
肾透明细胞癌胆囊转移临床较少见。本文报道1例左肾透明细胞癌根治术后2年发现胆囊转移患者的病例资料。该患者行腹腔镜胆囊切除术,术后病理确诊为肾透明细胞癌胆囊转移。术后予舒尼替尼靶向治疗,随访5个月,未见其他部位转移。
版权归中华医学会所有。
未经授权,不得转载、摘编本刊文章,不得使用本刊的版式设计。
除非特别声明,本刊刊出的所有文章不代表中华医学会和本刊编委会的观点。
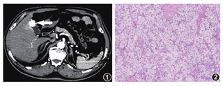
患者,男,71岁。2017年11月体检发现左肾肿瘤,双肾增强CT检查示左肾上极类圆形肿块,大小约6 cm×5 cm,密度不均,增强扫描动脉期呈明显不均匀强化。术前诊断为左肾肿瘤。行腹腔镜根治性左肾切除术。术后病理诊断为左肾透明细胞癌,肿瘤大小约5.7 cm×4.5 cm×3.5 cm,WHO/ISUP核分级3级,肿瘤侵犯肾被膜,紧贴肾周脂肪组织。免疫组化染色检查:Vimentin(+)、CK7(-)、CK8(+++)、CD10(+)、E-Cadherin(+)、P504S(+)、CD117(-)、P63(-)、TFE3(-)、Melanoma(HMB45)(-)、PAX-8(+)、CA9(++)、CD34(-)。病理分期为pT3aN0M0期。术后未进一步治疗,长期门诊随访。2019年11月21日门诊随访,肝胆胰脾彩色多普勒超声检查示胆囊占位。患者无不适主诉,遂转至我院肝胆外科。上腹部增强CT检查(图1):胆囊底部壁增厚,腔内可见凸起软组织密度影,大小约2.0 cm×1.5 cm,增强后有明显强化,考虑胆囊恶性肿瘤。磁共振胰胆管成像检查:胆囊底部可见一结节状等/稍高T1、等T2信号。PET-CT检查未见其他部位转移灶。肿瘤标志物均正常。结合病史及影像学表现,考虑为胆囊恶性肿瘤,肾转移癌不排除。行腹腔镜胆囊切除术,术中快速冰冻病理检查:上皮源性恶性肿瘤,结合病史,首先考虑肾细胞癌转移。术后病理检查(图2):肿瘤大小约2.5 cm×1.6 cm×0.8 cm;胆囊壁内异形细胞浸润性生长,瘤细胞大部分胞质透明,呈实性、巢团状、腺泡状排列,核小,核仁不明显,间质富含纤细的毛细血管网。免疫组化染色检查:Vimentin(+)、PAX-8(+)、CA9(+)、CD10(+)、CK7(-)、CK8(+)、P504S(+)、CK19(-)。结合病史,符合肾透明细胞癌胆囊转移。术后经多学科讨论,予舒尼替尼50 mg,每日1次,4/2方案治疗。随访5个月,未见肿瘤复发和新转移灶。


肾透明细胞癌是肾癌最常见的病理类型,占肾原发肿瘤的70%~80%,肾透明细胞癌远处转移较常见,常见的转移部位为肺、骨、脑等,胆囊转移较少见,仅占0.6%[1,2]。肾癌胆囊转移绝大多数为单发,不伴其他部位转移,且多见于肾癌术后[3]。
本病增强CT或MRI检查大部分表现为窄蒂息肉样肿块,但少数可表现为浸润性生长。肿瘤保持了肾透明细胞癌的组织表现,即血供非常丰富,增强CT或MRI检查早期增强比较明显[4]。超声检查肿瘤同样表现为窄蒂息肉样肿物,表面覆盖高回声层。但因肿瘤进展不同,有时并无典型的影像学表现。本例增强CT检查肿瘤有明显强化,但形态非窄蒂息肉样,单纯依靠影像学表现,很难准确区分是否为转移灶,需结合患者病史。PET-CT可用于检查其他部位是否合并转移。
本病病理检查镜下表现为肿瘤细胞呈实性、巢状、腺泡状排列,胞质丰富、透明,少数淡粉染,细胞边界清晰,核圆形、核仁不明显,间质富含纤细的毛细血管网[5]。免疫组化染色检查Vimentin、CD10、P504S、PAX-8、CA9均(+),CK7(-)支持肾透明细胞癌。研究结果表明,肾源性标志物RCC、PAX-2和PAX-8表达阳性具有鉴别诊断意义[6]。
本病需与以下疾病鉴别:①胆囊良性息肉,通常也表现为窄蒂息肉样新生物,但大多<1 cm,镜下表现为泡沫状组织细胞聚集、炎症细胞浸润,表面由胆囊黏膜覆盖,无毛细血管网。②胆囊原发透明细胞腺癌,是胆囊原发腺癌的一种亚型,发生率较低,多见于女性,常伴胆囊结石,而肾透明细胞癌胆囊转移常见于男性,且多无胆囊结石病史。两者镜下都可见胞质透明的肿瘤细胞,但后者常混杂普通腺癌的形态,伴随促纤维反应的间质,而前者是具有特征性的富含毛细血管网的间质[7]。免疫组化染色检查也可区分二者,胆囊原发透明细胞腺癌中CEA、CK7、CK19为(+),Vimentin(-),而肾透明细胞癌胆囊转移灶中CK7、CK19和CEA常为(-),Vimentin、PAX8、CA9、CD10(+)[8]。③胆囊乳头状腺癌,增强CT表现为乏血供肿瘤,浸润性生长或向腔内生长,常伴有血CEA、CA19-9、CA125升高,镜下见乳头状结构,细胞内含黏液成份,间质不伴毛细血管网,免疫组化染色检查CK7(+),PAX-8(-)[9]。
肾透明细胞癌胆囊转移需手术治疗,手术方式为单纯胆囊切除术,手术可延长患者生存期[5]。如合并其他部位转移,胆囊切除同样有意义[10]。根据NCCN指南,肾透明细胞癌胆囊转移与其他部位转移相同,术后可予舒尼替尼、索拉非尼等靶向药物治疗[11]
在肾癌术后患者随访过程中,应重视胆囊部位的转移,早期手术可使患者获益,术后常规辅以靶向药物治疗。
所有作者均声明不存在利益冲突





















