
版权归中华医学会所有。
未经授权,不得转载、摘编本刊文章,不得使用本刊的版式设计。
除非特别声明,本刊刊出的所有文章不代表中华医学会和本刊编委会的观点。
布氏杆菌病(brucellosis)是一种常见的人畜共患病,多见于中东、地中海及南美等地区。我国多见于内蒙古、东北、西北等牧区,近几年该病发病率呈逐年上升趋势,尤其在内蒙古自治区、东北地区、新疆维吾尔自治区等。该病主要的临床表现为发热、多汗、关节痛、肝脾肿大等,多累及关节、脊柱,神经系统病变较少见。该病致残率高,且预后较差[1]。
神经型布氏杆菌病(neurobrucellosis)表现多样,如脑膜炎、脑膜脑炎、脊髓炎、末梢神经炎、脱髓鞘等,但表现为颅内占位的罕见。现将我院收治的1例误诊为脑肿瘤的神经型布氏杆菌病诊治经过报道如下。
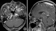
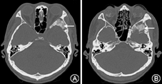
患者男性,32岁,因间断性头痛4个月,加重伴发热、恶心1周入院。患者于4个月前无明显诱因出现头痛,阵发性发作,呈胀痛,以后枕部明显,1周前发热,体温最高达38.5 ℃,头痛较前明显加重,伴恶心,未呕吐,头痛与发热无相关性。伴大汗,腰痛,行头颅MRI提示左侧前中颅窝底及邻近颞窝区占位性病变,为明确诊治入我院神经肿瘤外科。病程中无寒战,无肢体活动不灵。既往体健。有羊接触史(现家中养羊)。入院时体检:体温38 ℃,呼吸20次/min,脉搏85次/min,血压110/70 mmHg(1 mmHg=0.133 kPa),一般状态差,双侧瞳孔等大同圆,直接对光反射灵敏,视力正常,心肺腹体检未见异常。肌力肌张力正常,脑膜刺激征阴性,余神经系统体检未见明显异常。辅助检查:血常规:白细胞14.22×109/L,中性粒细胞0.89,中性粒细胞绝对值12.63×109/L。红细胞沉降率23 mm/h。头颅MRI平扫加增强(图1)示:左侧前中颅窝底及邻近颞窝区见团片样异常信号,T1WI呈较低信号,T2WI呈稍高、稍低信号,FLAIR呈稍高信号,大小约2.2 cm×4.5 cm×2.3 cm,边界不清,增强呈不均匀中等程度强化,病变与左侧眶外侧壁、蝶骨左翼及左侧视神经管起始部分分界不清,病变部分向颅内突入,与左侧颞极分界欠清。左侧前中颅窝底及邻近颞窝区占位性病变。头颅CT(图2)示:蝶骨体及蝶骨左翼形态饱满且不规整,局部骨皮质不连续,其内密度弥漫性不均匀,可见不规则高密度影及散在钙化影。腰椎穿刺压力250 cmH2O (1 cmH2O=0.098 kPa)。脑脊液常规检查:蛋白1.15 g/L,葡萄糖1.1 mmol/L,氯化物108.5 mmol/L,潘迪反应(+),白细胞453×106/L,多核细胞0.42,单核细胞0.58。脑脊液墨汁染色,结核分枝杆菌抗体、培养均为阴性。肝功能、肾功能、尿常规检查正常,肺CT未见异常。




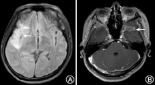
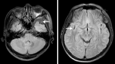
因患者发热且血常规提示细菌感染,入院后给予头孢吡肟抗感染,治疗72 h患者仍发热,复查血象未见明显改变。因布氏杆菌血清凝集试验阳性,试管凝集试验(SAT)>1∶160,且有羊接触史,考虑布氏杆菌病所致发热可能性大,给予多西环素联合利福霉素,试验抗布氏杆菌病治疗16 d后患者发热较前明显好转,体温波动在37.5 ℃,复查血象提示白细胞及中性粒细胞正常。复查脑脊液:蛋白0.84 g/L,葡萄糖1.83 mmol/L,氯化物113.3 mmol/L,潘迪反应(+),白细胞145×106/L,多核细胞0.2,单核细胞0.8。复查头颅MRI(图3)示:右侧颞叶、额叶及岛叶见团片状异常信号,呈长T1长T2异常信号,FLAIR呈等及高信号,右侧脑室受压,中线略向左侧移位。左侧前中颅窝及邻近颞窝区见斑片状等及稍长T1及稍短T2异常信号。MRI提示治疗前原占位性病灶缩小,但右对侧脑叶出现新发病变,考虑肿瘤可能性不大,结合两次血清布氏杆菌虎红平板凝集试验阳性,SAT>1∶160,脑脊液布氏杆菌抗体阳性,考虑颅内病变为神经型布氏杆菌病,给予多西环素+利福霉素+头孢曲松三联抗布氏杆菌病治疗,14 d后患者无发热、头痛,脑脊液压力200 cmH2O,脑脊液检查:蛋白0.80 g/L,葡萄糖1.61 mmol/L,氯化物110 mmol/L,潘迪反应(+),白细胞79×106/L,多核细胞0.2,单核细胞0.8。复查头颅MRI平扫加增强(图4)提示左侧放射冠点状缺血灶,双侧脑室后角旁略长T2信号,不除外轻度脑白质脱髓鞘。原占位病灶基本消失。




