
版权归中华医学会所有。
未经授权,不得转载、摘编本刊文章,不得使用本刊的版式设计。
除非特别声明,本刊刊出的所有文章不代表中华医学会和本刊编委会的观点。
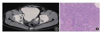
患者,男,59岁,2015年11月11日因排尿不畅伴尿痛2年,肉眼血尿2 d入院。患者入院前5个月曾因排尿不畅伴尿痛行膀胱镜检查,见膀胱左侧壁一直径约2.5 cm憩室,邻近左输尿管开口,当时予保守治疗改善排尿症状。查体:耻骨上区未及明显充盈,深压痛(+)。直肠指检:前列腺Ⅰ°大,质韧,未及结节,无触痛,中央沟变浅,指套无染血。尿常规检查:尿潜血(3+),尿白细胞(3+),尿蛋白(+)。B超检查示前列腺增生伴钙化,膀胱憩室。尿流率检测:最大尿流率14.6 ml/min。盆腔CT检查:膀胱左后方憩室,憩室壁欠规整、增厚(图1)。术前诊断为膀胱憩室伴感染,前列腺增生。全麻下行膀胱憩室切除术+左输尿管膀胱再植术。病理检查:灰白色囊壁样组织,大小约8.0 cm×5.0 cm×0.4 cm,囊内壁光滑,局灶咖啡色。镜下见(膀胱憩室)浸润性低分化尿路上皮癌累及送检膀胱憩室壁全层。于2周后行根治性全膀胱切除术+双侧输尿管皮肤造口术。病理检查:膀胱约8.0 cm×7.0 cm×5.0 cm,膀胱左下壁厚、质硬,切面灰白,质硬区范围4.0 cm×3.0 cm;见完整双侧精囊腺及前列腺,左盆腔淋巴结2枚。镜下见膀胱憩室化生性癌,部分区域为浸润性高级别尿路上皮癌,部分区域为鳞状细胞癌,部分区域为骨肉瘤(图2);癌组织紧邻左侧精囊腺,左输精管及右精囊腺未见癌浸润;前列腺未见癌浸润;左盆腔淋巴结2枚未见癌转移。免疫组化染色检查:CKp(++),CK7(+++),P40(+),CK5/6(+)。术后予辅助盆腔放疗,累计照射5 000cGy/25次,予紫杉醇脂质体+顺铂辅助化疗2个周期。术后随访6个月未见肿瘤复发。


膀胱憩室合并恶性肿瘤并不少见,肿瘤大多位于憩室内。膀胱肉瘤样癌是指形态学和/或免疫组化证实具有向上皮和间叶组织双向分化的恶性肿瘤。2004年WHO将恶性上皮成分并异源性恶性间质成分构成的复合性恶性肿瘤正式命名为肉瘤样癌,适用于所有膀胱双相恶性肿瘤(包括原来所说的癌肉瘤),其中癌与肉瘤成分可相互独立也可相互移行[1]。本例病理提示部分区域为浸润性高级别尿路上皮癌,部分区域为鳞状细胞癌,部分区域为骨肉瘤。符合膀胱肉瘤样癌的病理特征。
膀胱肉瘤样癌临床症状缺乏特异性,最终诊断还要依靠病理,病理上的难点在于与各种间叶来源的恶性肿瘤相鉴别。应尽可能多地在肿瘤与周围相对正常黏膜的移行处取材,防止遗漏癌性组分而单纯诊断膀胱肉瘤。免疫组化上皮性标志物(CK,EMA,keratin等)有助于鉴别。膀胱肉瘤样癌是一种恶性程度高、进展快、预后不良的恶性肿瘤。Wang等[2]认为临床分期是影响生存期的唯一重要预测指标。Atilgan等[3]提出肉瘤样癌可以通过积极综合性的治疗延长生存期。 Hoshi等[4]报道了新辅助化疗后膀胱肉瘤样癌患者完全缓解的案例。本例患者术后予盆腔放疗,随访6个月未见肿瘤复发。





















