
版权归中华医学会所有。
未经授权,不得转载、摘编本刊文章,不得使用本刊的版式设计。
除非特别声明,本刊刊出的所有文章不代表中华医学会和本刊编委会的观点。
例1 67岁,因阴囊肿块进行性增大2年于2013年12月3日入院。查体:阴囊下方正中可触及2个大小分别为3.0 cm×4.0 cm和2.0 cm×3.0 cm的实性包块,质硬,表面不光滑,无压痛,与睾丸、附睾分界清楚。阴囊皮肤无红肿。平卧位阴囊包块不能回纳入腹腔,透光试验阴性。血清肿瘤标志物β-绒毛膜促性腺激素(β-HCG)和甲胎蛋白(AFP)均正常。B超检查示阴囊多发性纤维脂肪瘤,阴囊CT检查示双侧阴囊内类圆形低密度灶,边界清楚,大者直径2.5 cm,增强扫描未见强化,考虑囊肿。硬膜外麻醉下行阴囊肿物切除术。术中见精索处5枚似脂肪瘤样肿物,最大者3.0 cm×4.0 cm,最小者1.0 cm×2.0 cm,肿物位于睾丸鞘膜腔外,与睾丸、附睾分界清楚,遂将精索肿物切除。术后病理:大体标本呈灰黄色,共5枚,体积8.0 cm×7.0 cm×5.5 cm,切面灰黄色,分叶状,实性,质地中等。病理诊断:精索高分化脂肪肉瘤。随访36个月无瘤生存,无远处转移。
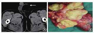
例2 54岁,因左侧阴囊复发性肿物进行性增大4年于2014年8月24日入院。既往于2007年8月、2009年8月先后在当地医院行阴囊肿物切除术,术后病理诊断均为阴囊脂肪瘤。此次入院查体:左侧阴囊内可扪及团块状肿物,11.0 cm×5.0 cm,平卧位不消失,透光试验(-)。B超检查示左侧阴囊上方探及一大小为11.8 cm×4.9 cm的强回声团块,边界清,内回声不均,其内未见明显血流信号,考虑脂肪瘤。阴囊CT平扫检查(图1A)示左侧阴囊内最大截面为5.2 cm×7.1 cm不规则形低密度灶,边界模糊不清,密度均匀,平均CT值为-104 Hu,增强扫描病灶呈轻度不均匀强化,左侧睾丸显示不清,考虑脂肪瘤或脂肪疝可能,腹部CT检查未见明显异常。硬膜外麻醉下行左侧阴囊肿物及左侧睾丸、附睾切除术。术中取左侧腹股沟区斜切口,向下至阴囊根部,长约10 cm,术中见肿物位于精索处,与精索粘连重,遂在内环口处高位结扎精索,完整切除左侧精索、睾丸、附睾及周围脂肪组织。术后病理检查:精索长6.5 cm,直径1.5 cm,一侧连有灰黄色分叶状肿物,肿物体积14.0 cm×11.0 cm×5.0 cm,切面灰黄,质软脆(图1B)。病理诊断:精索脂肪瘤样脂肪肉瘤,睾丸、附睾未见累及。随访27个月无瘤生存,无远处转移。


A.例1阴囊CT平扫示左侧阴囊内不规则形低密度灶,边界模糊不清,密度均匀(箭头所示); B.例2手术标本可见肿物灰黄色,呈分叶状,切面灰黄质软脆
精索脂肪肉瘤临床罕见,多发生于中老年,恶性程度较低,预后良好[1]。根据细胞成分的不同,可分为:①高分化脂肪肉瘤(脂肪瘤样、硬化型、炎症型);②黏液样脂肪肉瘤;③圆形细胞脂肪肉瘤;④多形性脂肪肉瘤;⑤去分化型脂肪肉瘤。精索脂肪肉瘤临床上通常表现为腹股沟区或阴囊内缓慢生长的无痛性肿块[2]。阴囊B超、CT、MRI等影像学检查对定位诊断有一定意义,但是术前定性确诊困难,极易误诊为腹股沟疝或脂肪瘤等其他良性肿瘤[3]。最终确诊主要依靠病理检查。
精索脂肪肉瘤的治疗首选手术切除。Gomez等[4]认为精索脂肪肉瘤单纯部分切除即可达到治疗目的。对高分化精索脂肪肉瘤仅切除肿瘤组织的复发率与根治性切除术无明显差异。但多数学者[5,6,7,8]研究发现精索脂肪肉瘤的瘤体外包膜实际是一层肿瘤细胞与结缔组织形成的假包膜,肿瘤细胞向周围组织侵犯并产生跳跃式扩散,故推荐行高位根治性睾丸切除术,不主张行盆腔和腹股沟区淋巴结清扫,除非有明确淋巴结转移证据。复发或恶性程度较高的脂肪肉瘤,术后可辅以放、化疗。本组例1术中发现肿物位于睾丸鞘膜腔外,与睾丸、附睾分界清楚,遂将精索处肿物广泛切除。例2为复发患者,遂行高位根治性睾丸切除术。术中均未行淋巴结清扫,术后均未行放、化疗,效果良好。
精索脂肪肉瘤的预后与病理组织学类型密切相关。高分化和黏液样脂肪肉瘤进展相对缓慢,预后良好,手术切除后5年生存率可达85%以上。去分化型与多形性脂肪肉瘤预后差,易发生转移,5年生存率约为20%[7]。无论何种类型的精索脂肪肉瘤,术后都容易复发[8]。因此术后长期随访与复查非常必要。
精索脂肪肉瘤罕见,术中所见肿物外观与脂肪瘤相似,所以本组患者均未行快速冰冻病理检查。我们复习文献并总结经验,认为术中快速冰冻病理检查意义重大,不仅可明确诊断,还可决定手术方式的选择。对于高分化精索脂肪肉瘤由于其恶性程度低,转移的可能性较小,首次手术可选择单纯部分切除,术后应密切随访,一旦病灶复发,可选择经腹股沟途径根治性切除术。其他恶性程度高的类型,建议选择经腹股沟途径根治性切除术。术后应定期复查和长期随访。





