布氏杆菌是一种革兰阴性杆菌,为细胞内寄生菌,易感染牛、羊、猪等家畜,常接触病畜或食用病畜未经消毒的肉、奶制品的人群为高危发病群体。该菌多经皮肤、黏膜、消化道或呼吸道传染,流行病学对诊断布氏杆菌病尤其重要[2]。布氏杆菌感染急性期多表现为发热伴大汗、关节痛、肝脾肿大等,如不及时诊治可转为慢性,侵犯多个系统,常引起脊柱关节破坏、心内膜炎、睾丸炎等[3]。但该病累及神经系统较为罕见,可致脑膜炎、脑膜脑炎、周围神经炎、脱髓鞘等[4]。布氏杆菌引起的中枢神经损害机制目前尚不明确,可能与其释放的内毒素或感染后诱发的免疫反应有关。
目前对神经型布氏杆菌病的诊断尚缺统一标准,主要凭借医生自身经验,各级医生对该疾病认识有限,导致经常出现漏诊和误诊。较为公认的神经型布氏杆菌病的诊断标准如下:(1)明确的流行病学接触史,如密切接触病畜、病畜体液(奶、分泌物等)、畜产品、布氏杆菌培养物,或生活在疫区。(2)有神经系统受累表现。(3)脑脊液改变,早期蛋白和白细胞轻度升高,以淋巴细胞为主,葡萄糖和氯化物正常,后期白细胞中度升高,仍以淋巴细胞为主,但糖降低。(4)患者血、脑脊液和骨髓标本中分离出布氏杆菌,或SAT>1∶160,或脑脊液布氏杆菌抗体阳性。(5)抗布氏杆菌治疗有效。(6)排除其他相似疾病[5]。其中第1、4条对诊断意义更大。如无明确流行病接触史,或血清凝集试验阴性,或试验性抗布氏杆菌病治疗无效,对该病诊断需慎重。
该例入院时头颅MRI(图1)提示左侧前中颅窝底占位性病变,骨质有破坏,影像学表现考虑脑肿瘤可能性大。脑脊液改变提示炎症可能性大。在治疗过程中,患者发热,白细胞持续升高,脑脊液改变考虑不除外合并细菌感染,给予头孢吡肟3 d治疗效果不明显。考虑该例有牛羊接触史,发热时伴恶心、大汗、腰痛,症状与布氏杆菌病相似,查血清布氏杆菌凝集试验为阳性,使用多西环素联合利福霉素试验性抗布氏杆菌病治疗,治疗16 d后发热、头痛较前好转,复查头颅MRI(图3)显示对侧出现新发病灶,脑脊液提示蛋白及细胞数均较前降低,脑肿瘤短期内出现新发病灶,且经抗感染治疗临床症状缓解的可能性不大,加之复查血清布氏杆菌凝集试验仍为阳性,SAT>1∶160,脑脊液布氏杆菌抗体阳性,明确诊断为神经型布氏杆菌病。给予多西环素、利福霉素联合头孢曲松抗感染治疗10 d后,发热及头痛明显好转,复查脑脊液压力较前降低,脑脊液常规接近正常。规范治疗4周后复查MRI(图4)发现颅内占位病变消失,随访3个月,患者无发热,无头痛。
本例的诊断主要依据如下:(1)流行病学史:该例密切接触过羊群,从事过剪羊毛、接生等工作。(2)抗布氏杆菌病药物试验治疗有效。(3)脑脊液化验检查。(4)影像学改变。(5)排除其他疾病:①脑炎:本例症状及脑脊液改变类似结核性脑膜脑炎,但是影像学不支持结核性脑膜脑炎,且肺CT未见结核病灶,血清结核分枝杆菌抗体及T细胞斑点试验阴性,不考虑结核性脑膜脑炎;患者无长期应用抗生素病史,无免疫缺陷,未接触过鸟粪,脑脊液墨汁染色阴性,不考虑真菌感染;所以排除上述疾病可能。②脑肿瘤:颅内占位不会引起脑脊液类似感染的改变,短期内出现新发病灶,但临床症状缓解者少见,且抗感染治疗不会影响肿瘤的改变。本例经过试验性抗布氏杆菌病治疗有效,脑脊液布氏杆菌病抗体阳性,故诊断为神经型布氏杆菌病依据充分。以后出现有牛羊接触史且临床症状及影像学表现类似的患者,建议及时行血布氏杆菌凝集试验、脑脊液布氏杆菌抗体及血、脑脊液培养等检查。本例抗布氏杆菌病治疗维持3个月,并连续随访,患者症状逐渐恢复,至3个月时,影像学已基本恢复正常,症状完全缓解。由于布氏杆菌为细胞内寄生,很难彻底杀灭,且普通药物很难透过血脑屏障,所以笔者认为,布氏杆菌病的治疗应坚持长疗程、足量、联合用药,多西环素+利福平+头孢曲松效果较好,病情严重者,甚至可短期加用糖皮质激素减轻脑水肿。治疗过程中应注意监测血常规、肝肾功能等。





















