappa检验。Kappa值<0.40为一致性较差;Kappa值在0.40~0.75之间为一致性一般;Kappa值>0.75为一致性好。
试验组患者主动脉(根部水平)、脊柱后方肌肉的CT值及主动脉(根部水平)SNR分别为(45.38±4.77)HU、(53.41±8.44)HU、2.82±0.59,常规组分别为(39.68±6.26)HU、(42.66±6.32)HU、2.58±0.61,试验组明显高于常规组,差异有统计学意义(t=5.608、7.897、2.162,P<0.05)。试验组皮下脂肪CT值为(-104.53±11.52)HU,常规组为(-100.75±8.93)HU,试验组低于常规组,差异有统计学意义(t=-2.008,P<0.05)。主动脉(根部水平)噪声、CNR差异均无统计学意义(P>0.05,表1)。

两组之间CT值、噪声、SNR、CNR的比较(
±s)
Comparison of CT value, noise, SNR, CNR between two groups (
±s)
两组之间CT值、噪声、SNR、CNR的比较(
±s)
Comparison of CT value, noise, SNR, CNR between two groups (
±s)
| 组别 | 例数 | CT值(HU) | 主动脉噪声 | SNR | CNR | ||
|---|---|---|---|---|---|---|---|
| 主动脉 | 肌肉 | 皮下脂肪 | |||||
| 常规组 | 60 | 39.68±6.26 | 42.66±6.32 | -100.75±8.93 | 15.81±2.61 | 2.58±0.61 | 9.10±1.56 |
| 试验组 | 60 | 45.38±4.77 | 53.41±8.44 | -104.53±11.52 | 16.61±2.83 | 2.82±0.59 | 9.33±2.04 |
| t值 | 5.608 | 7.897 | -2.008 | 1.609 | 2.162 | 0.687 | |
| P值 | 0.000 | 0.000 | 0.047 | 0.110 | 0.033 | 0.493 | |
注:SNR.信噪比;CNR.对比噪声比
试验组患者CT表现为:病变位于单侧肺29例,左侧14例,右侧15例,其中上叶2例,下叶27例,仅累及单一肺段者21例,单叶多肺段者6例,多叶多肺段者2例。病变位于双肺31例,其中双肺下叶15例,双肺上叶及下叶同时受累6例,双肺弥漫受累10例。病变呈磨玻璃影39例,实变影7例,磨玻璃合并实变影12例,磨玻璃、实变及条索混合影2例。常规组患者CT表现为:病变位于单侧肺26例,左侧12例,右侧14例,其中上叶5例,下叶21例,仅累及单一肺段者18例,单叶多肺段者5例,多叶多肺段者3例。病变位于双肺34例,其中双肺下叶17例,双肺上叶及下叶同时受累5例,双肺弥漫受累12例。病变呈磨玻璃影35例,实变影6例,磨玻璃合并实变影16例,磨玻璃、实变及条索混合影3例。
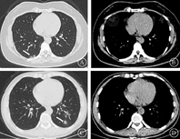
试验组和常规组图像质量均可满足诊断要求(图1),试验组专家1和2主观评分分别为(4.72±0.55)、(4.63±0.58),常规组分别为(4.58±0.56)、(4.60±0.56),差异无统计学意义(P>0.05)。试验组和常规组主观评分一致性检验Kappa值分别为0.804和0.831,说明2位高年资影像专家的图像质量等级评分一致性良好。


注:白色箭头为磨玻璃影
试验组患者CTDIvol、DLP、E明显低于常规组,差异有统计学意义(t=-14.680、-14.756、-14.756,P<0.05,表2)。

