
版权归中华医学会所有。
未经授权,不得转载、摘编本刊文章,不得使用本刊的版式设计。
除非特别声明,本刊刊出的所有文章不代表中华医学会和本刊编委会的观点。
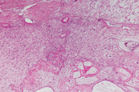
患者,女,44岁。2019年2月21日因体检CT检查发现右侧腹膜后占位1周入院。无明显临床症状。查体:腹部未触及明显包块,全身未触及浅表淋巴结肿大。泌尿系统CTA+CTU检查:右腹膜后脊柱旁占位,占位毗邻下腔静脉和右肾动静脉,内见多发点状致密影及小圆形极低密度影,增强可见不均匀强化。胸部CT检查未见明确转移灶。入院诊断:右腹膜后肿瘤。全麻下行右腹膜后肿瘤切除术。取经腹反L形切口,肿瘤位于下腔静脉后方,不固定,分叶状,有包膜,大小约7 cm×7 cm。肿瘤毗邻下腔静脉和右肾静脉,下腔静脉及双侧肾静脉受压推移。完整游离肿瘤并顺利切除,术中出血少。术后病理检查:肿瘤大小7 cm×6 cm×3 cm,镜下观察见梭形细胞肿瘤伴多量组织退变,实质成分较少,囊性变及钙化形成,其内可见少量玻璃样变的血管(图1),部分肿瘤细胞轻度多形性,但核分裂象罕见。免疫组化染色检查:肿瘤细胞SMA、Desmin、EMA、S100、SOX10、Ki67均阴性,CD34阳性。病理诊断倾向为软组织多形性玻璃样变血管扩张性肿瘤(pleomorphic hyalinizing angiectatic tumor of soft parts,PHAT)。术后第6天出院,未行其他治疗。术后3个月复查CT未见局部复发。


肿瘤细胞多形性,可见扩张的薄壁血管及周围玻璃样变物质、组织退变及钙化,以及囊性扩张区
PHAT为一种罕见的软组织肿瘤,生长缓慢,瘤细胞分化方向不确定,伴局部侵袭性生物学行为。目前,英文文献报道<100例[1],中文文献报道27例[2]。PHAT最常见的发病部位为下肢(65%),尤其是踝和足,其次是上肢和躯干,很少发生在体腔深部软组织;好发于成年人,但各年龄段(10~89岁)均可发生;男女均可发生,以女性略多见,女∶男为1.25∶1[3]。PHAT多无明显临床症状,常因触及局部肿大包块或体检影像学检查发现而就诊,临床诊断多为血肿、血管瘤、畸胎瘤或其他良性肿瘤。本例发病情况与文献报道基本一致,属于发生在体腔深部的PHAT,较罕见。影像学检查有助于PHAT的早期诊断,但提供信息有限,本病确诊仍依靠病理检查。大体标本肿瘤可呈圆形或类圆形、分叶状或结节状,质韧,常无包膜或有完整假包膜,边界尚清楚。镜下观察有特征性形态学改变[4]:①成簇的薄壁扩张血管,管壁见纤维素沉着,伴玻璃样变,部分血管可见血栓;②散在核大深染的多形性细胞,但核染色质细腻,核分裂象非常少见,部分细胞可见核内包涵体;③大量含铁血黄素沉着;④间质见混合性炎症细胞浸润。本例镜下观察符合上述特征性改变,但含铁血黄素沉着较少见。免疫组化染色检查:肿瘤细胞Vimentin弥漫强阳性,约50% CD34阳性,部分CD99、 FⅩⅢa、VEGF及Ki-67阳性,而S-100蛋白均为阴性。
PHAT局部中位复发时间为43.9个月,局部复发率可高达33%~50%[1]。治疗方式多采用局部扩大切除术、局部单纯切除术、局部混合切除术,目前尚无转移的报道。文献报道了41例PHAT患者,完整随访18例,随访时间13~420个月,其中6例复发,16例手术切除后无瘤生存,2例带瘤生存[4]。
所有作者均声明不存在利益冲突





















