
版权归中华医学会所有。
未经授权,不得转载、摘编本刊文章,不得使用本刊的版式设计。
除非特别声明,本刊刊出的所有文章不代表中华医学会和本刊编委会的观点。
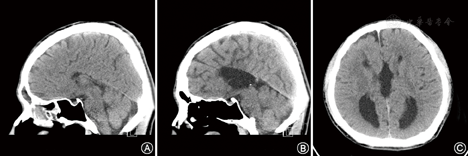
临床资料 患者男,35岁,独子,未婚,工人。以"反复情绪不稳、敏感多疑、言行异常11年"为主诉于2016年10月11日收入我院。2006年4月患者与同事争吵后出现夜眠差,情绪低落,至我院住院,诊断为"抑郁症",给予氯米帕明50~100 mg/d及米氮平15~45 mg/d,头颅MRI及增强扫描提示先天性胼胝体缺如,住院治疗42 d临床治愈出院。2008年12月患者因出现兴奋、话多、易激惹约15 d,再次住院诊断为"双相情感障碍",给予丙戊酸镁缓释片0.5~0.75 g/d、喹硫平0.5~1.2 g/d、碳酸锂0.25~1.00 g/d,住院治疗38 d临床治愈出院。2011年6月患者因失恋及同事关系紧张,出现敏感多疑,认为单位同事在背后议论自己,说自己坏话,认为同事串通起来为难自己,为此心情不好,不想上班,有打人骂人等冲动行为,再次入住我院,诊断为"精神分裂症",给予丙戊酸镁缓释片0.5 g/d、阿立哌唑口崩片10~20 mg/d,考虑患者有精神症状及情绪不稳,后换用喹硫平0.4~0.6 g/d,住院治疗33 d临床治愈出院。此后6年患者坚持服药,但因人际关系紧张(总觉得同事针对自己)而不想上班,每年均非自愿被家属送医院住院治疗,每次住院时间34~67 d,均诊断为"精神分裂症",给予喹硫平0.2~1.2 g/d、利培酮2~6 mg/d、丙戊酸镁缓释片0.5 g/d等药物治疗,每次临床治愈出院。近10年住院8次,每次均在我院住院治疗。2015年3月住院期间头颅CT结果示胼胝体正常结构未显示,第三脑室及侧脑室后角明显扩大,双侧侧脑室体部分离(见图1)。2016年10月末次住院期间,神经系统检查未见异常。实验室检查:血常规、甲状腺功能、生化全套、传染病检查及心电图、胸部CT检查均未见异常,同型半胱氨酸31.88 μmol/L(正常值4.0~15.4 μmol/L)。2017年8月电话随访:患者正常上班,坚持服用喹硫平0.4 g/d,患者或其母亲定期到门诊取药,社会功能正常,4个月前取得驾照。患者能坚持服药,但自知力不全,主动复诊较少,大部分时间其父母至门诊复诊取药。


A和B为矢状位,C为轴位
既往史:3岁因感冒发烧有惊厥史。22岁行阑尾切除术。否认过敏史。个人史:生于一般市民家庭,足月顺产,母乳喂养,童年期发育正常,小学及初中学习成绩中等。15岁入伍,当兵期间表现良好成为预备党员,复员后在郑州铁路部门工作,工作之前参加铁路技校带薪学习3年,期间转为正式党员,随后进入单位上班,工作能力一般。初期与单位同事关系较好,工作积极性高,单位领导曾安排其作为党小组长,收取支部党员的党费,由于某些同事不配合,有时自行垫付党费,为此患者感到委屈。有时在同事之间开些男女之间玩笑,患者即不能接受,与同事关系逐渐变得不融洽。工作后患者自行考入电大,取得大专文凭。性格内向、懦弱、做事认真、敏感多疑。吸烟史3年,每日约1~5支。否认饮酒史。精神疾病家族史:阴性。