两组辐射剂量比较(
±s)
Comparison of radiation dose between two groups(
±s)
两组辐射剂量比较(
±s)
Comparison of radiation dose between two groups(
±s)
| 组别 | 例数 | CTDIvol(mGy) | DLP(mGy·cm) | E(mSv) |
|---|---|---|---|---|
| 常规组 | 60 | 7.00±1.80 | 261.65±73.93 | 3.66±1.03 |
| 试验组 | 60 | 3.09±1.02 | 107.57±32.81 | 1.51±0.46 |
| t值 | -14.680 | -14.756 | -14.756 | |
| P值 | 0.000 | 0.000 | 0.000 | |
注:CTDIvol.CT容积剂量指数;DLP.剂量长度乘积;E.有效辐射剂量
自2019年12月份发现新型冠状病毒肺炎以来,由于其传染性很强,确诊及疑似患者不断增加,已经不局限于中国,开始在全世界范围扩散,因此,早期诊断和治疗很重要。影像学检查是诊断COVID-19快捷、方便的手段之一,胸部X射线检查对于病变处于早期或磨玻璃密度为主改变的漏诊率较高,而CT尤其是HRCT的优势在于其空间分辨率较高,不受层面以外结构的干扰,可以清晰显示病灶的细节,在国家卫生健康委员会《新型冠状病毒感染的肺炎诊疗方案》(试行第五版)中已将CT检查纳入临床诊断的依据[10]。因此,CT检查在COVID-19的早期筛查中至关重要。由于众多患者需要进行CT扫描进行筛查,CT扫描又具有辐射,因此如何能在不降低图像质量的前提下进行低剂量扫描显得尤为重要,而第3代双源CT低剂量扫描模式结合迭代重建技术就可以很好地解决这一问题。
第3代双源CT Turbo Flash扫描模式是一种新型双源CT特有的图像采集方式,两套图像采集系统呈93°装置,具有以下特征:一是时间分辨率高,二是可以大螺距扫描,螺距可达3.4。螺距作为螺旋CT的重要的扫描参数之一,其决定CT的容积覆盖速度并可影响图像质量,但螺距不可过大,否则会导致数据丢失,研究表明螺距与辐射剂量呈反比[11],因此增大螺距可降低辐射剂量。第3代双源CT采用了全新的ADMIRE算法,它是对原始图像进行重建,将原始数据中的噪声投射到图像中,得到的图像是多次迭代重建后的组合,然后将原始数据进行精确的图像校正,对原始数据域进行去噪及去除伪影,最后进行图像域的校正,随着迭代次数的增多,图像噪声越来越低,空间分辨率不受影响[12,13,14]。研究表明,采用第3代双源CT的全息光子探测器联合ADMIRE算法可在保证图像质量的前提下,进一步降低辐射剂量[14,15]。
本研究中,试验组采用了使用西门子第3代双源CT机,采用Turbo Flash扫描模式(大螺距),开启曝光自动调节控制Care kV,参考管电压90 kV(降低了管电压),全息光子探测器,并联合了ADMIRE算法,辐射剂量明显低于常规组。究其原因,一是因为使用了大螺距扫描,大螺距可减少扫描时间,降低辐射剂量;二是因为降低了管电压。研究发现,胸部CT检查中降低管电压或管电流能够减少辐射剂量,但会导致图像噪声升高,使图像质量下降,影响诊断效能[16]。而本研究中试验组运用了ADMIRE算法和全息光子探测器,降低了噪声,保证在管电压降低时的图像质量。ADMIRE算法是全新的迭代算法,可以在保证重建速度的前提下有效降低图像噪声。光子探测器是将X光子直接转化为数字信号,去除了电子噪声和单元串扰,从而保护了微弱信号的准确完整传输,另一方面消除了由于信号丢失及噪声造成的伪影,提高图像质量。Stellar光子探测器可以去除电子噪声,降低图像噪声。有研究发现,通过降低电子噪声的Stellar光子探测器结合迭代重建算法,不仅可以使胸部检查的辐射剂量降低,而且提高了图像的信噪比和对比噪声比[17],这与本研究中试验组SNR高于常规组相符。另外,本研究中试验组主动脉(根部水平)、脊柱后方肌肉的CT值明显高于常规组,究其原因是因为试验组管电压低于常规组,在医用射线能量范围内,随着X射线能量升高(140 keV以下),光电效应减少,康普顿效应增加,组织的衰减系数下降,CT值减小,与管电压成反比关系。而试验组皮下脂肪CT值低于常规组,对于低密度物质,随着管电压的降低,物质的CT值下降,这可能与构成低密度物质的原子序数较低有关[18]。
本研究的局限性:①未分析患者体质量指数对辐射剂量及图像质量造成的影响。②迭代重建技术ADMIRE迭代强度为3,未对1、2、4、5级进行分析。③由于选择层面和ROI时可能会出现差异,导致了图像质量的评价可能有一定误差。
综上所述,在新型冠状病毒肺炎的筛查中,使用第3代双源CT低剂量Turbo Flash扫描模式结合迭代重建技术ADMIRE,在获得满足临床需求图像的同时,不仅有效地降低了辐射剂量,还提高图像的SNR,具有在临床广泛推广的价值。
无





















