
版权归中华医学会所有。
未经授权,不得转载、摘编本刊文章,不得使用本刊的版式设计。
除非特别声明,本刊刊出的所有文章不代表中华医学会和本刊编委会的观点。
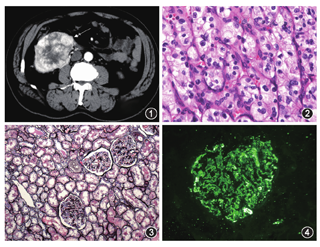
患者,男,62岁。2017年7月10日因发现右肾占位伴双下肢水肿2个月入院。患者2个月前无明显诱因出现双下肢凹陷性水肿。无眼睑浮肿,无腰痛、肉眼血尿。既往高血压病史10年。查体:血压150/90 mmHg(1 mmHg=0.133kPa),双下肢中度凹陷性水肿。实验室检查:白蛋白16 g/L,总胆固醇8.13 mmol/L,甘油三酯1.84 mmol/L,红细胞沉降率50 mm/h,肌酐69μmol/L,免疫球蛋白G(IgG)5.65 g/L,M型磷脂酶A2受体(PLA2R)抗体140.6 ng/ml,抗中性粒细胞胞质抗体、抗蛋白酶抗体、抗髓过氧化物酶抗体均为阴性,补体3、补体4正常。尿红细胞计数27.0 /μl,尿沉渣分析可见蛋白管型,24 h尿总蛋白定量22.07 g/24h。临床诊断考虑肾病综合征。胸腹部增强CT检查示双肺多发结节,大者约1.5 cm,转移瘤可能;右肾下极9.9 cm×7.6 cm肿物,动脉期不均匀强化(图1)。全麻下行腹腔镜根治性右肾切除术。术后病理检查:右肾下极肿物大小7.0 cm×6.5 cm×5.5 cm,切面多彩状。镜下观察肿瘤细胞为透明样,符合肾透明细胞癌(WHO 2级),局部侵及被膜和周围脂肪组织(图2)。免疫组化染色检查:PAX-8(+),AE1/AE3(+),CD10(+),EMA(+),P504(+),RCC(+),Vimentin(+),CA9(-),CK7(-),TFE3(-)。术后病理分期为T3aN0M1。为明确肾病综合征病因,取少量正常肾组织标本行病理检查:光镜下全片肾小球数量100个,12个球性硬化,肾小球细胞数未见明显增多,偶见节段性系膜细胞增生和系膜基质增多,肾小球基底膜僵硬,上皮下可见嗜复红物质沉积。肾小管上皮细胞可见浊肿变性,管腔内可见蛋白管型,数处小灶性的肾小管基底膜增厚和肾小管萎缩。间质可见数处小灶性的纤维化,伴有少量单个核为主的炎症细胞浸润(图3)。免疫荧光下可见IgG沿肾小球基底膜细颗粒样沉积(图4),根据染色程度判断IgG类型主要为IgG4。诊断为膜性肾病Ⅰ期。术后1周开始索拉非尼靶向治疗。术后随访3个月,各项指标逐渐好转,双下肢水肿消失,血白蛋白升至26 g/L,24 h尿蛋白降至9 g/24 h。


膜性肾病是成年人肾病综合征最常见病因,75%~80%的病例为特发性,没有明确的药物、感染或肿瘤事件发生。其特征是抗原-抗体免疫复合物沉积在肾小球毛细血管壁上皮表面,主要在足细胞,而PLA2R是表达于足细胞膜的一种抗原[1]。Ponticelli等[2]已经证实特发性膜性肾病是一种针对足细胞PLA2R产生自身抗体的自身免疫性疾病。在我国人群中,PLA2R抗体检测是诊断膜性肾病的特异性标志物[3],通过免疫抑制剂治疗能改善预后[4]。结合本例患者大量蛋白尿、低蛋白血症、高水肿、高脂血症、PLA2R抗体升高以及特殊染色、免疫荧光等检查特征性的表现,膜性肾病的诊断明确。
膜性肾病在肾小球疾病中与实体恶性肿瘤的相关性最密切,发病率约10%[5],肺癌、胃癌、前列腺癌是最常报道的肿瘤类型,但在临床上很难区分膜性肾病是原发性还是继发性,主要通过诊断性治疗来判断,继发性膜性肾病在肿瘤切除后,肾病综合征症状能明显改善。本病具体发病机制目前并不明确,可能是肿瘤相关抗原与抗肿瘤抗体形成免疫复合物沉积在肾小球,或者是恶性肿瘤改变了机体的免疫状态,使机体对内源性或外源性抗原更加易感,从而触发抗原抗体反应,出现免疫复合物沉积肾小球。国外也有报道肾癌继发膜性肾病的病例,但十分罕见。仅有1例报道PLAR2R阳性型膜性肾病考虑可能继发于肾透明细胞癌[6]。微小病变肾病、局灶节段性肾小球硬化、IgG4相关性疾病等合并肿瘤时也可致肾病综合征,但结合本例病理、免疫组化、特殊染色等检查结果以及肾脏外无累及器官表现,且肿瘤较大,应有多年病史,而双下肢水肿仅2个月,故考虑膜性肾病继发于肾细胞癌可能性大。在原发肿瘤切除后,肿瘤负荷很大程度上下降,血白蛋白及24 h尿蛋白也逐渐好转,但考虑到患者有肺部转移灶,仍需长期进行靶向治疗。





