胼胝体形成于人体胚胎时期,位于大脑半球纵裂的底部,连接左右两侧大脑半球的横行神经纤维束,是双侧大脑半球的联合区,分别发挥左右半球相关各区的联合功能,负责两半球的信息沟通[1]。胼胝体可因以下几种原因出现失连接:(1)畸形(包括胼胝体发育不良或缺如);(2)手术切断胼胝体治疗顽固性癫痫;(3)病理性损害(外伤、脑卒中、慢性酒中毒、肿瘤等)造成胼胝体失连接,表现为多种半球间协同活动障碍,称为半球间失连接综合征。其中手术切断胼胝体所致的典型半球间失连接综合征主要表现为:(1)言语的半球间传递障碍;(2)结构性操作的半球间传递障碍;(3)感觉信息的半球间传递障碍;(4)视觉-感觉信息的半球间传递障碍;(5)视觉信息的半球间传递障碍;(6)听觉信息的半球间传递障碍;(7)两半球间的冲突,由于胼胝体功能连接的中断,两半球在解剖与功能上彼此独立,可导致现实生活中的分离现象[2]。
胼胝体缺如报道较为罕见。健康人群中胼胝体缺如发生率为0.03%~0.70%,智力障碍人群中为2%~3%[3]。其病因目前尚未完全清楚。胼胝体缺如多见于婴幼儿,多伴有智力发育不全、癫痫或其他神经系统异常。此类患者临床症状主要取决于是否合并其他畸形。因为复杂性胼胝体缺如患者多表现为较严重的神经功能缺损症状,如两侧半球对信息共享与传递能力的缺失,较严重智能及语言障碍、协调性差、失用、幻觉或癫痫等症状;而单纯性胼胝体缺如本身一般无临床症状[4,5]。先天性胼胝体缺如同样导致两半球间在解剖与功能上的彼此独立,但关于两半球间离断征象的证据存在不同的看法,有研究显示无离断的征象,即缺乏分离性症状的证据。本例患者因精神症状偶然发现胼胝体缺如,患者幼年生长发育及社会功能基本正常,因多次精神症状发作而被发现存在胼胝体缺如,支持先天性胼胝体缺如可不出现两半球间离断征象的观点,无分离性的表现,其原因可能是在先天性缺如的基础上,大脑功能在发展过程中产生了功能重组,有研究显示,出生时胼胝体缺如的人可能在中脑和腹侧前脑形成替代的白质神经束[6]。
既往研究显示精神分裂症患者存在胼胝体结构和功能的异常,随着功能影像学的发展,研究者发现精神分裂症患者胼胝体部分各向异性分数值降低,可能与精神分裂症患者的幻听、认知功能障碍有关[7]。胼胝体作为连接左右半球信息传递的重要桥梁,在一定程度上提示左右半球信息传递的减弱可能为导致精神分裂症和双相情感障碍患者在认知和情感上出现障碍的主要机制,因此大脑左右半球连接异常可作为精神分裂症和双相情感障碍潜在的生物学标志[8]。而本例患者相继表现为抑郁、躁狂、妄想等症状,每次发病期间妄想症状突出,情感反应欠协调,但每次病情缓解后社会功能均能恢复至基本正常,既不完全符合双相情感障碍的特点,也不完全符合精神分裂症的特点,其精神症状的不典型,胼胝体缺如可能是其生物学基础。因此,在临床工作中对于精神症状不典型的患者应重视其是否存在中枢神经系统病变,应及时完善相关检查及影像学资料。
胼胝体缺如患者诊断并不困难,依据头颅CT或者MRI即可明确,胼胝体缺如的影像学特征性表现为侧脑室分离,第三脑室扩大上移[9]。但治疗只能予以对症处理,针对患者情绪症状及精神症状给予抗抑郁药及小剂量抗精神病药治疗,同时加强心理治疗,并定期随访观察。
本文中不足之处是没有获得患者头颅MRI影像资料,没有行心理测评和认知评估等相关检查。全面评估胼胝体缺如患者的临床表现和转归,可以帮助我们深入了解大脑的功能,未来的研究中可以进一步探索胼胝体与精神症状之间的关系。





















