
版权归中华医学会所有。
未经授权,不得转载、摘编本刊文章,不得使用本刊的版式设计。
除非特别声明,本刊刊出的所有文章不代表中华医学会和本刊编委会的观点。
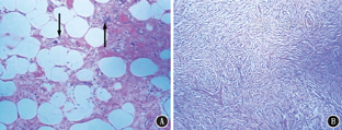
患者,67岁。因左侧阴囊肿物6年,为求进一步诊治于2014年5月4日来我院就诊。患者7年前无明显诱因发现左侧阴囊增大,呈鸡蛋大小,于2007年于外院切除,无病理报告。数月后再次发现阴囊肿物,初始为鸡蛋大小,后逐渐增大至拳头大小,无疼痛不适,无尿急、尿频、尿痛。查体:左侧阴囊明显增大,内可触及不规则肿物,大小约13 cm×10 cm×8 cm,质软,有弹性,无压痛,卧位时体积不缩小,透光试验阴性,左侧睾丸、附睾触诊不清。右侧阴囊及阴囊内容物未触及异常。B超检查示左阴囊内巨大非均质高回声团,左阴囊壁低回声包块。初步诊断:左阴囊肿物。蛛网膜下腔与硬膜外联合麻醉下行阴囊探查加肿瘤切除术。术中见肿物约13 cm×10 cm×8 cm,位于肉膜下,似脂肪组织,睾丸及附睾包埋其中,游离肿瘤并切除。大体:带少许皮肤的肿物一个,大小13.5 cm×13.0 cm×7.0 cm,似有包膜(图1),切面呈灰白、淡黄色,质软;切面见睾丸组织,大小3.5 cm×3.0 cm×2.5 cm;肿物周围软组织内触及一肿物,大小2.0 cm×2.0 cm×1.5 cm,切面为灰褐色,质中。镜下:肿物大部分为成熟的脂肪细胞,其中散在核深染的单核或多核细胞,被称作小花样细胞;肿物内可见纤维细胞、胶原纤维及慢性炎细胞(图2)。河北医科大学附属第四医院会诊结果:左侧阴囊多形性脂肪瘤伴纤维瘤。术后随访10个月,未见复发。


A.镜下可见除成熟的脂肪细胞外,还有核深染的巨细胞(↓)以及小花样多核巨细胞(↑),多形性细胞间有丰富的胶原纤维;B.肿物内见纤维细胞、胶原纤维及慢性炎细胞























