
版权归中华医学会所有。
未经授权,不得转载、摘编本刊文章,不得使用本刊的版式设计。
除非特别声明,本刊刊出的所有文章不代表中华医学会和本刊编委会的观点。
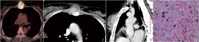
患者 女,36岁。前胸壁(近胸骨角处)肿物、疼痛2个月,曾口服抗生素未见明显好转,肿物呈增大趋势。胸部CT检查示:胸骨角前肿物并骨质破坏。查体:肿物位于胸骨前方,大小约5 cm×5 cm×4 cm,质硬,推之不动,周围边界清,皮肤周围未见明显炎症改变,瘤体顶部约有1 cm×1 cm软化区。患者术前HIV、结核菌素试验、血结核DNA、CEA、CA199等相关检查结果均为阴性。全身PET/CT检查示:胸骨体前肿物明显放射浓聚并骨质破坏(SUV max值:17.1),无明显远处转移。患者既往无外伤史,近期无禽鸟密切接触史。
2017年6月行肿物切除术。术中见肿物侵犯胸骨皮质,呈溶骨破坏为主,部分深达骨髓质。切开肿物见内有脓液流出,呈类似"干酪样"改变。术后病理结果示:肿物呈慢性肉芽肿性炎,六胺银染色(+),PAS-AB染色(弱+)的球形结构,考虑新型隐球菌。抗酸染色(-)。术后颅脑MRI检查未见颅内感染征象。每日口服大扶康400 mg,治疗12周[1]。


新型隐球菌为机会致病菌,主要存在于土壤、鸽粪中。新型隐球菌直径小于10 μm,易沉积在呼吸道中形成荚膜多糖,荚膜多糖是主要致病物质。健康人群感染可自愈或局限于肺部;但免疫功能受损者,尤其是艾滋病、组织器官移植或血液肿瘤患者,新型隐球菌可快速繁殖,引起严重肺部感染甚至全身血行播散[2]。肺外最易感染的靶器官为中枢神经系统,可能与中枢神经系统富含肌醇及酚类,新型隐球菌的透明质酸对宿主CD44受体有特殊黏附作用所致。新型隐球菌感染的大宗病例报道均集中在肺部及脑部[3]。
本例免疫系统功能正常,为非脑、非肺感染形成的前胸壁脓肿,国内外文献报道罕见[4,5]。文献报道新型隐球菌主要感染途径为经肺部感染后血行播散;局部感染多由外伤导致,常存在伤口迁延不愈,细菌培养往往有多种细菌同时存在[1]。本例术前诊断不明,从病史推断肿物性质可能为良性,肿物发展速度快,不符合肿瘤倍增规律;但影像学高度提示为恶性肿瘤可能,PET/CT检查示SUV值明显升高,而新型隐球菌感染病例PET/CT的SUV值均有不同程度升高,尤其是肺部结节,有误诊可能[6]。组织学活检是其重要鉴别手段。患者本人要求直接手术处理,手术效果满意。现随访半年,复查无明显异常。





















