
版权归中华医学会所有。
未经授权,不得转载、摘编本刊文章,不得使用本刊的版式设计。
除非特别声明,本刊刊出的所有文章不代表中华医学会和本刊编委会的观点。
全肺切除术后综合征(postpneumonectomy syndrome,PPS)是全肺切除术后一种较少见的远期并发症[1]。对于此类并发症,保守治疗几乎无效,通常需要外科手术治疗。近期,我们成功采用金属支气管支架置入术治疗1例全肺切除术后综合征,现报道如下。
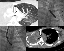
患者 女,50岁。2014年7月因右肺门占位,在全麻下行右全肺切除术。术后病理示:右肺浸润性腺癌(T2aN2N0 ⅢA期)。患者术后恢复情况良好,予"奥沙利铂200 mg d1+培美曲塞二钠800 mg d1"方案化疗2周期,后行胸部放疗1周期(DT50Gy/25fx)。放疗10日后患者出现咳嗽、咳痰,伴有胸闷不适,胸闷、气喘症状持续性加重,遂急来我院就诊。复查胸部CT示右肺术后改变,左肺散在磨玻璃影,左主支气管狭窄(图1)。头颅MR示脑内多发转移瘤,遂行三维TPS治疗。2015年3月9日患者突发昏迷、意识障碍,血压、心率下降,急查动脉血气示:pH 6.96,PaCO2 116.0 mmHg(1 mmHg=0.133 kPa),PaO2 106 mmHg。气管插管后,气管镜下见左主支气管闭塞,气管镜无法通过,吸气时左主支气管稍扩张,呼气时左主支气管塌陷,遂于闭塞处行2次球囊扩张,并在DSA辅助下置入金属支气管支架,气道通畅(图2,图3)。


术后2 h查血气:pH 7.35,PaCO2 41.4 mmHg,PaO2 119 mmHg。术后6 h,患者意识恢复。术后2天,患者生命体征平稳,呼吸困难、胸闷、气喘症状明显缓解,血气分析、血常规、生化等各项指标均恢复正常,复查胸部CT提示左主支气管通畅、支架位置良好(图4)。
PPS指健侧肺过度膨胀以及纵隔组织移位至术侧胸腔,导致支气管受压、过伸、狭窄,造成呼吸困难、喘鸣、支气管软化和反复呼吸道感染等气道阻塞症状[2,3]。此外,食管也会因为纵隔移位而受压导致食管狭窄,是全PPS中少见的症状[1]。PPS发病率低,仅为0.16%~2.00%,好发于儿童、女性患者,可能与其肺的弹性及顺应性较好,纵隔组织较为柔软,易于移位或扭曲相关[4,5]。PPS起病隐匿,呈进行性发展,易误诊,多伴有呼吸困难、喘鸣、咳嗽、肺功能下降、呼吸道感染等症状,有严重呼吸困难的患者甚至需要机械通气。X线胸片、胸部CT、支气管镜等辅助检查可以为PPS的诊断提供重要证据,可显示胸腔内大血管、气管、支气管、脊柱情况,还可显示气道阻塞的部位;肺功能检查可提示存在上气道阻塞。
目前通常认为,纵隔复位联合假体置入的手术方法可以使PPS患者症状较为可靠和持久地缓解[6,7,8]。但是此方法需再次行开胸手术,损伤较大,部分全肺切除术后的患者无法耐受。此外,15%~35% PPS患者存在支气管软化症状,接受纵隔复位手术后仍会出现持续性的气道阻塞症状。气管支架置入是较有效的选择,能即刻缓解患者气道阻塞的症状,且创伤小,手术死亡比例低。
本例患者左主支气管长期卡压于肺动脉与脊柱之间,左主支气管软骨软化,气道闭塞,导致二氧化碳潴留造成昏迷,生命垂危,已无法耐受再次开胸手术,需紧急解除支气管闭塞症状,因此紧急在闭塞处行2次球囊扩张,待患者二氧化碳潴留症状稍有好转后在DSA造影下行金属支气管支架置入术治疗,支架释放成功后,复查血气,提示患者二氧化碳潴留症状立即改善,术后患者恢复良好,介入治疗成功。但是综合国内、外文献[9,10,11],支气管支架置入术后较显著,支架移位、塌陷、肉芽肿形成致使气道再次阻塞等并发症,目前缺乏长期的随访资料,因此目前气管支架置入仅适用于预期寿命短且无法耐受手术的患者[12]。





















