
气肿性膀胱炎是一种罕见的膀胱炎症,严重者可危及生命。我院收治1例气肿性膀胱炎患者,同时合并前列腺增生、糖尿病、双侧肾输尿管积水、双侧输尿管末端积气。给予积极监测并控制血糖、留置导尿、抗感染等治疗后,复查CT提示膀胱腔内及壁内气体减少,各项检查指标均较前好转,各项指标正常后拔除尿管,随诊1个月未复发。
版权归中华医学会所有。
未经授权,不得转载、摘编本刊文章,不得使用本刊的版式设计。
除非特别声明,本刊刊出的所有文章不代表中华医学会和本刊编委会的观点。
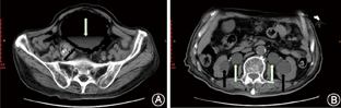
患者,男,81岁。因进行性排尿困难3年余、加重4 d于2020年10月8日入院。排尿困难加重后伴明显的腹痛、腹胀。查体:下腹膨隆,触痛(+),叩诊呈鼓音。既往糖尿病史13余年,平素虽规律口服盐酸二甲双胍肠溶片降糖治疗,但未监测血糖,入院时空腹血糖12.3 mmol/L。血常规示白细胞19.7×109/L,中性粒细胞0.907;血生化示尿素氮16.47 mmol/L,肌酐233.3 μmol/L,钾2.90 mmol/L;尿常规示尿潜血(+),尿蛋白(++),尿葡萄糖(++),尿镜检红细胞293个/HP,白细胞809个/HP。泌尿系超声检查示,双肾积水,双侧输尿管扩张,前列腺增生。腹部立位X线片:盆区类圆形气体密度影,边缘毛糙,伴气液平面。腹盆部CT平扫:膀胱壁内多发气体影,膀胱腔内可见气液平面,双侧肾盂、肾盏及输尿管扩张积液,双肾轻度萎缩,双侧输尿管末端可见气体影,前列腺增生(图1)。结合病史、临床症状、实验室及影像学检查,诊断为气肿性膀胱炎(emphysematous cystitis, EC)。于急诊留置导尿,可见大量气体排出,尿液浑浊,后腹痛、腹胀缓解;予盐酸莫西沙星抗感染治疗,同时行尿细菌培养+药敏试验,感染未见好转。


经全院会诊后给予积极监测并控制血糖;尿细菌培养结果提示大肠埃希菌感染,根据药敏结果将抗生素更换为美罗培南抗感染治疗;导尿管持续开放,保证尿液引流通畅;予补钾支持治疗。经上述治疗3 d后,复查血常规示白细胞9.8×109/L,中性粒细胞0.760;血生化示尿素氮8.47 mmol/L,肌酐70.3 μmol/L,钾3.62 mmol/L,各项指标较治疗前明显好转。复查腹盆部CT平扫:膀胱壁内及腔内气体较前明显减少,双侧肾输尿管积水扩张较治疗前明显减轻(图2)。嘱患者院外口服敏感抗生素治疗并控制血糖,出院1周后复查上述实验室检查指标均恢复正常,嘱患者拔除尿管后规律口服治疗前列腺增生的药物,改善患者排尿症状,以预防本病的复发。出院后1个月,电话随访,患者无不适症状,未再就诊。


EC是一种复杂且罕见的泌尿系统感染性疾病。EC致病原因多样,包括糖尿病、尿路感染、膀胱损伤、各种原因所致的下尿路梗阻、神经源性膀胱、免疫缺陷、药物因素等,其中糖尿病和尿路感染是本病最常见的病因[1]。该患者既往有糖尿病病史且血糖控制不佳,尿细菌培养结果为大肠埃希菌感染,EC的发病机制可能是:致病菌能酵解膀胱壁组织内大量的葡萄糖而产生气体(CO2),形成壁内无上皮衬里的气泡,当产生的气体量较大时,气泡溃破,气体进入膀胱腔内;同时膀胱腔内的细菌也可以酵解尿中的葡萄糖而产生大量气体[2]。
EC缺乏特异性的临床症状,主要有腹胀、腹痛、血尿、气尿、尿频、尿急、排尿困难、尿潴留、恶心、呕吐等。本例患者为老年男性,以腹痛、腹胀、排尿困难的症状就诊,查体下腹膨隆,触痛(+),叩诊呈鼓音,行腹盆部CT平扫后诊断为EC。因此,当老年糖尿病患者因以上临床症状就诊时,临床医生应考虑到EC的可能。EC的诊断主要依靠CT检查,腹部立位X线片检查在EC病变早期气体较少时常受肠管气体影响,容易漏诊。泌尿系超声检查由于受气体干扰,作用有限,但对是否合并上尿路病变有辅助诊断作用。而CT可清晰地显示膀胱壁、膀胱腔内及膀胱周围病变的程度和范围,典型表现为:膀胱壁内有泡状气体影,当部分气泡串连时,表现为串珠状;膀胱腔内可出现气液平面;膀胱壁外周可有气体带环绕,呈"气抱球样"改变[3]。同时,该患者CT检查还显示双侧肾输尿管积水、双侧输尿管末端积气、肾功能不全、双肾萎缩,前列腺增生,提示该患者膀胱腔内气体及尿液大量积聚导致膀胱内压增加,引起双侧肾输尿管积水、双侧输尿管末端积气,并且已影响了肾功能,如病情进一步恶化,可影响患者生命,所以应尽早诊治[4,5]。
EC治疗方法主要包括:①留置导尿,解除下尿路梗阻,保持尿管持续开放;②控制感染,先经验性使用广谱抗生素,根据尿细菌培养和药敏试验结果选用敏感抗生素抗感染治疗;③积极寻找病因,治疗原发病。其他辅助治疗方法有膀胱冲洗、膀胱灌注等[6]。如果药物治疗效果不佳或存在严重的坏死性感染,则应行外科手术治疗,包括清创治疗、膀胱部分切除术、膀胱切除术等[7]。该患者药物治疗效果明显,复查感染指标和CT检查均有明显好转,因此未行手术治疗。
综上所述,EC虽然是一种罕见的泌尿系感染疾病,但对于患有糖尿病等基础疾病的老年患者,临床医生应该考虑到该病的可能。尽早行CT检查明确诊断,使患者可以尽早治疗,避免病情进一步加重,危及生命。
所有作者均声明不存在利益冲突





















